Adrenal medullary neoplasms

Adrenal gland 副腎

副腎髄質腫瘍

副腎 Adrenal gland

副腎肉眼像 (ホルマリン固定後, 検索のため, いくつか割が入っています。右の画像は割面です。)

<--クリックで大きな画像が見られます。

副腎は腎臓の上極, Gerota筋膜の脂肪組織に埋もれるように左右一対存在する.

adrenalloupe.jpg

ヒトでは5.0x3.0x1.0cm以下のサイズで三角形の割面をもった扁平な形をしている.重量は左右合わせて15gまで。右副腎は肝臓右葉と腎の間で肝右葉にくっつくように存在し,左副腎よりいっそう扁平となっています。固定後の割面では黄色く見える周囲の組織と褐色ないしグレーの内部の二層構造があるように見えます。外の黄色い部分を副腎皮質, 内部を副腎髄質とよぶ。
皮質の厚さは約1mm (0.7-1.5mm).

副腎組織の発生

副腎の発生;皮質と髄質では発生が異なる
副腎は中胚葉由来の皮質外胚葉由来の髄質から形成される.胎性皮質が形成されているときに交感神経系に由来する細胞(神経堤細胞)が副腎の内方に侵入して細胞索や細胞集団をなして配列し副腎髄質となる.--->副腎髄質の発生について詳しく見る

皮質の発生

副腎皮質は中胚葉由来. 皮質原基は妊娠6週で9mm大のサイズを呈し, 2種類の中胚葉細胞から構成されている.
1つは 胎児副腎皮質組織, 2つめは,胎児副腎皮質を取り囲む被膜組織あるいは脂肪織になる.

妊娠7週までに原基を構築する細胞は好酸性で脂肪に乏しい細胞質の多面体細胞となる. 以後この細胞は増大し, 急速に増殖して胎児副腎皮質の大部分の領域に円柱状, 索状構造を形成する.(副腎の胎児層 fetal zone; FZとよぶ)

一方, 被膜直下には小型細胞の薄い帯状構造が出現する.(永久層/ 新皮質 neocortex:NCとよぶ)

胎児副腎では, 妊娠初期よりFZを中心にグルココルチコイドの産生が始まり, 妊娠中期にはNCにおいても産生が認められるようになる.

ミネラルコルチコイド(鉱質コルチコイド)は妊娠後期から永久層(後で球状層になる)において産生が始まる.

FZは出生後数時間でうっ血変性をきたし生後, 7-10日までには壊死に陥り構造が不明瞭となって急速に萎縮し消失する. NCは残存して生後の副腎皮質を形成するようになる.

以上の経過から出生直後の胎児副腎重量は20gであるが, 最初の1週間で12g, 2週間で5g程度に重量が減少する.以後2年間は重量に変化はない. 以後増大して15-20代の女性では13gほどになる.

 

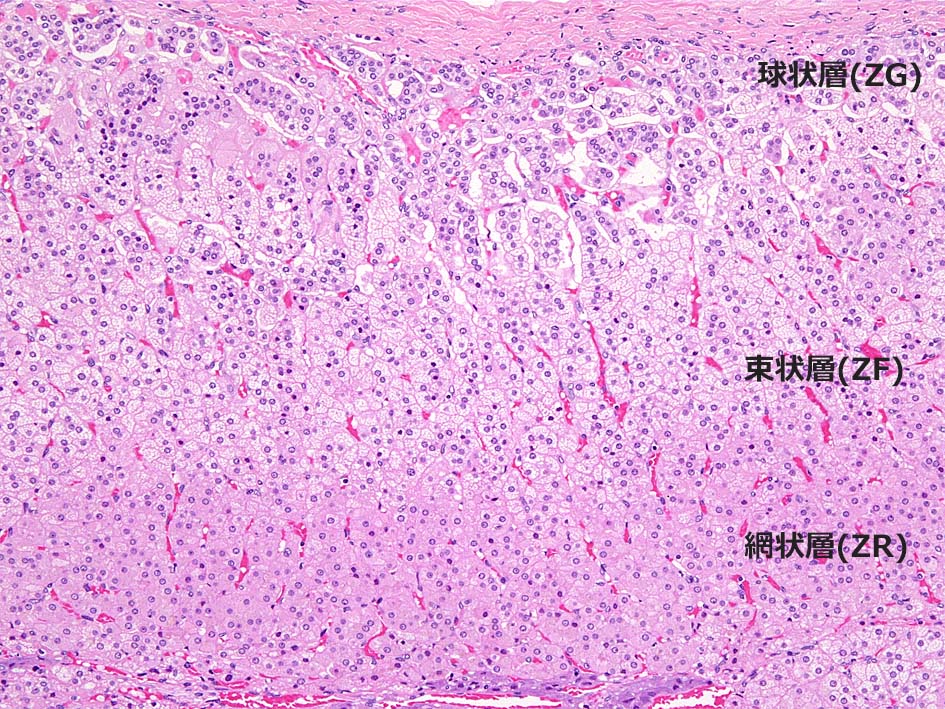
副腎組織像

30歳代男性の副腎

AG-zone01.jpg

副腎は細胞成分に乏しい線維性被膜に被覆される. 被膜下には皮質の層構造が認められ中心部には交感神経由来細胞が集簇し髄質を形成している.

皮質には境界の不明瞭な3層構造が認められる. 被膜直下より, 球状層(Zona Glomerulosa), 束状層(Zona Fasciculata), 網状層(Zona Reticularis)と呼ばれ各々性状, 形態の異なる細胞より構成されている.

球状層(ZG):
球状層細胞は境界明瞭な細胞で少量の線維血管性間質で囲繞された小型クラスターを形成している. クラスターはときに集簇して短い柱状, 直線状, 曲線状, あるいはヘアピン様の形状をしめすことがある.
淡い好酸性, amorphous(無構造)な細胞質でわずかに空胞状を呈する. 核は卵形で他の皮質層細胞と区別は困難であるが, より小型でクロマチンに濃染する.

束状層(ZF):
皮質の1/2を占め幅が最も広い層. ZG, ZRとの移行は形態的に不明瞭. 束状層細胞は大型で, 円形核と豊富な細胞質をもつ. 細胞2個分の幅を有する長い柱状構造を示す.
核は球状層細胞に比べよりvesicularで, クロマチンは淡い. 外側2/3細胞の細胞質は脂肪を豊富に含むため泡沫状, スポンジ様の淡明な所見を示す.

網状層(ZR):
網状層は副腎尾側部では通常欠損している. 網状層細胞は皮質の1/4程度の厚さを占め, スポンジ様の網目構造を形成し周囲には拡張した血管が存在する.
網状層細胞は境界明瞭な細胞で, 束状層細胞より小型であり, 顆粒状, 好酸性の細胞質をもち, 脂肪含有量は少ない. 髄質近傍の網状細胞はリポフスチンを含むため黄褐色を呈する.

 
 
AG-cortex01.jpg

電顕では3層の皮質細胞に共通して,(1) 小管状/小胞状クリスタをもつ特有な形態のミトコンドリアが多い. (2) 脂肪滴をもつ. (3) 滑面小胞体をもつ.

副腎皮質は細胞回転の高い組織. 細胞増殖は主に外側束状層でおこり増殖した皮質細胞は外側と内側に移動して, 球状層, 網状層でアポトーシスに陥るとされる.

正常副腎の免疫染色所見

球状層細胞はvimentinが陽性となる. 外側の束状層と網状層の細胞はMelan-Aやinhibin-αが陽性を示す.

皮質細胞は EMA, chromograninA, S-100は陰性.

髄質では分泌細胞がchromograninA陽性. S-100陽性のsustentacular cellsが介在している.

 
File not found: ZG01_s.jpgFile not found: ZF01_s.jpgFile not found: ZR01_s.jpg
顆粒層(ZG)細胞束状層(ZF)細胞網状層(ZR)細胞. 右下にリポフスチン顆粒
 

髄質

File not found: AdM01_s.jpgFile not found: AdM02_s.jpg

髄質ではアドレナリン, ノルアドレナリンなどのカテコラミンを合成分泌している. 「褐色細胞」または「クロム親和性細胞」と呼ばれる中心性類円形核と好塩基性(ヘマトキシリン好性)細胞質をもつ分泌細胞が索をつくり, 索の間には毛細血管を含む細い線維性結合組織が介在している.
神経節細胞が不規則に分泌細胞間に点在している. 神経節細胞内には時に好酸性球形の小体を含むことがある. 皮質細胞の小集塊が髄質内に散見されることがある他, 分泌細胞間にS-100陽性のsustentaclar cellsが介在する.HEでの同定は難しい.
髄質にリンパ球や形質細胞など慢性炎症細胞浸潤がみられることがあるが病的意義は不明.
副腎中心静脈平滑筋細胞に由来する平滑筋束が認められる.

副腎皮質ホルモン経路

 
adrenal-hormons01.jpg

コレステロールは、すべてのステロイドホルモンの合成基質になる. ステロイド産生には、細胞の取り込み, 輸送, コレステロール利用が適切に調節されることが必要であり, その後に一連の特異な生合成ステップが続く.

副腎皮質はコレステロールを出発基質として, 鉱質コルチコイド, 糖質コルチコイドおよび副腎性ホルモンの3種のステロイドホルモンを合成分泌する.

Enzyme01.jpg

*1  Tae-Il Jeon, et al. SREBPs: Metabolic Integrators in Physiology and Metabolism. Trends Endocrinol Metab 2012 Feb;23(2):65-72. doi: 10.1016/j.tem.2011.10.004. Epub 2011 Dec 7.
*2  W L Miller, et al. Molecular Biology of Steroid Hormone Synthesis Endocr Rev 1988 Aug;9(3):295-318. doi: 10.1210/edrv-9-3-295.PMID: 3061784 DOI: 10.1210/edrv-9-3-295

トップ   新規 一覧 検索 最終更新   ヘルプ   最終更新のRSS