Bone Marrow Histopathology

Hairy cell leukaemia

定義(WHO 5th classification)

有毛細胞白血病(HCL)は,通常,骨髄,末梢血および脾臓に発現し, 95%以上の症例でBRAF p.V600E体細胞変異を有する、豊富な細胞質と特徴的な毛状突起を有する腫瘍細胞から成る,
低悪性度の成熟B細胞新生物である

WHO 5th HCL --> fileHairy cell leukaemia-WHO5th.txt

HCL case

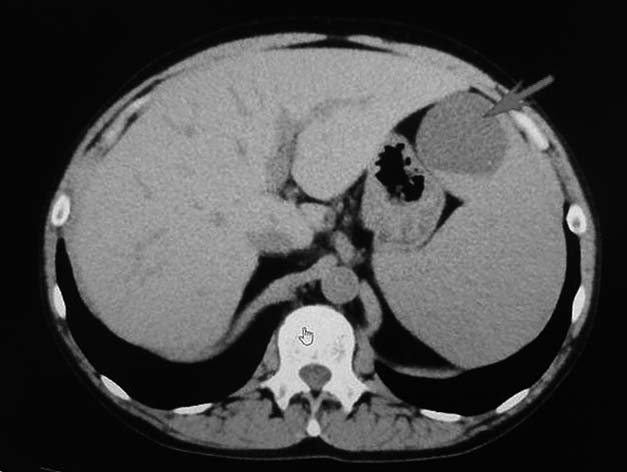
splenomegaly.jpg

40歳代男性

かかりつけ医で高血圧治療中, 6ヶ月前, WBC1900/μl(neutro 700), RBC 325x104/μl, Hb 12.8g/dl, Plt 5.1x104;. 顆粒球減少, 血小板減少あり.
今回 WBC 1100μl(Neutro 400), RBC 325x104/μl, Hb 11.0g/dl, Plt 3.4x104と血球減少が進行, 紹介となる.

入院し精査. 骨髄はDry tap. CTでは脾腫が認められた. 末梢血には, 芽球, 幼若細胞の出現なし. 骨髄線維症よりもリンパ球系腫瘍が疑われた. 骨髄生検を行う.
生検組織塗抹標本で急性白血病は否定. 自覚症状なく外来での精査可能と判断される.

腹部CT: 脾腫を認める. 脾腹側に4cm大の境界明瞭な腫瘤がみとめられ, 放射線科の診断はリンパ管腫などを疑うとされている.


トップ   新規 一覧 検索 最終更新   ヘルプ   最終更新のRSS