Wikipathologica-KDP
EBV positive DLBCL of the elderly-233SPS-Case04
Age-related EBV-associated B cell lymphoproliferative disorder†
2003年にOyamaら*1により加齢性EBV関連B細胞リンパ増殖異常症として初めて報告され, 2008年WHO分類ではEBV-positive DLBCL of the elderlyの一項目として掲載されている*2。
加齢(老耄)以外には, 2次的な免疫機能不全や先行するリンパ腫がない50歳以上に発症するEBV陽性B細胞腫瘍と定義される疾患。
- 定義上,診断には患者さんにHIV, HTLV-1, 自己免疫疾患, 免疫抑制剤投与または悪性腫瘍に対する化学療法や放射線療法の既往がないことを確認する必要がある。
- 加齢に伴う免疫低下由来のEBV関連LPDを包括的に理解するために提案された. 当初は疾患というよりも疾患概念に近いという批判があった.
- 2011年にはDojcinovらにより米国NIHデータにより欧米においても同様の疾患が報告された.*3
- 反応性から明らかにリンパ腫病変までを網羅する疾患スペクトラムで後者のリンパ腫は2008年分類でEBV positive DLBCL of the elderly, 2017年WHO分類では, より若年者でも発症することから,
非特異型EBV-positive DLBCL, NOSの呼称が用いられた.
- 若年性(45歳未満)と加齢性(45歳以上)ではEBV-positive DLBCL, NOSの病態は明らかに病態の異なる疾患である.
EBV陽性びまん性大細胞型B細胞リンパ腫, 非特異型(年齢関連) *2
■ 若年性(45歳未満)節性*4
- 組織所見はほとんどが, T-cell/ Histiocyte-rich large B-cell lymphomaと同様.
- 節外発生例は基本的に伝染性単核球症に続発するリンパ増殖異常症であり, B細胞性の慢性活動性EBV感染症にあたると考える.
■ 加齢(老人)性 45歳以上.*5*6*7
臨床事項
- 性差はない。年齢分布は50-92歳(中央値 71歳)
- 約50%にB症状(発熱, 盗汗および体重減少)が観察される
- 60-70%にリンパ節病変が認められる。
- 節外臓器浸潤は胃, Waldyer ring, 皮膚, 肺, 鼻腔, 口腔, 脾臓, 膣, 脊椎, 膵などである
病理組織学的所見
diffuse large B cell lymphoma(DLBCL)に比べて以下のいくつかの特徴的所見が認められる。
- 壊死;病変内に広範な壊死巣を伴う症例が多い。採取病変がほとんど壊死に陥っていることもある
- 血管中心性または血管破壊性浸潤; 節外性NK/T細胞リンパ腫にみられるような腫瘍細胞の血管壁浸潤および破壊像を見ることがある。
- 多彩な反応性背景; 小リンパ球, 形質細胞, 組織球などの浸潤があり時に類上皮反応を認める。これらは同一病変内でも程度が異なることがある。炎症性病変とまぎらわしい場合もある。
- Hodgkin's cell, Reed-Sternberg細胞様大型細胞がしばしば認められる。
組織学的特徴より次の2群に分類される。
1.large cell lymphoma subtype(LCL)
大型腫瘍細胞の単調びまん性増殖が主体。通常のDLBCLとして認識が可能な群。
2.polymorphic lymphoproliferative disorder subtype(PLPD)
大型腫瘍細胞のシート状増殖はみられない。多彩な反応性背景をもちRS細胞様巨細胞が散在性に出現しホジキン病や反応性病変との鑑別が問題となる。
- LCLであっても部分的にはPLPDとしての組織像を示すものも多い
- 当初はLCLの予後が有意に不良であったが症例の蓄積につれて両者に差はみられなくなっている
免疫染色
- RS細胞様巨細胞, LCLの大型細胞は B細胞マーカ(CD20, CD79a)が陽性。いずれかが消失することもある。通常腫瘍細胞の50%以上が陽性となりHodgkin病との鑑別点となる。
- MUM1が陽性であり腫瘍細胞はpost-germinal center由来と推定される
- CD30は50%に陽性。CD15は陰性。
- ホジキン様節外病変の場合CD15が腫瘍性巨細胞に陽性であってもCD20陽性であれば本疾患とするべきであるとする考え方が最近Jaffeら*8により提示された。
予後
5年生存率は30%以下と予後不良である。EBV陰性DLBCLあるいはEBV陽性ホジキンリンパ腫と比較しても予後が悪い。Rituximubの効果については未検証。
EBウイルスの潜在感染*1†
各種疾患におけるEBウイルス latent genesの発現
NPHCa: nasopharyngeal carcinoma, HD: Hodgkin's disease, PTCL:peripheral T cell lymphoma
LPD: lymphoproliferative disase, IM: infectious mononucleosis
- EBウイルスを検出する抗体としてはEBNA2, EBERに対するin situ hybridization(EBER-ISH)とLMP1がある。EBER-ISHが最も感度がよく、LMP1は中間で、EBNA2が最も悪い。
3つの組み合わせで, 感染の有無と潜在感染タイプ(latency)の判定が可能である.
LMP1
- 6個の膜貫通ドメインをもつ膜タンパク質で細胞膜上で二量体を形成する.
- LMP1は, B細胞の不死化に必須で, C末端細胞内領域には, transformation effector site (TES)-1, -2とよばれる不死化活性を担うドメインが存在する.
- TES-1, 2にTNF-receptor-associated factor(TRAF)とTNF-receptor-associated death domain(TRADD)が会合し, 細胞内シグナルを惹起し, NF-kappaB, c-JUN N-terminal kinase(JNK), p38MAPK;経路などがリガンド非依存的に恒常的に活性化される。
- この活性化経路は, B細胞活性化, 増殖, 免疫グロブリン(Ig)クラススイッチ, 胚中心形成に必要なCD40シグナル伝達と同じ経路であり, LMP1はCD40からのシグナル伝達を模倣すると考えられている.*9
- LMP1はin vitroでHRS細胞の受容体型チロシンキナーゼ discoidin domain receptor1(DDR1)の発現を亢進させることが報告されている*10DDR1はリガンドのコラーゲンと結合しNF-kBや, PI3K/AKTなど下流シグナルを活性化し, 微小環境との相互作用でアポトーシスからHodgkin Reed-Sternberg(HRS)細胞を保護, 生存促進に働くと考えられる.
EBNA2
- 転写活性化因子であり,DNA 結合能はもたないが宿主 DNA 結合蛋白質である RBP-J κ,PU.1 との結合を介し,CD23,c-fgr,c-myc などの宿主遺伝子およびウイルス遺伝子 LMP1,LMP2 などの転写活性化をおこす 12,16).
- B リンパ球の不死化能をもたない P3HR-1 細胞株 EBV はEBNA2 が欠損しているが,欠失している EBNA2 を補うことで不死化能が回復することから EBNA2 は B リンパ球の不死化に必須であることが示された 13,7).これには EBNA2のもつ LMP1 や c-myc の転写活性化能が関与していると考えられる.
- EBNA2と結合する RBP-Jκは Notch シグナルの伝達分子であり,通常は転写抑制に働くが活性型Notch(Notch1C)によりその抑制が解除され転写活性化がおこることが知られている.つまり RBP-J κとの結合を介し転写活性化をおこす EBNA2 の機能は Notch1C と同様であると推測され,B リンパ球の不死化における EBNA2の作用が Notch1C によって置換できるということから,EBNA2 が Notch シグナルを模倣していることが示唆されている 11).
- EBウイルスに感染した細胞の一部に陽性。陽性であれば宿主の高度の免疫不全を示唆するLatency typeⅢの状態を示し病態の把握に役立つ。
EBER
- EBER は2本鎖構造をもつ, 蛋白質に翻訳されないnon-coding small RNAで,EBER1とEBER2 からなり,RNAポリメラーゼⅢにより転写される.
- 大部分は核に局在し,最大10^7 コピー存在する.EBER はアデノウイルスの VA1,VA2,細胞のU6 small RNAとその構造が類似しており,La,EAP/L22,PKR などの細胞内蛋白質と結合する 45,46,6)(図 3).
- EBER 欠損ウイルスでは B 細胞の不死化効率が低下することが明らかにされている51).
- EBER は PKR に結合しその活性を抑制することで BL 細胞ではインターフェロン(IFN),上皮細胞では Fas により誘導されるアポトーシスに対する抵抗性をもたらすこと 32,33),さらに BL 細胞で IL10,T リンパ球において IL-9,胃癌細胞や上咽頭癌細胞においてインスリン様増殖因子(IGF)-1 の発現を誘導し,オートクライン作用により EBV 感染細胞の増殖を促進するなど,''EBER が発癌において重要な役割を果たしていることが研究により明らかとなった. 26,52,20,21).
EBV positive DLBCL of the elderly†
80歳 男性
生来健康で特記すべき既往歴なし。食思不振で受診。頸部に多数のリンパ節腫大を認める。
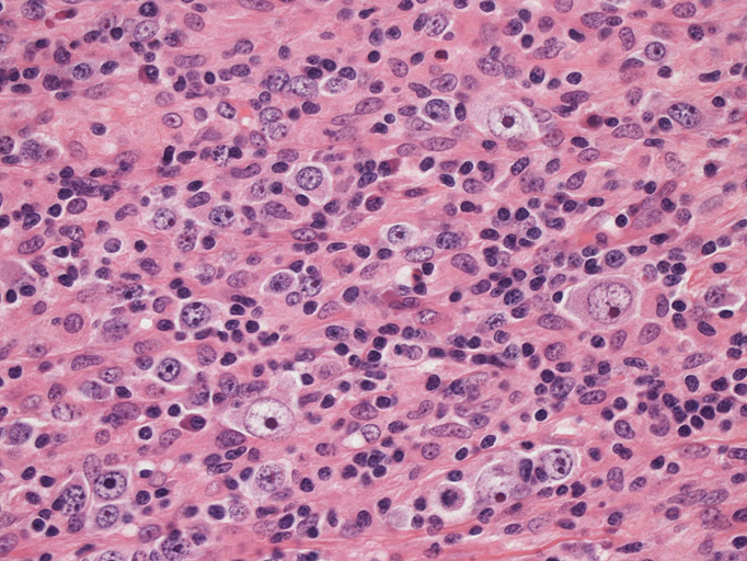
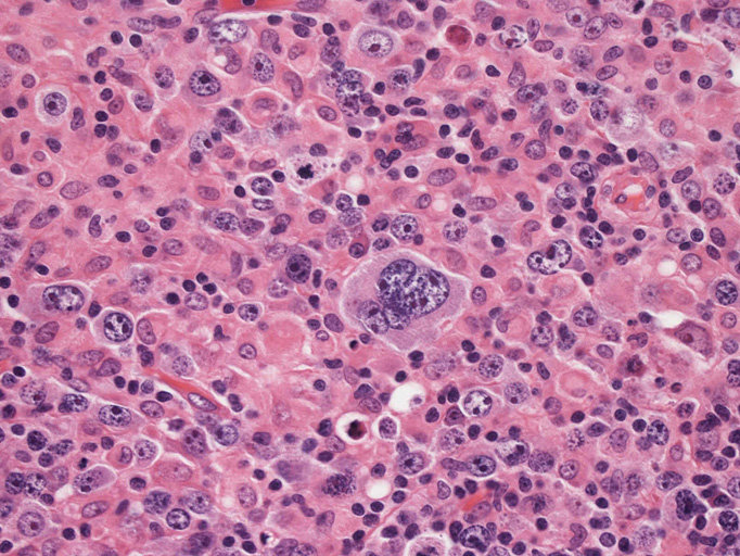
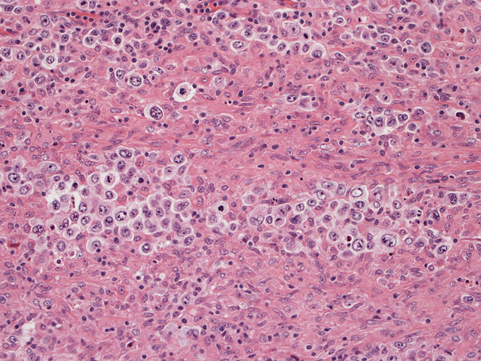
病理組織所見†
頸部リンパ節病理組織所見
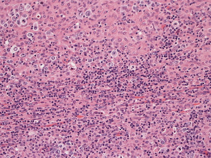
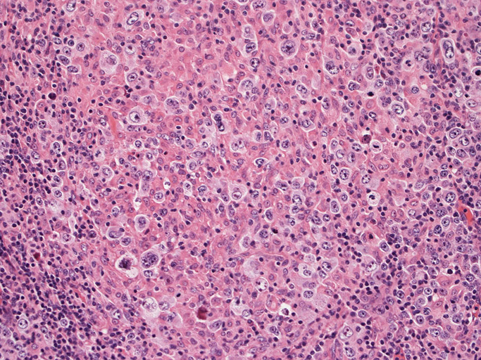
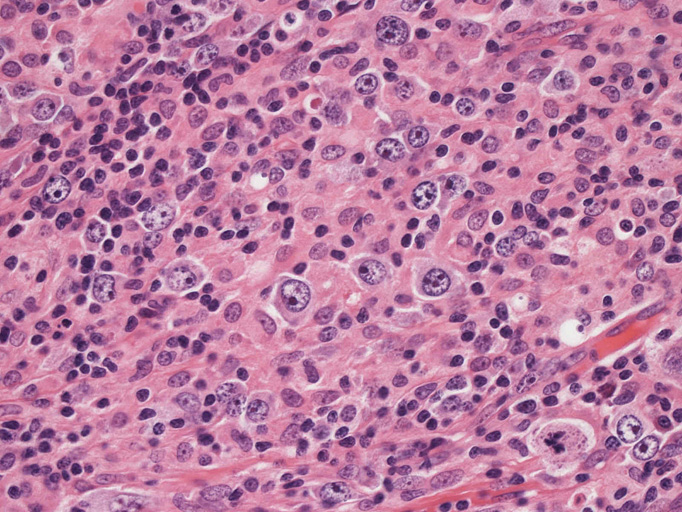
直径17mmの腫大したリンパ節。被膜は軽度線維性肥厚を示す。リンパ節の基本構造は失われ不明瞭な結節様構造が集蔟しているように見える。
光顕および免疫染色所見
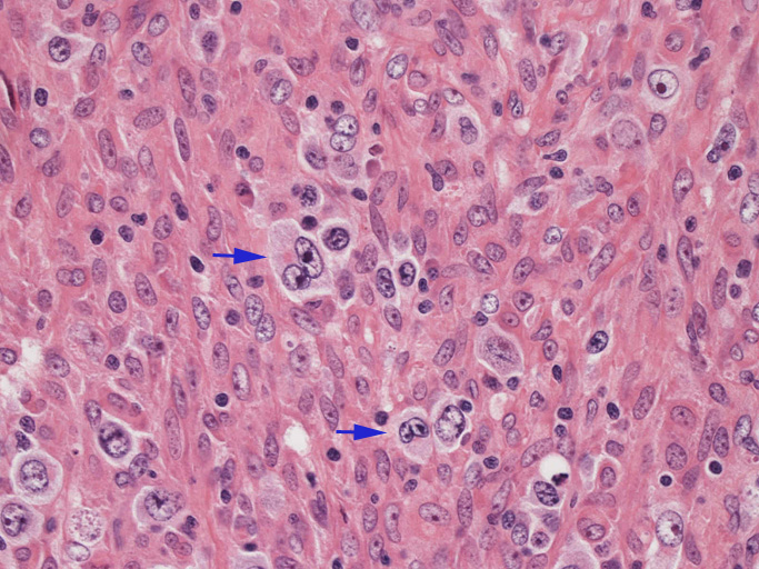
結節構造内では, 好酸性細胞質をもつ組織球の増生を背景に大型異型細胞が散在性または集蔟して増殖している。被膜下にも線維化組織内にbizzarreな大型細胞が認められる。リンパ球は小型リンパ球が大型異型細胞を含む組織球性の結節辺縁に存在する。大型細胞は, centroblastic cellが多く, その他 Hodgkin cell-like cell, RS細胞様巨細胞, 腎臓型の核をもった細胞, 多型核の細胞など多彩な形態を示す。異型核分裂像をふくむ核分裂像が多い。
大型異型細胞の形態
|
|
|
|
|
| Hodgkin cell-like | centroblastic | centroblastic | multinucleic |
|
|
|
|
|
| anaplastic large | kidney-shaped | mirror image | atypical mitosis |
免疫染色†
腫瘍細胞はCD20+, CD30+, CD15-, PAX-5+, Oct.2+, BOB.1+(Oct2, BOB1は田丸先生の染色結果), EBER-ISH+, EBNA2-
背景細胞はCD3+ Tリンパ球(CD8>CD4)とCD163, CD68陽性組織球。
|
|
|
|
|
| CD20 | PAX-5 | CD30 | EBER-ISH+ |
|
|
|
| |
| MUM-1 | CD3 | 背景組織球はCD163+ | |