Wikipathologica-KDP

後腹膜腫瘍

Pathological Diagnosis : Dedifferentiated liposarcoma of the peritoneum

50歳代女性
健診のエコー検査で後腹膜腫瘤を指摘される。無症状。CTでは左腎周囲から左腸骨窩にかけて20x12x18cmの腫瘤があり, Liposarcoma, leiomyosarcomaなどを疑われ, 腫瘤摘出術が施行された。

肉眼所見---固定前

freshmacro.jpg
tumorfresh01.jpg

Fig.01 and 02
固定前の肉眼所見。後腹膜に3個の大きな結節状腫瘤が認められる。左図ピンセットでつまんだ近傍に右腎が存在する。右割面。
(クリックすると大きな画像が見られます。)

 
tumorfix01.jpg
tumorkidfix.jpg

Fig.03
固定後の肉眼像。各tumorをA,B,Cとしました。Aは黄灰白色弾性硬。Bは脂肪腫と同じ外観です。
Cはゼリーのような性状で色はAに似ていました。
Fig.04(右)腎周囲も腫瘍成分に取り囲まれ,一部は骨様に硬い。腎実質に丸い白色の腫瘤が見られます。

組織所見と病理診断

Virtual Slide(URLの修正すみ)

Virtual Slideの横の番号(No.1-6)を右クリックして新しいウィンドウで開くとVSが見られます

後腹膜多結節性病変は, ほとんどが成熟したように見えるfat cellから構成されている。細胞は種々のサイズ,形態を示し,小葉構造をとるmono-あるいはmultivacuolated lipoblastが散在する。線維血管性の隔壁は厚かったり薄かったりするが, その中には異型のある紡錐形あるいは多形を示す間質細胞が認められる。well differentiated lipoma様のliposarcomaの所見を呈しています。(Virtual Slide-No.1 and No.2)

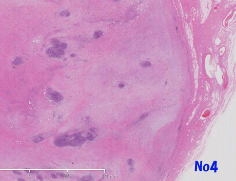
他の部分では異型細胞は, リンパ濾胞がよく発達した豊かな膠原線維性またはfibromyxoidな間質を伴って増殖しておりsclerosing and/or inflammaory variants of well differentiated liposarcomaの所見を呈する(Virtual Slide-No.3 and No.4) 。metaplastic ossificationが一部に認められた(Virtual Slide-No.5) 。

さらに腎臓に隣接した部分には硬化した線維性間質を伴い, 軽度異型を示す紡錐形細胞が束状または車軸状に増殖する脂肪由来には見えない結節構造がある。liposarcomaの脱分化成分と考えられる。(Virtual Slide-No.6)

 
no1a.jpg
no2a.jpg
no3a.jpg
 
no4a.jpg
no5a.jpg
no6a.jpg
 

謝辞

病理診断について産業医科大学橋本先生の御高診をいただきました。深謝いたします。


トップ   新規 一覧 検索 最終更新   ヘルプ   最終更新のRSS