Primary testicular lymphoma

Testicular involvement of T-lymphoblastic lymphoma? or primary testicular T-LBL ?

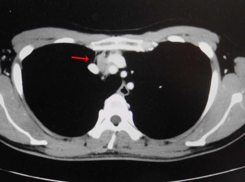
30歳代男性

無痛性精巣腫大で泌尿器科受診. 画像診断では, 左精巣最大径4.5cmの腫瘤で縦隔リンパ節転移が疑われた. 左高位精巣摘除術をうける.


トップ   新規 一覧 検索 最終更新   ヘルプ   最終更新のRSS