Wikipathologica-KDP
MDS/MPN, atypical chronic myeloid leukaemia(aCML)†
WHO diagnostic criteria for aCML(2017 4thEd, revised)
1. 末梢血白血球増多, WBC≧13000/μl. 好中球増多, 顕著な異形成をもつ幼若顆粒球増多.
2. 白血球の10%以上は, 幼若好中球(前骨髄球, 骨髄球, 後骨髄球)が占める.
3. BCR-ABL1 fusionは認められない. PV, ET, PMFのクライテリアには一致しないこと.
4. PDGFRA, PDGFRB, FGFR1再構成なし. PCM1-JAK2は認められない.
5. 好塩基球増加はみられない. 通常, 白血球の2%未満にとどまる.
6. 単球増多は認められない. 通常, 単球は, 白血球の10%未満.
7. 骨髄組織は顆粒球系細胞増多. 顆粒球系細胞の異形成がある. dyserythropoiesis, dysmegakaryopoiesisがみられることもある.(with or without)
8. 芽球は, 末梢血, 骨髄有核細胞の 20%未満である.
Natural historyと予後予測因子
- イタリアのaCML, 55症例では*1, 年齢は42-81歳(中央値62歳). OS中央値は 25ヵ月., その他少数症例の3つの報告では, 14-30ヵ月.
- AMLへの進展は, 約4割の症例(37-40%)におこり, 期間は 診断より11.2から18ヵ月(1年から1年半で)
- 高度の白血球増多(> 4万~5万/μl), 末梢血の幼若顆粒球増多, 女性, 高齢者は, OS, 白血病フリー生存期間が不良である.*1*2
ASD-Giemsa染色
末梢血塗抹標本所見
- 白血球が著明に増加し, 幼若好中球(promyelocyte, myelocyte, metamyelocytes)が10%以上を占める.
- 顆粒球の形態異常(異形成)がaCMLの特徴である. 顕著なこともある.
- pseudo-Pelger anomaly, 過分葉, 異常核クロマチン凝集, 奇怪分葉核, 細胞質顆粒異常(通常は減少)
- 赤血球にも形態異常がみられることがある.
骨髄組織
- 高度な過形成髄の所見
- myeloid hyper/顆粒球過形成所見がある. [ASD-Giemsaは赤く染まる細胞が増加している.]
- 成熟顆粒球への分化は認められるが, 幼若顆粒球の増多/芽球増多が認められる. 芽球は<20% (leukaemiaの基準未満)
- 赤芽球はパラパラと存在するが, 血島の形成は認めにくい.(赤芽球血島は典型的CMLにはみられないが, aCMLでは残存する.)
- cellularityが高いのに大型成熟の巨核芽球が見つけにくい.
- 多彩な巨核球がみられ, 異形成所見がある.
- MDSの所見--異形成造血を伴う.
免疫染色
- CD42b, CD61; 異形成巨核芽球の検出;small Mgk, microMgk, etc.
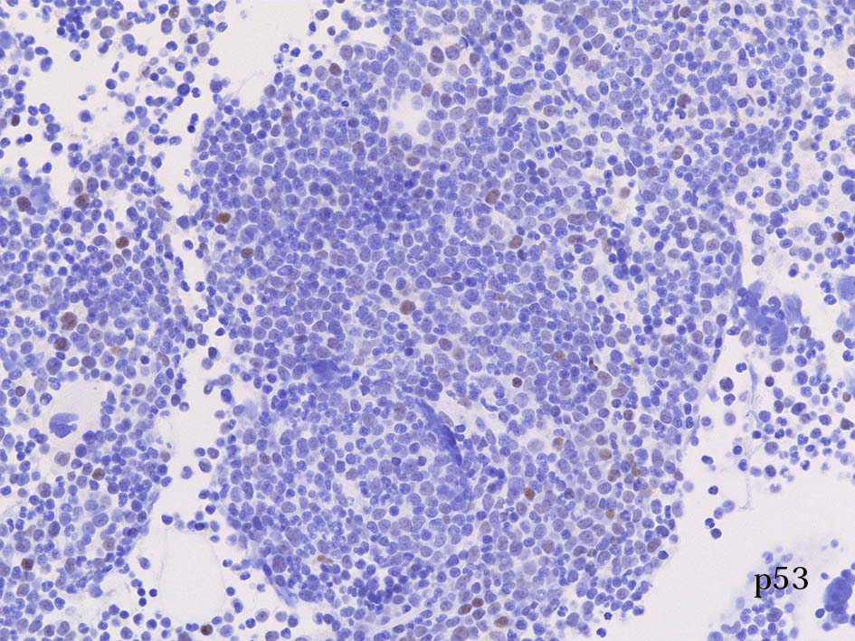
- p53染色
MDS/MPNの大多数の症例にはp53陽性細胞が出現する.一方, conventionalなMPNにはまずp53陽性細胞は出現しない.
atypical CMLではminor componentであってもp53+細胞が出現する. p53陽性細胞のないaCMLはない. (伊藤雅文先生談)
CMLでは, p53+になることがあるが、その場合は, accelerated phaseかBC(blastic crisis)である.
BCでは, ほとんどがp53陽性になる.(accelerated phaseかBCかを区別することがp53染色で可能)
Case -- atypical CML と考えられる症例†
78year old male. IWT case
1ヵ月前より食思不振, 倦怠感が強くなり徐々に動けなくなる. 体重減少 10kg/月.
末梢血; Hb 7.6, RBC 310x10^4, Ht 25.1, MCV81.0, MCHC 24.5, WBC 41100/μl, diff.; blast0.0, promyelo 0.0, myelo 5.0, meta 5.0, band 3.0, seg 83.0, Eo 0.0, Ba 0.0, Mo 1.0, Ly 2.0), Plt 27.7x10^4/μl
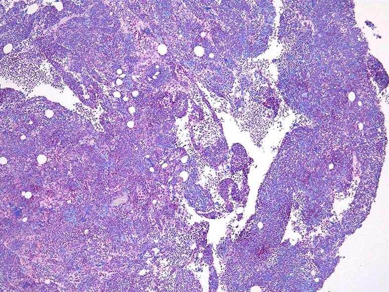
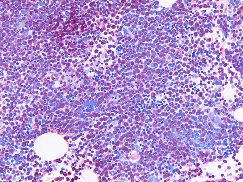
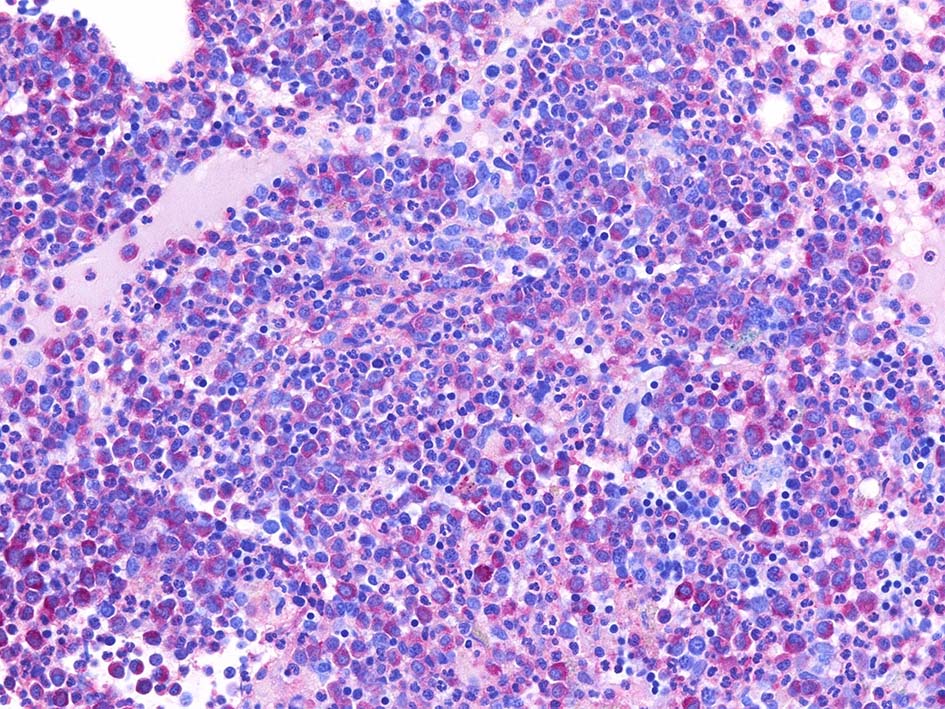
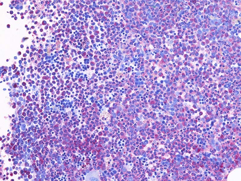
骨髄組織所見 (thumbnailのクリックで大きな画像がみられます)
Naphtohl-ASD-CAE Fig.01
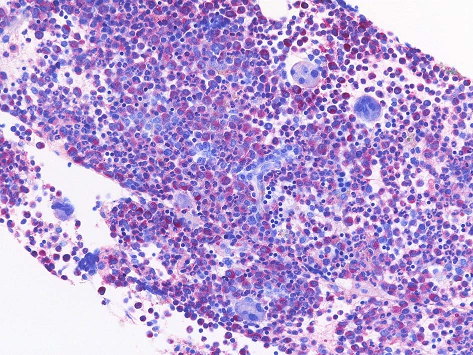
Naphtohl-ASD-CAE Fig.02
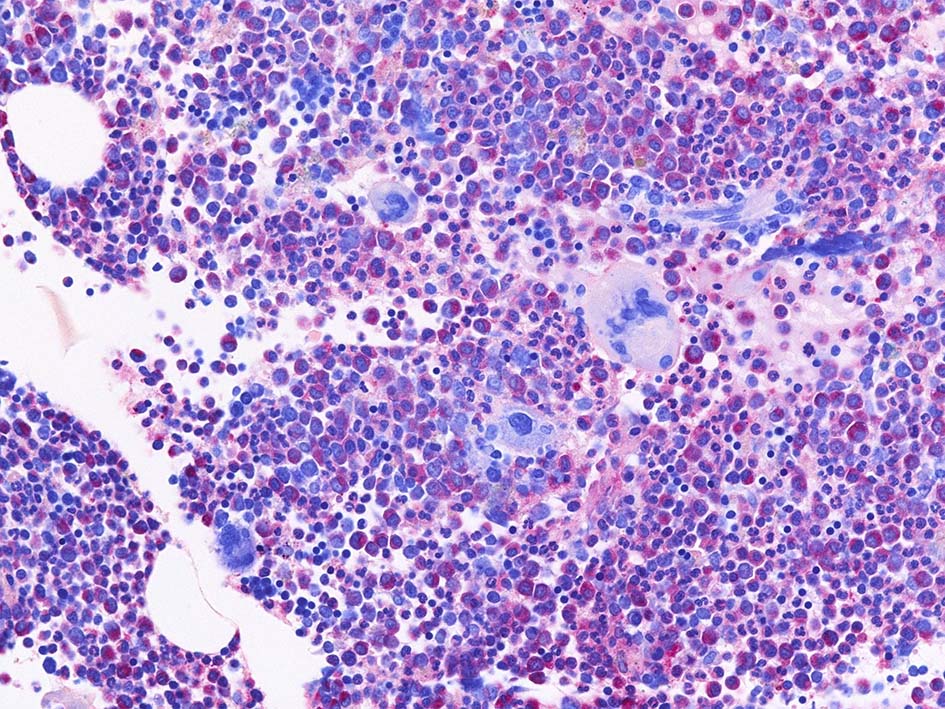
Naphtohl-ASD-CAE Fig.03
Fig.01: hypercellular marrow. ASDで赤染する細胞の増加=granulopoietic hyperplasiaがある.
Fig.02: 幼若な顆粒球が増加している. 赤芽球は散在しており血島は不明瞭である. 過形成髄なのにFig.02に成熟大型巨核球はみられない.
Fig.03: granulopoietic hyperplasia. 成熟顆粒球の増加もある.
Naphtohl-ASD-CAE
Naphtohl-ASD-CAE
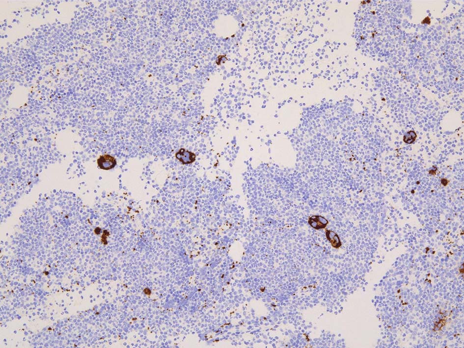
CD42b
- ASD-Giemsa: 巨核球は大型であるが, 低分葉や異常な分葉, 分離核Mgkなどが認められる.
- CD42b; microMgkは増加してない. hypercellular marrowであるがMgkの増加はみられない.
免疫染色; CD34, c-KIT, p53染色
本症例ではCD34, C-KIT陽性幼若細胞が増加している. 芽球はcountで4.3%. CD34, C-KITではfocalに 5-10%.