Wikipathologica-KDP

Waldenstroem macroglobulinemia

 

lymphoplasmacytic lymphoma(LPL)

小型B細胞リンパ球, 形質細胞様リンパ球(plasmacytoid lymphocyte), 形質細胞の混在する腫瘍性増殖で骨髄, リンパ節, 脾臓病変を認める.

WHO2016での変更点

1) MYD88L265Pがほぼ全症例に認められる。ただし, MYD88L265PはLPLに特異的ではない。--> MYD88のページ, Allele specific-PCR

2) IgM-MGUSはLPLあるいはその他のリンパ腫類縁疾患であり, 形質細胞腫とは異なると考えられる。

3) IgM-MGUSは マクログロブリン血症, 免疫グロブリン関連アミロイドーシスへの進展が年 1.5%とされる *1

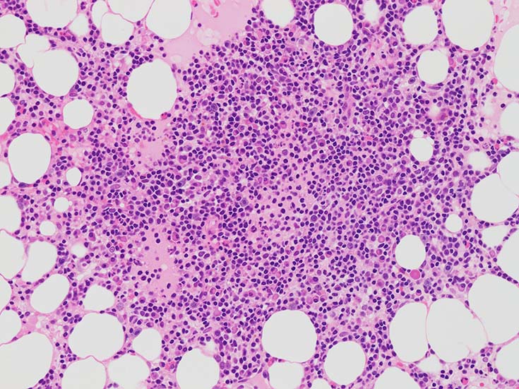
形態

免疫染色

B-CLLとの鑑別は, CD5, CD23が陰性で, CD20, sIgが強陽性. 細胞質のIg出現

 

LPLの症例--病理所見

症例 IWTcase. 71yo male.

濾胞性・間質性膀胱炎で診療中, 検査で貧血, 血小板減少, 高γグロブリン血症(IgM Mタンパク)を指摘され, 血液内科を紹介受診となった.
Hb11.5g/dl, RBC 321x104;, MCV 104, MCHC 34.4, WBC 5200, st. 2.0, seg 79.0, Eo 0.0, Ba 0.0 Mo 5.0, ly 13.0%,plt. 11.7x104;, 連銭形成(+). IgG 2121mg/dl, IgA 163mg/dl, IgM 3233mg/dl

免疫電気泳動でIgM-κtype Mタンパクが検出された.

Bone marrow clot sectionでは, nodularな病変形成が認められる. HEでは不明瞭であるが, Naphtol-ASD-CAE-Giemas染色では mast cellの顕著な増加が明瞭に認識される.
mast cellsは周辺部に出現することが多いようである.多発性骨髄腫の結節にはmast cell増加を認めることは経験上ない.

明瞭な結節が形成されず,造血細胞内に小さなクラスタを形成して散在する場合もある.

 
 

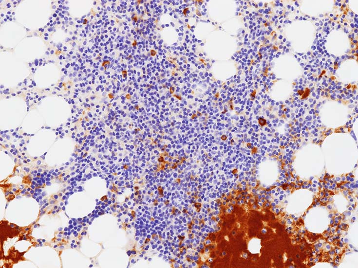
増殖するB細胞はCD19+, CD20+. 結節内に増加する形質細胞はCD19+, CD20‐である. (多発性骨髄腫の形質細胞様細胞はCD19陰性).~  多くのB細胞がMUM1陽性を示す. CD5, CD10, BCL6は陰性.

 
 

CD138陽性形質細胞の分布. 中央部よりも周辺部に陽性細胞が多くみられる.
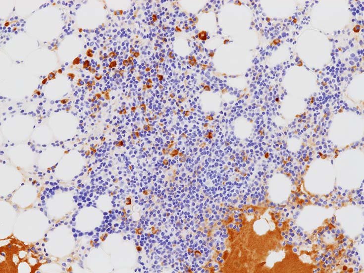
light chain, kappa/ lambda-ISHでは, kappa>lmbdaであるが, この結果より, 明瞭なrestrictionと断定するのは難しい.

 
 

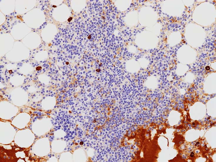
通常/ 正常の骨髄クロットでは 背景タンパク液のIgMはそまらないかごく淡い陽性. しっかり陽性を示す本例では血中IgMの増加を示唆する. IgMに染まる形質細胞が増加している.

多発性骨髄腫などと違い, 他の免疫グロブリンが強く抑制されることは少ないようである.

 
 

LPLの症例

症例ページ--->lymphoplasmacytic lymphomaの症例

 
 

lymphoplasmacytic lymphomaの治療

第六回リンフォマニアになる会 伊豆津先生の講演から

WMclass.jpg

診断の契機

macroglobulinemiaの患者さんは, 症状を呈していなければ, (過粘稠症状, 貧血など過粘稠以外の症状)治療の必要はない。症状が発現してくれば治療対象となる。(原則は2016年も変わっていない)

これまでLPL/WMの治療

 indolent B-cell lymphomaに対する治療

  • Rituximab単剤療法
     
    • IgM flaire(IgMフレア)という問題がおこる。:腫瘍量が減ってもIgMが増えてしまう。治療後2週間から6週間の間, 過粘稠症候群の症状が悪くなることがある。これは疾患の進行とは異なる
      治療開始後に再入院になり, 血漿交換が必要になるときがある。
       
  • Rituximab併用化学療法 (RCD療法, R-CHOP療法, BR療法… )
    LPL-WM-OS.jpg

 骨髄腫に対する治療

  • MP療法 (melpharan+predonisolone)
     
  • Dexa大量療法, VAD療法
     
  • Bortezomib併用療法(BDR療法… )骨髄腫には初回治療につかいわないと予後が悪い。日本ではリンパ腫には保険が認められていない。

 血漿交換療法(double filtration plasmapheresis)

  • 過粘稠症候群に対する一般的, 一時的な対症療法

LPL/WMの治療効果判定: IgM減少を基準としている。

  • Minor response(MR): 血清IgM減少 25~50%, 新規病変・症状なし
     
  • Partial response(PR): 血清IgM減少 50-90%, 髄外病変改善, 新規病変・症状なし
     
  • Very Good partial response(VGPR)血清IgM減少 ≧90%, 髄外病変改善, 新規病変・症状なし
     
  • Complete response(CR) 免疫固定法で血清単クローン性IgM消失. 血清IgM正常 髄外病変消失、BMに腫瘍浸潤なし.
     

最も初回治療によく使われるDRC(Dexamethasone, Rituximab, Cyclophosphamide)療法においてOverall response ORR(血清IgMが25%以上低下する)は83%: CRは7%と非常に少ない, PR 67%, MR 9%

  • CRは非常に少ないため, macroglobulinemiaの患者さんではIgMが低下するだけで, 倦怠感など過粘稠症状や貧血が改善するため、これで治療よしとする。

bortezomibを併用するとIgMを早く低下させることができる.(日本では使えない) 1-2ヶ月で効果がでてIgM Fraireの山がない。しかしCRは3%ほどと、大変まれ。

 

LPL/WMの経過中の問題点

1) 再発を繰り返す
2) 組織学的形質転換(transformation)
3) 二次性骨髄異形成症候群・急性白血病の合併
4) 感染症

BTK inhibitor(ブルトン型チロシンキナーゼ(BTK)阻害剤)--ibrutinib

MYD88_NFkB01.jpg

tol-interleukin-1 resistanse (TIR)ドメインは直接MYD88を活性化するほか, TRL4ではTIR domain containing adoptor protein (TIRAP)とBurton's tyrosin kinase (BTK)が反応することでMYD88が活性化される。

Burton's tyrosin kinaseを阻害するとMYD88を介するシグナルを阻害しNFkB活性化を押さえることができる。

MYD88変異をもつ患者さんのほうが, MYD88野生型患者さんよりもibrutinibが良く効く. IgMの減少が強く、貧血改善度が高い*4--->Treon SPらの文献 freeで閲覧可能です。

再発を繰り返すWM 63例にibrutinib 420mg/day PO投与.

Ibrutinib.jpg

商品名 imbruvica (ヤンセン)

米国では2013年11月にマントル細胞リンパ腫への使用が、2014年2月に慢性リンパ性白血病への使用が承認された。2015年1月には、非ホジキンリンパ腫の一種であるワルデンシュトレーム型マクログロブリン血症への使用が可能となった。

日本では2016年3月に「再発又は難治性の慢性リンパ性白血病(小リンパ球性リンパ腫を含む)」について承認された。2016年6月現在では、「再発又は難治性のマントル細胞リンパ腫」に対して追加承認申請されている。(承認のデータはwikipediaから)

原発性マクログロブリン血症へのイブルチニブ療法

ibrutinibの単群試験が2つと, ibrutinib+ R療法群とプラセボ+ R療法群を比較する第III相試験*5*6がおこなわれた.

イブルチニブは420mg x 1/T, 連日投与. リツキシマブは 375mg/m2を 1, 4, 17, 20週めにip.


*1 Dimopoulos MA, et al. Diagnosis and management of Waldenström's macroglobulinemia. J Clin Oncol. 2005 Mar 1;23(7):1564-77.
*1  Rajkumar SV, et al. International Myeloma Working Group updated criteria for the diagnosis of multiple myeloma. Lancet Oncol. 2014 Nov;15(12):e538-48. doi: 10.1016/S1470-2045(14)70442-5.
*2  San Miguel JF et al., Semin Oncol 30: 187-195, 2003
*3  Owen RG et al., Semin Oncol 30: 110-115
*4  Treon SP, et al. Ibrutinib in previously treated Waldenstrom's macroglobulinemia.N Engl J Med. 2015 Apr 9;372(15):1430-40.
*5  Dimopoulos MA, et al. Phase 3 Trial of Ibrutinib plus Rituximab in Waldenstrom's Macroglobulinemia. N Engl J Med. 2018 Jun 21;378(25):2399-2410. doi: 10.1056/NEJMoa1802917. Epub 2018 Jun 1.PMID:29856685
*6  Dimopoulos MA, et al. Ibrutinib and Rituximab in Waldenstrom's Macroglobulinemia. N Engl J Med. 2018 Nov 15;379(20):1975-1976. doi: 10.1056/NEJMc1809505. No abstract available.PMID:30428288

トップ   新規 一覧 検索 最終更新   ヘルプ   最終更新のRSS