Wikipathologica-KDP

Human herpes virus 8(HHV8)のページを見る.

Kaposi sarcoma, Kaposi肉腫

to Case (Kaposi肉腫症例の項目に移行する)

Moriz Kaposi.jpg

Moriz Kaposi(1837-1902)[右写真] はオーストリアハンガリー帝国の医師, ウィーン大学皮膚科教授, 皮膚科医*1

Kaposi Mは主に高齢男性の下肢の皮膚に多発性、しばしば左右対称性に発生する珍しい腫瘍の5症例を報告した。彼によってidiopathic multiple pigmented sarcoma「特発性多発性色素性皮膚肉腫」と呼ばれたこの病型は、後に散発性または古典的カポジ肉腫(KS)として知られるようになった。

Kaposi肉腫 この疾患は, ヒトヘルペスウイルス8型(HHV8/ Kaposi sarcoma virus)感染により血管内皮細胞/リンパ管内皮細胞が悪性化することで発症する. 基礎疾患や地理的要因により以下の4型に分類される.

1. 古典型; 東ヨーロッパやユダヤ人の高齢者に発症. Kaposiが報告した5例はこのタイプのようです.

2. 地方/風土病型; 若年者に好発するアフリカの風土病.

3. 医原病型; 臓器移植などでの免疫抑制薬による.

4. AIDS関連型; 後天性免疫不全症候群(AIDS)に伴う急速進行型または流行型

これらの型の明らかな違いにもかかわらず, 疫学的データはすべて感染性の病因であることを強く示している。
Changらによる代表的な研究*2は, KS組織内にEpstein-Barr ウイルス(EBV)およびヘルペスウイルスサイミリ(HVS)と配列同一性を示すDNA断片を同定した.

その後、このウイルスはガンマ2ヘルペスウイルス(γ2 Herpes virus)に分類され、カポジ肉腫関連ヘルペスウイルス(KSHV)またはヒトヘルペスウイルス8(HHV8)として知られている。
このウイルスは原発性滲出液リンパ腫/ primary effusion lymphomaや多巣性キャッスルマン病/ multifocal Castleman diseaseの原因でもある。

KSHVは、他のヘルペスウイルス感染症とは異なり、偏在的に発生するのではなく、異なる流行域が存在する。サハラ以南のアフリカで最も多く(50%以上), 地中海沿岸では中程度(20%~30%), ヨーロッパと米国では少ない(10%未満).

臨床

2010年度日本国籍におけるAIDSと診断された時点での合併症としてのKaposi sarcoma(KS)頻度は3.4%, 1985年から2010年までの累積は4.4%となっている.*3

AIDS関連Kaposi sarcoma*4

AIDS関連KSは全身に発症する. 皮膚に発症することが最も多く, 頭頚部, 体幹, 四肢など全身皮膚に発症する. とくに下肢に多い.

発疹/個疹は爪甲大の紫紅色斑から徐々に増大し結節状となる. 時間がたつにつれ濃い色調になり, 暗紅色から黒褐色になる.
通常は無症状で, 痒みや痛みを伴うことはない.

リンパ節腫脹を伴うことが多く, 進行し多発した場合はリンパ浮腫を伴う.

皮膚以外では, 口腔粘膜, 眼瞼粘膜, 消化管, 気管支, 肺などに発症しうる.
消化管病変も通常は無症状だが, 肺病変は出血などで重篤な症状を伴うことがあり, 注意が必要である.

KS発症時のCD4数は100/μl以下のことが多い. 少数ながら免疫状態が比較的保たれている症例(CD4: 500/μl以上)でも認められることがある.

 

病理と検査

Kaposi肉腫は臨床所見, 疫学的に4つの異なる型をもつが, その病理組織型所見はほぼ共通の所見をもつ. そのため, 病理所見だけでは各型の識別は困難だが病期判定には有用である.

肉眼で平坦な斑状(macule)病変 --> 平板にやや盛り上がった隆起; 局面(plaque)病変 --> 更に進行し結節状(nodule)病変に進行する. (病理所見も病変の進行とともに変化している.)

 

初期斑状病変の病理

初期の斑状病変の組織学的所見はごく軽度の炎症反応の様相を呈し, 真皮内の正常毛細血管を囲むようにして拡張した血管内皮様細胞による管腔が認められる.
好中球などの炎症細胞浸潤はまれであるが, 形質細胞はしばしば増加している.*5

この時点ではKaposi肉腫特有の線維芽細胞様紡錘形細胞(spindle cells)は少なく, 診断はときに困難である. (HHV-8免疫染色が必須)

局面状病変の病理 

病変は真皮から皮下脂肪織に及ぶようになり, 血管内皮様細胞による新生管腔の増加と拡張, 浮腫が著明になる. 赤血球漏出やヘモジデリン貪食細胞もめだつようになる.
膠原線維間に紡錘形細胞が増生してくる.

結節性病変の形成 

紡錘形細胞が著しく増生し束状に走行する部分と, 内皮細胞様細胞による多数の小管腔構造が巣状にひろがり, 一見, 線維腫と血管腫が混在しているように見える. 一部の症例を除き, これらの増生細胞は異型性に乏しいことが多い.

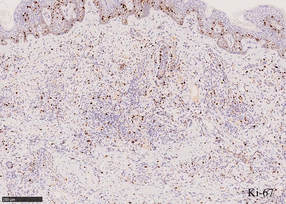
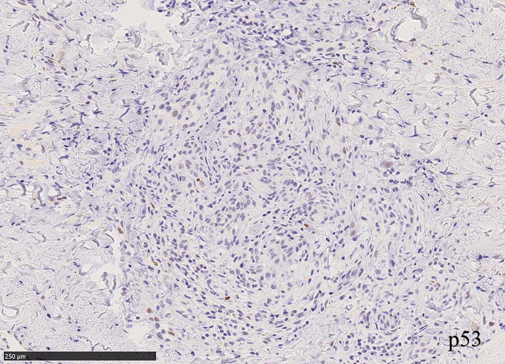
免疫染色, 分子病理学的検査

増生細胞はCD31, CD34, Factor Ⅷ, D2-40などが陽性を示す.

HHV-8の潜伏期関連抗原(HHV-8 Latency-associated nuclear antigen: HHV-8 LANA)が市販されており, 核が点状に染色される陽性所見がKaposi肉腫の確定診断に必須となっている.

組織からのPCRによるHHV-8の検出も診断に有用である.

血中HHV-8 定量的PCRは, 血中HHV-8量がKSの病勢には必ずしも一致しないため, 要注意. KSを発症していても, 血中からHHV-8を検出できないことも少なからず経験される.

その他の検査

皮膚KSを診断した場合は, 消化器内視鏡や気管支鏡など内臓病変有無を検索する必要がある.

タリウムシンチグラフィーで, リンパ節病変や内臓病変への集積を認めることがある.

 

Kaposi肉腫の治療

文献*4

KSの臨床経過, 治療法選択, 治療の奏功性は基礎にある免疫不全, 日和見感染の程度に大きく影響される.

ARTにより多くの日和見感染が減少し, HIV感染症の予後は劇的に改善しており, KSについても同様, ARTによる発症率の低下とともに, ART開始後免疫機能改善によってKSが消退することが多く報告されている.

皮膚病変のみで内臓病変がない軽症の場合はARTのみで経過をみることが十分可能. 放射線, 冷凍凝固, ビンブラスチン局所投与など局所療法が有効なことも報告されている.

内臓病変(特に肺病変)合併例, KSが喉頭に近く呼吸障害の恐れのある場合, リンパ浮腫を伴って急速進行する症例では化学療法を併用することが推奨されている. *6

以前はABV(ドキソルビシン+ブレオマイシン+ビンクリスチン)療法などが用いられてきたが, 同等の効果を示し副作用もすくない, リポソーム化されたドキソルビシン(ドキシル)が保険適応になり, KSに対する化学療法の第一選択薬になっている.

ドキシルの副作用は, 手足症候群, インフュージョンリアクション(投与中~投与後24時間以内に多く出現する, 発熱, 悪寒, 嘔吐, 咳, 発疹)などドキソルビシンではあまり見られなかった副反応が出現することがある.

パクリタキセルは米国FDAでは承認されているが, 日本ではKSへの保険適応がない.

Kaposi肉腫 症例

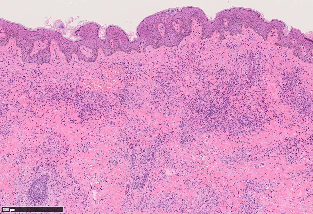
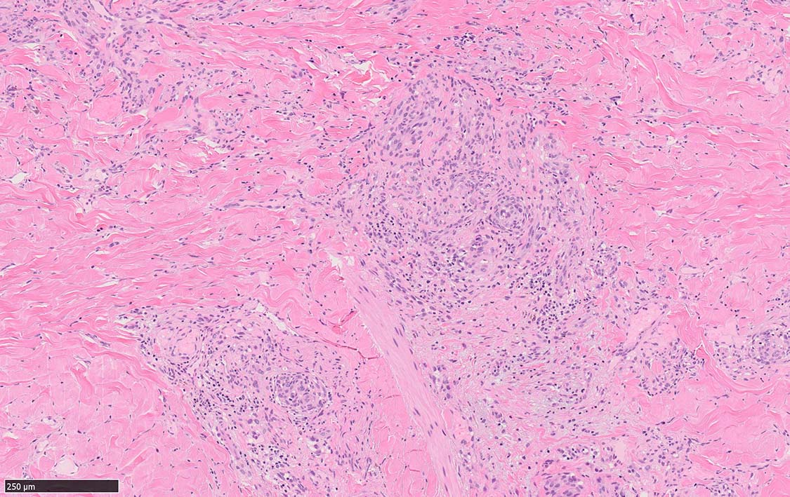
30歳代後半 男性. 1ヵ月前から痒みがあった.近医を受診し, 当院を紹介される. 右肩, 左胸部に暗赤色調の軽度隆起を認める. 皮下には腫瘤は触れない(外来担当Drの記載)

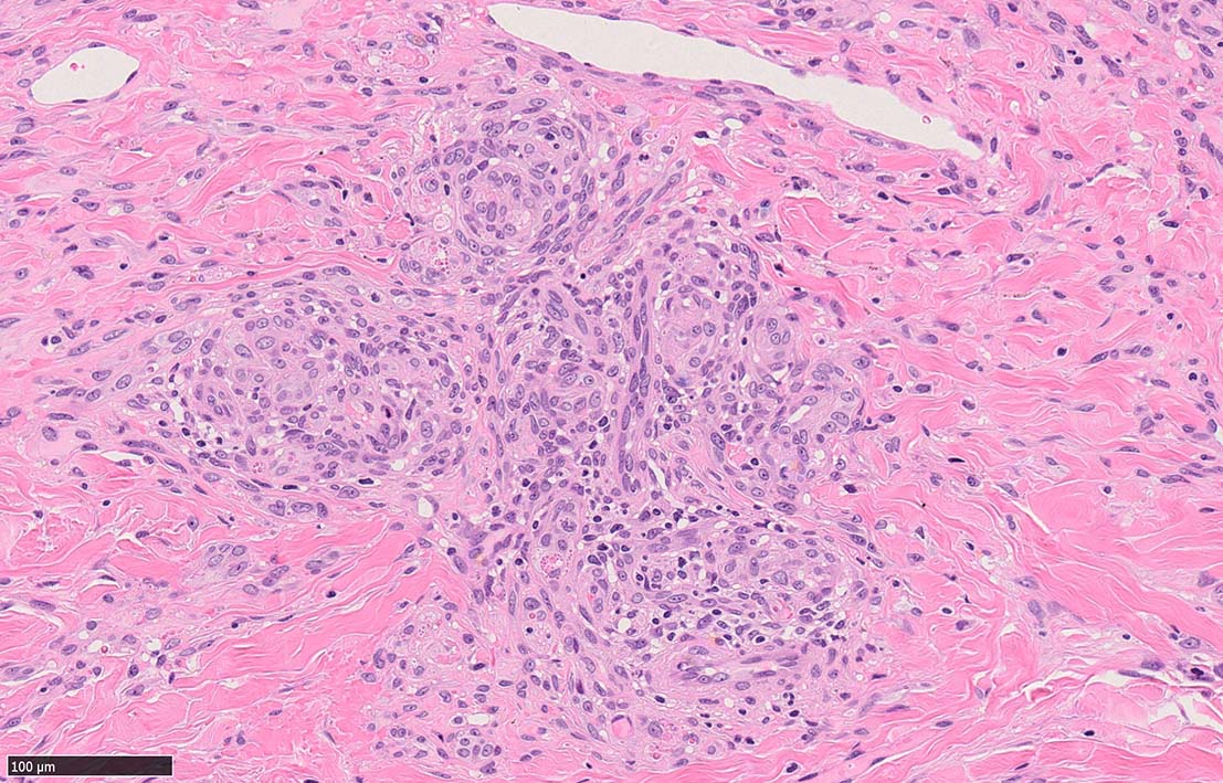
細血管周囲に血管内皮様の紡錘形細胞が増生, 一部に赤血球をいれた裂隙の形成がある. 細胞の異型はみられず, mitosisの増多もない. hemosiderin-laden macrophageが散在する.
病変は真皮内に現局している. 初期斑状病変に相当すると考えられる. 本例では, 特徴とされる形質細胞浸潤増加はみられない.

 
 

参考症例:中部交見会1246: Kaposi's sarcoma 右足内側部皮膚/ 40歳代男性 焼津市立病院 久力 権先生

to Top


*1  wikipedia. https://en.wikipedia.org/wiki/Moritz_Kaposi
*2  Chang Y., et. al. Identification of herpesvirus-like DNA sequences in AIDS-associated Kaposi sarcoma. Science 1994; 266: pp. 1865.
*3  厚生労働省エイズ動向委員会:平成22年エイズ発生動向年報. 2011
*4  斎藤万寿吉, 坪井良治 皮膚カポジ肉腫 HIV感染症とAIDSの治療 vol2(2): 59-63
*5  Gottlieb GJ, Ackerman AB. Kaposi's sarcoma: an extensively disseminated form in young homosexual men. Hum Pathol. 1982 Oct;13(10):882-92.PMID: 7129405.
*6  Pauk J, Huang ML, Brodie SJ, Wald A, Koelle DM, Schacker T, Celum C, Selke S, Corey L. Mucosal shedding of human herpesvirus 8 in men. N Engl J Med. 2000 Nov 9;343(19):1369-77.PMID: 11070101.

トップ   新規 一覧 検索 最終更新   ヘルプ   最終更新のRSS