Wikipathologica-KDP

epithelioid hemangioendothelioma of the lung-pulmonary hemangioendothelioma(PEH)

以前はIVBAT(intravascular bronchioloalveolar tumor)と呼ばれた病変

症例01

CT01HE.jpg

70歳代女性
健康診断で右上肺野の腫瘤陰影を指摘されてから2年間follow upしていた。徐々に腫瘤影が増大しspiculationを認めるようになる.診断と治療目的で胸腔鏡下腫瘤切除を行う。

病理組織所見

Virtual Slideをみる--->VATSで採取された肺腫瘤No01, 肺腫瘤他の切片No02 (修正すみ)

HE組織像

EHE05.jpg
EHElung03.jpg

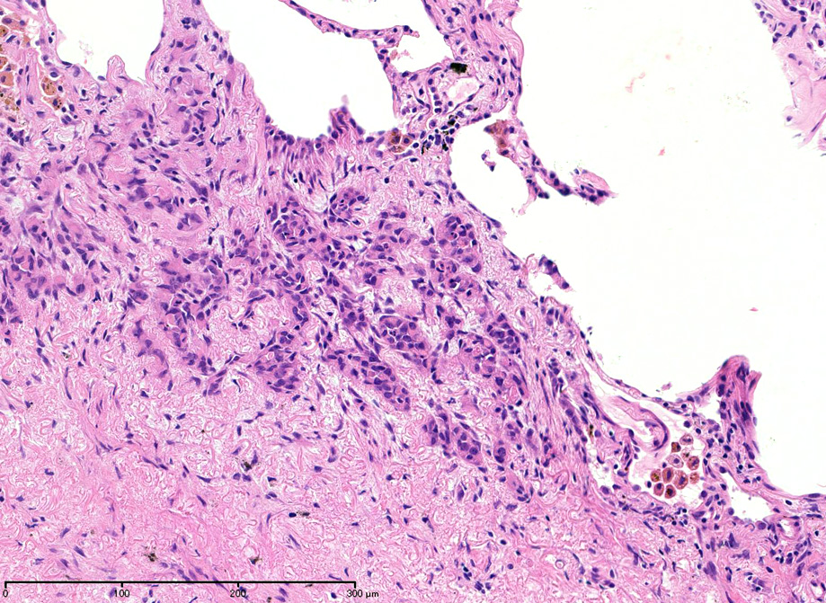
直径5-6mmの, 中央に弾性線維をふくむfibrous noduleがあり, 腫瘍細胞は結節の辺縁部に沿って認められる。
クリックすると大きな画像が見られます。

 
EHElung02.jpg
EHEiv.jpg

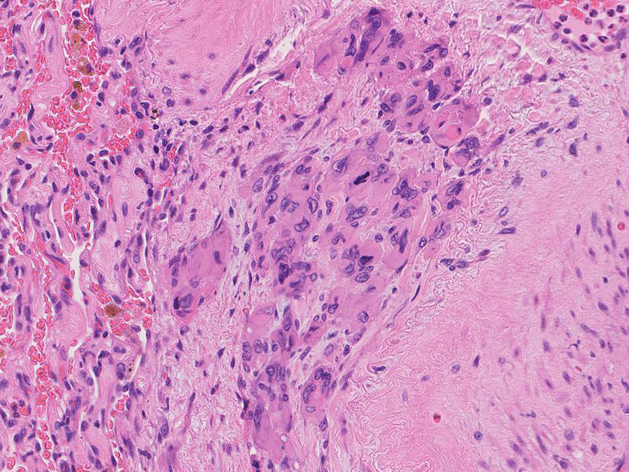
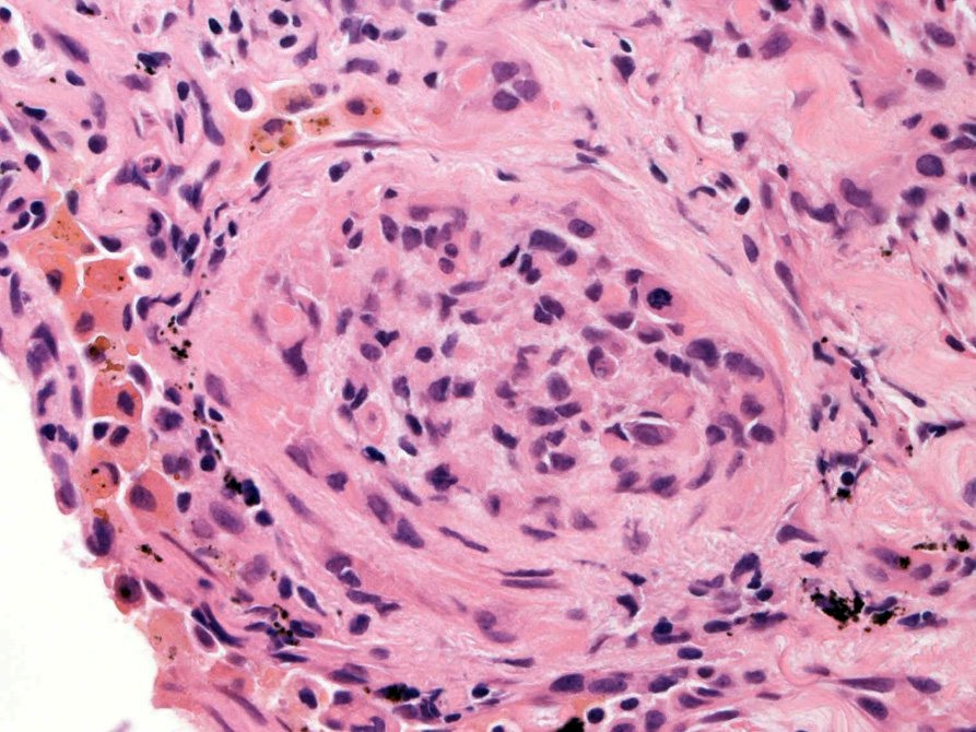
hyperchromaticな類円ないし多角の核で好酸性の広めの細胞質をもつ上皮様細胞が増殖している。右図では血管内を占拠するように腫瘍細胞が認められる。

 
EHElung04.jpg
EHEatypia.jpg

左図:腺腔様の裂隙が胞巣内にみられ, 凍結標本だと腺癌との区別がむずかしい。
右図:多型細胞や異型細胞が出現。核分裂像も異常に見える。

 

Pulmonary epithelioid hemangioendothelioma(PEH)*1

1975年, DailとLiebowにより肺のepithelial hemangioendothelioma(EHE)について20症例のまとめが最初に報告された。*3これらはDr. Liebowのconsultation casesに含まれていたもので, はじめは「高率に血管内進展を伴うbronchoalveolar tumorのまれなvariant」として扱われ, intravascular BAT(IVBAT)と呼ばれた。これは両側多発腫瘤という発生形式と典型的なbronchoalveolar patternを示す肺癌の合併する症例があるための混乱であった。

1979年以降, 電顕と免疫染色(Factor-Ⅷ)をもちいた研究によりIVBATは血管内皮由来の腫瘍であることがわかってきた。1983年Dailは20症例の詳細を報告した。*4
YousemとHochholzer*5は通常とは異なる胸腔内病変をきたしたEHE, 4症例を報告した。[ 縦隔内腫瘤, 癌性リンパ管症に似たリンパ行性転移, 中皮腫に似た胸膜肥厚病変, 石灰化をきたした肺内弧在性腫瘤 ]

この疾患は肺のみではなく他の臓器にも発生することが確認されるようになった。


*1 DH Dail, SP Hammar and TV Corby Pulmonary Pathology-Tumors 1995; pp284-292, Springer-Verlag
*2 Case record#10-1990 New Engl J Med 1990; 322: 683-690
*3 Dail D and Liebow A Intravascular bronchioloalveolar tumor(Abstr.) Am J Pathol 1975; 78: 6a-7b
*4 Cancer(Philadelphia) 1983; 51: 452-464
*5 Yousem SA et al. Unusual thoracic manifestations of epithelioid hemangioendothelioma. Arch Pathol Lab Med 1987; 111: 459-463
*6 Weiss SW et al. Epithelioid hemangioendothelioma: A vascular tumor often mistaken for a carcinoma Cancer (philadelphia) 1982; 50: 970-981
*7 Ishak KG et al. Epithelioid hemangioma of the liver: A clinicopathologic and follow-up study of 32 cases. Hum Pathol 1984; 15: 839-852
*8 Ellis GL et al. Epithelioid hemangioendothelioma of the head and neck: A clinicopathologic and follow up study of twelve cases Oral Surg Oral Med Oral Pathol 1986; 61:61-68
*9 Tuneyoshi M et al. Epithelioid hemagioendothelioma of bone: A clinicopathologic, ultrastructual and immunohistochemical study. 1986; 10: 754-764
*10 Taguchi T et al. Intravascular bronchioloalveolar tumor: Report of an autopsy case and review of the literature. Acta Pathol Jpn 1985; 35: 631-642

トップ   新規 一覧 検索 最終更新   ヘルプ   最終更新のRSS