Burkitt's lymphoma - Case03

Burkitt lymphoma バーキットリンパ腫 Up to date

Burkitt.jpg

Burkitt lymphoma*1

きわめて増殖能の高い(腫瘍のdoubling timeの短い)高悪性度B細胞リンパ腫で, しばしば節外性病変や白血病の病態で発症する急速進行性の成熟B細胞腫瘍である.均一な中型細胞の(大細胞リンパ腫や免疫芽球リンパ腫より小さい)びまん性増殖を示し,8q24のC-MYC遺伝子とIg遺伝子の相互転座 t(8;14)(q24;q32)/ C-MYC/IGHが認められる。この転座は疾患に特徴的ではあるが特異的ではない

免疫不全を伴う場合 Epstein-Barr virusとの関連が強く,c-Mycの恒常的転写活性亢進と細胞死からの回避が本疾患の発症要因と考えられる.*2

中枢神経系浸潤例は予後不良. 小児科領域で開発された大量methotrexateおよびcytarabine療法を組み込んだ強力な化学療法により,成人例の予後も改善している.

BLの診断にgold standardとなる単一のパラメータはなく, 種々の診断技術を組合わせて診断する必要がある。(WHOの定義より)*3

頻度は日本,欧米いずれにおいても全悪性リンパ腫のほぼ1-2%, 小児悪性リンパ腫では25-40%がBurkitt lymphoma.

Burkitt lymphomaの臨床型, 病理, 組織細胞所見

Burkitt lymphomaは3つの臨床型に分けられる.臨床型により好発部位が異なるが節外病変が多く, 3型ともに高頻度に中枢神経が侵される

Endemic(風土病性, 地方病性) BL
熱帯アフリカやパプアニューギニアに発生し, 4-7歳小児に発生のピークをみる。男女比は2:1。リンパ腫の発生する地域や気象条件は地理的にマラリアの流行地域と一致している。
50%の症例で顎骨, 眼窩など顔の骨に発生。
回腸遠位, 盲腸/大網, 精巣卵巣, 腎, 長幹骨, 甲状腺, 唾液腺, 乳房なども顎骨と同時または顎骨病変なしに出現する。骨髄限局性病変が時に認められるが, 末梢血に出現することは無く, leukaeminaにはならない。

Sporadic(散発性, 弧発性) BL
世界どこでも見られ,小児から若年成人に主に発症する。発症年齢中央値は30歳で男女比は2-3:1である。小児では多くが男児に発生する。
顎骨病変は非常にまれである。ほとんどの症例が腹部腫瘤を示し回腸/盲腸病変が最も多い。endemic BLと同様に卵巣, 腎, 乳房が高頻度に侵される。
乳房病変は思春期, 妊娠, 授乳と関連して発症する。後腹膜腫瘤はspinal cord圧迫により片麻痺をきたすことがある。リンパ節病変は子供より大人に出現する。Waldeyer ring, 縦隔病変はまれ

Immunodeficiency-associated BL
基本的にHIV感染者に認められる。AIDSの初発症状として発生することがある。
リンパ節病変が骨髄病変とともに高頻度に見られる。

Burkitt leukaemia variant

巨大病変の患者さんにはleukaemic phaseが出現する。ごくまれな症例(主に男性例)では 骨髄, 末梢血を侵す純粋型の急性白血病を認めることがある。FAB分類ではALL-L3 typeと分類されていたこの急性白血病は診断時か病早期より中枢神経病変が認められる。

病理組織所見

Fig. 1 and 2: 典型的なBurkitt lymphomaの症例(小児腹部腫瘤)
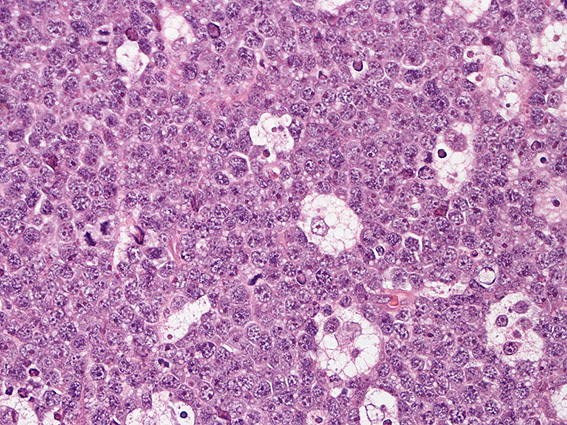
cohesive(凝集した, 密接した), ぎゅうぎゅう詰めの状態で, 中型サイズ[免疫芽球や大細胞リンパ腫の核よりは小さめ]の類円型核をもつリンパ球様細胞が増殖する。核のクロマチンは顆粒状で核全体に分散し, 複数個の核小体を有する。淡明で豊かな胞体のtindible body macrophageがこのcohesiveなリンパ球増殖の中に散在して, 特徴のあるstarry-sky(きらめく星空)パターンを演出している。

macrophageは細胞質内に核片や変性した細胞を貪食する。 増殖細胞には核分裂像やapoptotic changeが多く認められ, turn overの早い, 増殖能の高い腫瘍であることが推察されます。

ただし, cohesiveの状況は標本の質, 出来具合で変わるようで, 固定の不十分な場合はcohesiveの程度が緩むこともありえる。また針生検組織などの小さな組織では核がより小さくなりsmall sized lymphomasとの鑑別診断が必要となることを経験する。
Fig.3 Aschoff Haus症例, Fig.4 肝腫瘍針生検

免疫染色

増殖細胞はB-cell関連抗原, CD19, CD20, CD22が陽性。膜IgMが陽性となり, 軽鎖の再構成あり。CD10, CD38, CD77, CD43およびbcl-6が陽性となる。bcl-2は陰性かごく弱い発現(症例の20%)。TdTは陰性。
Ki-67(MIB-1index)陽性がほぼ100%, T細胞の混在はごく少数であることが必要。

成人例で, より異型の強いsubtypeではbcl-2陽性となることがある(現在はhigh-grade lymphoma/double hit lymphomaとされる)。BLの診断のためにはBCL2またはBCL6の転座がなく, myc/IgH translocationが証明されるなどBLに特異的な所見が全てそろうことが必要である。

 

分子病理学的所見

immunoglobulin heavy chain再構成あり。somatic hypermutationを伴う。

c-MYC-IGH breakapoint.jpg

C-MYC,IGH遺伝子の各病型における切断点.*2

t(8;14)(q24;q32)

t(8;14)転座は多くの腫瘍細胞でみられるような転座による融合タンパク産生型のキメラ遺伝子を形成することはないが, リンパ球の中でのみ免疫グロブリンが非常に多く発現しているために他の体細胞ではなく, リンパ球特異的にMYCが高発現することになり結果としてリンパ腫が発症すると考えられている。

Burkitt's lymphoma--cases

 
 

B ell lymphoma, unclassifiable, with features intermediate between DLBCL and Burkitt lymphoma

 
 

agressive lymphomaのひとつでDLBCLとBurkitt's lymphoma両者の形態的特徴および遺伝子異常をもつが生物学的ないし臨床的な理由によりどちらかに分類できないもの。この一部は以前, Burkitt-like lymphoma(BLL)と分類されていた。(WHO blue book 2008の定義)

形態転換したfollicular lymphomaの一部はこの範疇に分類されうる。


*1  Ott G, Alaggio R, Chan J, et al. Burkitt lymphoma. In: WHO Classification of Tumours Editorial Board. Haematolymphoid tumours [Internet; beta version ahead of print]. Lyon (France): International Agency for Research on Cancer; 2022 [cited 2023 Aug 09]. (WHO classification of tumours series, 5th ed.; vol. 11). Available from: https://tumourclassification.iarc.who.int/chaptercontent/63/160
*2  磯部泰司 Burkittリンパ腫 Ⅲ病態と治療  悪性リンパ腫:診断と治療の進歩 日本内科学会雑誌 2008; 97(7): 90-98
*3  WHO classification of tumors of Haematopoietic and Lymphoid Tissues 4th Ed, pp262 2008''

トップ   新規 一覧 検索 最終更新   ヘルプ   最終更新のRSS