Haematopathology-WHO 5th classification

CHUBU1215
血液腫瘍病理学

急性巨核球性白血病 acute megakaryoblastic leukaemia (M7)

WHO 4th ed. revised の定義*1:Aute myeloid leukemia, NOSの一型であるAcute megakaryoblastic leukemia. FAB分類のAML-M7

急性白血病の一型で20%以上に増えた芽球の少なくとも半数(50%)が巨核球系であるもの。

MDS leukemiaから移行した例や, t(1;22)(p13;q13), inv(3)(q21;q26.2), t(3;3)(q21;q26.2)をもつAML例(AMKLの血液像を示す), Down症候群関連の症例は, このカテゴリ-には含まない

 

以下3群の患者さんに, おのおの異なったタイプのAMKLが起こりうる.

1) Down症の小児:WHO分類でDown症候群関連骨髄増殖性疾患(Myeloid proliferations associated with Down syndrome)として独立した疾患とされる.

2) Down症候群以外の小児: 乳児では大部分の症例がWHO分類のAML with t(1;22)(p13;q13); RBM15-MKL1に相当. 年長児では, t(10;11); CALM-AF10, t(9;11), +8, +21など様々な染色体, 遺伝子異常を伴った症例が見られる.

3) 成人; 特定の遺伝子異常のみられない症例(AML-NOS)が多い. AML with inv(3)(q21q26.2) or t(3;3)(q21;q26.2); RPN1-EVl1ではAMKLの細胞形態所見を示すことがある.

AMKL-NOS

  • 染色体; -5, -7, +8, 11q 関連の異常などが認められる.
     
  • Young adultにおける縦隔胚細胞腫瘍とAMKL合併例にはいくつかの染色体異常が知られている. i(12p)が特徴的である.

AML with t(1;22)(p13;q13); RBM15-MKL1

  • RBM15-MKL1fusionによりRBM15(RNA-binding motif protein-15; OTTともよばれる)とMKL1(megakaryocyte leukemia-1; MALともよばれる)の融合キメラタンパクRBM15-MKL1(OTT-MAL)が産生される.
     
  • RBM15はHoxの機能やRasシグナル伝達の調節にかかわり, MKL1はクロマチン構築に関連するDNA結合モチーフをもつ.融合遺伝子はクロマチンの構築やHoxで誘導される分化とシグナル伝達に影響を与え白血病発症に関わる可能性がある.

病理組織, 細胞所見

末梢血のsmall megakaryoblast(micromegakaryoblast); 中程度のN/C比, 細胞質のbudding(出芽), 微細な網目状クロマチンをもつ円形核をもつ。
megakaryoblastは多彩な形態のため巨核球系であることの証明に, しばしば免疫染色が必要となる。CD41, CD42b, CD61染色陽性が巨核球系の証明となる.

File not found: M7_01PB_s.jpg  File not found: M7_02PB_s.jpg  

 

CD41(anti-GPⅡb)巨核芽球の幼弱な段階より検出され頻用される。CD41(=platelet fibrinogen receptor alpha subunit)は血小板凝集に必要な糖タンパク.

ただしCD41はホルマリン固定パラフィン組織にうまく適応できる市販抗体がない。組織にはCD42b, CD61を使っている。FCMではCD41が使われる.

血小板には,10種類以上の接着分子が存在する. そのうちCD41(GPⅡb/Ⅲa),CD42b(GPⅠbα)は, 血小板だけに存在し,粘着(細胞-基質),凝集(細胞-細胞)に深く関わっている血小板膜糖蛋白である.

巨核芽球megakaryoblast

 

骨髄生検組織

File not found: M7_biopsyMG_s.jpg

1. 芽球増生の著明な髄様組織をしめすmegakaryoblastic leukaemia

2. 芽球の増殖が乏しく, myelofibrosisのみがめだつ2つのタイプがある。

phenotype

陽性マーカ:

陰性マーカ:

Acute megakaryoblastic leukaemiaが疑われる症例 Case 01

70歳代 男性.
A病院にて, 4年前に腹部大動脈解離性大動脈瘤, 解離性大動脈瘤により人工血管置換術施行し以後経過観察中. 汎血球減少, 心不全で入院. Hb 5.7x104; WBC1370/μl, plt1.8x104;. 末梢血芽球+.
骨髄穿刺はdry tapであった. 紹介され骨髄生検を行う.

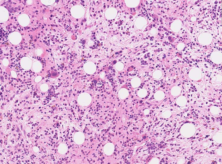
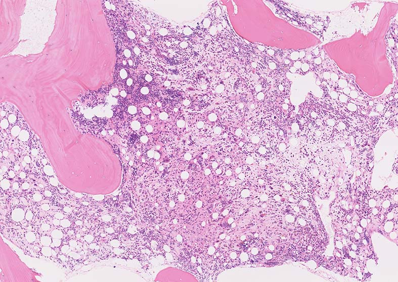
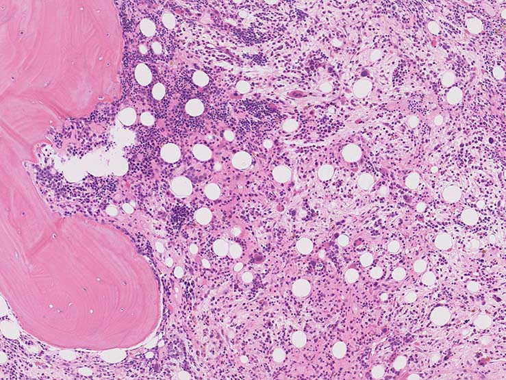
骨髄生検組織所見

KurYas-HE01.jpg KurYas-Ag.jpg

骨髄生検組織: 骨梁は軽度に肥厚している. 明瞭な硬化像はない. 鍍銀染色でびまん性に線維増生が認められる.

 
 
AHEneu-OK.jpgBHEneu-hpf-OK.jpgCHE-oligo-hpf-OK.jpg

Bone marrow biopsy HE染色: A: 脂肪細胞は減少しているが線維化により造血細胞は疎になっている. B:小型Mgkが散在性に多数認められる.核は類円形, 小型低分葉の細胞が多く, 分離円形核をもつ異形成Mgkが出現している.

C:骨梁に沿って赤芽球が局在している. 通常は顆粒球系細胞が骨梁辺縁に局在する.

 
 

Acute megakaryoblastic leukaemia--Case02

IWT case

末梢血所見

巨核芽球(megakaryoblasts)が末梢血に出現する.

微小巨核球(micromegakaryocytes), 断片状の巨核球, 異常大型血小板, 低顆粒成熟好中球などMDSにみられる異常血球が認められることがある.

骨髄細胞所見;しばしば骨髄線維化のためdry tapになり骨髄生検を要し, スメアの作成が難しいことがある. 可能な限り生検と併用して観察する.

巨核芽球(megakaryoblasts); 通常, 中ないし大型細胞. 円形ないし陥凹したやや不整形な核をもつ. 核クロマチンは繊細で, 1-3個の核小体が認められる.

細胞質は好塩基性. 顆粒はみられない. cytoplasmic bleb(細胞質突起)や偽足をもつことがあり, 巨核芽球の特徴とされる. ときに小型で, N/C比大のリンパ芽球に類似した形態のこともある.

微小巨核球(前骨髄球までの大きさの細胞)が出現することがあり, 凝集したクロマチンと1~2個の核, 成熟した細胞質をもつ. 巨核芽球とカウントしないことが必要. 巨核芽球には血小板産生はみられないことが鑑別のひとつになる.

AML with inv(3)(q21.3q26.2)あるいはt(3;3)(q21.3q26.2), GATA2/MECOM fusionでは, 多系統血球形態異常がしばしば認めら, 巨核芽球に異形成が著しい.[定義上, この核型異常をもつ症例はAML-M7には含まれないことに注意]

SudanblackB(SBB), Naphtol-ASD-CAE, MPOは常に陰性.

PAS染色が陽性になることがある. 酸ホスファターゼも陽性になることがある. 非特異的エステラーゼが斑状, または部分的に陽性のことがある.

骨髄組織所見

正形成髄ないし過形成髄を呈する.

造血巣には, 巨核芽球と種々の成熟段階の異型巨核球が優位に増殖する. 両者の比率は症例によりさまざま.

小型巨核球が一様に増殖する症例では他のAML病型と形態的に区別ができないときがある.

巨核芽球とともに多数の成熟巨核球が増殖する症例もあるが, このときの成熟巨核球は一般に小型で, 低分葉核をもち異形成がめだつ.

微小巨核球が孤在性にあるいは集簇して多数認められる場合もある. クロマチンに濃染する1-2個の成熟核をもち成熟巨核球にみられる淡好酸性細胞質をわずかに有する細胞として見られる. 組織切片で巨核球系と同定するにはCD42b, CD61などの免疫染色が必要になる.

骨髄系, 赤芽球系の幼若細胞や異型細胞が混在することがあるが数はすくない.

骨髄線維症をともなうことがAML-M7の重要な特徴であるが, 必発ではない. 髄様の病変の症例がある.

弾性線維増殖であることが多いが, ところどころに膠原線維の増生を伴うことがある. (鍍銀染色, EVG, Azan染色で評価する)

組織化学, 免疫染色

 
 
 

Acute panmyelosis with myelofibrosis (APMF)

WHO 2017 4th Edの定義

急性の汎骨髄性増殖症panmyeloid proliferationで芽球が増加し(骨髄あるいは末梢血細胞の≧20%) 骨髄線維症を合併する.

● 反復する遺伝子異常を示すAML
● Acute myeloid leukaemia with myelodysplasia-related changes
● 治療関連AML
いずれにも含まれず, 上記グループのいずれのクライテリアも満たさない.

APMFは非常にまれなAMLの一形態で, de novoの疾患. 基本的には成人の疾患であるが, 小児の報告もある.

衰弱や疲労感で急激に発病する. 多くは, 発熱や骨痛をきたす. 通常全身状態の急激な悪化がみられる.

汎血球減少症が常に出現し, 脾腫は認められないかごく軽度である.

末梢血

骨髄所見

immunophenotype 免疫染色

細胞が採取可能な場合は, 芽球はCD34, C-KIT, CD33, CD13が種々の程度に陽性を示す. MPOは通常陰性になる.Naphtol-ASD-CAEも不染.


*1 WHO blue book: Tumor of haematopoietic and lymphoid tissues pp162-165
*1  Orazi A, et al. Acute panmyelosis with myelofibrosis: an entity distinct from acute megakaryoblastic leukemia. Mod Pathol. 2005 May;18(5):603-14.PMID:15578075
*2  Vago JF, et al. Acute megakaryocytic leukemia with myeloid/monocytic differentiation. Am J Surg Pathol. 1987 Nov;11(11):883-9.PMID:3674284

トップ   新規 一覧 検索 最終更新   ヘルプ   最終更新のRSS