Gastric type adenocarcinoma of the cervix uteri

WikiPathologica

lobular endocervical glandular hyperplasia with atypia

case: 46歳女性 水様性帯下があり受診。画像で子宮頸部嚢胞多発を指摘されconizationとなる。

病理組織所見

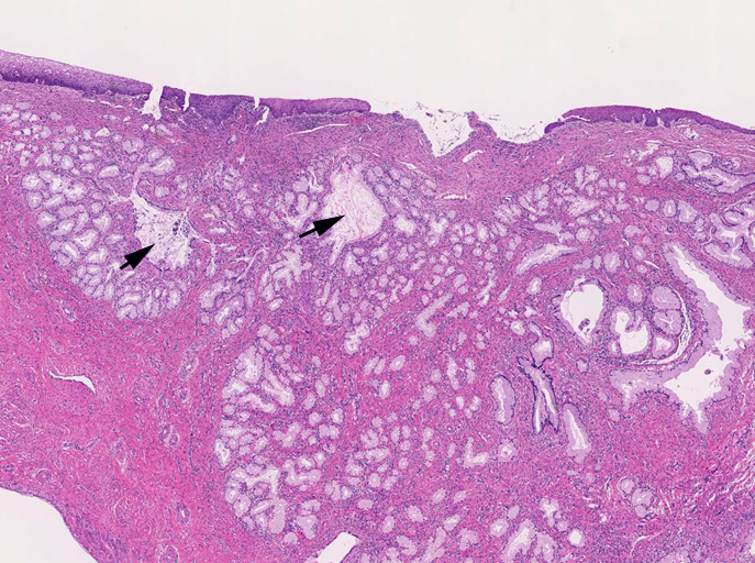
LEGHloupe01.jpg

子宮頚管腺に類似した高円柱上皮よりなる腺管の著明な増生を認める。これらは大型で拡張した導管様腺管と,それを囲繞するように配列する分葉状構造をしめす小型腺管からなり, 嚢胞状に拡張した腺管も随所に認められる。最深部にみられる腺上皮は, 嚢胞状に拡張した腺管の一部と考えられる。

増生腺管上皮の細胞質は淡明ないし淡好酸性で, 核は小型で基底側に配列し、明らかな異型や重層化, 核分裂像を認めない。

腺管が破綻し, 間質への粘液逸脱と、それに対する間質反応も認めるが, この部分でも細胞異型は見られない。

しかしながら完全に異型がないとはいえず分葉構造を保持しているものの上皮の内腔への乳頭状増殖や重層化, 軽度から中等度の核腫大, クロマチン増加, 核分裂像をしめす腺が認められる---> with atypia

間質の一部には炎症細胞浸潤がめだつ。間質浸潤を疑う「折れ釘-->いびつなおれ釘のようなねじれた--」のような不整な形態の腺管は認められない。

Lobular endocervical glandular hyperplasia(LEGH)*2

頸管腺過形成 endocervical glandular hyperplasiaの一型, 性成熟期に認め原因不明。偶然診断されることが多い。

既存の頸管腺の単なる過形成ではなく, 胃上皮化生細胞/腺管が肉眼的に認識できる面積(組織標本上)または体積(画像診断上)をもって限局性に増殖した病変小葉構造と表現される胃粘膜の類器官分化を示すことが特徴*3

LEGHは大型導管に類似した拡張腺管の周囲に中型から小型の腺管が分葉状に増生するのが特徴。小型腺管を構成する高円柱上皮細胞質は正常頸管腺上皮の細胞質が淡明あるいは, やや青白い色調を呈するのに対し淡明ないし淡好酸性となる傾向にある。
核は小型円形で基底側に配列し典型例では異型, 核分裂像は認めない。

大型導管に類似した拡張腺管は胃の表層粘液細胞を, 周囲を取り囲む小型腺管は幽門腺細胞を摸倣しておりAB/PAS染色では一様に赤紫に染まり, HIK1083は後者でしばしば陽性となる。

形態的に胃幽門腺に類似し, 免疫染色でMUC5AC, MUC6やHIK1083(M-GGMC-1)で陽性を示し幽門腺化生pyloric gland metaplasiaともよばれる腸上皮化生を伴うこともある

頸管壁の1/2以内に限局することが多いが, 約40%の症例では頸部腫大や粘液様ないし水様帯下増加をきたしCT, MRIで頸部の多発嚢胞形成として認められる。臨床的に悪性腺腫adenoma malignumとの鑑別が大きな問題となる

loupe像では, 拡張した導管を中心に高円柱上皮からなる腺管が分葉状に配置する所見が認められる。

子宮においては「腺腫」という独立した概念がなく, シアロムチンの発現を伴う軽度異型が見られるものを現在, 異型LEGHあるいは異型化生と診断している。しかし他の部位に発生する胃型病変と同様に腫瘍化と考えるべきで分子生物学的研究からも悪性腺腫の前駆病変の可能性が指摘されている。*4

 
LEGHlobule01.jpg
LEGHlobule02.jpg
 
 

2014年MatsubaraらはLEGH例にGNASの突然変異が認められる症例が多いことを報告した。*5

GNAS変異は19LEGH例中, 8例に(42%)認められ, 頚管腺型粘液腺癌の5%(4/79)にも検出されたが, 正常頚管組織には変異はみられなかった。すべてのGNAS変異LEGHsはHPV DNAも p16も陰性でありLEGHsの発生にその関与が強く考えられる。


*1  Nucci MR, Clement PB, Young RH. Lobular endocervical glandular hyperplasia, not otherwise specified: a clinicopathologic analysis of thirteen cases of a distinctive pseudoneoplastic lesion and comparison with fourteen cases of adenoma malignum. Am J Surg Pathol. 1999 Aug;23(8):886-91.
*2  Nucci MR, Clement PB, Young RH. Lobular endocervical glandular hyperplasia, not otherwise specified: a clinicopathologic analysis of thirteen cases of a distinctive pseudoneoplastic lesion and comparison with fourteen cases of adenoma malignum. Am J Surg Pathol. 1999 Aug;23(8):886-91.
*3  石井恵子 胃型粘液を発現する病変:子宮・肺・卵巣・膵胆道系 THE CHEMICAL TIMES 2009(4);17-21
*4  Kawauchi S et al., Is lobular endocervical glandular hyperplasia a cancerous precursor of minimal deviation adenocarcinoma?: a comparative molecular-genetic and immunohistochemical study.Am J Surg Pathol. 2008 Dec;32(12):1807-15.
*5  Matsubara A, et al. Lobular endocervical glandular hyperplasia is a neoplastic entity with frequent activating GNAS mutations. Am J Surg Pathol. 2014 Mar;38(3):370-6. PMID:24145653

トップ   新規 一覧 検索 最終更新   ヘルプ   最終更新のRSS