Wikipathologica-KDP

膵臓のランゲルハンス氏島

 
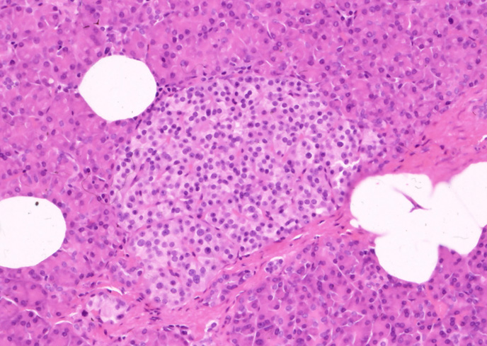
Langerhansilet.jpg

膵島(pancreatic islet, islets of Langerhans )*1

膵組織HE染色切片を光顕で観察すると周囲外分泌部に比べ淡染する島状の細胞集塊が容易に認められる。これが膵島で抗糖尿病因子(=インスリン)他のホルモンを分泌する重要な細胞を含む。
膵島は膵全体に広く散在し, とくに尾部に多い。形や大きさはさまざまである。一般には50-200μmの卵形ないし多角形で数十個から百個内外の細胞から構成されている。

クリックで大きな画像が見られます。

 

ランゲルハンス島のホルモン免疫染色

Insulin01.jpg
Glucagon01.jpg
somatostatin01.jpg
insulinglucagonsomatostatin

膵島の腺細胞はB細胞, A細胞, D細胞と近年存在の知られたPP細胞に分けられる。これらの細胞は集簇して細胞索(立体的には板状構造)の網工を形成している。細胞索の間には毛細血管と少量の線維組織が介在している。

B細胞

islet cellsの約60-70%を占めヒトでは島の中にまんべんなく分布している。血管面に集合する傾向の分泌顆粒をもつ。電顕で顆粒は暗調の芯をもち、この中に51個のアミノ酸からなるペプチドホルモンのインスリンinsulinを含んでいる。B細胞の膜にはグルコース分子に対する受容体が存在する。

A細胞

細胞質にアルコールに溶ける(alcoholのAがA細胞の名前の由来)分泌顆粒を多数含んでいる。顆粒の芯にはグルカゴンglucagonが含まれる。ヒトではB細胞の間に不規則に散在する。islet cellsの15-20%を占めている。

D細胞

長く伸びた多角形ないし不定形の細胞で一端は毛細血管に接する。少数散在性の細胞でislet cellの10-20%。渡銀染色では&color():Invalid color: #;。電顕で電子密度の低い球形顆粒をもつ。顆粒は粗面小胞体-ゴルジ系で構成され開口分泌によりソマトスタチンsomatostatinを分泌する。

somatostatin: もとは視床下部で発見された成長ホルモン放出抑制因子。典型的な脳腸ホルモン。D細胞のsomatostatinは局所的抑制ホルモンとして働き, gulucagonとinsulinの放出抑制作用が知られている。

PP細胞

近年発見された膵ポリペプチドpancreatic polypeptide(PP)を分泌する細胞。膵島周辺部や外分泌部に散在する。 PPの機能は, 胃酸, pepsinogenの分泌調節膵トリプシン分泌抑制などに関わり代謝と食欲の調節をおこなっていると考えられている。生理作用の本質については研究中。

C細胞はモルモットの膵に顆粒のない細胞としてBensleyが記載した。のちの研究でC細胞には顆粒が確認され, ヒトや他の動物のD細胞と同じものであることがわかった

A, B細胞のホルモン分泌が血糖上昇下降による細胞直接刺激でおこることは確認された事実となっている。自律神経を介する刺激の作用についての詳細は不明。ほ乳類の膵島は下垂体の支配はうけていないと考えられている。*2


*1 標準組織学 3rd Ed. pp338-346, 医学書院
*2 標準組織学 3rd Ed. pp338-346, 医学書院

トップ   新規 一覧 検索 最終更新   ヘルプ   最終更新のRSS