Wikipathologica-KDP

静岡病理医会

Myeloid sarcoma (Granulocytic sarcoma)

(WHO 2017改訂第4版の定義)

骨髄肉腫とは骨髄以外の解剖学的部位に発生した、成熟または未成熟の骨髄芽球(myeloid blasts)からなる腫瘍塊のこと.

白血病患者の骨髄性芽球が身体のどの部位にも浸潤している場合、組織構造に影響を及ぼす腫瘍塊を呈していなければ、骨髄性肉腫とは分類されない。(同時白血病の腫瘍細胞浸潤でも, 組織構図に影響を及ぼす腫瘍塊を形成すればmyeloid sarcomaの診断になる.)

文献*1 *2

(WHO 2008の定義)
骨髄芽球が骨髄以外の臓器に腫瘤を形成して増殖する病態骨髄芽球はmaturationがあってもなくてもよい。
白血病の患者さんでは, 骨髄芽球が確かな腫瘤を形成し組織の構造に影響を及ぼす場合以外は、いかなる臓器における浸潤もMyeloid sarcomaとは分類しない。

う~ん, 曖昧な定義ですなあ。しかしながら, 診断時に骨髄病変のない, あるいはAML診断既往のない症例に限ると頻度は極めてわずかになってしまうようです。

 

病理組織所見

腫瘍局在*6

 
 

Myeloid sarcoma症例01: SPS223-Case05 Myeloid sarcoma

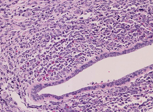
診断に難渋した顆粒球肉腫の1例 静岡赤十字病院 笠原正男: myeloid sarcomaのリンパ節病変.

 

腫大したリンパ節, 20x17mm. 萎縮した胚中心をもつ濾胞が散在する. 一見, Castleman病様の像. よく見ると, 線維化し軽度に肥厚した被膜下に小リンパ球の乏しい, 低倍で明るくみえる領域を視認できる.(サムネイル画像をクリックで大きな画像がみられます)

拡大像では, 類円形, 卵円形, non-cleaved nucleiをもつN/C比大の大きさのそろった細胞がシート状密に浸潤増殖している.
クロマチンは繊細で核は淡明, 核小体を1から数個もつ.

 

virtual slide---腫大した頸部リンパ節,部分

(Sorry you need ID and psswrd of SPS members to see Virtual slide.)

Myeloid sarcoma 症例02

乳腺腫瘤 50歳代女性

乳腺の急速に増大する腫瘤を自覚し受診。locus Aに直径5cm大までの複数の腫瘤を認めた。fine needle biopsyは陰性。incisional biopsyを行う。末梢血異常なし。
differential;Eo4%, 芽球をみとめず。LDH 204 IU/l。

生検組織:

乳管をring状にとりまくように異型細胞が浸潤増殖している。増殖細胞は小型核小体をもつ, クロマチンの繊細な明るい大型類円形核, 淡明または弱好塩基性細胞質の境界不明瞭な細胞。核所見からは幼弱な細胞の増殖と考えられる。細胞の結合は弱く, リンパ腫や血液系細胞などが鑑別になる。乳管上皮間に異型細胞浸潤は見られない。(乳腺リンパ腫に多いMALT typeとは細胞所見, 浸潤所見がまったく異なっている)部分的に好酸球浸潤があり, 大型の単核好酸球など出現する好酸球にも異型があるように見える。

 

免疫染色:

リンパ腫が疑われflow cytemetryのMLパネルを調べた場合はCD34, CD13, CD33が鑑別として組み込まれている。浸潤細胞はCD34+, CD13+, CD38+,であった。naphtol AS-D-CAE染色+,追加の免疫染色で, MPO+, lysozyme+, CD16-, CD56-, CD68(PG-M1)-, p53+.

以上から骨髄芽球の髄外乳腺組織浸潤と考えられた。flow cytometryに検体が出されていない場合は, 鑑別にGranulocytic sarcomaを入れることが大切。

リンパ腫が疑われるけれどリンパ球マーカが染まらないときは骨髄芽球マーカ、組織球樹状細胞マーカを入れてみる。CD34も幼弱細胞を検出する。

CK(AE1/3), LCA, Desmin, S100の基本カルテットでは, LCAが引っかかることなる. しかし, LCA(CD45)陰性の, myeloid sarcoma症例もあるため, 注意が必要である.

本例では骨髄検査でmyelocytic leukaemiaは認められなかった。

Virtual Slide ---> 乳腺腫瘤

Sorry, このVSを見るためにはID, pass wordが必要です。

Myeloid sarcoma症例03

Myeloid sarcoma of the small intestine


*1  Pileri SA, et al. Myeloid sarcoma: clinico-pathologic, phenotypic and cytogenetic analysis of 92 adult patients. Leukemia 2007 Feb;21(2):340-50.PMID: 17170724
*2  Falini B, et al. Cytoplasmic mutated nucleophosmin (NPM) defines the molecular status of a significant fraction of myeloid sarcomas. Leukemia. 2007 Jul;21(7):1566-70.PMID: 17443224
*3  Giacomo Coltro, et al. Extramedullary blastic transformation of primary myelofibrosis in the form of disseminated myeloid sarcoma: a case report and review of the literature Clin Exp Med 2020 May;20(2):313-320.PMID: 32065308
*4  Soni A, et al Extramedullary Involvement by Chronic Myelogeneous Leukemia in Five Patients With Unusual Clinicopathologic Features: A Review of the Effectiveness of Tyrosine Kinase Inhibitors J Clin Med Res 2016 Jun;8(6):480-5. PMID: 27222678
*5  Pileri SA, et al. Myeloid sarcoma: clinico-pathologic, phenotypic and cytogenetic analysis of 92 adult patients. Leukemia 2007 Feb;21(2):340-50.PMID: 17170724
*6  Pileri SA, et al. Myeloid sarcoma: clinico-pathologic, phenotypic and cytogenetic analysis of 92 adult patients. Leukemia 2007 Feb;21(2):340-50.PMID: 17170724

トップ   新規 一覧 検索 最終更新   ヘルプ   最終更新のRSS