Alveolar rhabdomyosarcoma

Alveolar rhabdomyosaroma

Undifferentiated small round cell tumors of the sinonasal tract

rhabdomyosarcoma 横紋筋肉腫

磐田市立総合病院

40歳女性 鼻粘膜腫瘤
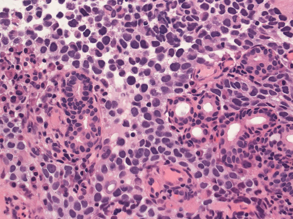
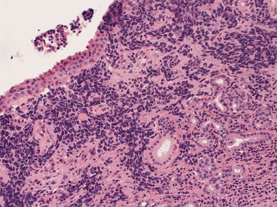
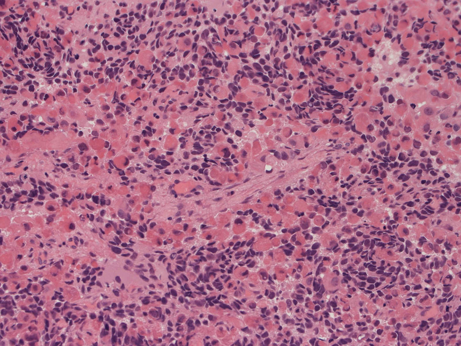
右頸部のしこりを自覚。近医MRIで頸部多発リンパ節腫大あり当院を紹介される。右顎下, 右鎖骨上窩にも多数のリンパ節を触れる。穿刺細胞診ではcarcinoma疑い。右鼻腔, 上顎洞にも腫瘤が認められリンパ節腫大との関係を調べるために鼻腔腫瘤の生検が行われる。

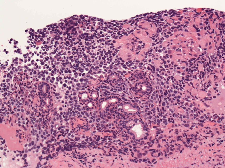
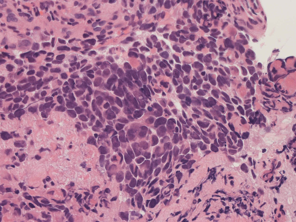
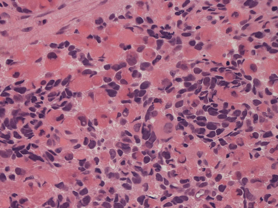
病理組織所見

HE01.jpg
HE06.jpg
HE03.jpg
HE02.jpg
HE04.jpg
HE05.jpg
HE07.jpg

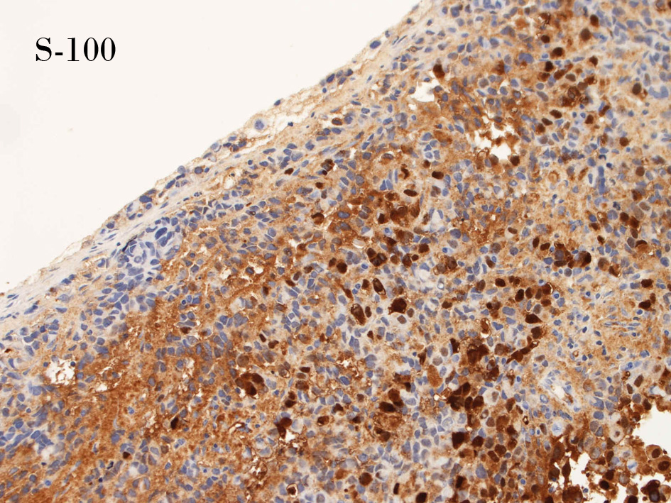
免疫染色

Desmin.jpg
Desmin_02.jpg
myogenin_01.jpg
DesminDesminmyogenin
myogenin_02.jpg
myoD1-01.jpg
myoD1-02.jpg
myogeninmyoD1myoD1
CD56.jpg
CD56rha.jpg
S100_01.jpg
CD56CD56S-100
 
 
 
ERMS_CK01.jpg

small round cell tumorの中でrhabdomyosarcomaは腫瘍細胞に種々の抗原が陽性となるため診断を誤ることがあり注意が必要である*1


*1 Bahrami A, et al., Aberrant expression of epithelial and neuroendocrine markers in alveolar rhabdomyosarcoma: a potentially serious diagnostic pitfall. Mod Pathol. 2008 Jul;21(7):795-806. Epub 2008 May 16. PMID:1848799199

トップ   新規 一覧 検索 最終更新   ヘルプ   最終更新のRSS