Langerhans cell sarcoma

wikipathologica-皮膚へもどる
wikipathologica-樹状細胞疾患へもどる
Langerhans cell histiocytosis症例解説

Langerhans cell histiocytosis

Langerhans cell histiocytosis症例01

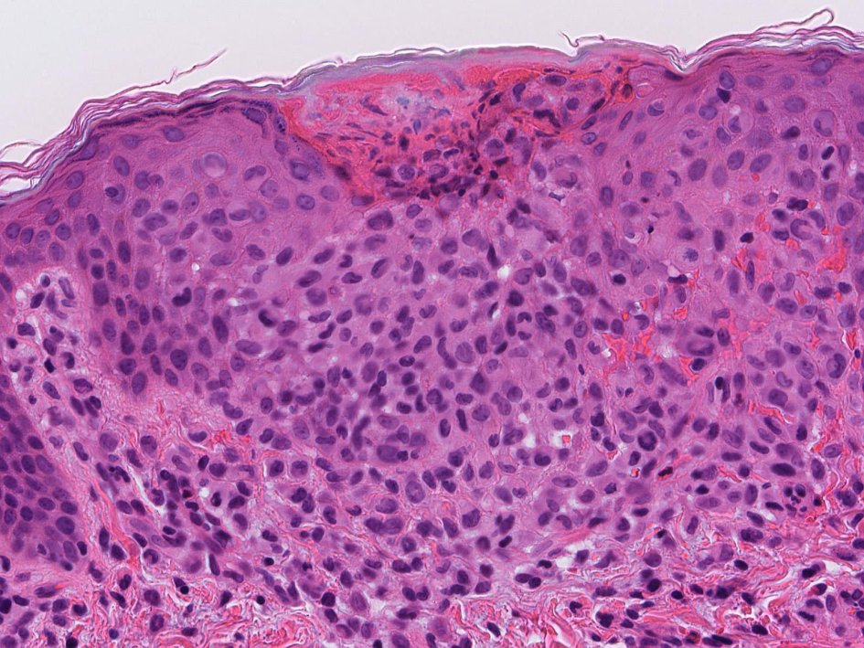
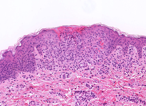
0歳女児 皮膚に1mm大の丘疹が多発, びらんを伴っている.肝脾腫あり

 

皮膚組織所見

症例01のVirtual slide

ヴァーチャルスライドを見る右クリックで新しいウインドウで見ると便利です。

病理組織診断:Langerhans cell histiocytosis, multifocal multisysem disease

Langerhans cell histiocytosis

現在のLangerhans細胞組織球症 LCHの分類

現在はhistiocytosis Xの病名で呼ばずに, LCHと診断して, 1. uniforcal disease, 2. multifocal unisystem disease, 3. multifocal multisystem diseaseの3病型に分ける。2.はHand-Schueller-Christian病に相当し3.はLetterer-Siwe病にあたる。

病型好発年齢頻度初発臓器臨床症状
1Unifocal disease5歳~65%骨が90%, その他リンパ節, 肺、皮膚など腫瘤, 骨痛, 無症状も多い
2Multifocal unisystem disease3歳未満30%骨が60%以上, その他リンパ節, 肺, 皮膚など腫瘤, 骨痛, 尿崩症, 低身長
3Multifocal multisystem disease1歳未満5%多臓器, 骨, 皮膚, 肝, 脾, リンパ節皮疹, 発熱, 肝脾腫, リンパ節腫大

multifocal unisystem disease(= Hand-Schueller-Christian病)
ほとんどの症例が骨に多発病変を形成し50%は頭蓋骨へ浸潤をきたして眼球突出, 尿崩症, 歯牙欠損などを呈する。

multifocal multisystem disease(=Letterer-Siwe病)
多臓器に浸潤し発熱,pancytopeniaなど全身症状が強い

Lieberman,P.H.et al, Am J Surg Pathol 20:519-552, 1996

Langerhans cell histiocytosisの歴史--histiocytosis X

1953年, Lichtensteinは異なった疾患とされていたLetterer-Siwe病, Hand-Schueller-Christian病, 骨の好酸球性肉芽腫症の3疾患を組織球増殖性疾患とみなし, 単一の疾患の異なった病相であるとの観点から統括してhistiocytosis Xとした(X はいずれも原因が不明であるという意味)。

histiocytosis X

3疾患とも典型例では好発年齢,臨床症状,経過, 病理組織像が著しく異なる。1970年代になりこれらの疾患に共通して増殖する細胞はLangerhans細胞であることが明らかになり現在ではLangerhans細胞組織球症Langerhans cell histiocytosisと呼ばれる

Letterer-Siwe病

Hand-Schueller-Christian病

骨の好酸球性肉芽腫

Langerhans 細胞

Paul_Langerhans.jpg

1868年Paul Langerhans*1がヒト皮膚表皮内に樹状突起を持つ細胞が存在することを報告した。

現在この細胞は貪食能に乏しく,T細胞に抗原提示をする能力をもつ細胞であることがわかっている。貪食をおもな仕事とする組織球とは異なる細胞群であり,疾患名の「組織球症」はマクロファージ増殖症との混乱をまねく。

Langerhans細胞組織球症は組織球増殖疾患ではなく, T細胞関連樹状細胞増殖症です。-->と記載してきたが、これはまだ結論のついていない問題のようだ(2017,7月)

 

Langerhans細胞はマクロファージか樹状細胞か? *1

LCHの細胞像と免疫染色

増殖細胞は単核性で核は切れ込み,ひだ,捻じれを示す他, 分葉状, グローブ状のこともある。細胞質は好酸性。細胞異型をみることもあるが通常は異型がない。核分裂像は病変によりさまざま。

Langerhans cell histiocytosis症例アトラスを見る

増殖細胞はBirbeck顆粒をもつが検出頻度は症例,病変により異なり正常Langerhans細胞のものとは超微形態が異なるといわれる。

CD1a
CD1は2群に分けられる5つのアイソタイプがある。第1群はCD1a, CD1b, CD1cであり, Langerhans cell, リンパ節および皮膚の樹状細胞, mantle zone B細胞, サイトカイン活性化単球などに局在。 これらは全て抗原提示細胞となりうる細胞。
CD1aはTCR(-)の未熟な胸腺皮質T細胞の抗原. DP, SPの皮質T細胞にみられるが, CD1a陽性では, PHAやIL-2などに反応して増殖することのない未熟な細胞で, これがTCR陽性となり, MHCと接触しpositive選択により成熟するとPHA, IL-2に対する反応性を獲得する代わりにCD1a陰性となる。*2

Langerin(CD207)
Birbeck顆粒のマーカで, Birbeck顆粒に局在する. 皮膚表皮,粘膜の未熟なdendritic cellであるLangerhans cellに発現する

リンク

日本ランゲンルハンス細胞組織球症研究グループ--1996年6月に本邦における小児LCHの最適な治療を確立することを目的として、LCHに関心のある全国の小児科医が集まりJapan LCH study group (JLSG)を立ち上げ、グループスタディを開始しています。


*1 膵臓のランゲルハンス島を発見したランゲルハンスと同じ人。独の病理医,生物学者
*2 Res P et al. Downregulation of CD1 marks acquisition of functionalmaturation of human thymocytes and defines a control point in late stages of human T cell development. J Exp Med., 185: 141-151, 1997
*1  川村龍吉 ランゲルハンス細胞 -マクロファージか樹状細胞か 組織マクロファージ 医学のあゆみ 2016; 259(5): 436-440

トップ   新規 一覧 検索 最終更新   ヘルプ   最終更新のRSS