Wikipathologica-KDP

EBV positive DLBCL of the elderly-233SPS-Case04

 

EBV陽性びまん性大細胞型B細胞リンパ腫 EBV-positive diffuse large B-cell lymphoma

EBV-positive diffuse large B-cell lymphoma, WHO 5th *1

定義 エプスタインバーウイルス(EBV)陽性のびまん性大細胞型B細胞リンパ腫(DLBCL)は、腫瘍細胞の大部分がEBVを保有する大細胞型B細胞リンパ腫である。罹患患者には、リンパ腫の既往歴や(免疫老化以外の)基礎的な免疫不全/調節障害はない。新生物は、他のEBV陽性リンパ増殖性疾患(LPD)またはリンパ腫の基準を満たさない。

必須および望ましい診断基準 Essential and desirable diagnostic criteria

必須:

望ましい:

Age-related EBV-associated B cell lymphoproliferative disorder

2003年にOyamaら*2により加齢性EBV関連B細胞リンパ増殖異常症として初めて報告され, 2008年WHO分類ではEBV-positive DLBCL of the elderlyの一項目として掲載されている*3

加齢(老耄)以外には, 2次的な免疫機能不全や先行するリンパ腫がない50歳以上に発症するEBV陽性B細胞腫瘍と定義される疾患。

EBV陽性びまん性大細胞型B細胞リンパ腫, 非特異型(年齢関連) *3

若年性(45歳未満)節性*5

加齢(老人)性 45歳以上.*6*7*8

臨床事項

病理組織学的所見

diffuse large B cell lymphoma(DLBCL)に比べて以下のいくつかの特徴的所見が認められる。

組織学的特徴より次の2群に分類される。

1.large cell lymphoma subtype(LCL)
大型腫瘍細胞の単調びまん性増殖が主体。通常のDLBCLとして認識が可能な群。

2.polymorphic lymphoproliferative disorder subtype(PLPD)
大型腫瘍細胞のシート状増殖はみられない。多彩な反応性背景をもちRS細胞様巨細胞が散在性に出現しホジキン病や反応性病変との鑑別が問題となる。

  • LCLであっても部分的にはPLPDとしての組織像を示すものも多い
  • 当初はLCLの予後が有意に不良であったが症例の蓄積につれて両者に差はみられなくなっている

免疫染色

  • RS細胞様巨細胞, LCLの大型細胞は B細胞マーカ(CD20, CD79a)が陽性。いずれかが消失することもある。通常腫瘍細胞の50%以上が陽性となりHodgkin病との鑑別点となる。
  • MUM1が陽性であり腫瘍細胞はpost-germinal center由来と推定される
  • CD30は50%に陽性。CD15は陰性。
  • ホジキン様節外病変の場合CD15が腫瘍性巨細胞に陽性であってもCD20陽性であれば本疾患とするべきであるとする考え方が最近Jaffeら*9により提示された。

予後 5年生存率は30%以下と予後不良である。EBV陰性DLBCLあるいはEBV陽性ホジキンリンパ腫と比較しても予後が悪い。Rituximubの効果については未検証。

EBウイルスの潜在感染*1

各種疾患におけるEBウイルス latent genesの発現

EBlatent01.jpg

NPHCa: nasopharyngeal carcinoma, HD: Hodgkin's disease, PTCL:peripheral T cell lymphoma
LPD: lymphoproliferative disase, IM: infectious mononucleosis

LMP1

EBNA2

EBER

EBV positive DLBCL of the elderly

80歳 男性

生来健康で特記すべき既往歴なし。食思不振で受診。頸部に多数のリンパ節腫大を認める。

病理組織所見

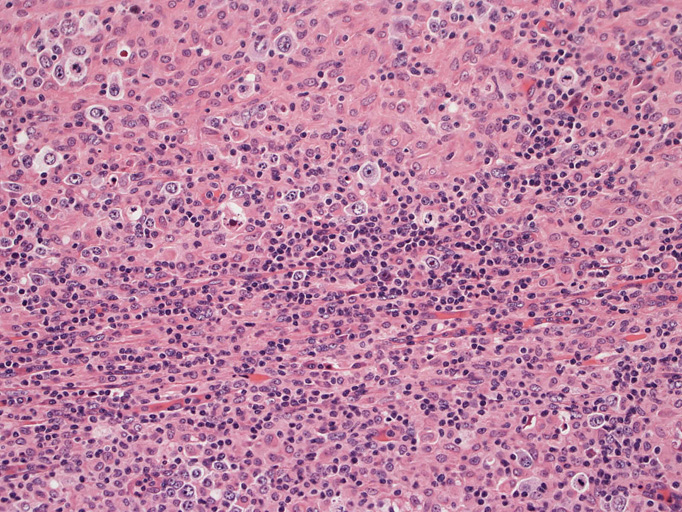
頸部リンパ節病理組織所見

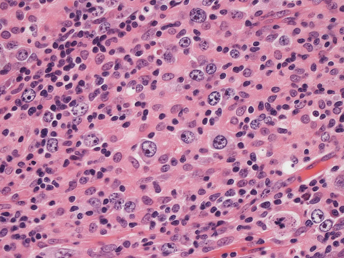
ebvdlbcl01.jpg

直径17mmの腫大したリンパ節。被膜は軽度線維性肥厚を示す。リンパ節の基本構造は失われ不明瞭な結節様構造が集蔟しているように見える。

光顕および免疫染色所見
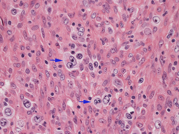
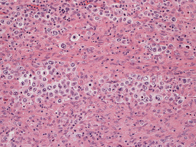
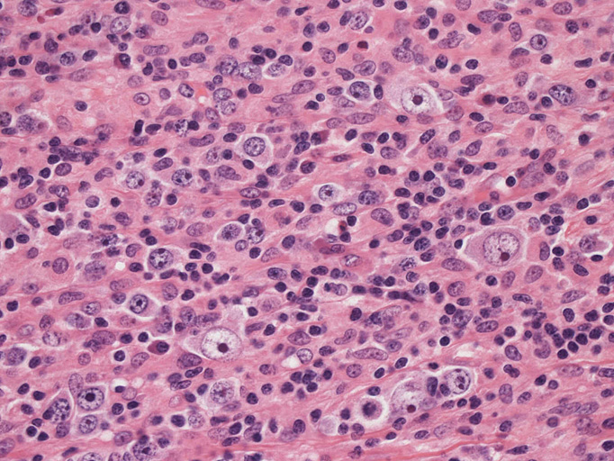
結節構造内では, 好酸性細胞質をもつ組織球の増生を背景に大型異型細胞が散在性または集蔟して増殖している。被膜下にも線維化組織内にbizzarreな大型細胞が認められる。リンパ球は小型リンパ球が大型異型細胞を含む組織球性の結節辺縁に存在する。大型細胞は, centroblastic cellが多く, その他 Hodgkin cell-like cell, RS細胞様巨細胞, 腎臓型の核をもった細胞, 多型核の細胞など多彩な形態を示す。異型核分裂像をふくむ核分裂像が多い。

 

大型異型細胞の形態

 

免疫染色

腫瘍細胞はCD20+, CD30+, CD15-, PAX-5+, Oct.2+, BOB.1+(Oct2, BOB1は田丸先生の染色結果), EBER-ISH+, EBNA2-
背景細胞はCD3+ Tリンパ球(CD8>CD4)とCD163, CD68陽性組織球。

背景組織球はCD163+

 
 

*1 Cohen JI. Epstein-Barr virus infection New Engl J Med 200; 343(7): 481-492
*1  Anagnostopoulos I, Medeiros LJ, Klapper W, et al. EBV-positive diffuse large B-cell lymphoma. In: WHO Classification of Tumours Editorial Board. Haematolymphoid tumours [Internet; beta version ahead of print]. Lyon (France): International Agency for Research on Cancer; 2022 [cited 2023 Oct 28]. (WHO classification of tumours series, 5th ed.; vol. 11). Available from: https://tumourclassification.iarc.who.int/chapters/63.
*2  Oyama T et al., Senile EBV+ B cell lymphoproliferative disorder: a clinocopathologic study of 22 patients. Am J Surg Pathol 2003; 27:16-26
*3  Nakamura S, Jaffe ES, Swerdlow SH. EBV positive diffuse large B-cell lymphoma of the elderly. In: SH Swerdlow, E Campo, NL Harris, et al., editors. WHO Classification of Tumors of Haematopoietic and Lymphoid Tissues. Lyon: IARC;2008. 243-244.
*4  Dojcinov SD, et al. Age-related EBV-associated lymphoproliferative disorders in the Western population: a spectrum of reactive lymphoid hyperplasia and lymphoma. Blood. 2011 May 5;117(18):4726-35.PMID: 21385849
*5  Nicolae A, et al. EBV-positive large B-cell lymphomas in young patients: a nodal lymphoma with evidence for a tolerogenic immune environment. Blood 2015 Aug 13;126(7):863-72. doi: 10.1182/blood-2015-02-630632. Epub 2015 May 21.PMID: 25999451
*6  Oyama T, et al. Age-related EBV-associated B-cell lymphoproliferative disorders constitute a distinct clinicopathologic group: a study of 96 patients. Clin Cancer Res. 2007 Sep 1;13(17):5124-32. PMID: 17785567
*7  Oyama T, et al. Senile EBV+ B-cell lymphoproliferative disorders: a clinicopathologic study of 22 patients. Am J Surg Pathol. 2003 Jan;27(1):16-26. PMID: 12502924
*8  Dojcinov SD, et al. Age-related EBV-associated lymphoproliferative disorders in the Western population: a spectrum of reactive lymphoid hyperplasia and lymphoma. Blood. 2011 May 5;117(18):4726-35.PMID: 21385849
*9  Cohen JI et al., Epstein-Barr virus associated Lypmph proliferative Disease in Non-Immunocompromised Hosts- A status Report and Summary of an International Meeting-September 8-9, 2008 Ann Oncol 2009; 20: 1472-82
*10  Uchida J, et al. Mimicry of CD40 signals by Epstein-Barr virus LMP1 in B lymphocyte responses.Science. 1999 Oct 8;286(5438):300-3.
*11  Cader FZ et al. The EBV oncogene LMP1 protects lymphoma cells from cell death through the collagen-mediated activation of DDR1.Blood. 2013 Dec 19;122(26):4237-45.

トップ   新規 一覧 検索 最終更新   ヘルプ   最終更新のRSS