Wikipathologica-KDP

Marginal zone lymphoma of MALT type

MALT lymphoma of the stomach

MALT lymphoma = Extranodal marginal zone lymphoma of mucosa associated lymphoid tissue

症例01

 
loupe.jpg

51歳男性
診断の3年前より他院で胃潰瘍の内服治療を受けていた。follow upの内視鏡検査で胃角後壁に陥凹を指摘される。biopsyによりtubular adenoma, groupIIIの診断。EMRの目的で当院に紹介される。胃角後壁にφ1cm弱の小陥凹と周辺粘膜の発赤を認めた。EMR組織片の病理組織診断でMALT lymphoma of the stomach.

病理組織所見

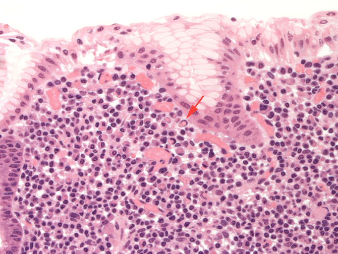
Fig.1と2では粘膜表層でMALT lymphoma腫瘍細胞がplasma cellへ分化している。orangeの矢印で示した核内封入体(Dutcher body)は異型plasma cellの特徴的所見である。その他の多くのplasma cellも核の多型やhyperchromatismを示している。 Fig.3には青矢印でLEL(=lymphepithelial lesion)を示す。MALT lymphoma腫瘍リンパ球の浸潤により胃腺窩が破壊されている。orange矢印はDutcher bodyの様です。

Dutcherbody.jpg
Dutcherbody02.jpg
LELdutcher.jpg
Fig.1 DutcherbodyFig.2 Dutcherbodyその2Fig.3 LEL(青矢印)とDutcherbody(オレンジ矢印)

Virtual Slide---> 胃,EMR組織 (右クリックで新しいウィンドウで開くと便利です。sorry you need psswrd to see the virtual slide。)


トップ   新規 一覧 検索 最終更新   ヘルプ   最終更新のRSS