Wikipathologica-KDP

第8回東京骨髄病理研究会
聖マリアンナ医科大学 磯部先生のご講演をもとに作成

顆粒リンパ球増殖疾患 granular lymphocyte proliferative disorders

Granular lymphocyte(GL)-proliferative disorders(GLPD)とは末梢血中でGLがクローン性に増殖する疾患.*1*2
いろいろな疾患がふくまれるので「s」がつく. (myelodysplastic syndromesと同じ.)

WHO分類の造血器腫瘍としては以下が相当する.

1. T-cell large granular lymphocytic leukaemia(T-cell LGL)

2. chronic lymphoproliferative disorders of NK cells(暫定疾患)

3. aggressive NK cell leukaemia (ANKL)

4. EBV-positive T-cell lymphoproliferative disorders of childhood

 

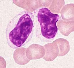
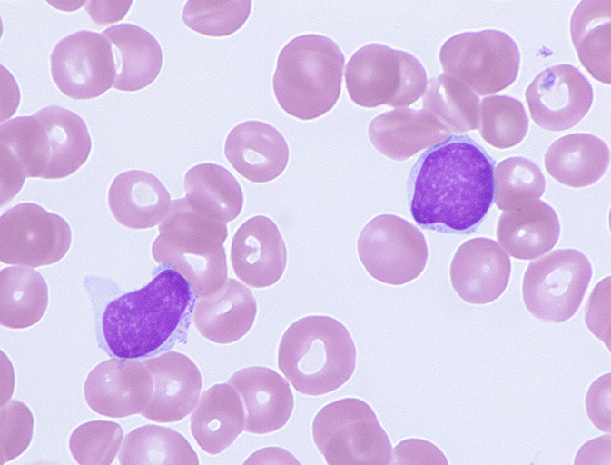
LGL 顆粒リンパ球、大顆粒リンパ球

LGL01.jpg

このとき*3のhealthy control リンパ球のサイズは12.5μmと, <13μmでありLGLは正常リンパ球サイズより大きい.

もっとも, 本来「large」はgranuleにかかる形容詞であり大型リンパ球の意味ではない.

T-cell LGL leukaemia

末梢血の所見

侵襲をうけた組織, 臓器にはクロナールなT-cell系のLGLが浸潤している.

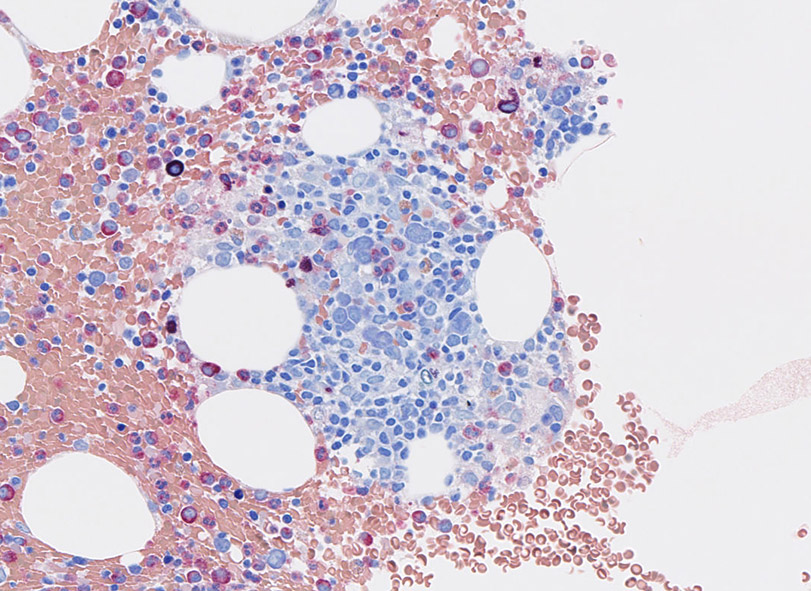
骨髄所見

脾臓の組織所見

肝臓の所見

リンパ節

&ref(): File not found: "tri-red01.jpg" at page "Granular lymphocyte-proliferative disorders (GLPD)";臨床症状

Neutropenia
多くのT-LGL患者さん(84%)は慢性好中球減少症をきたす. 1/2は好中球の絶対数が<500/μlとなる.
時に, 成人発症の周期性好中球減少症をおこすことがある.
文献によると, 周期性好中球減少症, 成人3例にはLGL増加が認められ, 小児例にはみられなかったと報告されている.*5*6

Anemia
T-LGLの50%に貧血が認められる. 輸血が必要な強度の貧血は20%.
Mayo ClinicのT-LGL-Lでは, oval macrocytosisが23%に認められ, 別のMayo clinicシリーズでは, 成人 pure red cell aplasia47例のうち, LGLが最も多い基礎疾患であった.

貧血には異なる基礎の原因があるが, 多いのは, Coombs陽性自己免疫性溶血性貧血とpure red cell aplasiaである.

Thrombocytopenia
20%に中等度症の血小板減少が認められる. 血小板抗体が生成されるためにITPとの鑑別が困難となる.
脾腫があると血小板減少に影響する. 無血小板血症患者さんに Megakaryocytic colony forming unit(CFU-MK)を腫瘍性LGLが特異的に阻害することが報告されている.

B症状; 20-30%に典型的なリンパ腫B症状が認められる.

  • 過去6ヵ月の間に, 10%を超える体重減少
  • 感染症がないにもかかわらず38℃の発熱が, 2週間以上持続する.
  • 感染なしの状況で寝汗が認められる.

脾腫; 身体所見で20-50%に軽度から中等度の脾腫がみられる. 肝腫大は20%までに出現.

リンパ節腫大は1-3%と少なく, 皮膚病変もまれである.

 

T-LGL leukaemia case 01

IWT case 67 y.o. male
数年来, 軽度の大球性貧血でfollow upされていたが徐々に進行, Hb;12.0g/dlから8.0g/dlへ低下. 紹介となる.

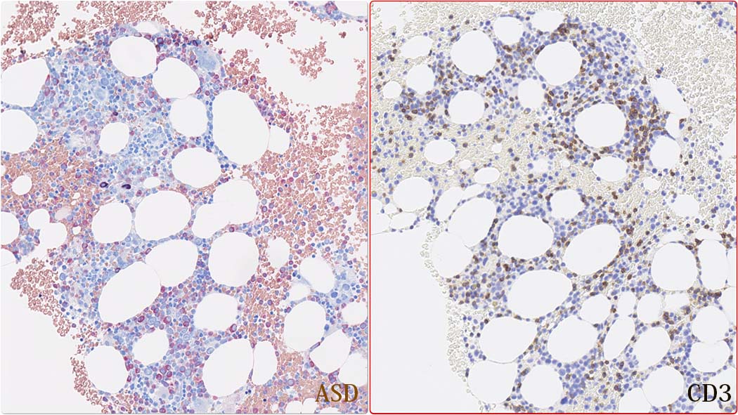
Bone marrow組織所見(clot section);

 

免疫染色

CD3とCD20

 

CD4, CD8とcytotoxic granulesの免疫染色

CD4陽性細胞の多くはマクロファージ. CD8+, toxic molecule+ のT-cellが増加している.本例では, TIA1陽性細胞が増加しているが, granzymeB陽性細胞はそれほど多くない.

 

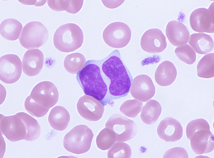
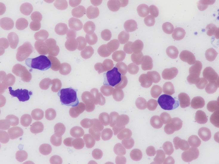
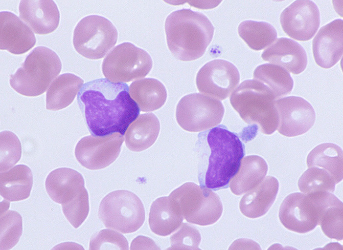
Smear所見(末梢血, 骨髄);thumb nailをクリックすると大きな画像が見られます.

末梢血

骨髄

本症例ではアズール顆粒は微細なものが多かった. 顆粒の乏しいLGLも多い. BMではLGLを確定するのが難しい.

 

T-LGL leukaemia case02

IWT-case02 69yo male.

朝のこわばり, 上肢関節痛により近医受診. 検査値においてγグロブリン高値, 好中球減少(5%)あり, 血液疾患を疑われ紹介入院となる.
Mタンパクなし. 好中球数200/μlで無顆粒球症と診断された. 肝脾腫なし, リンパ節腫大なし.

骨髄FCM. CD3+, CD5+, CD7+, CD8+, CD57+, CD56-, TCRγδ+のT-cell集団が検出されている. CD16陽性はどう解釈すればよいのか。単球/マクロファージの増加もあるように思われる.

 

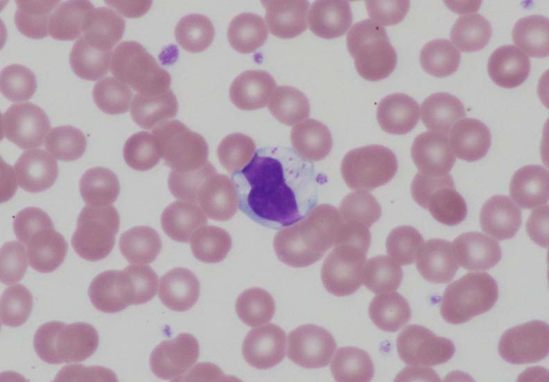
末梢血, 骨髄スメア

Hb 13.3g/dl, RBC 467x104;/μl, Ht 39%, MCV 83.5fl, MCHC 34.1g/dl,
WBC 3800/μl, st. 1%, seg. 4%, Eo 2%, Ba 0%, Mo 15%, Ly 67%, 顆粒リンパ球 11.0%, atypical Ly 0%. plt. 24.3x104; . LDH 168 U/L
Rheumatoid factor(+), 抗核抗体(+), 抗CCP(cyclic citrullinated peptides)抗体強陽性. 慢性関節リウマチの診断. 核型; 46,XY[20] 正常男性型.

File not found: PB-LGcell_s.jpgFile not found: PB-LGLcell_s.jpgFile not found: BM-smear01_s.jpgFile not found: BM-smear02_s.jpg
末梢血LGL末梢血LGLほか骨髄スメア骨髄スメア
 
 

STAT3 SH2変異とT-LGL

文献*7

大顆粒リンパ球白血病(LGL)は、T細胞(主にCD8T細胞)またはナチュラルキラー(NK)細胞のまれなリンパ増殖性疾患で、その原因は明らかではない*8. 種々の腫瘍でしばしば変異する重要なシグナル伝達タンパク質であるSTAT3の変異が、T-LGL患者77人中31人(40%)で報告され*9,この分子がLGL細胞の増殖と持続に関与していることが示唆された.

Jerez(Blood 2012)らは、これらの知見をさらに発展させ、T-LGLでは120人中33人(28%)、NK-LGLでは50人中15人(30%)がSTAT3のSrchomology2(SH2)ドメインの変異を示したことを明らかにした. *10この研究は、この稀な疾患の患者を多数調査した点で注目に値する.

T-LGLとNK-LGLの両方で、このタンパク質の活性化とその下流の経路に重要な役割を果たす同じSH2ドメインの変異が確認されたことから、この2つの疾患タイプでリンパ球の増殖と持続をもたらす共通の発症メカニズムが示唆された。

LGLで同定された変異の一つは、640位のチロシン残基をフェニルアナリンに変化させるもの(Y640F)で、以前、肝細胞癌における機能亢進を示すことが明らかになっている*11
Jerezらは、レポーターアッセイを用いて、もう一つの変異であるD661Vも、アップストリームシグナルとは無関係に、STAT3の基礎活性を高めることを示した。


*1  Oshimi K et al Leukemia 1993; 7: 782
*2  Semenzato G et al Blood 1997; 89: 256
*3  Tanahashi T, et al. Cell size variations of large granular lymphocyte leukemia: Implication of a small cell subtype of granular lymphocyte leukemia with STAT3 mutations.Leuk Res. 2016 Jun;45:8-13. PMID:27064362
*4  Go RS, et al. Lymphoproliferative disease of granular T lymphocytes presenting as aplastic anemia. Blood. 2000 Nov 15;96(10):3644-6.
*5  Loughran TP Jr, et al. Adult-onset cyclic neutropenia is a benign neoplasm associated with clonal proliferation of large granular lymphocytes. J Exp Med. 1986 Dec 1;164(6):2089-94.PMID:3023520
*6  Loughran TP Jr, et al. Adult-onset cyclic neutropenia is associated with increased large granular lymphocytes. Blood. 1986 Nov;68(5):1082-7.PMID:3768531
*7  Ishida F, et al. STAT3 gene mutations and their association with pure red cell aplasia in large granular lymphocyte leukemia.Cancer Sci. 2014;105(3):342-6.
*8  Lamy T, Loughran TP Jr. How I treat LGLleukemia. Blood. 2011;117(10):2764-2774.
*9  Koskela HL, Eldfors S, Ellonen P, et al. Somatic STAT3 mutations in large granular lymphocytic leukemia.N Engl J Med. 2012;366(20):1905-1913.
*10  Jerez A, Clemente MJ, Makishima H, et al. STAT3 mutations unify the pathogenesis of chronic lymphoproliferativedisorders of NKcells and T-cell large granular lymphocyte leukemia. Blood. 2012:120(15):3048-3057.
*11  Pilati C, Amessou M, Bihl MP, et al. Somatic mutationsactivating STAT3 in human inflammatory hepatocellular adenomas. J Exp Med. 2011;208(7):1359-1366.

トップ   新規 一覧 検索 最終更新   ヘルプ   最終更新のRSS