Chronic myelomonocytic leukaemia(CMML)

Case01

non-neoplastic monocytosis.jpg

60歳代中頃 男性

主訴; 腰痛, 発熱. 2年前より健診で白血球増加を指摘され近医で経過観察中, 症状が発現.
肺炎を合併した造血器疾患の疑いで精査のため紹介される.

末梢血 blood count:RBC 254x104/ml, Hb 9.1g/dl, Ht 27.7, MCV 109.1, MCHC 32.9,
WBC 58600/μl, diff.; My 3.0, Met 1.0, St 12.0, Seg 64.0, Eo 0.0, Ba 0.0, Mo 11.0, Ly 5.0, promonocytes 4.0%

monocytosisは, 種々の非腫瘍性疾患において観察されるため(右図 Foucur K,et al)慎重な鑑別が必要である. 本症例の肺炎など感染症は頻度の高い原因になる.

CMMLの診断クライテリア (WHO 4th Ed, 2016)

1 . 持続する末梢血の monocytosis >1000/μl(単球が末梢 白血球の10%以上を占める)

2 . bcr-abl1陽性CML, primary myelofibrosis, PV, ETのWHO分類診断基準に一致しない

骨髄増殖性腫瘍(MPN)ではmonocytosisを初発時,あるいは経過中に発現しCMMLと類似する場合がある. このような稀な症例では既往歴にMPNがあればCMMLを否定することができる.

MPNとして特異的な骨髄所見MPN関連遺伝子異常(JAK2, CALR, MPL)があればCMMLよりも単球増加を伴うMPNの診断を支持する.

3.PDGFRA, PDGFRB, or FGFR1 再構成なし, PCM1-JAK2融合遺伝子を認めない.(特に eosinophiliaを伴う症例では必要)

4. 末梢血および骨髄の芽球は <20%未満であること. 芽球はmyeloblasts, monoblasts, promonocytes を含む。(形態読むのが大変なんだよね)

5. 1系統以上の骨髄球系細胞に異形成が認められる。 形態異常が見られないか, ごく軽微な場合は上記, 1-4を満たした上に1), 2)を満たすこと.

1) 後天性のクロ-ナルな染色体異常, 遺伝子異常が造血細胞に認められること.

2) 単球増加症が3ヵ月以上持続し, monocytosisを起こす他のすべての原因(悪性腫瘍, 感染症, 炎症性疾患など)が除外されていること.

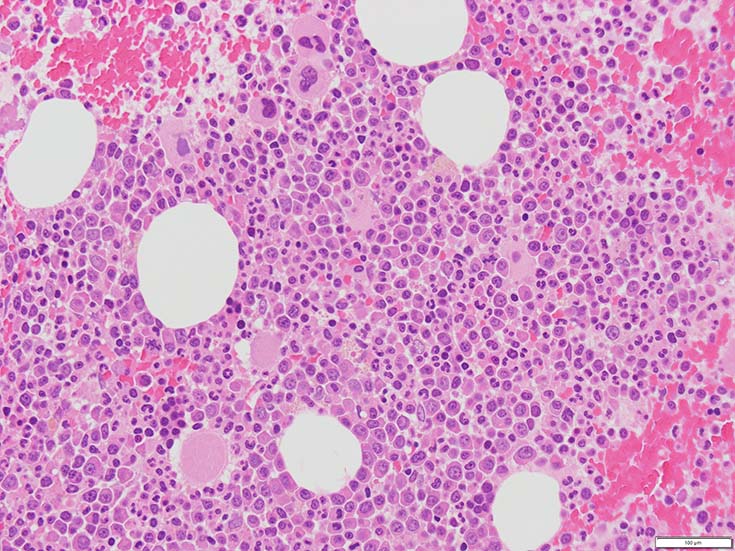
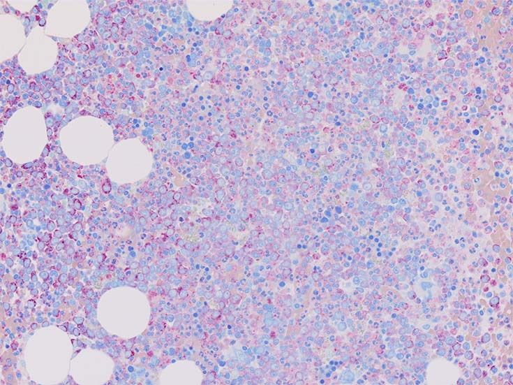
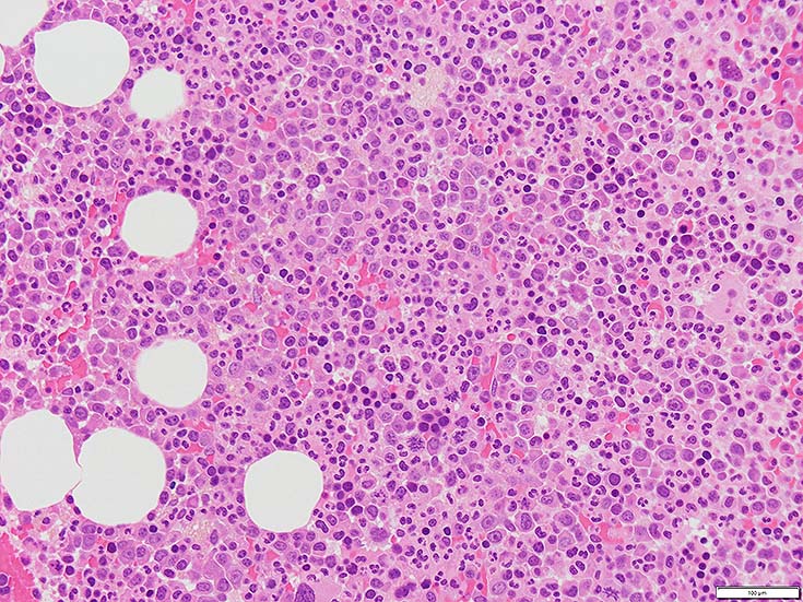
初診時の骨髄組織所見

thumb nail画像のクリックで大きな画像がみられます.

HE染色および, Naphtol-ASD-CAE染色した骨髄クロット組織標本-->Naphtol-ASD-CAE染色, 載せガラス法のページをみる.

70-80%のhypercellular marrow. 3系統造血細胞が認められる. Naphtol-ASD-CAE染色で赤色にそまる顆粒球系細胞増生が顕著な骨髄組織.

promyelocytesなど幼若顆粒球系細胞の集簇がみられるが, 分葉好中球他, 成熟顆粒球(Naphtol-ASD-CAE染色は薄く染まる傾向あり)も多く認められacute leukaemiaの所見ではない.

単球(Naphtol-ASD-CAE染色陰性)が密に増殖する所見は骨髄組織には認められない(*1)

作成中


トップ   新規 一覧 検索 最終更新   ヘルプ   最終更新のRSS