Wikipathologica-KDP

治療関連消化管疾患

消化管のirAE組織所見

1)Zhang et al. *1

  1. 粘膜内(固有層)リンパ球形質細胞びまん性浸潤
  2. 肉芽腫形成
  3. 巨細胞出現
  4. 活動性炎症, 好中球浸潤 and/or 膿瘍(陰窩膿瘍)形成
  5. 十二指腸陰窩の鈍化/ 結腸陰窩構造の変化
  6. 上皮内リンパ球浸潤
  7. 上皮内アポトーシス出現(5個超/10 hpf)

まれにcollagenous colitis類似所見(collagenous band typeⅢ, Ⅳ)がみとめられることが報告されている.
DDxについて, collagenous colitisには, apoptosis増加, 陰窩膿瘍, 陰窩炎などの所見がないことのほか, ICI(immune check point inhibitor)治療がなされていないことが最も重要.

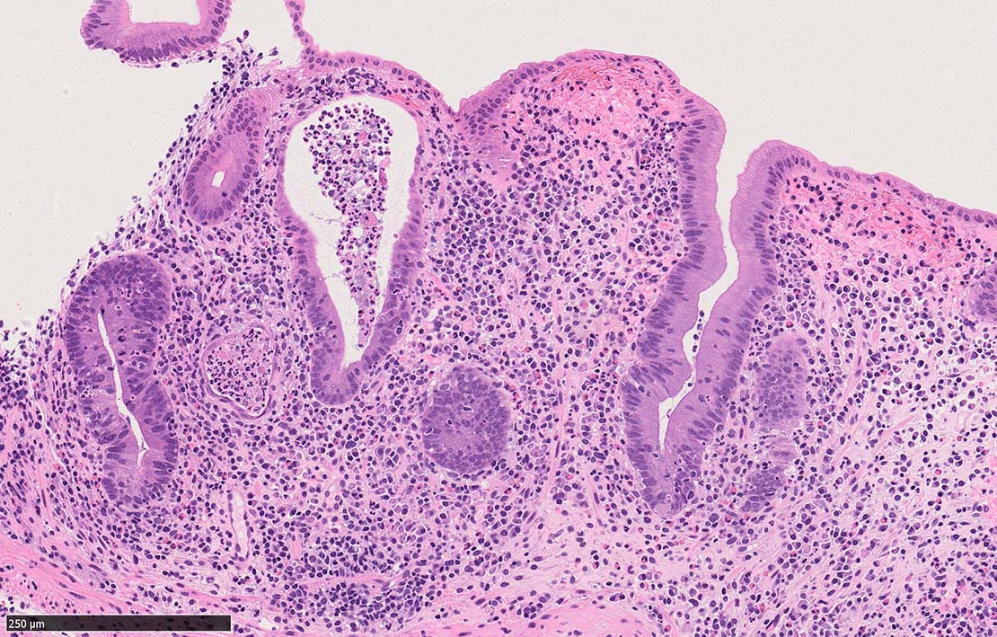
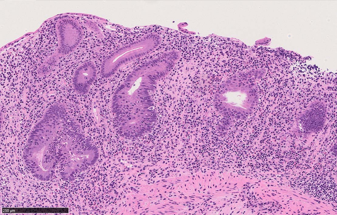
Case presentation

びらんを示す結腸粘膜. 陰窩はdeletion, 萎縮, distortionを呈する. 粘膜固有層には密な慢性炎症がみられ, 好酸球浸潤も多い.粘膜筋板へも炎症細胞浸潤が及ぶ.
UCのような, crypt abscess, cryptitisが認められる. 特徴的な所見として, apoptosis bodiesの増加が見られる.

 

陰窩に多数のapoptosis bodiesを認める.


*1  Zhang ML, et al. Immune-related advance events in the gastrointestinal tract : diagnostic utility of upper gastrointestinal biopsies. Histopathology 76: 2020; 233-243
*2  筑後孝章, 非腫瘍性疾患病理アトラス, 消化管 各論4消化管共通 Ⅱ 治療関連胃腸疾患 pp317

トップ   新規 一覧 検索 最終更新   ヘルプ   最終更新のRSS