Mantle cell lymphoma - cases, Mantle cell lymphoma

Mantle cell lymphoma--Case03

60歳代後半 女性
general fatigue, low-garde feverで受診。lymphadenopathy(全身)あり。CTで脾腫を認める。
RBC279x10^4, Hb 8.4g/dl, WBC 36300/μl, Ly83%, lymphoblast 3%, plt 15.6x10^4. 末梢血異常を認め骨髄検査を行う。

骨髄細胞Flow cytometry

flowcyte (1).gif

light chain restriction(lambda>>kappa)が認められB細胞のクローン性増殖がある. sIgは, IgM 88%, IgD 86%) CLLが疑われたが, CD23陽性細胞は少ない. (FCMで, CD23陰性のCLLは5%ほどにみられる*1)

 
 

末梢血に異常リンパ球の出現したリンパ腫 - リンパ腫の白血(病)化

病理組織所見

骨髄組織

骨髄には結節性のリンパ球増殖病変が複数形成されている. hpfではmonocytoid B-cellのように淡明な広めの細胞質をもつ.

Mantle cell lymphomaは50-80%の症例がBM involvementを示す. focal, non-paratrabecular pattern (focalな病変はrandomに存在する)が一般的である.

 

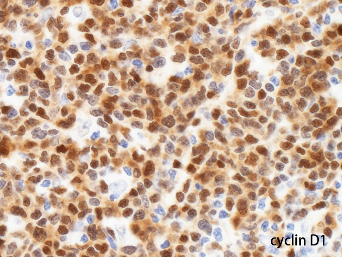
結節中心部増殖細胞はCD20+, cyclinD1+. 核型で t(11;14)(q13;q32)転座が確認された.

骨髄スメア所見

8~12μmのサイズのlymphoid cellsが63%を占める. N/C比大, 核クロマチンは凝集傾向を示し, 核小体は不明瞭. 細胞質は乏しく淡青色調.

leukaemic MCLの状態であるが, 全身リンパ節腫大, 脾腫があり, non-nodalではない.

 
 

リンパ節組織所見

File not found: LN_loupe01_s.jpgFile not found: HE01_s.jpgFile not found: HE02_s.jpgFile not found: HE-hpf_s.jpg
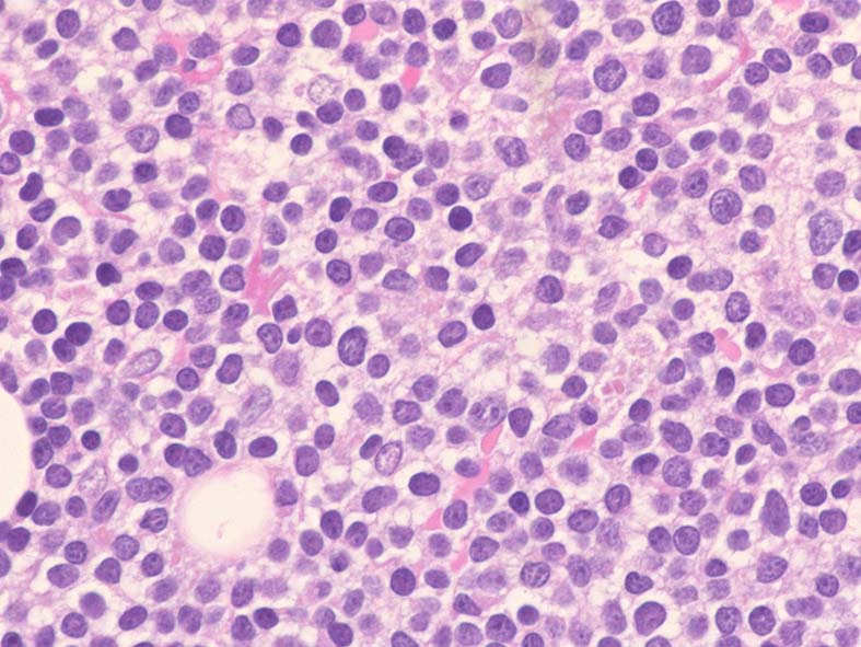
頸部リンパ節 HE血管中心性のvague nodular lesions均一な細胞増殖centrocytic cellsが多くみられる.

免疫染色

CD20-1.jpg
CD20-2.jpg
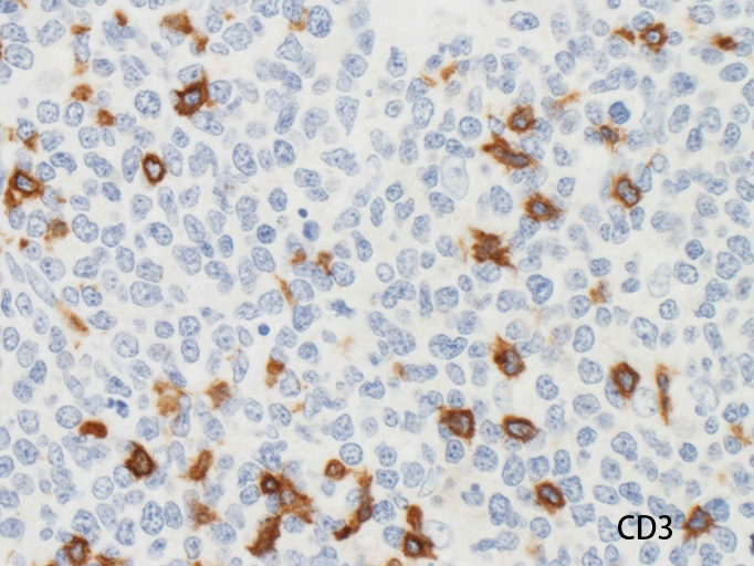
CD3-1.jpg
CD3-2.jpg
CD20CD20CD3CD3
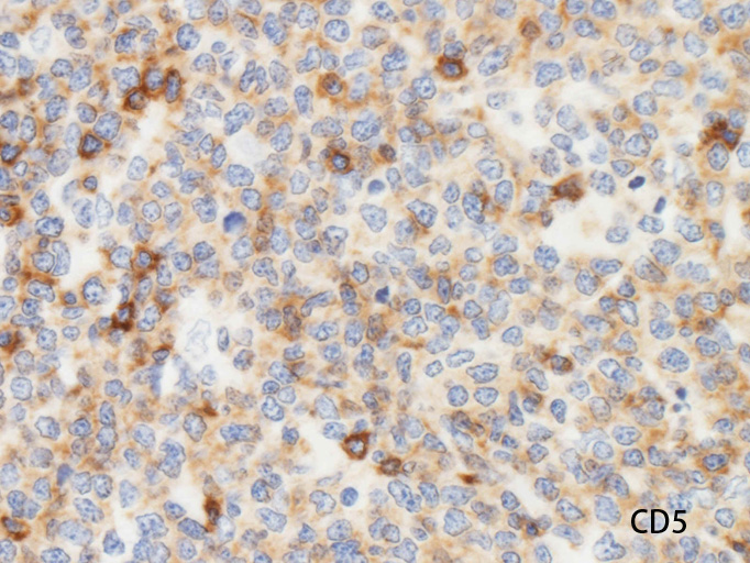
CD5-1.jpg
CD5-2.jpg
cyclinD1-1.jpg
cyclinD1-2.jpg
CD5CD5cyclinD1cyclinD1

本例の生検リンパ節HE染色では, HEV周囲, 異型リンパ球増殖による境界やや不明瞭な結節病変(vague nodular lesions)が観察される(unusualな増殖所見). 増殖細胞は均一でcentrocytic cell様細胞が多く認められる. conventional typeよりもblastoid typeに近い?
免疫染色で, CD20+, CD5+, cyclinD1陽性腫瘍細胞は細血管の周囲に結節を形成して増殖しており結節間には非腫瘍性のT-cellが介在していることがわかる.
濾胞構造形成は認められない. 結節中心の血管硝子化が見られる.

 

画像所見

File not found: CT-splenomegaly_s.jpgFile not found: CT-postchemotherapy_s.jpg
初診時 脾腫, リンパ節腫大あり化学療法 6コース後 脾腫, リンパ節腫大は消失

*1  Rahman K, et al. Role of CD200 in differential diagnosis of mature B-cell neoplasm. Int J Lab Hematol2017 Aug;39(4):384-391.PMID: 28422443

トップ   新規 一覧 検索 最終更新   ヘルプ   最終更新のRSS