ALK-positive anaplastic large cell lymphoma(ALK-positive ALCL)

静岡病理医会

ALK-positive ALCL 疾患解説のページへ

イレウスで発症した悪性リンパ腫--anaplastic large cell lymphoma ALK+

(10歳代男子) 静岡県立こども病院 高場恵美

臨床事項

嘔吐と左側腹部~臍部痛が出現.5日めに精査加療のため前医入院.急性胃腸炎として保存的治療を行うが腹痛が持続、機械的イレウスの鑑別として行った腹部CTで腹部大動脈周囲リンパ節の腫大がみられた.血液検査でsIL-2R高値であり悪性リンパ腫疑いで当院紹介入院となる.

WBC 10,600/μl, CRP 4.05mg/dl, LDH 347 IU/l, sIL-2R 15700 U/ml

小腸切除組織肉眼所見

クリックで大きな画像が見られます。

#ref(): File not found: "macro01.jpg" at page "ALK-positive ALCL of the small intestine"

 

#ref(): File not found: "macro02.jpg" at page "ALK-positive ALCL of the small intestine"

#ref(): File not found: "macro03.jpg" at page "ALK-positive ALCL of the small intestine"

 

Virtual Slide

この症例のVirtual Slideを見る---> 小腸腫瘤 右クリックで新しいウィンドウで開くと便利です。

 

組織像

小腸腫瘤--クリックで大きな画像がみられます

#ref(): File not found: "ALKloope.png" at page "ALK-positive ALCL of the small intestine"

#ref(): File not found: "ALK02.png" at page "ALK-positive ALCL of the small intestine"

#ref(): File not found: "ALK01.png" at page "ALK-positive ALCL of the small intestine"

好酸球の浸潤が目立つ部分

#ref(): File not found: "ALK04.png" at page "ALK-positive ALCL of the small intestine"

#ref(): File not found: "ALK03.png" at page "ALK-positive ALCL of the small intestine"

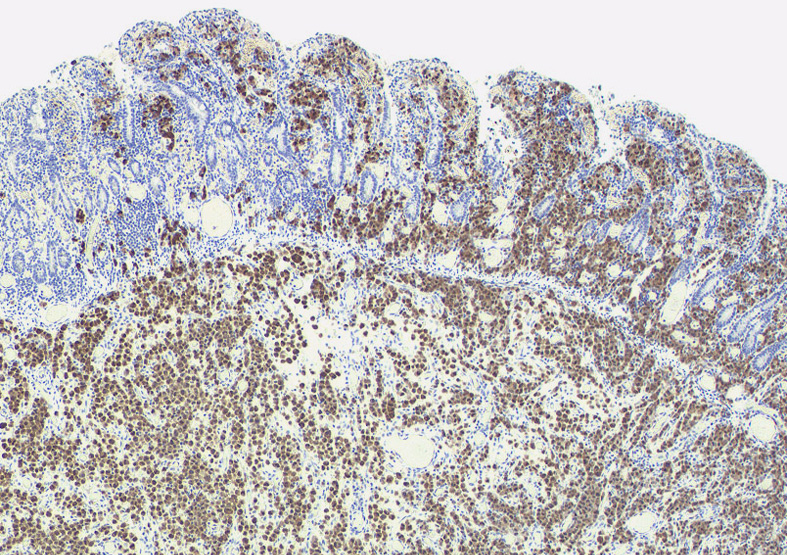
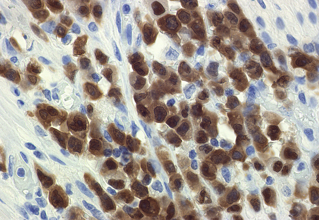
免疫染色-ALK

ALKloupe.jpg
ALK01ICH.jpg
ALKALK
 

症例のWeb討論会


トップ   新規 一覧 検索 最終更新   ヘルプ   最終更新のRSS