Wikipathologica-KDP
Angiomyolipoma of the kidney†
48歳 男性
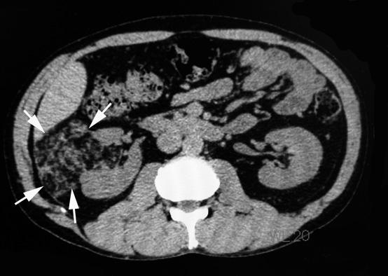
右腰痛のため受診。精査で右腎に出血をともなう直径7cmの腫瘤を認めた。angiomyolipomaの出血と診断し, 出血の消失をまって右腎摘出術をおこなう。
病理所見†
摘出右腎肉眼所見†
クリックすると大きな画像が見られます
- 典型的angiomyolipoma(AMLoma)は腎実質の一部を置換する腎内腫瘍である。病変サイズは大小さまざまで被膜病変は数ミリを越すことはまれな一方, 腎実質腫瘍は最大径が3-20cm(平均9.4cm)となり大型の腫瘤は周囲の構造を圧迫することになる。通常は単発であるが20%の例では多発する。
- 腫瘍はまれに, 腎杯, 腎静脈内に破綻することや腎集合管系, 下大静脈に進展することがある。
- AMLomaは境界のある腫瘍であるが, 被膜はもたず隣接する腎実質を犠牲にして腫大する傾向があるため腎実質は腫瘍に取り囲まれ腫瘍内部に取り残されることになる。 取り込まれた腎尿細管は拡張して嚢胞を形成する。ひどい場合には多嚢胞腎様になりtuberous sclerosis患者さんに多い。
- AMLomaは他の腎腫瘍, clear cell RCC, oncocytomaに合併することがある。
- 通常分葉状で黄色, わずかに油脂状の腫瘤。平滑筋が主要成分の場合は灰白色で硬い。出血はよく起こり症状のある例ではとくにありふれた現象である。腫瘍全域におよぶ出血もありうる。
右腎腫瘍組織所見†
組織では血管, 平滑筋, 脂肪組織より構成され, 無秩序に混在する。
- 血管周囲類上皮細胞由来の腫瘍性病変と考えられている。肝のAMLoma, 肺のLAMなどが類似病変*1
- 成熟脂肪組織はしばしばfat necrosis, lipophage, 巨細胞をともなって巨大腫瘤をつくるが, どの成分も主成分になりうる。
- 平滑筋細胞は血管壁外層と密接に関連しており同部位より発生しているように見える。筋細胞は放射状に配列し, 長円形核の長軸は血管に対して直角となるhair-on-end像を示す。
- 平滑筋はしばしば錯綜し束状に腫瘍全体を走行し島状の脂肪組織や血管集簇巣に中断される。糸球体内に腫瘍が増殖することもある。腎外病変も同様の組織所見を示す。
顕微鏡で平滑筋だけにより構成される, 広い部分が認められ、核腫大, hyperchormasia,少数の核分裂像が出現することがある。細胞質内顆粒が見られることがある。
かなり大きな部分で未熟な平滑筋あるいはmyoblast増殖を認めることがある。核は類円形で細胞質は淡明である。細胞は中心の細動脈に対してpalisade構造をとる。
- 血管は特徴的な構成成分でとても厚く異常な壁をもつ。多くの領域で血管の筋組織は厚い線維結合組織で置換され厚みは不規則となりArteriovenous malformationに認められる動脈化静脈に類似する。内弾性板は通常欠損しているか存在しても断片化, 複層化しボロボロである。
- AMLomaの血管は蛇行し壁が部分的にひ薄化拡張して, 小型の静脈瘤様動脈瘤を形成している。
- aspiration cytologyでは脂肪組織と平滑筋組織の混在となる。