Wikipathologica-KDP

WikiPathologica

WHO第4版, 新腎細胞性腫瘍分類 2016

WHO新分類の教科書的内容に, 2019 IAPセミナ- 高知赤十字病院黒田先生のご講演から実践的病理診断のヒント, Tipsを加味してページを作成中. (2019/11)

 

WHO新腎細胞性腫瘍分類 2016

blueの太字は, 新分類で新しく追加された組織型または, 名称が変更された腫瘍*1

淡明細胞型腎細胞癌 clear cell renal cell carcinoma

低悪性度多房嚢胞性腎腫瘍 multilocular cystic renal neoplasm of low malignant potential (<--多房嚢胞性腎細胞癌 WHO2011)

乳頭状腎細胞癌 papillary renal cell carcinoma

嫌色素性腎細胞癌 chromophobe RCC

集合管癌 collecting duct carcinoma(Bellini管癌)

腎髄質癌 renal medullary carcinoma

MiTファミリ-転座型腎細胞癌 MiT family translocation RCC (Xp11転座型腎細胞癌, t(6;11)転座型腎細胞癌) (<---Xp11.2転座型腎細胞癌 WHO2011)

粘液管状紡錘細胞癌 mucinous tubular and spindle cell carcinoma

腎細胞癌, 分類不能 RCC unclassified

遺伝性平滑筋腫症腎細胞癌関連腎細胞癌 hereditary leiomyomatosis and RCC-associated RCC (新規に追加)

コハク酸脱水素酵素欠損性腎細胞癌 succinate dehydorogenase-deficient RCC (新規に追加)

管状嚢胞腎細胞癌 tubulocystic RCC (新規に追加)

乳頭状腺腫 papillary adenoma

オンコサイトーマ oncocytoma

後天性嚢胞腎随伴腎細胞癌 Acquired cystic disease-associated RCC (<---透析関連腎腫瘍 WHO2011)

淡明細胞乳頭状腎細胞癌 clear cell papillary RCC (新規に追加)

Current major subtypes of renal cell tumors, WHO2016

文献*2

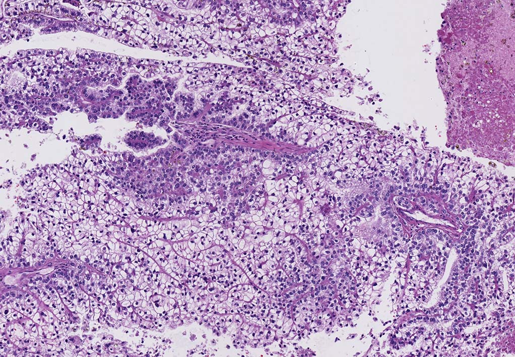
mark-g.gif Clear cell renal cell carcinoma(ccRCC) 淡明細胞型腎細胞癌

腎細胞癌の約70%を占める(65-70% in adult RCC)淡明または好酸性の細胞質を有する細胞と壁の薄い,繊細で鹿角状(staghorn-shaped)の豊富な血管網から構成される悪性腫瘍. 形態は多彩.

carbonic anhydrase IX(CA9)および CD10が陽性. CK7, AMACR(P504)は陰性.

 

典型例では,VHL遺伝子(3p25-26)の不活化, del(3p),, 低酸素誘導因子hypoxia induced factor(HIF)の発現上昇を伴う特徴的な分子背景を有する.;形態は多彩であるが, 特徴的な分子基盤をもつ腫瘍である.

VHLのone copyは散発性ccRCCの90%で変異あるいは沈黙(silenced)している.もう一方のcopyは典型的には 3p欠失により消失している.*3

VHL遺伝子異常をもつ腎細胞癌ではHIFが分解されず, HIFにより誘導される, VEGFやPDGF, carbonic anhydrase 9(CA9)が過剰発現する.

  • PI3K/AKTpathwayの遺伝子変異, SETD2, BAP1, MTORの変異が認められる.
     
  • 全ゲノムシークエンスによる解析で, VHL複合体の構成タンパクであるTCEB1などの変異を含めると, 散発性ccRCCの90%にVHL複合体の異常が起きていることが解明された.*4
     
  • これらの遺伝子異常は, sorafenib, sunitinib, axitinib, pazopanibなどVHL-HIF-VEGF/PDGF経路を標的とする, 血管新生阻害薬がccRCCに有効であることの理論的根拠のひとつになっている.
     
  • ただし, HIFはVEGF/PDGFだけではなく, cyclinD1, carbonic anhydraseIX(CA9), など多種にわたる遺伝子を制御しており, 上記薬剤はHIFの下流の一部の遺伝子のみを抑制しているにすぎない. このため効果は限定されている.
     
  • 最近はHIF2αの拮抗薬が開発されその効果が期待されている.

AggressiveなClear cell renal cell carcinomaでは, metabolic shiftを示す*5<---これはなに? Natureを読みましょう. 腎癌は代謝異常に関係する遺伝子の異常が多いちゃあねえ。

  • 侵襲性のccRCCでは, TCAサイクルに関与する遺伝子の下方制御, AMPKとPTENタンパク発現レベルの低下, pentose phosphage pathwayとglutamine transporter遺伝子の上方制御, acetyl-CoA carboxylaseタンパクの増加, miR-21とGRB10のプロモーター領域メチル化の変化などmetabolic shiftがおこっている証拠がある.
     
  • 細胞の代謝リモデリングはclear cell RCCにおいて反復性に認められる異常パターンを構成しており, 腫瘍の病期および重症度と相関し, 疾患治療についての新たな見解と標的を提供する
     

mark-g.gif 淡明細胞型腎細胞癌 clear cell renal cell carcinoma(CCRCC)の病理診断

「腎腫瘍の8割近くは淡明細胞型腎細胞癌(CCRCC)であるが, CCRCCといいきる, 確定診断することが最も難しい.」(Dr.黒田)
CCRCCかな?ひょっとしたらCCRCCではないのでは? CCRCCとするとおかしい点があるなあと気づくことが必要である.

CCRCCのピットフォール

1. 血管芽細胞腫を安易にCCRCCと診断してしまうことに注意. 淡明細胞が増殖し空胞状の細胞質を呈することがある.

  • 画像診断でも, hypervascular tumorでCCRCCが疑われる.
     
  • 血管芽細胞腫は, 上皮マーカ(CAM5.2,etc)はそまらない. しかし,CAIXが染まる. その他, S-100, Inhibin-αが染まる.
     
  • 肉眼的にCCRCCではない. 腫瘍色が黄色とはいえない色から別物を疑うことがある.
     
  • VHL病では腎には血管芽腫は発生しない. 脊髄, >小脳, >脳幹, >脳テント上病変.

2. 淡明細胞が明瞭な乳頭状増殖を示すことがある.

  • 間質に硝子結節やpsamomaが見られる場合は, 転座型を疑う.
     
  • ルーチンの形態学的診断では, 分類不能型としておく--> 確定診断には, 遺伝子検査まで必要となる.
     
  • CAIXがびまん性に染まってくる, 乳頭淡明細胞増殖の場合 -->VHLの遺伝子異常がみつかることがある.

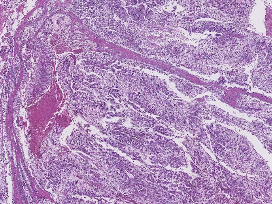
mark-g.gif Papillary renal cell carcinoma (pRCC) 乳頭状腎細胞癌*1*6*7

腎細胞癌の18.5%をしめ, RCCの組織型としてccRCCについで多い. 小児から高齢者まで発生するが, 平均は59-63歳. 男女比1.2:1.

pRCCは腎皮質に発生, 単発,片側性のことが多い. サイズは2-20cm(1型は平均76.8mm, 2型は平均90.1mm, 1,2型は下記参照)

''境界明瞭な腫瘤で, ときに偽被膜を形成する.色調は灰色, 黄色, 黄褐色と多彩で壊死, 出血, 嚢胞を伴うことがある.

microscopicには線維血管性間質をもち乳頭状または管状乳頭状に細胞が増殖する. 間質にはpsamomaや泡沫細胞の集簇, 硝子化がしばしば認められる.

細胞異型度により1型; 小型立方状, 細胞質は乏しく淡明または好塩基性, 核偽重層はない.核異型はめだたない.(3分類法/FuhrmanでGrade1-2),
2型; 細胞は円柱状で, 不規則な偽重層を呈する. 細胞質は豊で好酸性, 核異型がめだつ(Grade3相当)に分類されている.

1, 2型が混在するときは, 優勢なほうを記載する, 両成分をパーセンテージで表記する考え方があり決まっていない.

IHC; CK(AE1/3), CAM5.2, EMA, AMACR, CD10, PAX8は陽性. Vimentinは陽性のことが多い. 34βE12(高分子ケラチン)はまれに限局性に陽性.

CK7の陽性率は1型で 約90%, 一方, 2型では20%程度と頻度が低い.*8

pRCCに特徴的な染色体異常として, 7, 17トリソミーとY染色体欠失が報告されている.1型で頻度が高く予後良好因子と考えられている.

2型にも1, 3, 9番染色体欠失などが検出され, 予後に関連するという報告があり2型がさらに再分類される可能性がある(やれやれ)

pRCCの予後はccRCCよりも良好であり, さらに1型は2型に比較して予後良好とされている.

 

mark-g.gif Chromophobe renal cell carcinoma(ChRCC) 嫌色素性腎細胞癌

腎細胞癌全体の5-7%をしめる. 50歳代にピークを示すが, 小児から高齢者まで年齢幅がある.やや男性優位.

FLCN変異をもつBirt-Hogg-Dube症候群 では高頻度にChRCCをきたす.

''macroでは, ベージュ色から褐色調の割面を呈する膨張性発育する均質な結節. 典型例には偽被膜はない. 壊死はみられないか乏しい.

microscopicには, 多くは不完全な血管隔壁で分葉化された, シート状充実性腫瘍. 小型胞巣状, 管状, 微小嚢胞状, 索状構築をとることもある.

腫瘍構成細胞には, 古典的typical/classic亜型と好酸性eosinophilic亜型の主に2種類があり, さまざまな割合で混合している.

古典的亜型は, 網状細胞質と明瞭な細胞境界をもつ大型の嫌色素性細胞 pale cellで, 植物細胞細胞膜に似た強調された膜をもつ腫瘍細胞が敷石状配列をしている.

好酸性亜型は, 顆粒状好酸性細胞質をもつ小型な細胞. 核縁は不整で核周囲にはperinuclear haloが認められる.

これ以外にOncocytic亜型がある.

核異型によるグレード化は嫌色素性腎細胞癌には適応しない. WHO分類, 2013ISUPバンクーバー分類では核異型によるGrade化は嫌色素性腎細胞癌にはあてはまらないと明記されている.

WHO分類, 取り扱い規約ともに亜型までの記載は求めていない. 8割以上の優位で145例の腫瘍を線引きした論文では, 古典的12%, 好酸性41%, 混合型46%. 好酸性亜型が予後良好とする報告もあるが, 肉腫様変化の存在を除くと多変量解析では予後に有意さをもたらさない.

嫌色素性腎細胞癌には肉腫様変化が2-8%に認められることを留意するべきである. 肉腫様変化と顕微鏡的壊死, 脈管侵襲,の所見は予後不良因子とされており, これらの有無を慎重に確認することが病理診断上重要である.

DDxは, ccRCCの鑑別頻度が高い. ccRCC以外の腎細胞癌に嫌色素性腎細胞癌類似組織がみられることもまれではない.

  • 切り出し時の割面の確認は重要だが背景腎の色調により色合いの区別が難しい場合がある.
     
  • 組織学的淡明細胞が, グリコーゲンや脂質によるものか, perinuclear haloによるものか区別するのが難しいことがある.
     
  • ccRCCに好酸性細胞が混在していることがある.
     
  • ccRCCでは繊細で豊富な類洞状血管間質成分が特徴である. 嫌色素性腎細胞癌での血管隔壁は不完全である.
     
  • 嫌色素性腎細胞癌ではミトコンドリア生合成が亢進しており, とくに好酸性亜型で高い. ccRCCではミトコンドリア生合成は抑制されている.

IHC; C-KIT(CD117), Ksp-cadherin, E-cadherin, CD82(KAI1), CK7が陽性のことが多い. Vimentinは陰性

好酸性亜型ではCK7陽性像は局所的なことがある.

ccRCCとの鑑別には上記遠位尿細管マーカと近位尿細管マーカである, CA9, RCC, CD10などを組み合わせて鑑別のツールにする.

  • Chromophobe RCCはほぼ常にCA9陰性(93%)であり、7%が稀な細胞反応性を示した*9

分子生物学的には, 66例の検討で, 86%に1, 2, 6, 10, 13, 17番染色体の欠失が検出され, 12-58%には, 3, 5, 8, 9, 11, 18, 21番染色体の欠失が報告されている. *10

古典的亜型と好酸性亜型には後者にcopy数変動がないなど, ゲノムレベルでの不均一性が指摘されている.*10

古典的亜型も好酸性亜型もmRNA発現やメチル化パターンは遠位ネフロン由来であり, 近位ネフロン由来のccRCCとは異なる.

 
 

腎細胞癌のMOLECULAR MARKERS

tissue microarrayにより 腎細胞癌の予後推定分子マーカが報告されている. これらの因子のどれも現在患者ケアのための臨床応用に至っていないが, いくつかのマーカーはccRCC患者の予後マーカーとしての見込みがあると考えられている. *11*12*13

以下の因子はccRCCの予後不良を推定するために有用と推察される.

  • Human B7 homolog 1 (B7H1) および 4 (B7H4) が発現する. *14
    • B7-H1 はB7ファミリ-に所属する細胞表面糖タンパクで共役刺激分子の一つ.
       
  • Carbonic anhydrase IX (CAIX)発現レベルが低い.*15
     
  • Ki-67(MIB-1)index 高値.*15
     
  • hypoxia-inducible factor (HIF)-1 alpha 発現が高い*16; これについてはHIF-2αのみが発現する腫瘍よりもHIF-1αも発現する腫瘍のほうが予後が良いとする報告が存在する.*17
     
  • U3 small nucleolar ribonucleoprotein (IMP3)が発現している*18*19*20;このマーカーはccRCCだけでなく, pRCCおよび chrRCCでも同じ結果とされている*20
     
  • 染色体9番短腕の欠失.*21*22*23*24
     
  • 染色体3番短腕(3p21)に存在するがん抑制遺伝子, breast cancer type 1 (BRCA1)-associated protein 1 (BAP1) および SET domain containing 2 (SETD2)の変異がある*25.
     
  • 1つの研究だけの結果であるが, 対照的に polybromo-1 (PBRM1) 変異は予後がよいとされる*26, 1つ研究だけであるがPBRM1とBAP1 変異の両方が存在すると最も予後は悪いとされる.mutation conferred the worst prognosis*26

New subtypes of renal cell tumors in the 2016 WHO classification

 

mark-B.jpg Multilocular cystic renal neoplasm of low malignant potential 低悪性度多房嚢胞性腎腫瘍 (<--多房嚢胞性腎細胞癌 WHO2011) WHO2016変更

 

mark-B.jpg MiT family translocation renal cell carcinoma MiTファミリー転座型腎細胞癌 (WHO2016で再編,分類変更)

newWHOcriteria.jpg

mark-B.jpg 淡明細胞乳頭状腎細胞癌 clear cell papillary RCC (CCPRCC)

mark-B.jpg 管状嚢胞腎細胞癌 Tubulocystic RCC

mark-B.jpg 後天性嚢胞腎随伴腎細胞癌 ACD-associated RCC

mark-B.jpg コハク酸脱水素酵素欠損性腎細胞癌 Succinate dehydrogenase-deficient RCC (SDH-deficient RCC)

mark-B.jpg 遺伝性平滑筋腫症腎細胞癌関連腎細胞癌 hereditary leiomyomatosis RCC-associated RCC

家族性腫瘍症候群における腎細胞癌

familial RCC-genes.jpg

右図;腎癌の遺伝的背景. 赤字の遺伝子は遺伝性腎がん症候群に同定された遺伝子. これらの遺伝子はすべて共通した酵素, 鉄, 栄養素やエネルギー感知経路を通じて相互に作用しており, 腎がんが基本的には代謝性疾患であることを示している.*43


*1  Moch H, Humphrey PA, Ulbright TM, Reuter VE. WHO Classification of Tumors of the Urinary System and Male Genital Organs, 4th ed.; IARC Press: Lyon, France, 2016
*2  特集 腎臓の腫瘍 病理と臨床 2017;35(10)
*3  Cancer Genome Atlas Research Network.Comprehensive molecular characterization of clear cell renal cell carcinoma.Nature. 2013 Jul 4;499(7456):43-9.PMID:23792563
*4  Cancer Genome Atlas Research Network. Comprehensive molecular characterization of clear cell renal cell carcinoma. Nature. 2013 Jul 4;499(7456):43-9.PMID:23792563
*5  Cancer Genome Atlas Research Network. Comprehensive molecular characterization of clear cell renal cell carcinoma. Nature. 2013 Jul 4;499(7456):43-9.
*6  Delahunt B, et al: Tumors of the kidney; Papillary Renal Cell Carcinoma. Urological Pathology Amin MB, et al. eds., Lippincot Williams & Wilkins, Wolters Kluwer, Philadelphia 2014: pp91-96
*7  Delahunt B, et al. Morphologic typing of papillary renal cell carcinoma: comparison of growth kinetics and patient survival in 66 cases. Hum Pathol. 2001 Jun;32(6):590-5.PMID:11431713
*8  Delahunt B, Eble JN. Papillary renal cell carcinoma: a clinicopathologic and immunohistochemical study of 105 tumors. Mod Pathol. 1997 Jun;10(6):537-44.PMID:9195569
*9  659-666. PMID: 32639054
*10  Davis CF,et al. The somatic genomic landscape of chromophobe renal cell carcinoma. Cancer Cell. 2014 Sep 8;26(3):319-330.PMID:25155756
*11  Kosari F, et al. Clear cell renal cell carcinoma: gene expression analyses identify a potential signature for tumor aggressiveness. Clin Cancer Res. 2005;11(14):5128-39.PMID16033827
*12  Jones J et al. Gene signatures of progression and metastasis in renal cell cancer. Clin Cancer Res. 2005;11(16):5730-9.PMID16115910
*13  Gonzalgo ML, et al.Molecular profiling and classification of sporadic renal cell carcinoma by quantitative methylation analysis. Clin Cancer Res. 2004 Nov 1;10(21):7276-83.PMID15534102
*14  Thompson RH, Kwon ED. Significance of B7-H1 overexpression in kidney cancer.Clin Genitourin Cancer. 2006 Dec;5(3):206-11.PMID:17239274
*15  Bui MH, et al. Prognostic value of carbonic anhydrase IX and KI67 as predictors of survival for renal clear cell carcinoma. J Urol. 2004;171(6 Pt 1):2461. PMID15126876
*16  Klatte T, et al. Hypoxia-inducible factor 1 alpha in clear cell renal cell carcinoma. Clin Cancer Res. 2007;13(24):7388-93. PMID18094421
*17  Gordan JD, et al.HIF-alpha effects on c-Myc distinguish two subtypes of sporadic VHL-deficient clear cell renal carcinoma.PMID19061835
*18  Jiang Z, et al. Analysis of RNA-binding protein IMP3 to predict metastasis and prognosis of renal-cell carcinoma: a retrospective study. Lancet Oncol 2006; 7:556-64.PMID:16814207
*19  Hoffmann NE, et al. External validation of IMP3 expression as an independent prognostic marker for metastatic progression and death for patients with clear cell renal cell carcinoma. Cancer 2008; 112:1471-9.PMID:18260086
*20  Jiang Z, et al. Oncofetal protein IMP3: a novel molecular marker that predicts metastasis of papillary and chromophobe renal cell carcinomas. Cancer 2008; 112:2676-82.PMID:18412154
*21  La Rochelle J, et al. Chromosome 9p deletions identify an aggressive phenotype of clear cell renal cell carcinoma.Cancer. 2010;116(20):4696.PMID20629029
*22  Brunelli M, et al. Loss of chromosome 9p is an independent prognostic factor in patients with clear cell renal cell carcinoma. Mod Pathol. 2008;21(1):1. PMID17906617
*23  Klatte T, et al. Cytogenetic profile predicts prognosis of patients with clear cell renal cell carcinoma.J Clin Oncol. 2009;27(5):746.PMID19124809
*24  Presti JC Jr, et al. Allelic loss on chromosomes 8 and 9 correlates with clinical outcome in locally advanced clear cell carcinoma of the kidney. J Urol. 2002;167(3):1464.PMID11832771
*25  Hakimi AA, et al. Adverse outcomes in clear cell renal cell carcinoma with mutations of 3p21 epigenetic regulators BAP1 and SETD2: a report by MSKCC and the KIRC TCGA research network.Clin Cancer Res. 2013 Jun 15;19(12):3259-67.PMID:23620406
*26  Kapur P, et al. Effects on survival of BAP1 and PBRM1 mutations in sporadic clear-cell renal-cell carcinoma: a retrospective analysis with independent validation. Lancet Oncol. 2013 Feb;14(2):159-167.PMID:23333114
*27  Argani P, et al. Primary renal neoplasms with the ASPL-TFE3 gene fusion of alveolar soft part sarcoma: a distinctive tumor entity previously included among renal cell carcinomas of children and adolescents. Am J Pathol. 2001 Jul;159(1):179-92.PMID:11438465
*28  Argani P, et al. PRCC-TFE3 renal carcinomas: morphologic, immunohistochemical, ultrastructural, and molecular analysis of an entity associated with the t(X;1)(p11.2;q21). Am J Surg Pathol. 2002 Dec;26(12):1553-66.PMID:12459622
*29  Argani P, et al. Molecular confirmation of t(6;11)(p21;q12) renal cell carcinoma in archival paraffin-embedded material using a break-apart TFEB FISH assay expands its clinicopathologic spectrum. Am. J. Surg. Pathol. 2012;36:1516-1526.
*30  Inamura K, et al. Diverse fusion patterns and heterogeneous clinicopathologic features of renal cell carcinoma with t(6;11) translocation. Am. J. Surg. Pathol. 2012;36:35-42.
*31  Argani P,et al. Aberrant nuclear immunoreactivity for TFE3 in neoplasms with TFE3 gene fusions: A sensitive and specific immunohistochemical assay. Am. J. Surg. Pathol. 2003;27:750-761.
*32  Rao Q, et al. TFE3 break-apart FISH has a higher sensitivity for Xp11.2 translocation-associated renal cell carcinoma compared with TFE3 or cathepsin K immunohistochemical staining alone: Expanding the morphologic spectrum. Am. J. Surg. Pathol. 2013;37:804-815.
*33  Green WM, et al. Utilization of a TFE3 break-apart FISH assay in a renal tumor consultation service. Am. J. Surg. Pathol. 2013;37:1150-1163.
*34  Lee HJ, et al. Combination of immunohistochemistry, FISH and RT-PCR shows high incidence of Xp11 translocation RCC: comparison of three different diagnostic methods. Oncotarget. 2017 May 9;8(19):30756-30765.PMID:28415646
*35  Argani P, et al. TFEB-amplified renal cell carcinomas: An aggressive molecular subset demonstrating variable melanocytic marker expression and morphologic heterogeneity. Am. J. Surg. Pathol. 2016;40:1484-1495.
*36  Gill AJ, et al. Succinate dehydrogenase (SDH)-deficient renal carcinoma: a morphologically distinct entity: a clinicopathologic series of 36 tumors from 27 patients. Am J Surg Pathol. 2014 Dec;38(12):1588-602. PMID:25025441
*37  Gill AJ, et al. Renal tumors and hereditary pheochromocytoma-paraganglioma syndrome type 4.N Engl J Med. 2011 Mar 3;364(9):885-6.PMID:21366490
*38  Gill AJ. Succinate dehydrogenase (SDH) and mitochondrial driven neoplasia. Pathology. 2012 Jun;44(4):285-92.PMID:22544211
*39  Williamson SR, et al. Succinate dehydrogenase-deficient renal cell carcinoma: detailed characterization of 11 tumors defining a unique subtype of renal cell carcinoma.Mod Pathol. 2015 Jan;28(1):80-94.PMID:25034258
*40  Lee, C.H. et al. Persistent severe hyperlactatemia and metabolic derangement in lethal SDHB-mutated metastatic kidney cancer: Clinical challenges and examples of extreme warburg effect. JCO Precis. Oncol. 2017, 1, 1-14.https://ascopubs.org/doi/10.1200/PO.16.00007
*41  Aydin H, et al. Clear cell tubulopapillary renal cell carcinoma: a study of 36 distinctive low-grade epithelial tumors of the kidney. Am J Surg Pathol. 2010 Nov;34(11):1608-21.PMID:20924276
*42  Merino MJ, et al. The morphologic spectrum of kidney tumors in hereditary leiomyomatosis and renal cell carcinoma (HLRCC) syndrome.Am J Surg Pathol. 2007 Oct;31(10):1578-85.PMID:17895761
*43  Linehan WM, Srinivasan R, Schmidt LS. The genetic basis of kidney cancer: a metabolic disease. Nature Reviews Urology. 2010; 7:277-85.

トップ   新規 一覧 検索 最終更新   ヘルプ   最終更新のRSS