Wikipathologica-KDP

WHO2016 脳腫瘍分類

神経膠腫の診断はどうかわるのか--Haarlem formatやWHO2016脳腫瘍分類

新潟大学脳研究所 病理部門 高橋均先生--静岡がんセンター病理専門医養成講座2017から

始まりはオランダハーレムのISNの会議から.

ISN(international society of neuroscience)-Haarlem format of "layered diagnosis" 2014年*1

今までの腫瘍細胞由来がわかるような診断名--ie, astrocytoma, oligodendroglioma, glioblastoma, etc.はこれで問題ないのだけれど,

gradeを含めたものに, 蓄積されてきた遺伝子情報をとりこまないと正しい診断とはいえないのではないかということで, 最終的にintegrateした診断をめざす.

「遺伝子だけではわからないのじゃないか」という反論も取り込んで進んできた。*2

Haarlem会議の結論: Integrated diagnosisは最終的にめざす診断であって、段階的をふんで上にいきましょう.

Diffuse glioma(for example)

これをひとつの機関でやろうとすると相当な時間と相当なコストがかかることになる(高橋Dr)

File not found: WHO2016gliomas_s.jpg <-----免疫染色を使って診断をすすめていくスキーム(WHO2016blue book) クリックで拡大

 

MDACC-MDAnderson Cancer Center(TEXAS) のreport--これからの診断はこうなるんだろうという例:Pending Integrated diagnosis

MDACC-diagnosis.jpg
 
 

脳研究所のように神経病理の研究を主にしているところでは遺伝子のシークエンスまでしているんだけれど,ふつうはこのpending diagnosisでおわってて, でも, まずまちがいなく100% oligodendrogliomaといっていいと思っているヒトはいっぱいいるとおもう。
でもinternationalなルールからするとそれは「不完全な診断書」になっちゃうよというほどの非常に厳しい取り決めですね. (高橋Dr)

 

Integrated diagnosisの例

braintumor01.jpg

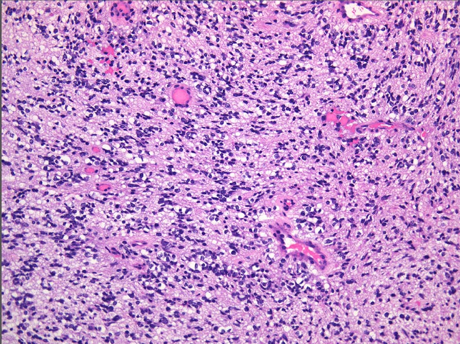
Case01 43yo female recent headaches, lt. face and hand numbness. 組織はglioblastoma

Initial Dx

Integrated diagnosis; Pending

Histological diagnosis: Glioblastoma

Histological grade: Grade IV

Molecular information: Pending ここには, IHCのmolecularな部分や, mitosisを書き込んでもかまわないがそれ以外の遺伝子mutationなどが強制的にはいってくるのが今の状況.

Case Molecular data(時間とお金をかけて行う)

Molecular surrogate immunohistochemistry:

Molecular assays:

Final, integrated diagnosis

Integrated diagnosis: Glioblastoma, IDH-wild type, WHO gradeIV

Histological diagnosis: Glioblastoma

Histological grade: Grade IV

Molecular information: IDH wildtype, TP53 mutant, PTEN mutant, MGMT promoter methylation negative, PDGFRA amplified.

 

われわれがおそらく今までやってきたことは、Histological diagnosisとHistological gradeは自信もってpathologistがやって, Molecular informationについてはできるだけのことをやっていたと. IHCではMIB-indexを出したり, p53を調べたり, IDH1だったら変異タンパクを検出するとか, 99%あるいは98%くらいの診断でよいとおもうんですが, できればこういうシークエンスもやってということなんですね。(高橋Dr)

 

Case 02

braintumor02.jpg

4-yo, girl tilting the head to the right

HE brain stem glioma, giant multinuclear cell+, MIB-1 50%, IDH1 R132H negative, p53++
予後はいくらもかわらない。いまのintegrated diagnosisにあわせるとやっかい。

大事なのはhistonの異常をしらべなければならない. Histon H3.1 HIST1H3BK27M
この遺伝子異常によるタンパク質は免疫染色で検出できる抗体がある。かならずしもsequenceしなくてよい.

 

Final integrated diagnosis

Integrated diagnosis: Diffuse midline glioma(brainstem glioma) H3K27M-mutant, WHO gradeIV

Histological diagnosis: Glioblastoma

Histological grade: Grade IV

Molecular information:

 

Case 03--5.8yo boy-WHO2016のレベルでもPending になるケース.

T-Case.jpg

一見するとparagangliomaみたいな, oligodendroglial-like cellのような細胞がはいってきてsynaptophysin(+), GFAP部分+でもしかしたらglioneural tumorかなというcase.
OLIG2+, MAP2,S-100(+), GFAP(+/-), synaptophysin(+)

differential diagnosis

Final, integrated diagnosis

Integrated diagnosis: Pending WHO2016レベルでもpendingの腫瘍

Histological diagnosis: Diffuse leptomeningeal glioneuronal tumor

Histological grade: Grade ?

Molecular information: IHC: positive for synaptophysin, GFAP, negative for S-100

Diffuse leptomeningeal glioneuronal tumorという, 新しく加わった腫瘍で予後のはっきりしない, しかし顕微鏡レベルやMRIレベルでみるととてもじゃないけど予後不良だなというdisseminationしている腫瘍.細胞成分としてはそんなに悪くない.

今このWHOレベルでもintegrated diagnosisはpending。Histological diagnosisとしてははっきりいえる。まだまだ症例が足らなくて, もうすこし症例を集めてgradeを検討しよう。これから先は, molecular informationについては調べていきましょうということです。これでも正式な診断書というレベルの腫瘍も新しく加わった腫瘍にはあるんですね。

MGMT; O6;-methylguanine-DNA methyltransferase

テモゾロミド(Temozolomide:TMZ)は経口投与可能な抗がん剤. 商品名テモダール。アルキル化剤に属し, 初発・再発の星状細胞腫(膠芽腫等)の悪性度の高い脳腫瘍の治療に用いられるほか, 海外では悪性黒色腫の治療にも用いられる。 また承認外用法として乏突起神経膠腫の治療に、旧来の忍容性の低いPCV療法(プロカルバジン、ロムスチン、ビンクリスチン)の代わりに用いられている国もある。

MGMT promoter領域のメチル化状態とTemozolomide(TMZ)による脳腫瘍治療

  • MGMT promoter CpG islandがメチル化 ---> MGMTメチル化症例--->MGMTが発現しない--> TMZがききやすい
     
  • MGMT promoter CpG islandがメチル化していない--->MGMTが発現する--->TMZは効きにくい.
     

特殊な装置がなくてもPCRのできる環境でメチル化の検査-->MGMTpromoter Methylation-specific PCR*3

MGMTprom-primers.jpg
 

bisulfate処理にはQiagenのEpitect Fast Bisulfate Conversion kitを使用している. 最後のDNA抽出ではDNAが低濃度にならないように注意. NanodropなどでDNA量を測定しておく。

MGMT-M (Methylated) primer;
forward: 5'-TTTCGACGTTCGTAGGTTTTCGC
reverse: 5'-GCACTCTTCCGAAAACGAAACG

MGMT-U (unmethylated) primer;
forward: 5'-TTTGTGTTTTGATGTTTGTAGGTTTTTGT
reverse: 5'-AACTCCACACTCTTCCAAAAACAAAACA

PCRは HotStart Taq, 95℃ 15min,
40cycleで94℃ 30sec, aneal 59-57℃ 30sec, 72℃ 1min.
1 cycle 72℃ 10min, 4℃ soak. primerがA, Tが多くなるのでcycleは40cycleに増やしている.
anealing tempはEstellerの論文では59℃. 57℃だとよりきれいにbandが出る。


*1  Louis DN, et al. International Society Of Neuropathology--Haarlem consensus guidelines for nervous system tumor classification and grading. Brain Pathol. 2014 Sep;24(5):429-35.PMID:24990071
*2  Hainfellner J et al, Letter in response to David N. Louis et al, International Society of Neuropathology-Haarlem Consensus Guidelines for Nervous System Tumor Classification and Grading, Brain Pathology, doi: 10.1111/bpa.12171.Brain Pathol. 2014 Nov;24(6):671-2.
*3  Esteller M, et al.Inactivation of the DNA repair gene O6-methylguanine-DNA methyltransferase by promoter hypermethylation is a common event in primary human neoplasia.Cancer Res. 1999 Feb 15;59(4):793-7.

トップ   新規 一覧 検索 最終更新   ヘルプ   最終更新のRSS