Acute promyelocytic leukaemia-AML M3

Acute promyelocytic leukaemia - Case 03

22歳女性

職場の検診で汎血球減少を指摘される。(Hb11.4g/dl, RBC x10^4/μl, WBC700/μl, plt. 8.8x10^4/μl)紹介受診。DIC, 末梢血芽球出現なし。無顆粒球症や再生不良性貧血が疑われた。骨髄穿刺でAcute myelogenous leukaemia, M2が疑われ加療目的に入院する。

 

病理組織・細胞所見

骨髄表面マーカでCD2+, CD13+, CD33+, CD34±, HLA-DR-.
PML-RARAキメラmRNA陽性(6.6x10^4copies/µgRNA)の結果を踏まえて骨髄穿刺標本の再評価を行ったところ, 大半の腫瘍細胞は顆粒に乏しいmyeloblast(68%)であったが顆粒に乏しいpromyelocyte(15%)の中に少数であるがfagott cellを認めAPL(M3)と最終的に診断した.

(サムネイルをクリックすると大きな画像が見られます)

Bone marrow smear

Bone marrow clot section

bone marrow clot sectionの所見
May-Giemsaでは幼若細胞の増殖があり正常造血は抑制されている。M1, M2にしては核の形が不揃いな印象がある。切れ込みのある核も見られる。
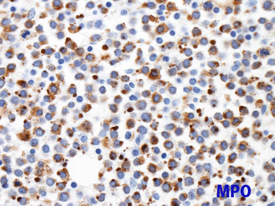
MPOは幼若芽球様細胞にびまん性に陽性。dot-likeな染色がめだつ。monocyte系の細胞をCD68(PG-M1)とCD163(10D6)で染色してみる。PG-M1は成熟した組織球単球に陽性となるため, 幼若な細胞は染まっていない。CD163は少数の幼若細胞に陽性となっており, わずかであるが単芽球が存在すると考えられる。MPOの結果とあわせてM4やM5とは違う染色結果です。

単球系のAMLを染色する感度と特異性に満足の行く良い抗体は現在のところ見あたらない。CD68ではKP-1がPG-M1より幼若細胞に陽性となる。PG-M1は, より成熟した単球系細胞に陽性となるようです。しかしCD68は単球/マクロファージだけではなく上皮細胞やfibroblastにも反応して染まることが言われている。一方CD163はtissue microarayを使った解析で単球/マクロファージに特異的なマーカであるといわれている(Nguyen et al, 2005)。AMLについて, CD163は幼若な単芽球も+となるが単球系AMLの全症例がうまく染まるとは限らない。M4,M5の約1/4に陽性となるという報告がある。他のtypeのAMLでは全症例陰性であったという(Davey, et al, 1998).NguyenらはAML-M5で2/6caseにCD163がびまん性陽性となり, 他のAMLでは16例いずれも陰性と報告している。感度が弱いが陽性なら単球系といえるようです。

t1517haruna01.jpg

t(15;17)(q22;q12)の典型的な転座が/20cellに認められた。

 

病理診断: Acute promyelocytic leukaemia, M3 非定型型。

治療と経過

ATRA併用で寛解導入療法をおこなう。Ara-Cについては腫瘍細胞が少ないことからJALSG-APL204を参考に5日間に減量投与した。ATRAによる脳圧亢進症状の頭痛(ATRA症候群)が出現したがコントロール可能であった。約1ヶ月後の骨髄穿刺で完全寛解が確認できた。(FISH法でPML-RARA 0%)
およそ1ヶ月毎に地固め療法を追加。最終の地固め療法後に骨髄抑制が遷延したが回復し退院する。外来でMRDの評価しATRA後療法を行っている。寛解後2年間再発なし。

REFERENCES

Nguyen TT, et al., Expression of CD163(Hemoglobin Scavenger Receptor) in Normal Tissues, Lymphomas, Carcinomas, and Sarcomas is largery restricted to the monocyte/macrophage lineage Am J Surg Pathol 29(5); 617-624, 2005

 
 

まとめ

症状なし, 病態, 形態学的所見から、初見よりAPLと断定することが難しい症例. よくさがすとAuer body, faggottがある. 組織ではMPO, ASD-Giemsaの染まり, CD34がそまらないことから見当をつける必要あり.

 
 

リンク

Acute promyelocytic leukaemia-case01

 

Acute promyelocytic leukaemia-case03


トップ   新規 一覧 検索 最終更新   ヘルプ   最終更新のRSS