Chromatin remodeling factor

作成中

Case presentation 気胸で発症したSMARCA4-deficient thoracic sarcomaの1例

IWT case 49 year-old male

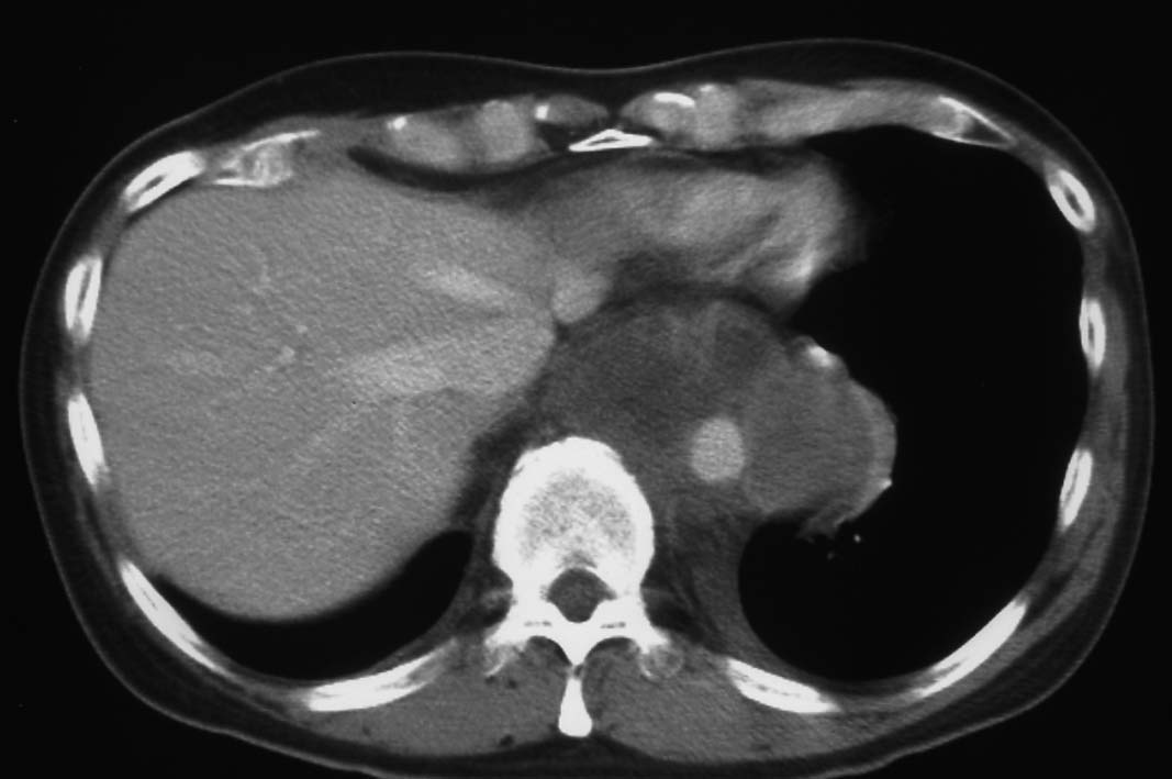
X年9月右自然気胸で胸腔鏡下ブラ切除術時, 胸膜の腫瘤を同時に切除する. plasmacytoid または rabdoid cellのびまん性増殖を示す腫瘍.
軽鎖がわずかに陽性となり, 最初 plasmacytomaとDxされたが他のmyeloma marker陰性, light chain PCRはnon-clonalパターンであった.追加の免染で, vimentin, CD99(MIC2)陽性、CD34, BCL2がごく一部に陽性など分化不明の肉腫.
5ヵ月後右主気管支を圧迫しほとんど閉塞する巨大な腫瘍を認めた. 他院で緊急放射線療法および化学療法を行うが効果なし. 腫瘍切除+右肺上葉切除をおこない肉眼的には腫瘍は完全切除できた. 病理診断は非典型的であるが malignant SFT. 当院に再入院, radiation therapyをおこなう. 効果乏しく, 腫瘍は進行し呼吸不全で永眠される.

 
 

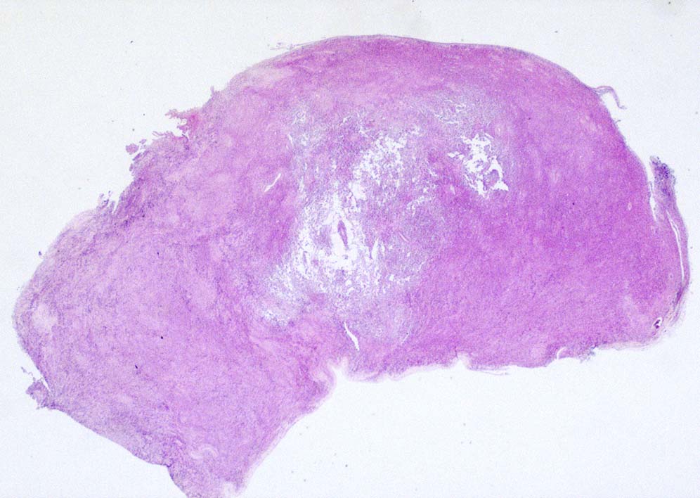
壁側胸膜腫瘤切除標本 病理組織所見

部分的に細胞接着性が低く疎な組織像を呈する.

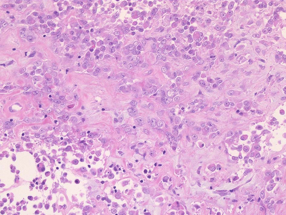
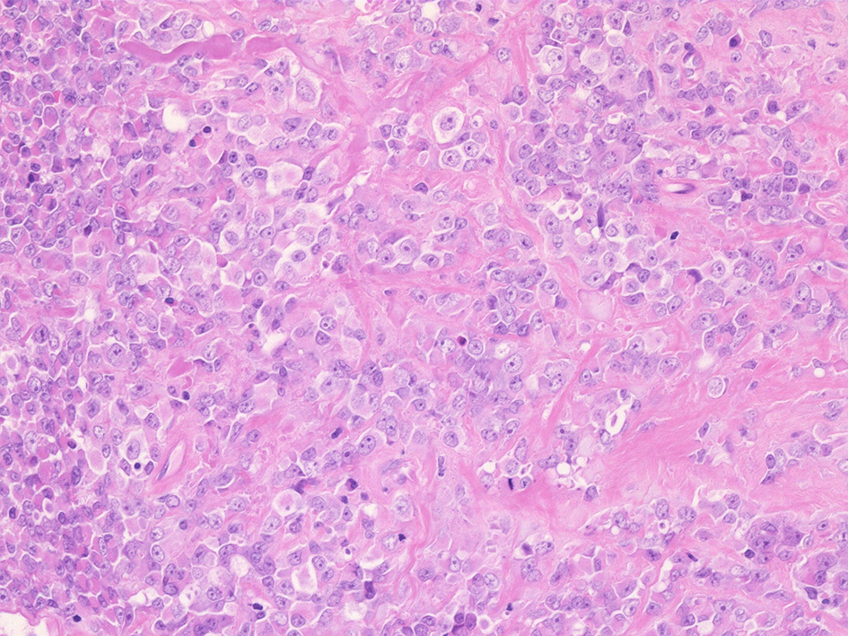
① rhabdoid cellsが密に増殖する組織像. 核は類円形vesicularで, 中心性の大型核小体を1個もつ. 細胞質は好酸性.
球状の封入体様にみえる構造が出現し, 核偏在や核を圧排し, 三日月/半月状の核がみられている. mitosisが散在. 形質細胞が少数混在して認められる.

② 少量の線維性組織を間質に類円形/多稜形のvesicularな核と好酸性, 淡明な細胞質をもつ類上皮様の中~大型の細胞が集簇, 増殖している.mitosisが多い. 辺縁にはrhabdoid cellsのchohesiveな増殖が認められる.

③ 間質の線維組織が多く, 硝子化やmyxomatous changeが認められる. 二核の大型巨細胞が散在している. 細胞は比較的一様なサイズ形態で, 多型は高度ではない印象.

 

Vimentin, CD99(MIC2)はびまん性に陽性を示す. CD34はfocalに陽性. 異型 spindle cellにも陽性を呈する. EMAは少数の陽性細胞あり. BCL2はリンパ球に陽性. 腫瘍細胞はほぼ陰性. 淡く染まる細胞がごく少数ある. CK(AE1/3)は陰性. p53はびまん性, 80%に陽性. (photo準備中). MIB-1 LIは>90%.

 

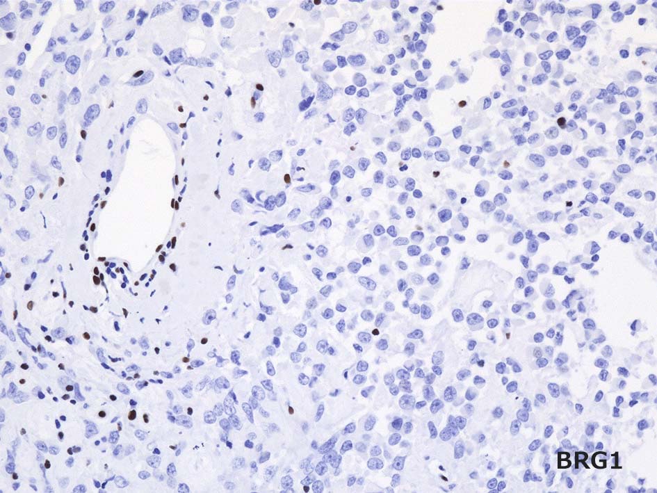
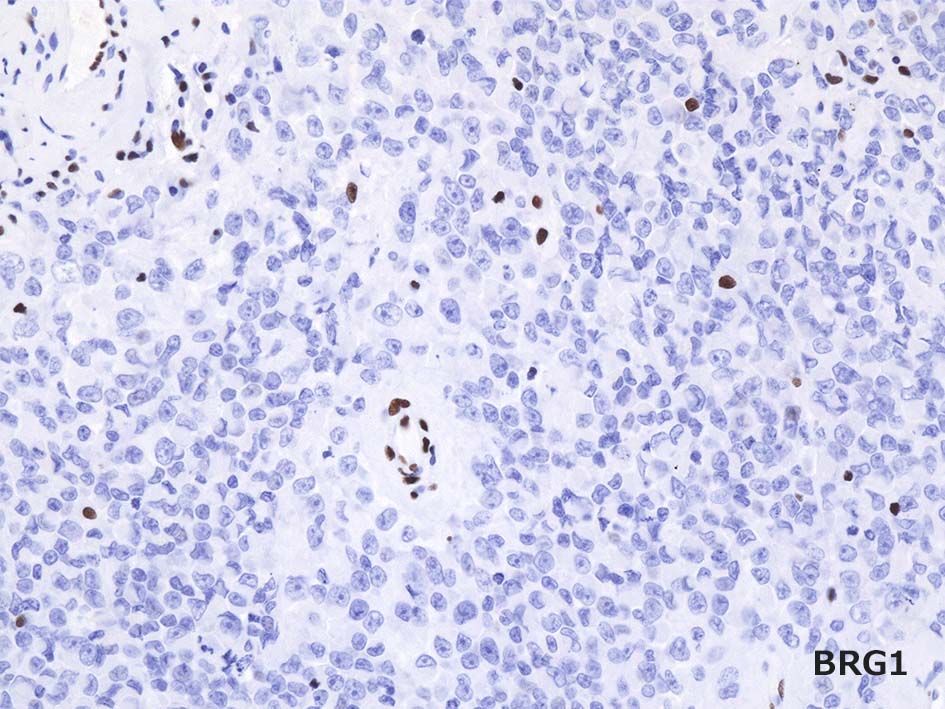
BRG1は核染色性が消失. internal controlの血管内皮や炎症細胞は核に陽性となる. INI1(SNF5/SMARCAB1)はびまん性に陽性. p53が多くの腫瘍細胞に陽性となる.

 
 
postCT4-2-19.jpg

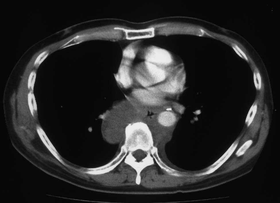
胸腔鏡下ブラ切除術5ヵ月後, 縦隔腫瘤で再発. 他院で腫瘍切除+右肺上葉切除を施行. 肉眼的には腫瘍は完全に切除できた.

病理診断は, 非典型的所見ながらmalignant solitary fibrous tumorとされた.(剖検時点ではSMARCA4-DTSの疾患概念はなく, 知見も得られていなかった.)

 

初診から11ヵ月, 胸部つかえ感出現. CTで気管分岐部から横隔膜食道裂孔を通り, 腹腔内へ進展, 食道および大動脈を囲繞する巨大な腫瘍が再発した. 他院での抗がん剤感受性テストの結果より, CDDP+5FUによる化学療法がおこなわれたが効果乏しく全身状態悪化. 呼吸不全が進行し初診より約1年の経過で永眠された.

recurrence01.jpg recurrence02.jpg

 
 

Autopsy findings: macro

#gallery Error: Unknown argument -> nowrap.noadd

SMARCA4(BRG-1)-deficient thoracic sarcoma

2015年 Le Loarer Fらにより分類不能肉腫のRNA-seqから 新しい疾患群, SMARCA4-deficient thoracic sarcomaとして19例がまとめられ, Nature Geneticsに臨床病理像や遺伝子の変異所見が報告された.*1

臨床像

Le Loarerらの報告した最初の症例*1

日本の12症例(国立がんセンター症例)*2

  • 27 - 82歳(中央値39歳), 男性11/ 女性1.
     
  • 11/12例が肺にemphysema, bullaeを有していた. primary siteは, 胸壁=1, 胸部傍脊椎=2, 肺=4例で, 同時に後腹膜(1), 腹腔内(1), 縦隔に進展(1), 肺のみ(1). 縦隔=4,同時に骨盤腔まで進展(1). 腋窩=1.
     
  • 転移が, 胸膜(1例), リンパ節(5), 肝(4), 肺(3), 骨(3), 副腎(2), 胃(2), 皮下(1), 卵巣(1)に認められた.

Sauter JL et al. (Mayo clinic他の12例)*3

  • 44-76歳(中央値59歳) 男性9: 女性3
     
  • 症状は呼吸困難, 胸痛, 胸水, 嘔吐, 倦怠感, 体重減少. この他, 各々1例に腸骨転移による下肢痛と脱力, 脳転移によるてんかん症状がみられた.
     
  • 腫瘍の部位は, 縦隔=7(58%), 肺=3(25%), 胸膜=2(17%). 初発時に転移+; 副腎, 脳, 肺門リンパ節. 1例は経過中(1ヵ月)に広範な転移(リンパ節, 副腎, 心膜, 肺, 骨, 脳)をきたした. 

Perret R, et al(2019 Am J Surg Pathol)*4フランスの30症例

  • 28 - 90歳(中央値48歳). 男性27/女性3 (9:1)喫煙者が多い(87%).
     
  • 縦隔=13例, 胸膜=5例(うち2例は多発), 肺=2例. 複数臓器に発症=10例= 縦隔と肺=2, 縦隔と肺門= 4, 縦隔と胸膜と肺=1, 肺と胸膜=3.
     
  • 大きな浸潤性腫瘤で隣接する臓器を圧排している. 画像ではリンパ腫, NUT midline carcinoma, 胚細胞腫瘍が疑われた.
     
  • 転移が77%の症例に認められている. リンパ節>骨>副腎>肝>消化管>中枢神経>腎
     
  • OS 中央値は7ヵ月と予後不良.
SMARCA4-mutations.jpg

SMARCA4

SMARCA4:SWI/SNF related, matrix associated, actin dependent regulator of chromatin, subfamily a, member 4.
GeneID:6597 (NM 003072) 局在 19p13.2, 19 NC_000019.10 (10960997..11062277). 40エクソン.

rhaboid featureはBAF complexの不活化を反映する形態学的特徴であるとする報告を前提とし. *5 *6.*7*8*918例のrhabdoid cellからなるSMARCB1(SNF5/INI1)が保たれている分類不能肉腫のmRNAシークエンスをスクリーニグ.

最終的にSMARCA4変異を示す19例を解析しnonsense mutation(n = 10), frame shift (n=6), missense (n=2)を検出, およびsplice site(n=1)が認められた. (右図)*1

SMARCA4以外の遺伝子異常では, TP53変異が反復性に認められるのみであった.

日本(国立がんセンター)の12症例の遺伝子解析では, 5例の解析が可能であった. D543fs(1629delC), L553fs(1658del19), E700X(G2098T), H799fs(2396delA), Q1012X(C3034T),を検出した. *2

SMARCA4変異にHOT SPOTは認められないようである.

phenotype: 免疫染色の所見.

文献; Or(Le Loarer, et al*1), J(Japanese cases*2), F(French cases*4), A(American-Mayo,etc cases*3)

診断に必須と考えられる免染結果

その他陽性を示す抗体

陰性所見の免疫染色


*1  Le Loarer F, et al. SMARCA4 inactivation defines a group of undifferentiated thoracic malignancies transcriptionally related to BAF-deficient sarcomas. Nat Genet. 2015 Oct;47(10):1200-5. doi: 10.1038/ng.3399. Epub 2015 Sep 7.
*2  Yoshida A, et al Clinicopathological and molecular characterization of SMARCA4-deficient thoracic sarcomas with comparison to potentially related entities. Mod Pathol. 2017 Jun;30(6):797-809. doi: 10.1038/modpathol.2017.11. Epub 2017 Mar 3.
*3  Sauter JL, et al.SMARCA4-deficient thoracic sarcoma: a distinctive clinicopathological entity with undifferentiated rhabdoid morphology and aggressive behavior.Mod Pathol. 2017 Oct;30(10):1422-1432. doi: 10.1038/modpathol.2017.61. Epub 2017 Jun 23.
*4  Perret R, et al. SMARCA4-deficient Thoracic Sarcomas: Clinicopathologic Study of 30 Cases With an Emphasis on Their Nosology and Differential Diagnoses. Am J Surg Pathol. 2019 Apr;43(4):455-465. doi: 10.1097/PAS.0000000000001188.
*5  Versteege, I. et al. Truncating mutations of hSNF5/INI1 in aggressive paediatric cancer. Nature 1998: 394, 203-206 .
*6  Witkowski, L. et al. Familial rhabdoid tumour ‘avant la lettre’-from pathology review to exome sequencing and back again. J. Pathol. 2013: 231, 35-43
*7  Hasselblatt, M. et al. Nonsense mutation and inactivation of SMARCA4 (BRG1) in an atypical teratoid/rhabdoid tumor showing retained SMARCB1 (INI1) expression. Am. J. Surg. Pathol. 2011: 35, 933-935.
*8  Guillou, L., Wadden, C., Coindre, J.M., Krausz, T. & Fletcher, C.D. “Proximal-type” epithelioid sarcoma, a distinctive aggressive neoplasm showing rhabdoid features. Clinicopathologic, immunohistochemical, and ultrastructural study of a series. Am. J. Surg. Pathol. 1997: 21, 130-146.
*9  Varela, I. et al. Exome sequencing identifies frequent mutation of the SWI/SNF complex gene PBRM1 in renal carcinoma. Nature 2011: 469, 539-542.

トップ   新規 一覧 検索 最終更新   ヘルプ   最終更新のRSS