Wikipathologica-KDP

静岡病理医会

病理アトラス--desmoplastic small round cell tumor

desmoplastic small round cell tumor, S状結腸生検組織--SPS229-Case07

浜松医大病院病理部 馬場聡, 土田孝 ほか

35歳男性

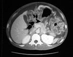
229SPS-07CT01.jpg
229SPS-07CT02.jpg

腹膜播種病変があり, S状結腸の病変から採取された生検組織に異型細胞増殖を認め, 直腸/大腸癌腹膜播種との鑑別が難しかった症例. 35歳で癌としては若年であった。
血清CA125が上昇していた。(925U/ml, normal:0-35U/ml), NSEもわずかに上昇(17.4, normal range; 0-12)

CT所見: 大量腹水と腹膜の凹凸不整があり腹膜播種癌性腹膜炎に矛盾しない。直腸壁の不整肥厚は原発性直腸癌の所見であってよい。この他, 両肺野には多数の小結節が認められ肺転移と考えられた。左頸部, 縦隔, 腎門部にはリンパ節腫大を認めた。

S状結腸の病変

229SPS-07EndS.jpg
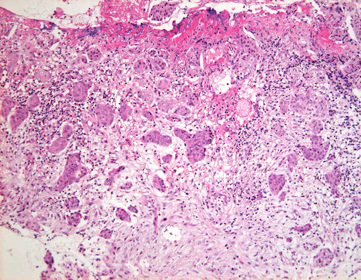
biopsyloupe01.jpg
biopsyloupe02.jpg
Lpf01.jpg
Lpf02.jpg
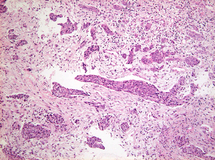
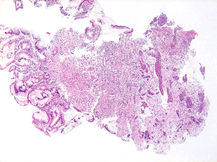
S状結腸粘膜病変大腸生検組織大腸生検組織

内視鏡所見:直腸は壁外圧排, S状結腸には壁外からの浸潤と思われる腫瘤があり狭窄している。この部位より生検

S状結腸粘膜生検組織所見:
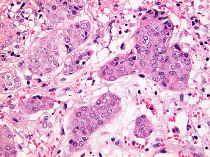
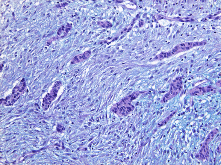
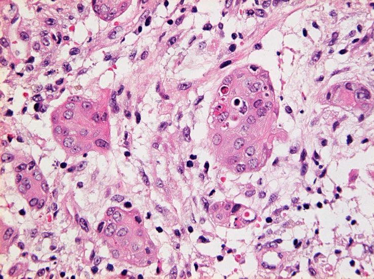
粘膜筋板直下に小型胞巣を作って浸潤し炎症性の間質をともなう。 浸潤性増殖のわりに細胞は均一, そんなに異型性も強くない。apoptosisに陥った細胞が散在する。部位によっては胞巣状増殖細胞は細胞間橋がありそうな扁平上皮様に見える。深いところは線維性間質が増えてきて細胞は索状となりcarcinoidなども鑑別候補となるかもしれない。明らかな腺管形成, 粘液産生はみられない。35歳男性, わりとおとなしい扁平上皮癌様の組織か?と生検初見時に考えられた。desmoplasticな間質にもよく観察するとバラけた細胞異型が認められる。 (腫瘍胞巣①, ③)

Hpf03.jpg
Hpf05.jpg

#ref(): File not found: "Hpf02.jpg" at page "Desmoplastic round cell tumor"

AB02.jpg
腫瘍胞巣①腫瘍胞巣②腫瘍胞巣③深い部分

鑑別診断-初見時

免疫染色所見

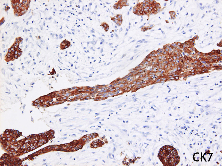
CK7b.jpg
c-kit02.jpg
vimentin02.jpg
desmin03.jpg
CK7c-kitvimentindesmin

CK7陽性, vimentin陽性. 大腸腺癌は考えにくい結果。c-kit陽性と考えるが膜型かどうかやや不鮮明. desminが少数であるが陽性となる細胞あり。核周囲dot状といえる染まり。ひょっとするとdesmoplastic round cell tumorではないかと考えるようになる。

WT-1C01.jpg
WT-1N01.jpg
WT-1 C terminusWT-1 N terminus

WT-1はc-terminus抗体に核陽性を示すがn-terminusは陰性となりDSRCTの所見に矛盾しない。遺伝子診断はしていない。(他院標本のため)

CA125b.jpg

DSRCTでは血清CA125およびNSEが上昇している症例が報告されている。*1
本例の腫瘍細胞も免疫染色でCA125が細胞質に陽性を示した。(右図)

関連する論文 --->

Speaker's diagnosis

Desmoplastic small round cell tumor with invasion to sigmoid colon, sigmoid colon, biopsy

desmoplastic small round cell tumor (DSRCT)

Discussion

floar01: 診断において細胞の形態はいろいろあるので,desmoplasiaがより大切とききましたが、この症例ではどうでしょうか?

speaker: これは結腸生検組織なので, 深いところは結構desmoplasticでした。

co-worker: 自分もdesmoplasiaはよく気がつかなかった。間質は変だなとはおもったんですが

floar01: 大腸癌もdesmoplatic fibrosisを胞巣周囲にともなうので, 診断は難しいと思うんですけど, 腺癌ではないとしたのは、どの所見からですか?

speaker: 腺が見つからなかったのと臨床所見が, 後から知ったんですけれどなかなかあわないと..., 腺様構造があれば腺癌でながしたかも・・

floar02: 腹水の細胞診は?

speaker: 陰性でながしてます。診断が就いた後MOCを染めるとそんなにいかつくない細胞がぱらぱら染まっていたので, たぶん中皮かなんかだと、ながしていたんですけどがん細胞が浮いていました。でもその目でみても細胞診で拾うのは無理でした。免疫染色していたらわかったかもしれないですが・・

floar03: 発生部位は直腸の漿膜寄り?

speaker: 生検はS状結腸ですが, 発生部位は正確にはわかりません。

floar03: 腹膜はどうなってますか?

speaker: 腹膜は壁側臓側とも, 画像上は不整です。病変はあったとおもいます。

floar03: 腹膜に多いですね

floar01: 以前の診断名には intra-abdominalがついてましたよね。現在はついていません。

speakr: 大部分は腹腔内ですね。報告では胸腔や泌尿生殖器などに発生するようです。全く例外的ですが

floar04: 遺伝子診断をするときは方法はどうするんですか?

floar01: 生組織があればRT-PCRが可能です。ない場合は, in-situ hybridizationができると思います。parffin切片でのCISHも可能に成っているんじゃないでしょうか. (paraffin組織切片でのRT-PCRも成功することがあります。)

floar04: probeは売ってますか?

floar01: SRLなどに頼めるのではないかと思いますが。たぶん。

speaker: 誤った診断で皆さんのところに紹介されることなく, 正しい診断ができてよかった例だと思います。

Wilms' tumor gene product,Wilms' tumor protein (WT-1, WT1)

 
WT-1zinc-fingers.jpg
 
 
 

亜鉛フィンガータンパク質 Zinc finger proteins


*1 Ordonez, N. G. and A. A. Sahin . CA 125 production in desmoplastic small round cell tumor: report of a case with elevated serum levels and prominent signet ring morphology. Hum Pathol 1998. 29:294–299.
*2 Armstrong JF,et al. The expression of the Wilms’ tumour gene, WT1, in the developing mammalian embryo. Mech Dev 1993;40:85-97.
*3 Little M, Wells C. A clinical overview of WT1 gene mutations.Hum Mutat 1997;9:209-25.
*4 Doglioni C, et al. Calretinin: a novel immunocytochemical markerfor mesothelioma. Am J Surg Pathol 1996;20:1037-46.
*5 Gerald WL, et al. Clinical, pathologic, and molecular spectrum of tumors associated with t(11;22)(P13;q12); desmoplastic small round-cell tumor and its variants. J Clin Oncol 1998;16:3028-36.
*6 Barnoud R, et al. Desmoplastic small round cell tumor: RTPCRanalysis and immunohistochemical detection of theWilm’s tumor gene WT1. Pathol Res Pract 1998;194:693-700.
*7 Barr FG, et al. Molecular assays for chromosomal translocationsin the diagnosis of pediatric soft tissue sarcomas. JAMA1995;273:553-7.
*8 Charles AK, et al. Immunohistochemical detectionof the Wilm’s tumour gene WT1 in desmoplasticsmall round cell tumour. Histopathology 1997;30:312-4.

トップ   新規 一覧 検索 最終更新   ヘルプ   最終更新のRSS