Primary testicular lymphoma

Testicular involvement of T-lymphoblastic lymphoma? or primary testicular T-LBL ?

30歳代男性

無痛性精巣腫大で泌尿器科受診. 画像診断では, 左精巣最大径4.5cmの腫瘤で縦隔リンパ節転移が疑われた. 左高位精巣摘除術をうける.

Hb 14.6g/dl, RBC 476x104/μl, Ht41.5% WBC 6700/μl, Seg 63%, Eo2.1%, Ba 1.3%, Mo5.8%, Ly27.8% blastの増加なし.
LDH 150 U/l(WNL).

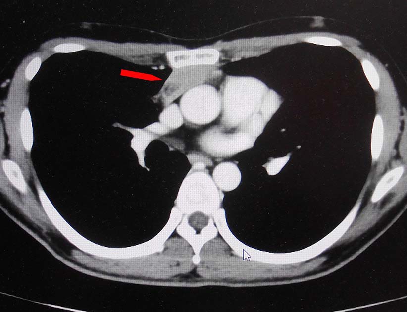
前縦隔や右心横隔膜角部に不定形, 不均一でべたっとした腫瘤状軟部濃度域を認める. 節外浸潤を伴ったリンパ節転移の可能性を考える.
画像: 左精巣腫瘤. 縦隔リンパ節転移疑い.

 

睾丸腫瘤マクロ, loupe像 (サムネイル像のクリックで大きな画像がみられます)


トップ   新規 一覧 検索 最終更新   ヘルプ   最終更新のRSS