Wikipathologica-KDP

PathologyAtlas VSリンク有効

Chronic lymphocytic leukaemia/small lymphocytic lymphoma

CLL/SLL症例01

65歳男性
いびきがひどく, 他院耳鼻咽喉科を受診する。睡眠時無呼吸症候群と診断されて治療をうけていたところ扁桃腫大が認められ当院を紹介され受診する。扁桃および咽頭腫大, 頸部リンパ節腫脹あり。扁桃,上咽頭の生検では腫瘍病変なし。末梢血でWBC11300/μl, lymphocyte 71.3%, LDH180, sIL-2R 1550, 悪性リンパ腫が否定できず頸部リンパ節生検を行った。

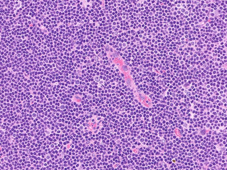
頸部リンパ節では, 正常構造は消失し, びまん性小型リンパ球の密な増殖ありproliferation center様構造が散在する。CD20,CD19,CD5,CD23,CD25陽性。cyclinD1陰性。lambda light chain 陽性細胞98%, 核間期細胞FISHで13q14.3単一シグナルが38%の細胞に検出(monosomy 13)された.

Virtual Slideを見る--->頚部リンパ節

クリックすると大きな画像が見られます。

CLL/SLL症例02

50歳代女性
かかりつけ医で白血球増多を(20000/μl)を指摘される。全身症状, 貧血なし。精査でchronic lymphocytic leukaemiaと診断される。経過観察を受けていたが白血球数が次第に増加し、頸部に腫瘤が出現するため生検をおこなった。

Virtual Silideを見る--->頸部リンパ節

CLL/SLL--疾患の解説

成熟小型Bリンパ球のびまん性増殖からなる腫瘍。

欧米では全白血病の20-30%を占める高頻度のリンパ球系腫瘍であるが, 日本では1.3%-6%と少なく, 人種により発生頻度に差が見られる。年齢中央値65歳, 60-80歳に多い。30歳以下には発症しない。男女比は2:1, 臨床病期I/IIの症例は, 6%とごくわずかで73%に骨髄浸潤が認められた。5年生存率は51%.

Diffuse large cell lymphomaなどのhigh-grade lymphomaへの移行することがあり, DLBCLへの移行はRichter's syndromeとして知られている。

組織像・組織所見

pseudofollicleまたはproliferation center

診断時に, しばしば骨髄病変が認められる。SLLの骨髄浸潤のパターンはほとんど常にNodular pattern. 一方CLLはnodular, interstitial, diffuseまたはmixedと多彩である。

鑑別診断

Richter's syndrome (Aschoff-Haus症例)

Richter01.jpg

Richter症候群

New York University Medical centerの病理学教授 Maurice N. Richter先生が, lymphatic leukemiaに関連するreticular cell sarcoma(現在のDLBCLに相当)を発症した45歳男性症例を1928年, Am J Patholに報告。
彼自身はCLLからの進展に言及していないが, Lortholaryら*5がCLL14例のDLBCLへのtransformationをまとめRichiter症候群と命名している。*6

Virtual Slideを見る--->鼠径部リンパ節, 部分 (右クリックで新しいタブで開くと便利です)

Richter02.jpg

Richter's syndromeの他, CLLは

右組織図はRichter syndrome (クリックで大きな画像が見られます)


*1  Rossi D et al. The genetics of Richter syndrome reveals disease heterogeneity and predicts survival after transformation. Blood 2011; 117: 3391-3401
*2  Rossi D,et al. Biological and clinical risk factors of chronic lymphocytic leukaemia transformation to Richter syndrome. Br J Haematol. 2008 Jun;142(2):202-15.
*3  Parikh SA, et al. How we treat Richter syndrome. Blood. 2014 Mar 13;123(11):1647-57.
*4  Robak T, et al. Plasmablastic lymphoma in a patient with chronic lymphocytic leukemia heavily pretreated with cladribine (2-CdA): an unusual variant of Richter's syndrome. Eur J Haematol 2001;67(5-6):322-7.PMID: 11872081
*5  Lortholary P et al. Leucémie lymphoîde chronique secondairement associée a une réticulopathie maligne, syndrome de Richter Nouv Rev Fr Hematol 4: 621-644, 1964
*6  吉田彌太郎 日本には稀なRichter症候群 血液フロンティア2016; 26(9): 112-116
*7  Brecher M, et al. Hodgkins disease variant of Richter's syndrome. Report of eight cases. Am J Clin Pathol 1990; 93:333-339

トップ   新規 一覧 検索 最終更新   ヘルプ   最終更新のRSS