Wikipathologica-KDP

静岡病理医会

Langerhans cell sarcoma

CT03.jpg

木下 真奈1,2, 星 昭二1(1静岡済生会総合病院, 2浜松医大病理部)

60歳代女性

1ヶ月前より疼痛を伴う右側頸部腫脹が突然生じ近医を受診。顎下三角部を中心に側頸部全体が強く腫脹していた。抗生剤とステロイド投与によりやや軽快したが3個の腫瘤が残存した。うち一個は以前から存在していたが残り2個は2ヶ月ほど前に初めて自覚している。当院を紹介受診となり側頸部腫瘤生検の結果悪性リンパ腫が疑われ血液内科に入院治療となった。

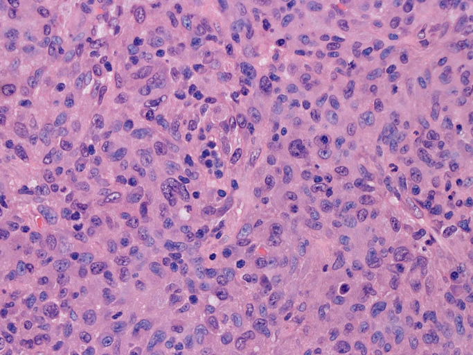
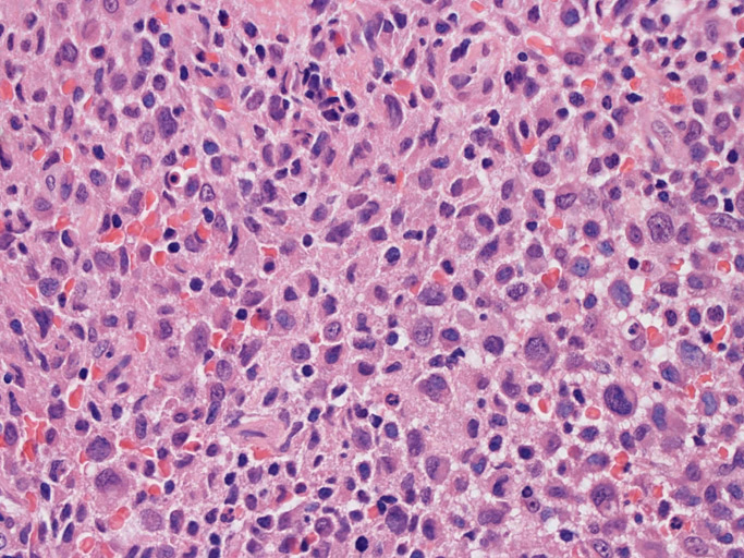
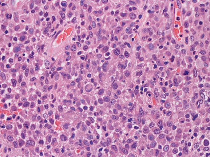
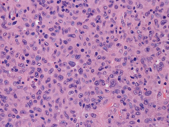
病理組織所見--頚部リンパ節

loupeLCHS.jpg

Virtual Slide--->頚部リンパ節 右クリックで新しいウィンドウで開くと便利です。

 
 
LCHS01.jpg
LCHS02.jpg
LCHS03.jpg
LCHS04.jpg
LCHS05.jpg
LCHS06.jpg

免疫染色

03CD4Ok.jpg
03CD68Ok.jpg
03langerinOk.jpg
03CD1aOk.jpg
03S100Ok.jpg
 

Langerhans cell sarcoma*1

LCSの臨床事項
現在まで20症例の英文報告例があり, 年齢は10-81歳で男女比は1:1 ほとんどの症例では, リンパ節と皮膚が侵される。肺, 肝, 脾, 骨病変も認められる。 4例のみがunifocalであり, 皮膚病変の症例である。 手術, 化学療法, 放射線療法によっても, 短期間の生存しかえられず予後は不良である。

鑑別診断
malignant melanoma 悪性黒色腫
anaplastic carcinoma
diffuse large B cell lymphoma
anaplastic large cell lymhoma
T cell lymphoma
dendritic cell tumors

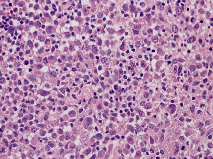
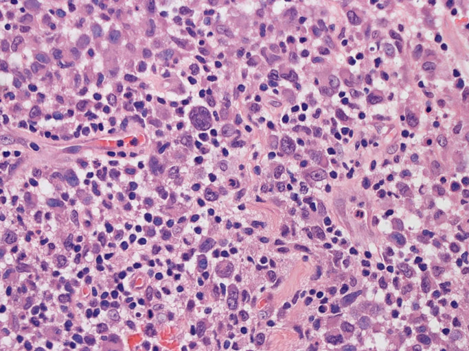
LCSの病理組織所見
Langerhans cell histiocytosisの高悪性度 variantで明らかな悪性像を示すLangerhans cellの腫瘍性増殖と定義される(WHO, 2008)
大型細胞の増殖よりなる腫瘍。縦溝,しわ,切れ込みのある核をもった大型細胞も出現する。クロマチンは顆粒状で核小体も明瞭である。核分裂は >50/10hpfと多い。eosinophilsは少ない。壊死が多発することがある。未分化ないし低分化な細胞像, 組織所見のため鑑別診断は多岐にわたり、的確な免疫染色を行う必要がある。

電顕: Birbeck granuleの確認はLangerhans cellとfollicular dendritic cell, interdigitatingdendritic cellの鑑別に有用である。後二者では, 各々desmosome/ prominent junction, cytoplasmic interdigitationを認める。

白血病化したLCHの症例*3


*1 Bohn O.L. et al., Cutaneous Langerhans cell sarcoma: a case report and review of the literature. Int J Hematol 2007;85: 116-120
*2 Kawase T et al CD56/NCAM-positive Langerhans cell sarcoma: a clinicopathologic study of 4 cases. Int J Hematol. 2005;81: 323-329
*3 Sumida K. et al., Leukemic transformation of Langerhans cell sarcoma Int J Hematol 2008; 87: 527-531

トップ   新規 一覧 検索 最終更新   ヘルプ   最終更新のRSS