Wikipathologica-KDP

PathologyAtlas

WHO2016 revised classificationで Intestinal T-cell lymphomaへ再編成。

Intestinal T-cell lymphomaのページ 作成中.

 

腸症型T細胞リンパ腫 Enteropathy-associated T-cell lymphoma (ETL)

粘膜リンパ系についての勉強

ETLは形態的あるいはImmunophenotypeにより複数のタイプを含む

CD103

CD103は接着分子インテグリンαEサブユニットでインテグリンβ7とヘテロ二量体を形成する.αEβ7インテグリンは接着分子として, Eカドヘリンをカウンターレセプターとするリンパ球の柔組織内への組織特異的区画化を決定する。上皮細胞と上皮内T細胞との異種間接着性相互作用を媒介する。αEのEはE-cadherinのEです。

インテグリンβ7はCD103の他, α4とα4β7を形成してmucosal vascular addression cell adhesion molecule(MadCAM)またはCD106(= VCAM-1)と相互作用をもつ

ETLのkaryotype異常

Gastrointestinal lymphoma: where morphology meets molecular biology. Isaacson PG, Du MQ. J. Pathol. 2005 Jan;205(2):255-74.

Most CD56+ intestinal lymphomas are CD8+CD5-T-cell lymphomas of monomorphic small to medium size histology.Chott A, Haedicke W, Mosberger I, Fodinger M, Winkler K, Mannhalter C, Muller-Hermelink HK. Am J Pathol. 1998 Nov;153(5):1483-90.

Whole-Genome analysis and HLA genotyping of Enteropathy-type T-cell lymphoma reveals 2 distinct lymphoma subtypes Deleeuw RJ et al. Gastroenterology 2007;132:1902-1911

症例01

病理組織所見

40歳代後半, 女性
小腸穿孔による汎発性腹膜炎で緊急開腹, 小腸部分切除を行う。数ヶ月前より下痢が持続していた。切除小腸壁は髄様の割面を呈し高度に肥厚,全周性びらん, 潰瘍性病変が多発している。

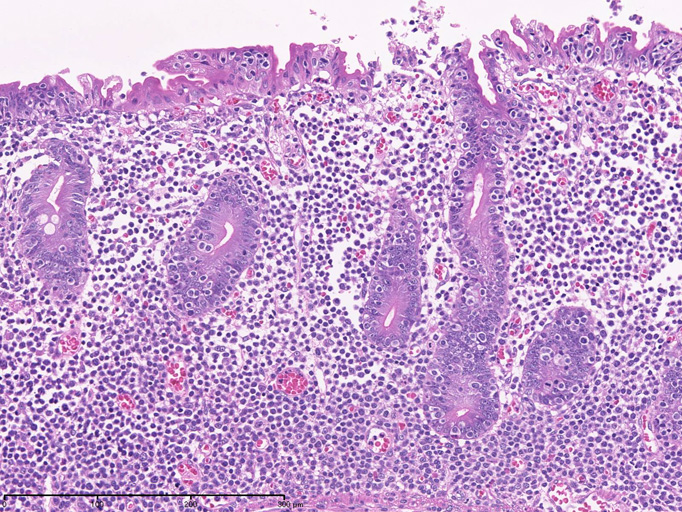
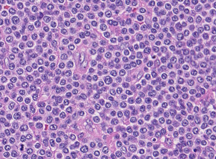
腫瘍細胞は腸管全層に密に浸潤している。粘膜表面は上皮が消失しびらんを形成。(Fig.1), 高倍率では中型, medium sized(組織球の核とほぼ同じサイズ)の類円形核をもつ比較的淡明な細胞質の異型リンパ球様細胞が密にmonotonousな増殖を示している。(Fig.2,3)
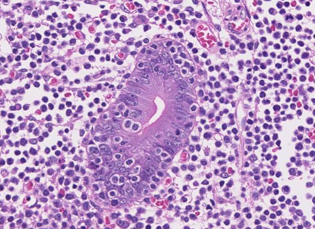
粘膜固有層には腫瘍細胞が充満し腺窩基底膜側より陰窩内に進入してIntraepithelial lymphocyte(IEL)の上皮浸潤を模倣する特徴的な蚕食像を示している。(Fig.4)

ETCL07a.jpg
ETCL02a.jpg
ETCLcell.jpg
ETCL01a.jpg
Fig.1Fig.2Fig.3Fig.4
 
Mosseaton.jpg

Pathological Diagnosis: Enteropathy-associated T cell lymphoma, monomorphic type
CD3ε+, CD8+, CD56-, TIA-1+, CD4-, CD5-, CD10-, CD20-, CD30-, UCHL-1-

症例02

65回中部交見会No.1142

ETL細胞のphenotypeとgenotype

臨床事項

食道転移病変生検により診断されたEnteropathy-associated T-cell lymphoma

嚥下障害を契機に食道生検によって診断に至った腸症型T細胞リンパ腫の1例 Enterophathy associated T-cell lymphoma with the initial diagnosis made by esophageal biopsy:a case report 野口寛子ほか, 診断病理 Vol.029; No.01:76-79, 2012

 
 

WHO2008からWHO2016分類におけるETLの疾患概念変更

3. WHO 2016 classification;

WHO2016新分類によるIntestinal T-cell lymphomaのページを見る.  (作成中).


トップ   新規 一覧 検索 最終更新   ヘルプ   最終更新のRSS