Wikipathologica-KDP

peripheral T-cell lymphoma --pathological diagnosis

肝脾型T細胞性リンパ腫 Hepatosplenic T-cell lymphoma

 

きわめてまれなリンパ腫. 正確な頻度は不明. 非ホジキンリンパ腫の1%以下.

節外性, 全身性リンパ腫肝, 脾, 骨髄の著明な類洞ないし静脈洞内浸潤を認める。 REAL分類ではγδT細胞に限定されていたが, αβT細胞もまれにあることがわかり現在の名称になった。

臨床

  • 青年期から若年成人男性におおいとされるが本邦ではしばしば20-30歳代の若い女性の発症が認められる。
  • 症例の20%には長期免疫不全がもとになっており, 臓器移植後やCrohn病へのazathioprine, infliximab治療後発症の報告がある*1
  • 発熱, 筋肉痛, 体重減少, 出血傾向, 黄疸が初発症状。肝脾腫が著明(脾腫はほぼ100%, 肝腫大は80%)で肝機能障害も高度なことが多い。
     
  • 血球貪食症候群によるpancytopeniaをみることが多い

病理

  • 肝脾腫が著明。骨髄に腫瘍細胞が浸潤する(-->Case presentationを見る)が軽度である。
  • 腫瘍細胞は淡明な細胞質をもつ中型細胞でクロマチンはやや粗く核小体は小さなものが数個出現する。核周は不規則なことが多い。
  • 肝, 脾, 骨髄では類洞ないし静脈洞浸潤が顕著。脾臓では赤脾髄領域を中心に拡張した静脈洞内に腫瘍細胞が浸潤する。
  • 肝臓では門脈域は通常保たれる。脾臓では白脾髄は通常保たれている。
  • 骨髄には腫瘍細胞浸潤は軽度であり, 白血化はまれ(末梢血への腫瘍細胞出現もまれにある)。骨髄病変は70%の症例に認められる。
  • 初診時にリンパ節腫大はない。リンパ腫のある例は続発例など非定型例。
  • 皮膚病変は皮下, 真皮上層, 表皮に浸潤あり。

phenotype

  • CD3+, TCRδ1+, TCRαβ-(まれに+), CD5-(γδT-cellの腫瘍はCD5が陰性になることが多いようです*2, CD4-, CD8-.
    CD56+(まれに陰性のことがある); 2/3の症例に陽性. 免疫不全/障害に関係する.
  • TIA-1+, perforin, granzymeBは陰性のことが多い。細胞障害性T細胞由来と考えられるが機能的に未成熟, 非活性と考えられる。
    (容れ物であるTIA-1はできているが, 肝心の中身であるperforin, granzymeBははいっていない状態ですね)
  • EBVは陰性。EBVが陽性のものは, 節外性NK細胞性リンパ腫またはNK/T cell lymphoma, nasal typeが妥当な考えである。

genotype

  • TCRγδ再構成を認める. TCRαβはgerm lineまたは再構成を示す。
  • isochromosome 7q, trisomy 8を認めることがある。

鑑別診断, 予後

  • 節外性γδT細胞性リンパ腫(皮膚, 小腸, 鼻, 精巣)の肝脾浸潤と本例の鑑別は不能。
  • CD3+, TCRδ1+, TCRαβ-(まれに+), CD56+(まれに陰性), CD5-, CD4-, CD8-, TIA-1+のマーカを確認。
  • このphenotypeの腫瘍が, 皮膚, 鼻腔, 甲状腺, リンパ節などの肝脾以外の臓器に首座をもつ症例の報告がある。
  • AML/ ALLの浸潤, NK cell lymphoma/ leukaemiaの浸潤. 後者では全く同一の病態(肝脾腫, 類同ないし静脈洞への顕著な浸潤)を示し, 劇症肝炎様で本例と区別がつかないことがある。

予後は, 急激な経過をとり不良。生存中央値は2年。

Case presentation

40歳代 女性 骨髄, 肝

 

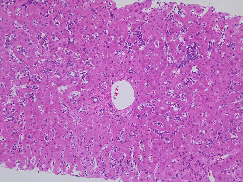
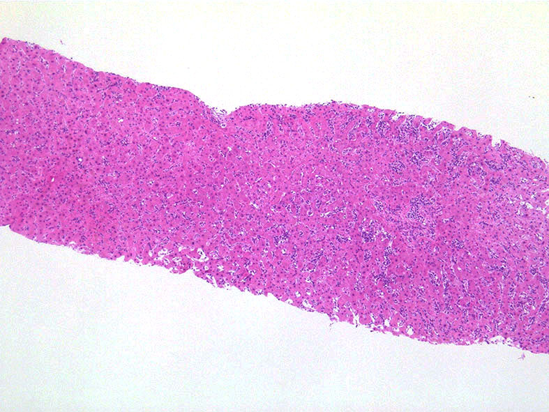
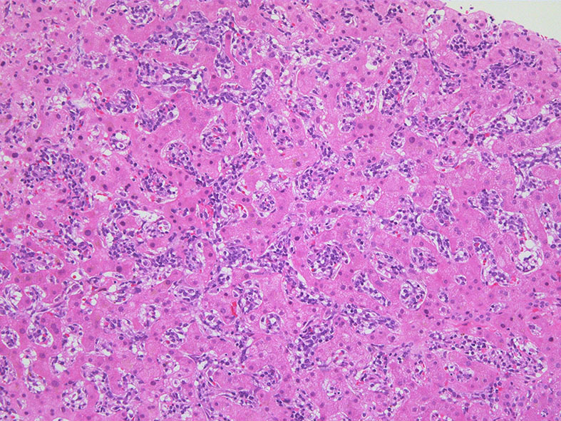
肝臓 

肝針生検組織; 類洞に細胞浸潤が認められ, 非浸潤部との境界がぼんやりと認められる. 類洞と異なり, グリソン鞘は腫瘍細胞の浸潤が乏しいか, ほとんど認められない.

 
File not found: Liver-lymphomacell01_s.jpgFile not found: Liver-lymphomacell02_s.jpg

類洞内に浸潤増殖するリンパ腫細胞: 類円形・長円, 瓜状の核をもつ,細胞質の乏しい細胞(サムネイル画像のクリックで大きな画像が見られます)

File not found: liver-CD3-02_s.jpgFile not found: liver-CD3-03ok_s.jpgFile not found: liver-CD5_s.jpgFile not found: liver-CD7_s.jpg
CD3CD3CD5CD7

類洞内で増殖する腫瘍細胞はCD3+, CD7+のT-cellであるがCD5発現が弱く, 異常なT-cellである.

 
File not found: liver-CD4_s.jpgFile not found: liver-CD8_s.jpgFile not found: liver-TIA1_s.jpgFile not found: liver-granzymeB_s.jpg
CD4CD8TIA1granzymeB

CD4は類洞内皮の一部が陽性であるが, 類洞内腫瘍細胞の多くは陰性を示す. CD8陰性. TIA1は陽性であるが, granzymeBは陰性細胞が多い.

 
File not found: CD4-inset_s.jpgFile not found: liver-CD20_s.jpgFile not found: liver-CD56_s.jpg
CD4CD20CD56
 
 

骨髄浸潤所見
同じ患者さんの骨髄所見です.

File not found: HSTCL-BM-HEok_s.jpgFile not found: HSTCL-BM-ASDok_s.jpgFile not found: ASD-clot-hpf_s.jpgFile not found: CD3-clot-hpf_s.jpg
HEASD-GiemsaASD-GiemsaCD3
 

骨髄への腫瘍細胞浸潤はintertrabecular patternで, 腫瘍細胞は小集簇巣を形成して散在性に認められた. HE, ASD-Giemsaのみでの浸潤, 増殖の確定はなかなか難しいようです.
ASD-GiemsaではASDに染まらない(陰性の)あやしい細胞塊があるように見える. 細胞小塊はCD3陽性.

 
 
File not found: HSTCL-clot-HE_s.jpgFile not found: HSTCL-clot-ASD01_s.jpgFile not found: HSTCL-clot-CD3_s.jpg
HEASD-GiemsaCD3

骨髄クロットでは, 十分量が採取されているにもかかわらず, CD3陽性細胞は微小な集簇巣が2個ほど認められるのみであとは散在している.

File not found: ASD_clot-01_s.jpgFile not found: ASD_clot-02_s.jpg

免疫染色でCD3陽性となる細胞集塊のASD-Giemsa像. 肝類洞内浸潤細胞に比較して核, 細胞が紡錘形の傾向を示している.


*1  Beigel F, et al. Hepatosplenic T-cell lymphoma in a patient with Crohn's disease Nature Reviews Gastroenterology and Hepatology 6, 433-436.
*2  田丸先生の講演から-第3回リンパ腫スキルアップセミナ 名古屋2014

トップ   新規 一覧 検索 最終更新   ヘルプ   最終更新のRSS