Wikipathologica-KDP

症例;Progressive transformation of germinal center (PTGC)

43歳男性 頸部リンパ節

平成X年1月頃から頸部他表在リンパ節の腫大あり。精査を行うが悪性疾患の可能性乏しく経過観察となる。11月になっても頸部リンパ節の腫大が改善せず。生検をおこなう。 軽度肝機能障害ありAST 61, ALT 132, LDH 175IU/l, sIL-2R 422, CRP(-)

頸部リンパ節生検標本病理所見

Virtual Slideを見る--->頸部リンパ節   右クリックで新しいウィンドウで開くと便利です。

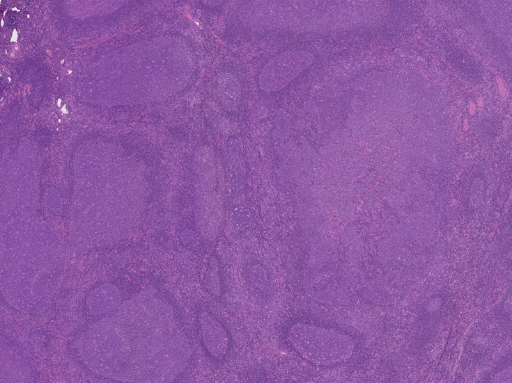
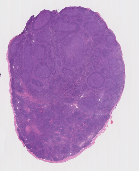
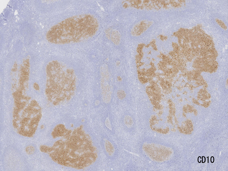
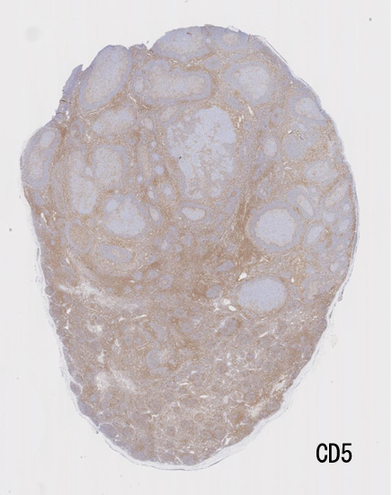
HE染色像と免疫染色

クリックで大きな画像が見られます。

 
 

不整形の胚中心(CD20+, CD10+, BCL2-)のまわりにはCD5陽性リンパ球が多く存在してマントル層を形成している. (IgD染色でもマントル層はよく認識できる). 胚中心内のCD5+ cellはfollicular helper T-cellのようです.

病理組織所見

大きな胚中心を持つ多数のリンパ濾胞が見られる。胚中心の辺縁は不明瞭でマントル層も薄くなっている。1カ所マントル層リンパ球の侵入によりバラバラになった巨大な胚中心が認められ, macrofollicular patternと記載されるPTGCです。
鑑別にあがるfollicular lymphoma floral variantは全ての濾胞が腫瘍性であり, 本症例では除外可能と考える。

Diagnosis: Reactive lymphadenitis with PTGC

PTGCは組織所見であり, 単独の疾患単位ではありません。

謝辞

PTGCの診断について群馬がんセンター, 故 小島勝先生にconsultationしました。深謝いたします。

References

濾胞のevolutionについて記載した論文(小島先生お薦め)

Follicular Hyperplasia, Follicular Lysis, and Progressive Transformation of Germinal Centers: A Sequential Spectrum of Morphologic Evolution in Lymphoid Hyperplasia Chung-Che Chang, et al, Am J Clin Pathol 2003; 120:322-6


トップ   新規 一覧 検索 最終更新   ヘルプ   最終更新のRSS