Acute promyelocytic leukaemia-AML M3

Acute promyelocytic leukaemia - Case 02

67歳男性

かかりつけ医で汎血球減少を指摘され当院を受診。WBC700/μl, RBC 296x10^4/μl, Hb10.3g/dl, Plt.5.3x10^4/μl, differential; blast1.0%

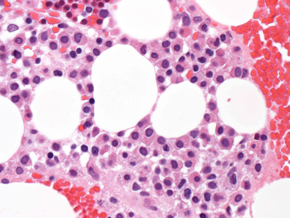
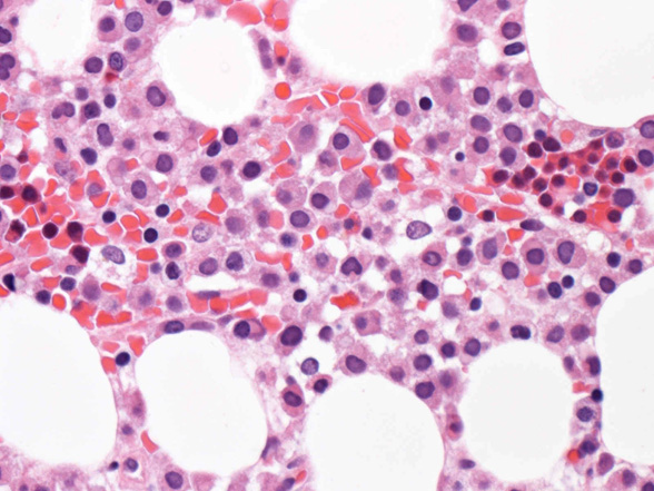
病理組織・細胞所見

myelogram; NCC4.5x10^4/μl, Mgk 0, 好塩基性顆粒をもつ異型前骨髄球様細胞が増加。M3variantに似るねじれた核の前骨髄球、fagott cellが出現し, 有核細胞の70%を占める

骨髄clot sectionは小型のparticleが一個のみ認められた。正常造血は抑制され異型核の幼若細胞が増殖。MPOびまん性陽性。末梢血では異型前骨髄球様細胞が出現。

 
karyotype03.jpg

karyotypeではt(15;17)(q22;q11-12)以外に付加的染色体異常, add(10)(q24), add(17)(q11), add(22)(q11)を12/20 cellsに認めた。

 
FISH01.jpg

核間期FISHでPML-RARA融合遺伝子を107細胞中78%の細胞に認めた。

病理診断: Acute promyelocytic leukaemia, M3 非定型型

治療と経過

AML-M3, 形態的にも核型においても非定型型(M3 variantといわれるtypeとも異なる)と診断。
ATRA投与を開始する。検査結果においてDICの可能性があり, FOY, heparinの投与も行う。滑膜炎, RA様症状を発症しATRAを一時中止する。ステロイド投与により改善した。ステロイドを持続しながらATRAを再開した。以後, JALSG APL97にてconsolidation開始。顆粒球減少にはG-CSFを投与した。FISHでPML-RARA陰性化。CRで退院。 以後1回再発するがATRA, JALSG APL97にてCR. その後再発無く10年後の現在無病でfollow up中。

 
 

リンク

Acute promyelocytic leukaemia-case03


トップ   新規 一覧 検索 最終更新   ヘルプ   最終更新のRSS