Wikipathologica-KDP

Burkitt lymphoma

Burkitt lymphoma--case03

80歳代女性
かかりつけ医さんで高血圧治療中, 高LDH血症(2970IU/L)を指摘され精査のために当院受診。腹部CTで骨盤腔から後腹膜にかけての腫瘤および水腎症が認められた。
頸部, 鎖骨上窩にリンパ節腫大あり。悪性リンパ腫がつよく疑われ入院精査となる。入院時LDH 7220IU/L

左頚部リンパ節

BL-HE01.jpg
BL-HE02.jpg
BL-HE03.jpg
BL-HE05.jpg
BMclotMG01.jpg
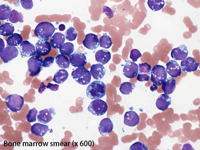
BMsmearMG01.jpg
骨髄クロット骨髄スメア標本

免疫染色

BL-CD20.jpg
BL-CD10.jpg
BL-bcl6.jpg
CD20CD10bcl-6
BL-MUM1.jpg
BL-bcl2.jpg
BL-CD3.jpg
IRF4/MUM1bcl-2CD3
BL-MIB1.jpg
MIB-1 index

核型を調べたが増殖不良のため、c-myc/ IgHのFISHを行った。 fusion 77.0%

cmycIgH.jpg

トップ   新規 一覧 検索 最終更新   ヘルプ   最終更新のRSS