Wikipathologica-KDP

to End

Primary testicular lymphoma 原発性精巣リンパ腫; immune-privileged(免疫特権)siteに発生するリンパ腫

教科書*1文献*2*3*4*5*6

睾丸腫瘍の5%がリンパ腫で, 50歳以上の男性の睾丸腫瘍で最も高頻度. 小児はごくまれ. 平均年齢は50歳代後半より60歳代.

両側睾丸腫瘍で最も高頻度なのがリンパ腫. HIV陽性患者さんは少ない. 睾丸悪性リンパ腫の素因はわかっていない.

典型例では, 硬い痛みのない陰嚢腫瘤
少数例では、患者に全身症状または異常な神経学的所見などの精巣外症状がある.

精巣上体に発生するリンパ腫は精巣リンパ腫よりも少なく、精索に発生するリンパ腫は非常にまれ. これらの部位のリンパ腫の臨床的および病理学的特徴は、精巣リンパ腫の特徴と類似している.

精巣は免疫特権により保護された臓器

原発性睾丸リンパ腫は原発性大脳リンパ腫と同様にimmune-privileged(免疫特権)siteに発生し, 血液-睾丸バリアにより免疫反応より防御されている.*7

免疫特権(immune privilege)全身の免疫系から隔絶されている,臓器内で自己制御されているなどの理由により免疫応答や炎症反応などが起こりにくい性質のこと.免疫特権があると臓器移植の際に拒絶反応が起こりにくいことから移植成功率が高いとされる.脳,眼(角膜),毛髪,精巣,母親の子宮内の胎児などに免疫特権があると考えられている.*8

男性生殖細胞は胎生期8週から精祖細胞として精巣内に存在する. しかし思春期になってから精祖細胞が精母細胞に分化増殖し、さらに減数分裂して精子・精子細胞が出現するため, 精子・精子細胞は, 幼児期までに非自己を排除する機能を確立している免疫システムにとって非自己と認識される自己抗原を有することになる.

この自己抗原を有する精子・精子細胞を守るため、精巣には自己免疫反応を抑制する様々なメカニズム-免疫特権(immune privilege )が存在する.*9

病理所見

肉眼所見; 睾丸摘出術の標本では淡褐色, 灰色あるいは白色の境界明瞭な腫瘤. 数ミリから16cmまでのサイズ. 50%の症例では, 白膜(tunica albuginea)を穿通して増殖している. 多くの症例で精巣上体が侵襲されている. 小数例で精索が侵される.

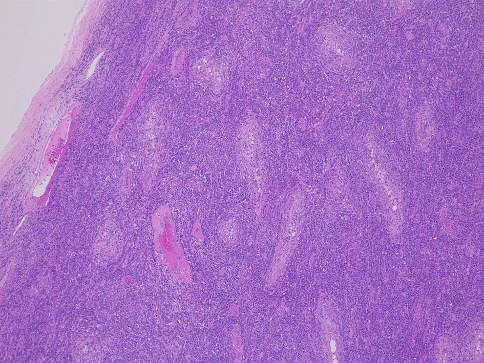
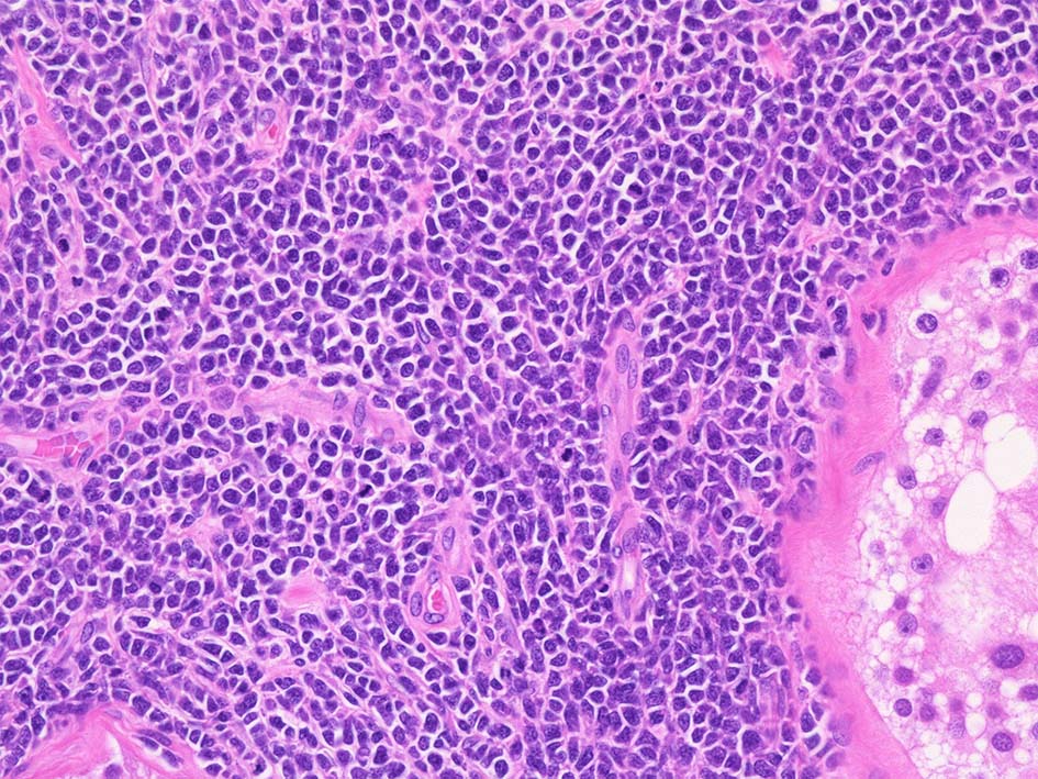
光顕所見; リンパ腫により, 少なくとも一部の領域の精細管が消失する. 末梢の領域では精細管の間質にリンパ腫細胞が浸潤する. ほとんどの場合、腫瘍細胞は精細管に侵入, 精細管の周辺を占め、生殖細胞とセルトリ細胞を中央に変位させるか, または精細管を完全に占拠してしまう.

1/3の症例では硬化像を示す.

リンパ腫組織型

 

小児の精巣リンパ腫で最も多いものは, Burkitt's lymphomaで, 典型的なstarry sky組織像を示す.
primary testicular follicular lymphomaはまれ. 発症例では, 多くが限局性の濾胞性リンパ腫, grade2あるいは3aである.幾例かは, DLBCLのminor componentが認められるが, minor componentの存在は予後不良とは関連しない.

わずかな例において MALT lymphoma, peripheral T-cell lymphoma NOS, anaplastic large-cell lymphoma, T-lymphoblastic lymphomaが報告されている.*15*16
(MALT lymphomaについては, high-grade lymphomaの部分にMALT lymphoma組織を認める症例のようである*17*18)

1998年の解析では, 精巣DLBCLはリンパ節DLBCLといくつかの分子生物学的特徴が異なるサブセットであり, 組織学的および分子生物学的所見がMALT lymphomaのものと相似しているとする文献がある. *19

Extranodal NK/T-cell lymphoma, nasal typeが睾丸に発症する. 高度侵襲性, CD56陽性, 細胞障害性顆粒タンパク陽性, EBV陽性で予後不良のリンパ腫である.

 
 

ステージ, 治療および予後

睾丸を侵襲する悪性リンパ腫患者さんの70-80%は限局性疾患であり, Ann Abor stageはIあるいはⅡである*20*21 *22半数以上はstage Iになる.*23

睾丸DLBCLは一般に予後不良と考えられ, 治療がいくらか進歩した現在でも, 患者さんの生存中央値は6ヵ月に過ぎず, 改善の余地が大きい.*24

再発時にはCNSへの発生が最も多く, 対側の睾丸, 骨, 肺, 皮膚, ワルダイエル輪, 肝臓, 腎臓, その他への再発もある.
リンパ節にも再発がありえる. *24*25*26

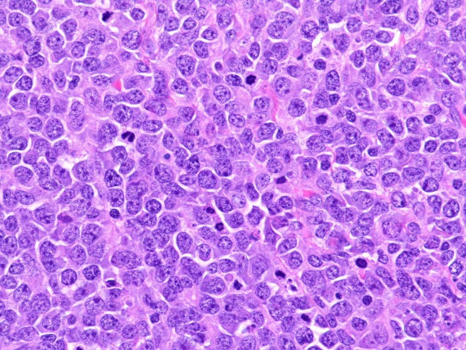
Diffuse large B-cell lymphoma

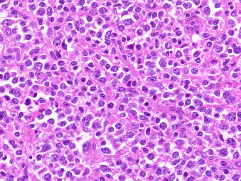
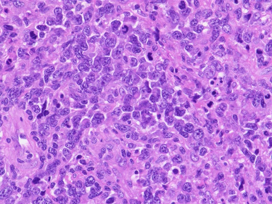
Case01; 80 yo male. 20日前ころより陰嚢腫大に気づく. 5日後, 睾丸の痛み出現. 翌日救急外来受診. 左精巣は鶏卵大に腫大. 治療による改善なく高位精巣摘出術が施行される.

病理組織所見

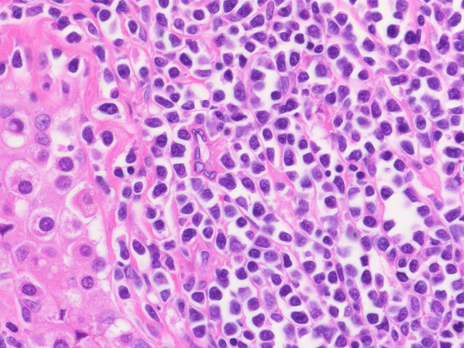
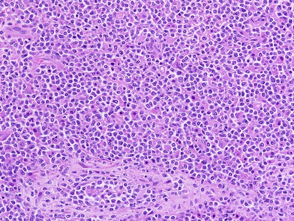
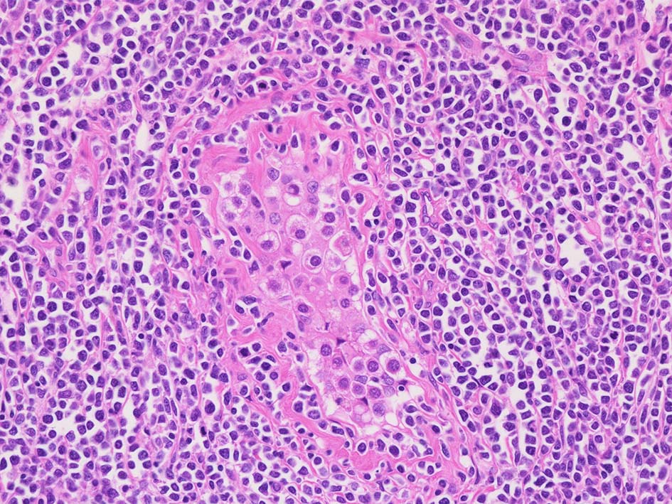
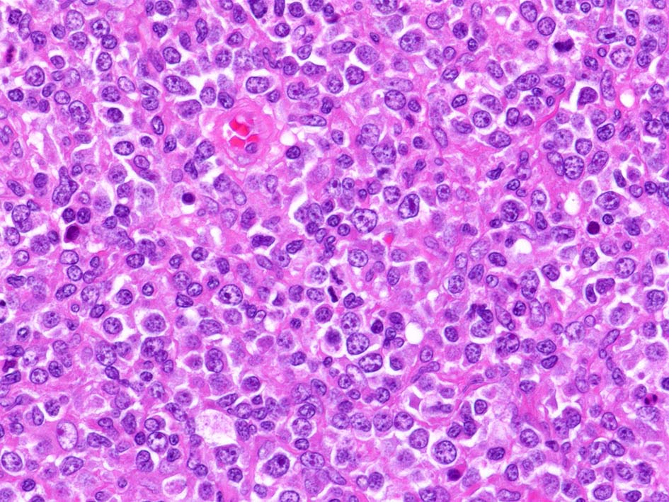
腫瘍内に壊死が認められる. 異型リンパ球の密な増殖により精細管は消失している. 
腫瘍細胞はcentroblastic cells. mitosisやapoptosisが多い.

Diffuse large B-cell lymphoma of the lt. testis, 6.0x5.0x4.5cm in size.

 
 

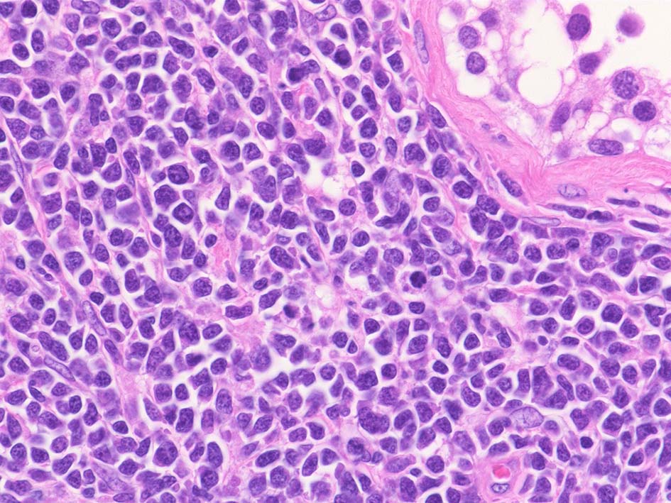
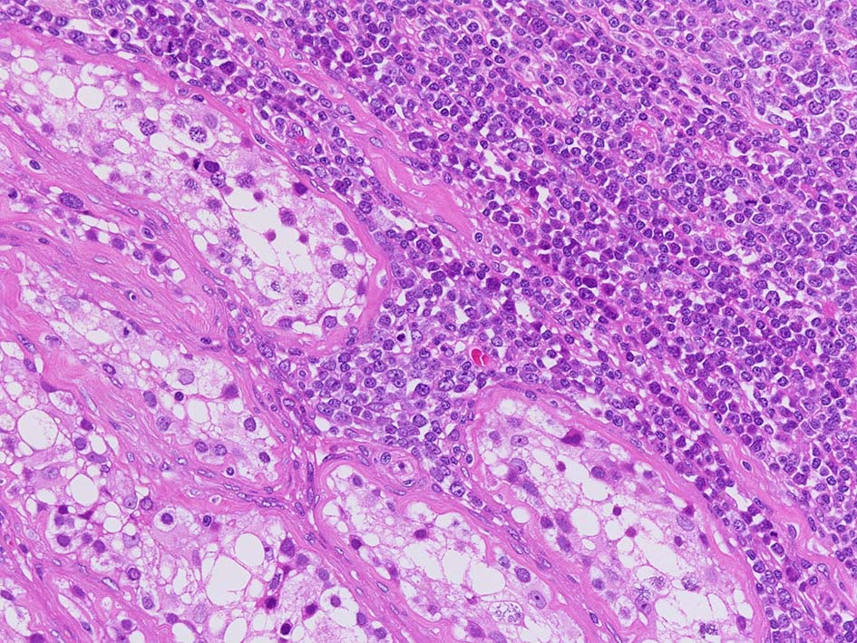
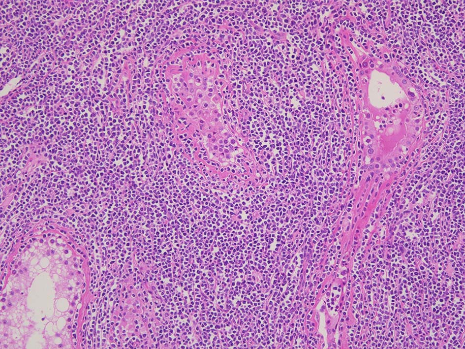
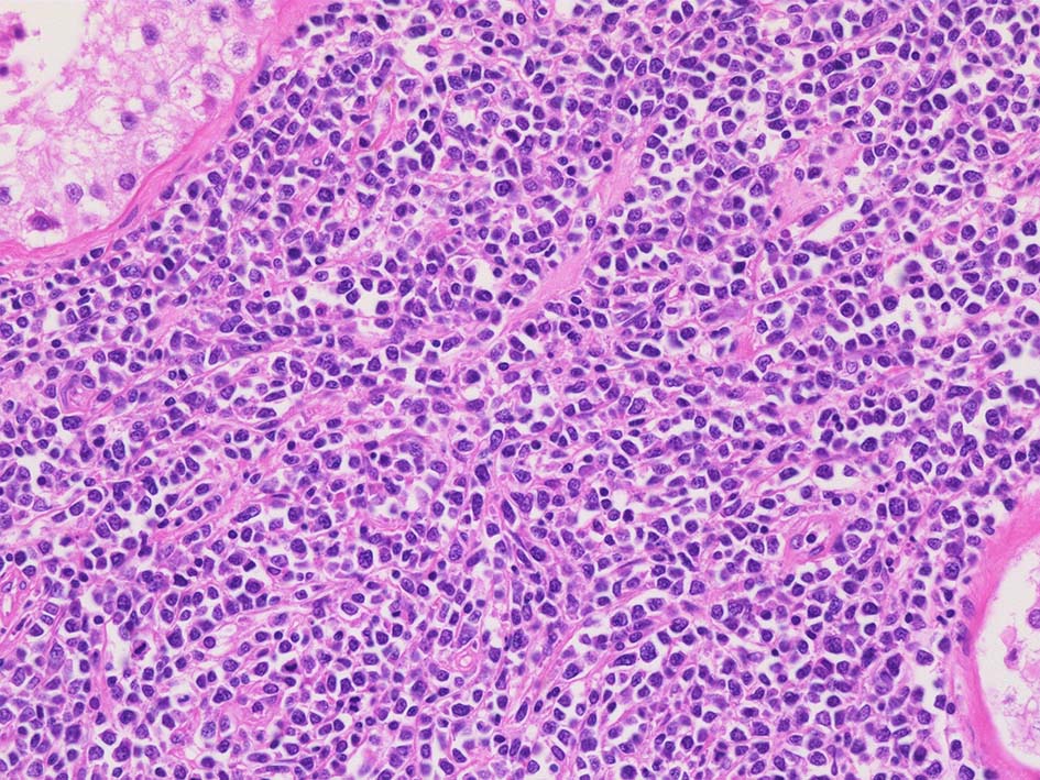
Case02 71yo male. 両側精巣腫大に気づく. 精巣は両側ともに軽度腫大し硬く, 圧痛はない. LDH 242 U/Lと軽度増加. CT, MRIで傍大動脈リンパ節の腫大あり.

病理組織所見

lt. testicular tumor

File not found: bilateral-DLBCLmacro_s.jpgFile not found: 2366-lt-lpf01_s.jpgFile not found: 2366-lt-lpf02_s.jpgFile not found: 2366-lt-hpf04_s.jpg
macrox40x40x400
 

rt. testicular tumor

File not found: 2366-rt-lpf01_s.jpgFile not found: 2366-rt-lpf02tubles_s.jpgFile not found: 2366-rt-hpf02.jpgFile not found: 2366-rt-hpf03_s.jpg
x40x40x100x400

精細管は浸潤により萎縮, 消失. びまん性にcentroblasts/immunoblastsの増殖が認められる. 腫瘍細胞間に軽度の線維化がある.

両側性精巣リンパ腫は, 免疫グロブリン軽鎖遺伝子再編成において一貫したクローン性を示し, 精巣においてリンパ腫の潜在的播種によるものであり, 原発性の両側性精巣リンパ腫ではないと推察されている.*27

 

Case 03

病理組織所見

増殖巣では精細管は消失, 萎縮. 腫瘍境界部での浸潤所見がある.

 
 

Extranodal NK/T-cell lymphoma, nasal type of the testis

病理組織所見

小リンパ球と同程度か1.5倍くらいのサイズ, round/ convoluted nucleiをもつリンパ球がシート状密に増殖する. 核クロマチンは粗で, 核小体が認められる核もある.
DLBCLとは細胞の大きさや細胞所見が異なっている. 精細管への浸潤, 占拠所見がある.

 

免疫染色

病理診断: Extranodal NK/T-cell lymphoma, nasal type of the testis

 
 

Case; Diffuse medium-sized B-cell lymphoma with germinal center phenotype

Nmz-case 55yo male 左睾丸の腫瘤に気づき受診.

精細管の多くがスペアされ, 間質にlymphoid cellsが密に浸潤している. わずかな精細管に浸潤が認められ萎縮や破壊像が認められる. 精細管において Lymphoepithelial lesion(LEL)に似た所見がある.

 

類円形/多稜形の核をもつN/C比大の細胞. 粗大なクロマチンが増加, 核小体は不明瞭. DLBCLに認められるcentroblasts/ immunoblastsの細胞所見と異なる.

LCA(CD45)+, CD20+(focalに陰性), CD79a+, PAX5+, CD5-, CD10+, BCL6+が多い, MUM1-, BCL2+, cyclinD1-, MIB1 LI; very high(>80%). EBER-ISH-.

IGH; clonal band+ (BIOMED2, FR1 and FR2). MYD88L265PはAS-specific PCRで陰性. Molecular にもcommon typeのtesticular DLBCLとは異なっているようである.

 
 

精巣のリンパ腫病変; T-lymphoblastic lymphoma

症例ページをみる -->Testicular involvement of T-lymphoblastic lymphoma


*1  Hematopathology Jaffe ES, et al.
*2  Zucca E, Conconi A, Mughal TI, et al: Patterns of outcome and prognostic factors in primary large-cell lymphoma of the testis in a survey by the International Extranodal Lymphoma Study Group. J Clin Oncol 2003; 21: 20-27
*3  Ferry J, Young R, Malignant lymphoma of the genitourinary tract. Curr Diagn Pathol 1997; 4:145-169
*4  Dalle J, et al: Testicular disease in childhood B-cell non-Hodgkin's lymphoma: the French Society of Pediatric Oncology experience. J Clin Oncol 2001; 19: 2397-2403
*5  Ferry JA, et al: Malignant lymphoma of the testis, epididymis, and spermatic cord. A clinicopathologic study of 69 cases with immunophenotypic analysis. Am J Surg Pathol 1994; 18: 376-390
*6  Pectasides D, et al: Anthracycline-based chemotherapy of primary non-Hodgkin's lymphoma of the testis: The Hellenic Cooperative Oncology Group experience. Oncology 2000; 58:286-292
*7  Cheah CY, et al. Primary testicular lymphoma. Blood 2014; 123: 486-493
*8  実験医学 2013年9月号 Vol.31 No.14
*9  平井宗一、ほか. 自己免疫性精巣炎の発症と精巣の構造,臨床免疫・アレルギー科, 60:698-702, 2013.
*10  Hirai S, et al. The origin of lymphatic capillaries in murine testes. J Androl, 33:745-751, 2012.
*11  Itoh M , et al.Tissue microcircumstances for leukocytic infiltration into the testis and epididymis in mice. J Reprod Immunol, 67:57-67, 2005.
*12  伊藤正裕. 精巣機能とサイトカイン. Hormone Frontier in Gynecology 10: 51-57, 2003.
*13  Terayama H, et al . Contribution of IL-12/IL-35 Common Subunit p35 to Maintaining the Testicular Immune Privilege. PLoS One, 9 ( 4 ):e96120, 2014.
*14  Lambrechts A.C.,et al. Lymphomas with testicular localisation show a consistent BCL-2 expression without a translocation (14;18): a molecular and immunohistochemical study. Br J Cancer. 1995; 71:73-77
*15  Akhtar M, et al: Neutrophil-rich Ki-1-positive anaplastic large cell lymphoma presenting as a testicular mass. Mod Pathol 1996; 9:812-815
*16  Wilkins BS, et al.Morphological and immunohistochemical study of testicular lymphomas. Histopathology 1989; 15:147-156
*17  Crellin AM, et al. Non-Hodgkin's lymphoma of the testis. Radiother Oncol.1993 May;27(2):99-106.
*18  Kuper-Hommel MJ, et al. T(14;18)(q32;q21) involving MALT1 and IGH genes occurs in extranodal diffuse large B-cell lymphomas of the breast and testis. Mod Pathol. 2013 Mar;26(3):421-7.PMID:23018871
*19  Hyland J, et al. Molecular pathological analysis of testicular diffuse large cell lymphomas. Hum Pathol. 1998 Nov;29(11):1231-9.
*20  Al-Maghrabi J, et al: Primary low-grade B-cell lymphoma of mucosa-associated lymphoid tissue type arising in the urinary bladder: report of 4 cases with molecular genetic analysis. Arch Pathol Lab Med 2001; 125: 332-336.
*21  Kakizaki H, et al: Malignant lymphoma in the female urethra. Int J Urol 1994; 1: 281-282
*22  Lucioni M, Nicola M, Riboni R, et al: Antibiotic therapy-induced remission of bladder mucosa-associated lymphoid tissue (MALT) lymphoma carrying t(11;18)(q21;q21) apoptosis inhibitor 2-MALT1. J Clin Oncol 2013; 31: e304-e306
*23  Hatcher PA, and Wilson DD: Primary lymphoma of the male urethra. Urology 1997; 49:142-144
*24  Al-Maghrabi J, Kamel-Reid S, Jewett M, et al: Primary low-grade B-cell lymphoma of mucosa-associated lymphoid tissue type arising in the urinary bladder: report of 4 cases with molecular genetic analysis. Arch Pathol Lab Med 2001; 125: pp. 332-336.
*25  Hatcher PA, and Wilson DD: Primary lymphoma of the male urethra. Urology 1997; 49:142-144
*26  Kakizaki H, et al: Malignant lymphoma in the female urethra. Int J Urol 1994; 1: 281-282
*27  Bentley R.C., et al. Genotypic divergence precedes clinical dissemination in a case of synchronous bilateral B-cell malignant lymphoma of the testes. Hum Pathol. 1993; 24: 675-678

トップ   新規 一覧 検索 最終更新   ヘルプ   最終更新のRSS