Anaplastic lymphoma receptor tyrosine kinase(ALK)

PathologyAtlas
ALK陽性ALCLの解説ページへ行く

ALK陽性ALCL

ALK-positive ALCL-Case01

20歳 鼠径リンパ節

左臀部の痛みで発症する。臀部軟部組織に腫瘤を認めCTで腸骨, 大腿骨の欠損あり。左鼠径, 大動脈周囲, 後腹膜, 骨盤内腔のリンパ節が腫大し脾腫、胸水腹水の貯留を認める。WBC 15500/cmm, LDH 470(<350), sIL2-R29100U/ml

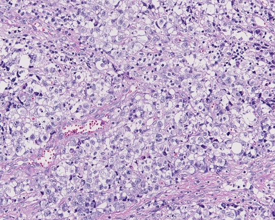
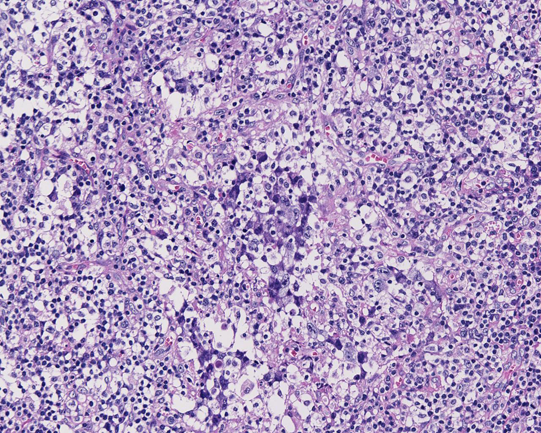
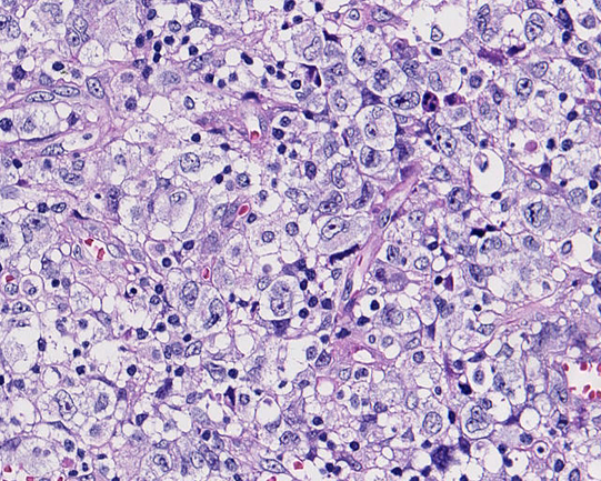
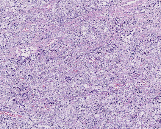
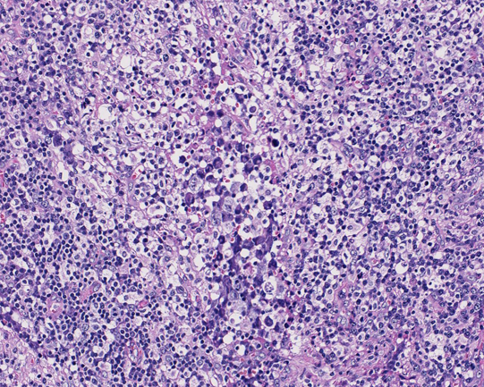
リンパ節組織所見

ALCLHE01.png
ALCLHE02.png
ALCLHE03.png
HE NZX2.5HE NZX10HE NZX10
ALCLHE04.png
ALCLHEG02.png
ALCLHEG.png
HE NZX10HE NZX40HE NZX40
 
 

大型異型細胞が集簇し結合性に増殖している。未分化癌や悪性黒色腫が鑑別となる。細胞は大型で類円形, 楕円形核に加えて腎臓様の特異な核形を示す。
免疫染色:CD3-, CD4-, CD8-, CD15-, CD20-, CD30+, CD43-, CD45RO-, CD56-, TIA1+, granzymeB+, ALK+, EMA+, EBER-ISH-, LMP1-, BCL2- (以上, consultation先で染色)

Pathological Diagnosis: ALK-positive anaplastic large cell lymphoma

CHOP療法を開始し2ヶ月ごにCR. 以後disease freeで生存。

Comment


トップ   新規 一覧 検索 最終更新   ヘルプ   最終更新のRSS