Wikipathologica-KDP

Alveolar rhabdomyosarcoma 胞巣型横紋筋肉腫(ARMS)

Alveolar rhabdomyosarcoma 胞巣型横紋筋肉腫(ARMS)*1

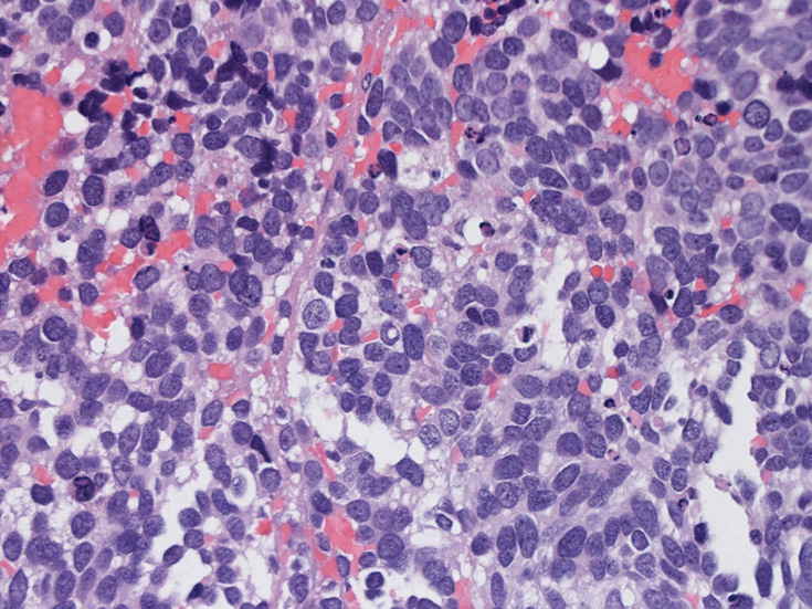
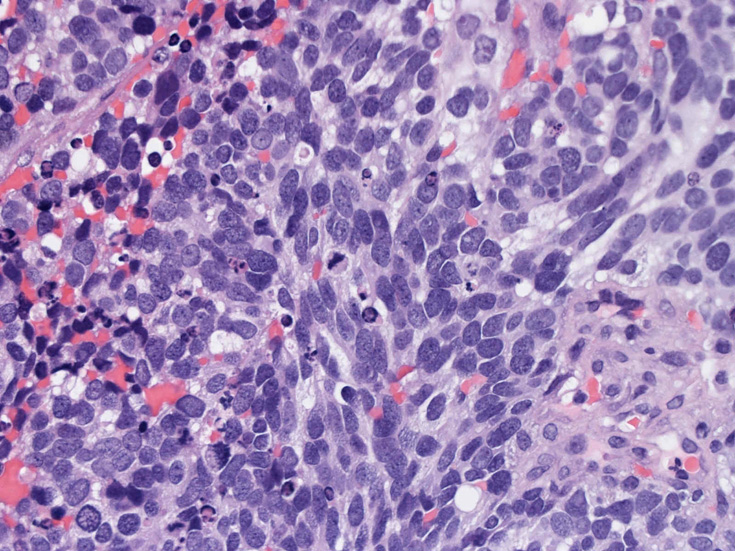
組織像

免疫染色-鑑別診断のツール

Desmin, 筋特異的アクチン(HHF-35), myoglobin, MyoD1, myoegeninなどの筋マーカはARMSでよく染色されるがES/PNETでは陰性である。
ES/PNETでは通常MIC-2が陽性となるが約15%のARMSでもMIC-2(CD99)やC-kitが陽性になるので注意

筋形成過程は多潜能未熟間葉系細胞の骨格筋へのcommitmentとdifferentiationからなりMyoD遺伝子ファミリーにより制御されている。このファミリーにはMyoD1/myf-3, myogenin/myf-4, myf-5, MRF-4遺伝子などが含まれ, 筋特異遺伝子上エンハンサー領域に結合し発現誘導の転写因子として働くDNA結合蛋白をコードしている。

骨格筋ではこれらの遺伝子発現は胚形成期に限られるためMyoDやmyogenin抗体は細胞系列の同定や他に分化や特徴のない肉腫においてrhabdomyosarcoma診断確定の目的で使われてきた。

ARMSの遺伝子異常

ARMSの約80%が単純または複雑型 t(2;13)(q35;q14)転座を, 10-20%にt(1;13)(p36;q14)を認める。

  • t(2;13)切断部位は2番染色体のPAX3と13番染色体の転写因子遺伝子FKHRと関連していることが示され, N末端がPAX3, C末端がFKHRのキメラ蛋白をコードする融合遺伝子を形成する。キメラ蛋白には転写制御機能が示唆される。
  • t(1;13)は1番染色体子上のPAXファミリーのひとつであるPAX7が関与する。PAX7-FKHR融合遺伝子は若年者ARMSにみられ, 四肢発生が多く, 診断時に転移がない症例に見られる。PAX3-FKHR陽性症例に比べ予後が良いとされている。

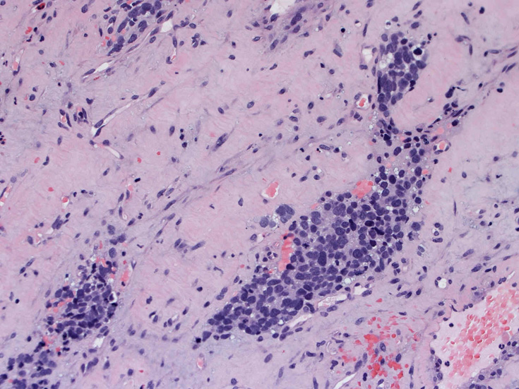
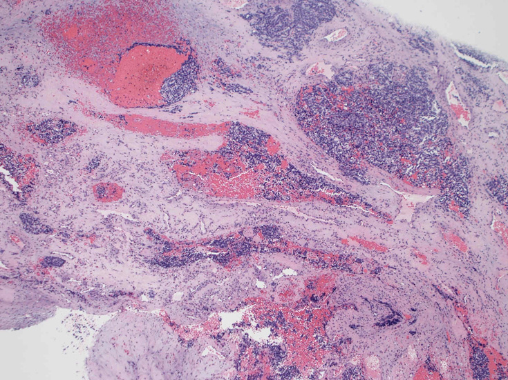
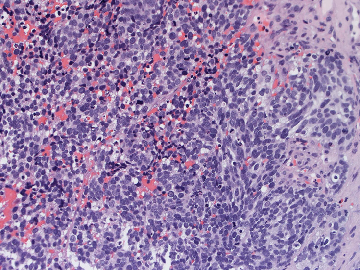
症例--鼻腔腫瘤

焼津市立病院 久力権先生のご好意による

30歳代男性 鼻腔腫瘤の生検組織
厳密にはalveolar patternが明らかではなく, solid typeに入る症例かもしれない。異型細胞増殖胞巣が線維化組織に取り囲まれるように散在している. 小さな生検組織のため全体像が不明である。

鼻腔腫瘤生検組織

免疫染色 筋マーカ, 神経内分泌マーカほか;本例では神経内分泌マーカがすべて陽性になっている.

 
 

Bahrami A, et al., Aberrant expression of epithelial and neuroendocrine markers in alveolar rhabdomyosarcoma: a potentially serious diagnostic pitfall. Mod Pathol. 2008 Jul;21(7):795-806. PMID: 18487991--Free full text

rhabdomyosarcomaではCKなど上皮マーカ-、神経内分泌マーカ-などが発現することがしばしばあり誤診しないことが重要。

rhabdomyosarcoma arising at nasal mucosa

磐田市立総合病院

症例のページ--->rhabdomyosarcoma arising at nasal mucosa


*1 Naciment A.G. and Dei Tos A. P. Small Round Cell Neoplasms of Soft Tissue: A Diagnostic Approach International Seminar at Lake Hamana-Pathology of Soft Tissue Tumor and the Slide Seminar 2004 p107-111

トップ   新規 一覧 検索 最終更新   ヘルプ   最終更新のRSS