Wikipathologica-KDP

Barrett esophagus (バレット食道)の診断

田久保海誉先生の講演から

Barrett食道の診断

内視鏡での診断

1. 円柱上皮下の縦走血管:生検は不要で,これのみで確定診断とできる。ただし扁平上皮と噴門腺は重複しているので(診断の有用性には)制限があるのではないかと考えられる。

2. 円柱上皮内の扁平上皮島:Pathognomonicで確定診断とできる。ヨード染色が有効(点状のヨード染色斑が出現する)で生検は不要である。

3. 胃fold上端から食道方向への円柱上皮:かなり確実だが日本人ではフォールドの上端が不明瞭なことが多い

BarrettVasc01.jpg

食道下部縦走血管:下部食道の2-3cmにわたり食道粘膜内を縦走し胃には認めない。
その下端がECJとされる。写真はshort segment Barrett esophagusの例

#img(): File not found:

生検・手術での診断

1. 固有食道腺と導管が円柱上皮部位に存在する確定診断

2. 円柱上皮下の粘膜筋板二重化:かなり確実な所見,8割はあたり

3. Barrett食道に高頻度な化生性変化所見の存在:かなり不確実

固有食道腺(Esophageal Glands Proper:EGP)とは何か

EGPは常に扁平上皮から誘導されてできる腺で, その存在は必ず一度は粘膜内に扁平上皮があったという印であり食道固有の構造である。

扁平上皮島連続切片の観察では,すべての扁平上皮島は固有食道腺と導管を介して結合している
Proton Pump Inhibitor(PPI)治療により小さな扁平上皮島は拡大する (Coad RA, et al. J Pathol 206:388-, 2005)

固有食道腺の開口部は必ず扁平上皮で囲まれており, 食道腺の上皮が進展しBarrett上皮ができるとする由来説は誤りである。

食道胃接合部に認められる新たな化生性変化

1. 膵化生(Pancreatic metaplasia)

2. 扁平上皮化生様の変化 ( Squamous metaplasia-like change〔SMLC〕, 多層上皮=Multilayered epitheliuとも呼ぶ )

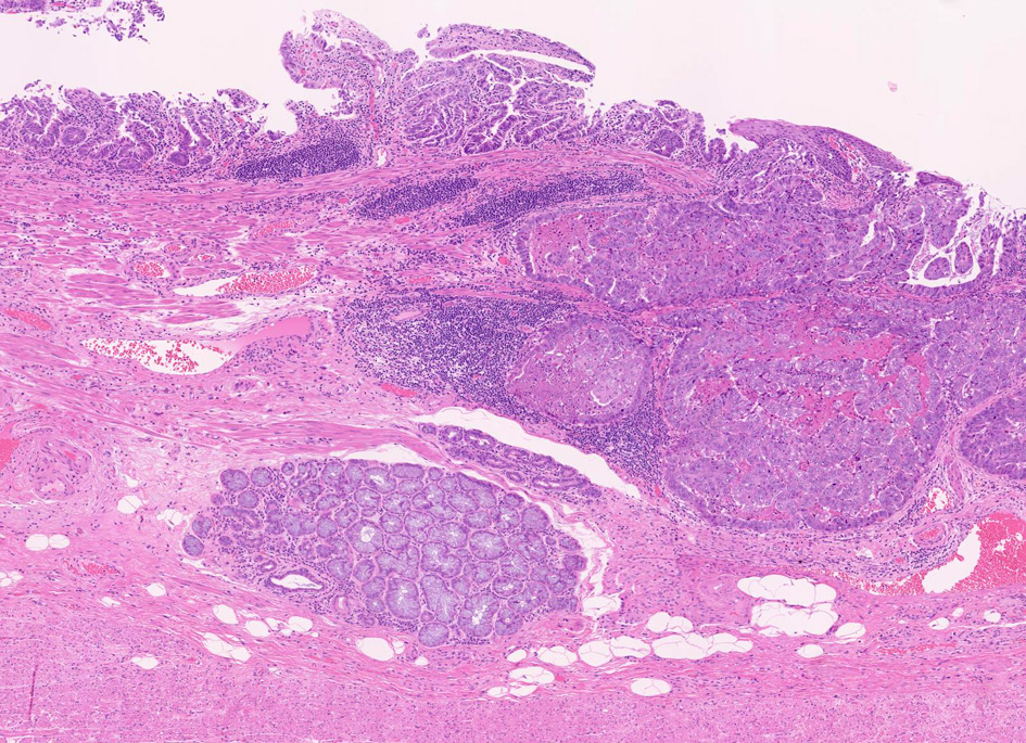
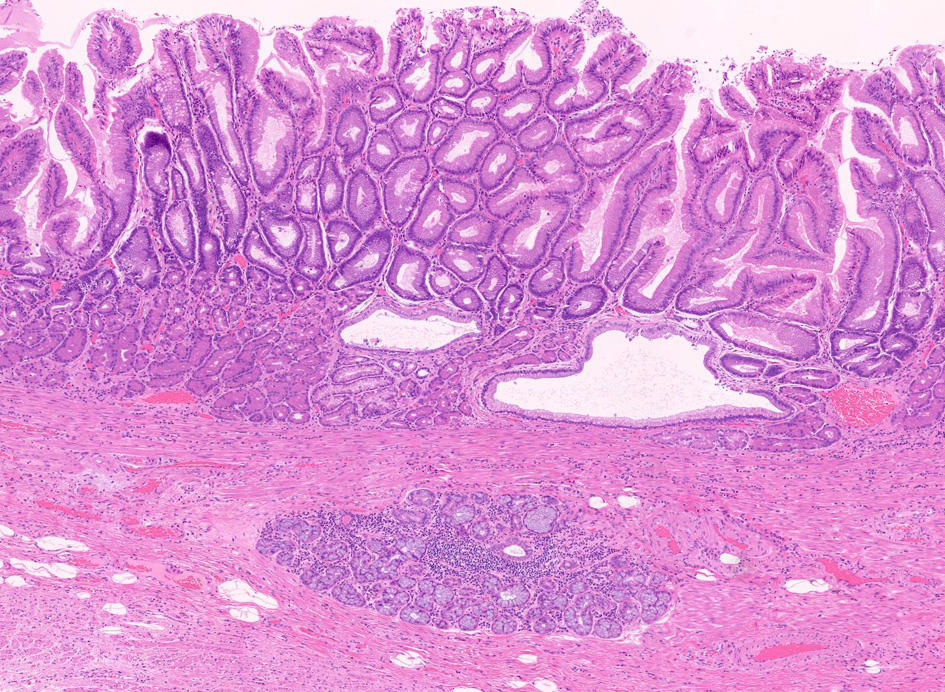
症例 Cancer of the Barrett esophagus

Virtual Slideを見る--右クリックで新しいウィンドウで開くと便利です。 初めてVSを見られる方はこちらをご覧下さい。

クリックすると大きな画像が見られます。

 
Barrettca01.jpg
Barrettca02.jpg
Fig.1 Barrett食道 腺癌Fig.2 EGP

トップ   新規 一覧 検索 最終更新   ヘルプ   最終更新のRSS