静岡病理医会

Desmoplastic melanoma and desmoplastic neurotropic melanoma--線維形成性黒色腫と線維形成性神経向性黒色腫

紡錘形異型メラノサイトが著明な間質反応(desmoplasia)を伴い増殖する特殊な色素性病変。*1. desmoplastic neurotropic melanomaは, desmoplastic melanomaのうち神経向性(neurotropism:神経周囲侵襲像)がめだつものでReedら*2が最初に報告した。

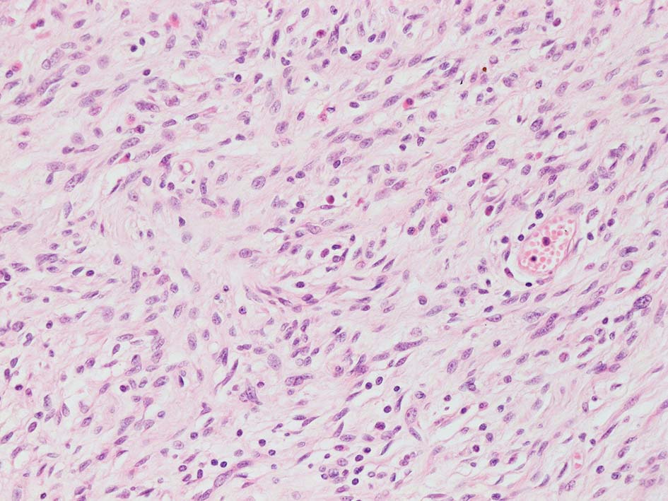
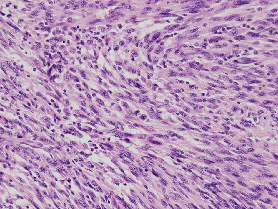
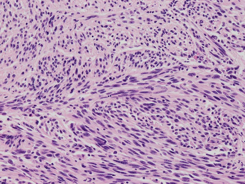
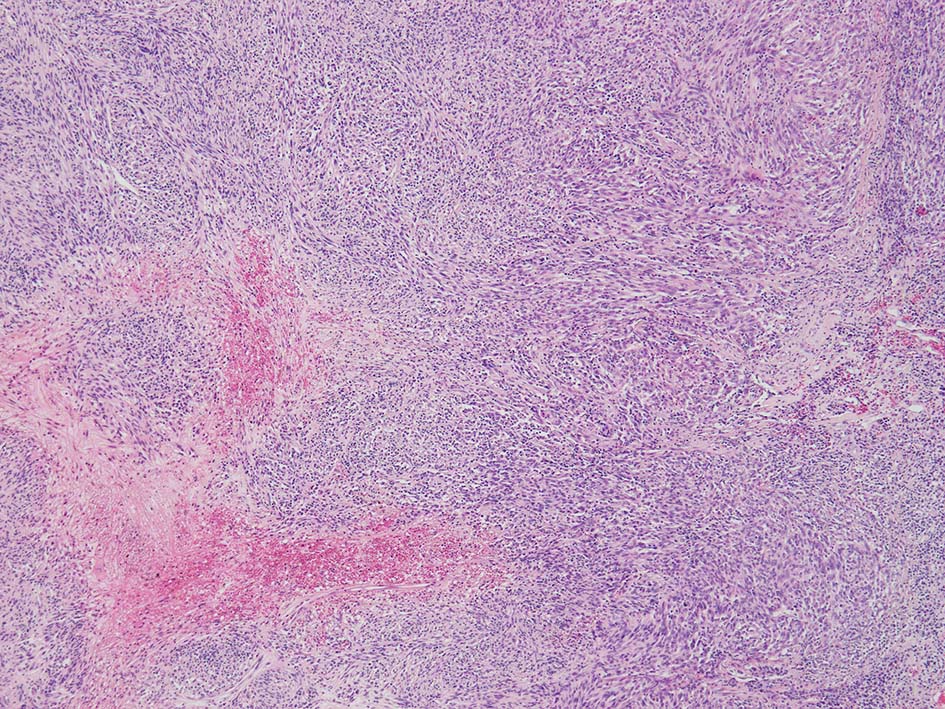
いずれも腫瘍細胞の異型性が乏しく, 背景の間質反応がめだつこと, メラニンの存在が目立たないことが特徴である。

“このため両者を臨床的にも病理学的にも色素性病変と診断することが困難”であり, 初回生検時には瘢痕病変や皮膚線維腫などと誤認されることが多い。

最終診断が初回生検より時間が経過してから行われることがありしばしば根治治療が困難になることがある。早期根治治療のために本疾患の病理学的特徴をよく理解しておく必要がある

病理組織所見*4

 

○ 免疫染色

Lehrbuch; 線維形成性黒色腫と線維形成性神経向性黒色腫:

2022年度第二回希少がん病理診断講習会 日本医科大学武蔵小杉病院皮膚科 伊東慶悟先生講演 メラノーマの中に desmoplastic melanomaの症例説明がある.

実際の症例

最終診断が初回生検より時間が経過してから行われることがありしばしば根治治療が困難になることがある。早期根治治療のために本疾患の病理学的特徴をよく理解しておく必要がある。(でも実際難しい.)

SPS(静岡病理医会症例. 浜松医大馬場先生, 津久井先生のご厚意による)

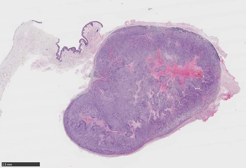
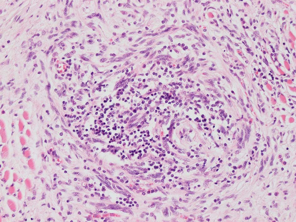
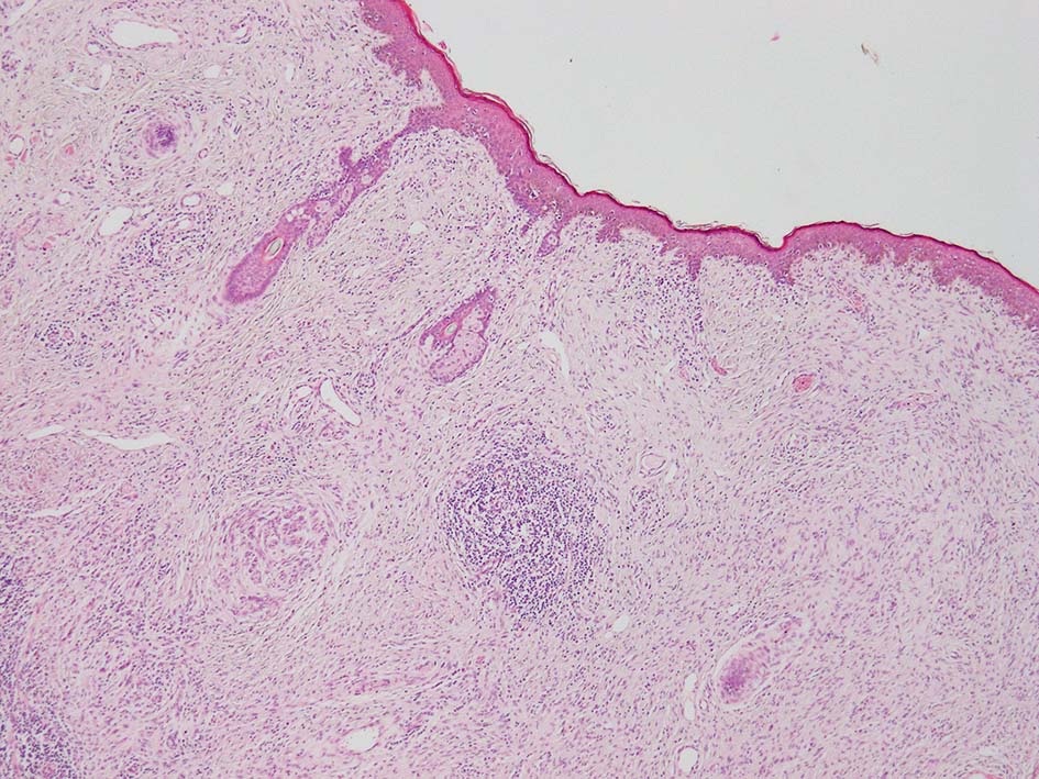
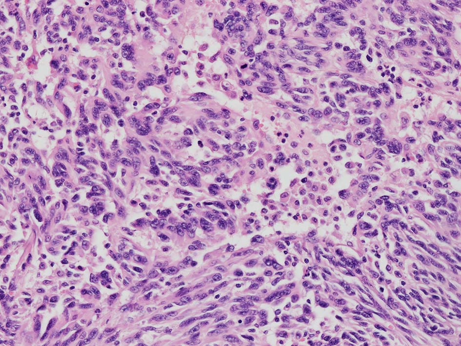
SPS244-Case01 右下眼瞼腫瘤 70歳代女性

 

初回皮膚生検組織

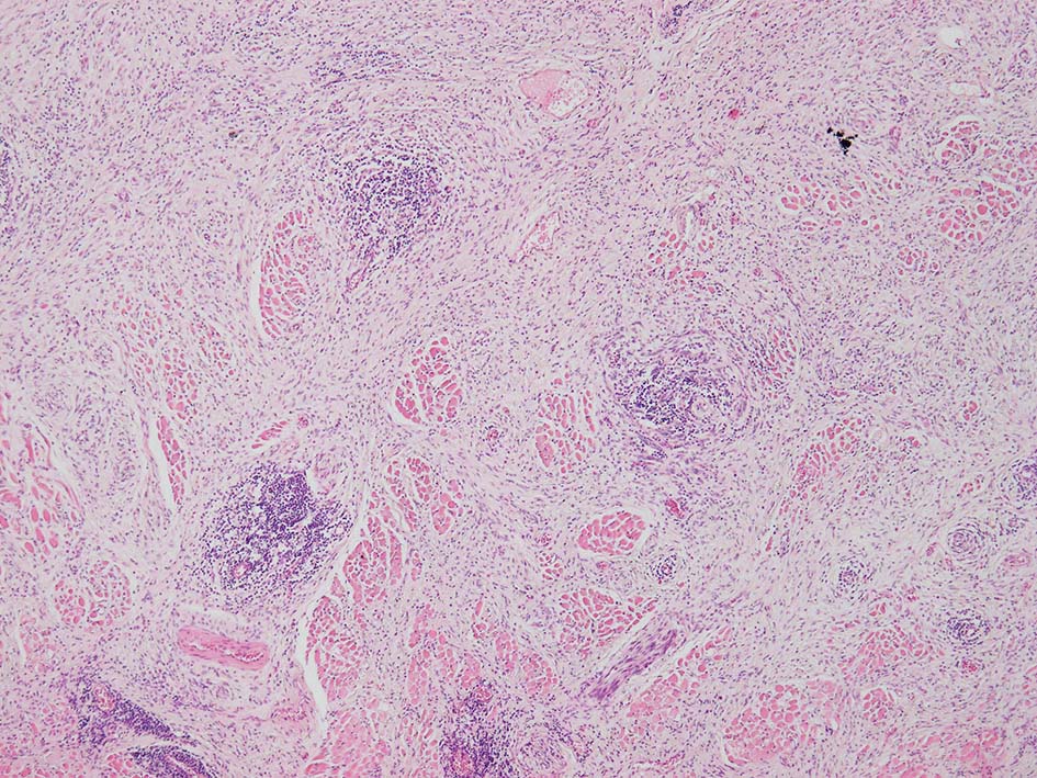
リンパ濾胞が細血管周囲に形成され, この部分に異型といえる細胞が増加している(S100+)

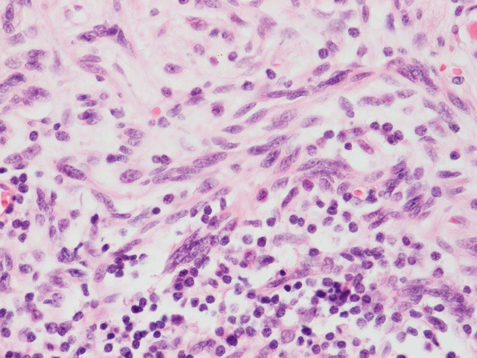
再発腫瘤病変の組織像

 
 

SPS244-Case02 項部皮下腫瘤 70歳代女性

 
File not found: 02-macro01.jpgFile not found: 02-macro02.jpgFile not found: 02-loupe.jpg
潰瘍びらんはない割面loupe像
 
File not found: 01.jpgFile not found: 02.jpgFile not found: 03.jpg
micromicroS-100

*1  Conley J, et al. Desmoplastic malignant melanoma (a rare variant of spindle cell melanoma).Cancer. 1971 Oct;28(4):914-36. PMID:5286448
*2  Reed RJ, Leonard DD. Neurotropic melanoma. A variant of desmoplastic melanoma.Am J Surg Pathol. 1979 Aug;3(4):301-11.PMID:539614
*3  MacCathy SW, Critty KA, Scolyer RA: Desmoplastic melanoma and desmoplastic neurotropic melanoma. in LeBoit PE, Burg G, Weedon D et al(eds)): Pathology and Genetics of Slin tumors. IARC Press, Lyon, 2006, pp76-78
*4  MacCathy SW, Critty KA, Scolyer RA: Desmoplastic melanoma and desmoplastic neurotropic melanoma. in LeBoit PE, Burg G, Weedon D et al(eds)): Pathology and Genetics of Slin tumors. IARC Press, Lyon, 2006, pp76-78
*5  Busam KJ, et al. Cutaneous desmoplastic melanoma. Adv Anat Pathol 2004;12:1518-1525
*6  Shimada S, et al. Nestin expression as a new marker in malignant peripheral nerve sheath tumors. Pathol Int 2007; 57: 60-67

トップ   新規 一覧 検索 最終更新   ヘルプ   最終更新のRSS