Wikipathologica-KDP

Lymphomatoid granulomatosis

LYGは節外性の血管中心性, 血管破壊性リンパ増殖疾患でEpstein-Barr virus(EBV) 感染Bリンパ球の浸潤から形成される病変。多数の反応性T細胞の混在が認められる。*1 *2

  • 30~60歳の男性患者に多く発症する. 肺の病変が最も多く,患者は咳,呼吸困難,痛みを訴える.
     
  • 肺病変が特徴的であるが, 肺外の多発病変を起こしうる-->中枢神経系, 腎臓, 皮膚(皮下腫瘤で潰瘍を伴う場合と伴わない場合がある。紅斑性丘疹や紅斑のこともある)
     
  • 肺血管炎と肉芽腫症がオリジナルの報告では特徴的とされたためにWegener肉芽腫症と臨床的, 放射線学的に混同されたがLYGは最近の診断の進歩によりB cell lymphomaとされ治療法が進んでいる。
     
  • X線検査では,通常,両肺の中・下部領域に多数の空洞化した転移性結節が認められる. 肺外への浸潤は極めて稀. 皮膚,中枢神経系,肝臓,腎臓などにも転移が見られる.
     
  • 節性病変および脾病変は認められない.
     
  • 組織学的に,LyGは,様々な割合のリンパ球と大きなEBV+芽球からなる血管中心の浸潤を特徴としており,その中にはHRSに類似した特徴を示すものが出現する. 血管浸潤とそれに伴う多量の凝固壊死が典型的な所見である.
     
  • 疾患名に肉芽腫という言葉がはいっているが, 肉芽腫は皮膚以外の病変には見られない。興味深いことに,皮膚病変は,EBV+が明瞭でないB細胞, 毛包炎, 非壊死性肉芽腫によって特徴付けられ, サイトカインを介した事象であると考えられている。
     
  • LYGの組織学的GradeはEBV陽性大型B細胞の多さ,形態で決まる。LYGはEBV陽性DLBCLへ進展する。
    • Grade 1; 小さなEBV+ B細胞(5/HPF以下)がまばらに存在し,豊富なT細胞と混在する.
       
    • Grade2; 大型のEBV+ B細胞がやや優勢(5-20/HPF)な豊富なT細胞が混在している.B芽球細胞の小さな集合体(50/HPFまで)は許容され, HRS様の形態が見られることもある.
       
    • Grade3; EBV+芽球の豊富な集合体(50個/HPF以上)と背景のT細胞が目立つことが特徴. グレード3の病変は,EBV+ DLBCLと同様のスペクトラムにはいる. (EBV+ DLBCLと診断したほうがよい[WHO5th classification]

腫瘍細胞はCD20+. CD30の顕著な発現は共通の特徴であるが,CD15の共発現は見られない.

バックグラウンドの浸潤細胞は,小型のT細胞(CD3+,CD4+>CD8+)で構成されている.B細胞はEBER陽性で, EBNA2(+/-); EBV潜伏タイプIIIを示すが, IIの場合も少なくない. (III>II)

EBER-ISH染色は病変のGradeや血管侵襲の程度にもよるが, 陽性B細胞は大小さまざまで不均一である.

 

Lymphomatoid granulomatosis --> WHO5th classification fileLymphomatoid granulomatosis (LYG)-WHO5th.txt

 

No7 lymphomaniaの会, 竹内先生の講演から。

  • 1972年 Liebowら*3*4により記載された血管中心性, 破壊性のリンパ増殖疾患. 肺・腎・上気道・皮膚・神経系を侵す
     
  • Angiocentric lymphoma(NK/T-cell lymphoma)に似た臨床像, 組織像を呈する共通のentityとしてangioimmunoproliferative lesionと呼ばれ, T細胞性リンパ腫とされた。
     
  • Katzensteinら*5により, 21/29例(72.4%)でEBV感染が示された。
     
  • Guineeら*6によりEBVはB細胞に局在することが示された。
     
  • Guineeら*7は, PCR法で6/9例のgradeIIまたはIIIのLyGにIgH再構成を検出した。TCRγ鎖再構成は検出されなかった。
     

患者の50%に出現する皮膚病変には, LyGのhallmarkであるEBV感染が証明されないことがたびたびあるので注意が必要.この場合も肺病変などにはEBV+となる.

 

Case: Lymphomatoid granulomatosis

IWT case 60歳代 女性

9年ほど前から慢性関節リウマチ. 5-6年前よりMTX4mgで治療. 途中副作用で一旦中止になったがリウマチ活動性が高く, 再開されている.
5年前から胸部CTで両肺底部にすりガラス影が出現, 間質性肺炎を指摘された. 2年前に治療強化のためエタネルセプト(TNF-α阻害薬. 商品名エンブレル)が導入された(T-spot test陰性確認後).
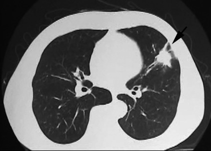
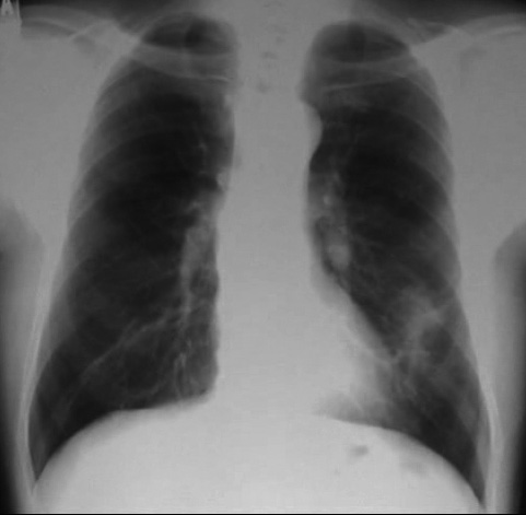
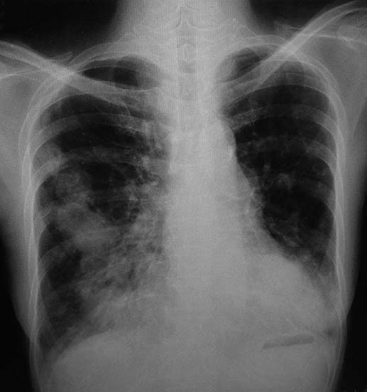
今月定期受診で1年ぶりにchest X-pを撮影. 両肺野に多発結節影が指摘されて受診となった.

chestX-pとCT.サムネイル画像クリックで大きな画像がみられます.

 

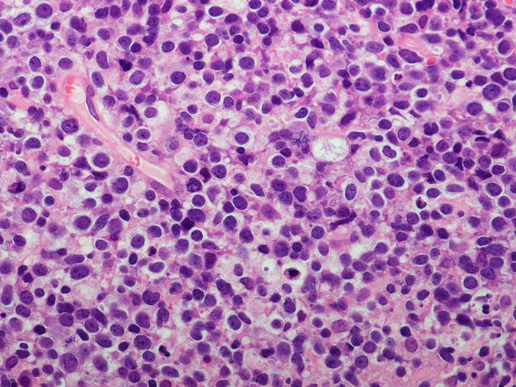
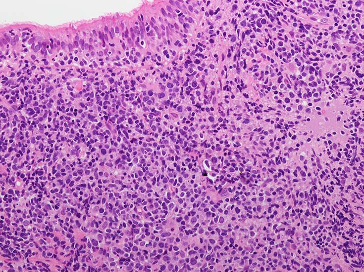
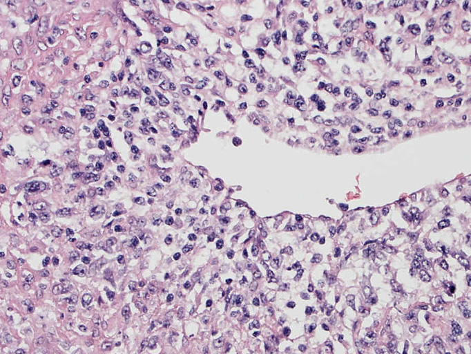
EBUS-GS(ガイドシース併用気管支腔内超音波断層法)による肺生検組織病理所見.

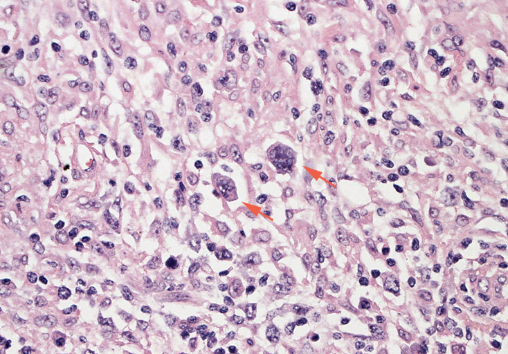
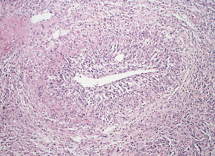
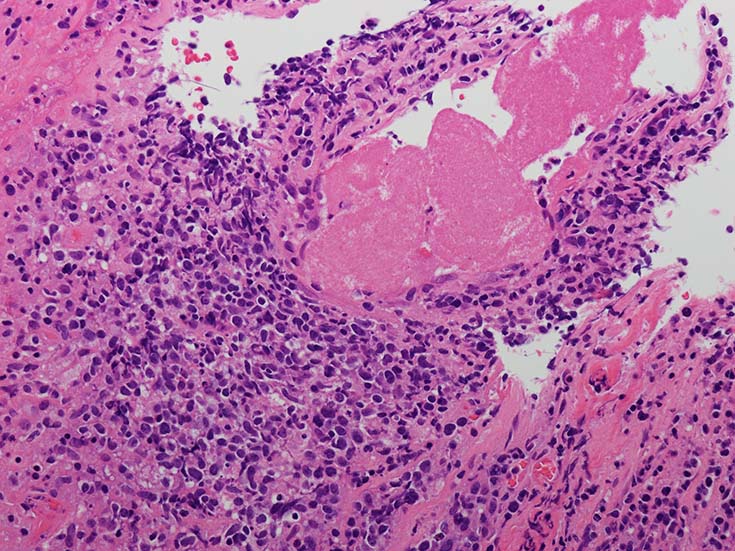
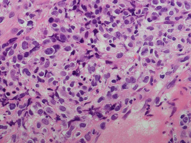
血管周囲性に大型類円形核や不整形核をもつ腫瘍細胞がシート状密に浸潤増殖している. Mitosisが多く認められる.細血管閉塞や破壊の所見がある.

 

間質にもシート状の腫瘍細胞浸潤がある. 大小 pleomorphicな傾向.(A, B). necrosisが認められる(C). 細気管支上皮直下まで密な浸潤あり, 小型リンパ球が混在している.(D)

 

This caseのvirtual Slide---> EBUS-GS肺生検組織<----右クリックで新しいウィンドウで開くと便利です。(準備中)

 

免疫染色

病理診断

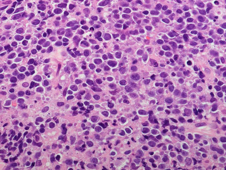
血管中心性浸潤. 障害された血管内に血栓が形成されている.CD20陽性細胞がシート状密に浸潤, CD3陽性T細胞が多く混在している. EBER-ISH陽性 EBV感染細胞が多数認められ, >50 hpf, 定義より Grade3となる. 陽性細胞のサイズは大小さまざまであることに注意. Lymphomatoid granulomatosisの病態(WHO5thの診断では EBV-positive diffuse large B-cell lymphomaになる)をとっているが MTX-associated LPDの一型とするべき症例かもしれません.

 

SPS218-Case01 Lymphomatoid granulomatosis

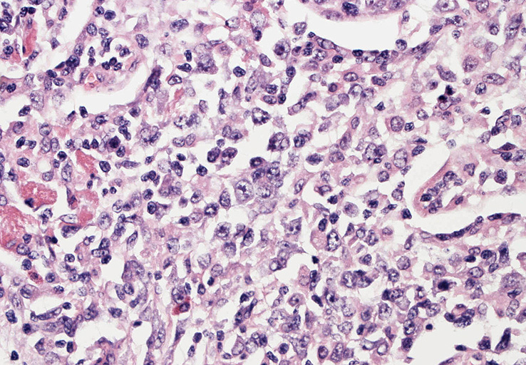
EBV陽性を示した肺結節性病変の1例  浜松医科大学第二病理 新井義文

PATHOLOGICAL DIAGNOSIS: Lymphomatoid granulomatosis LYG

病理組織所見

SPS218-Case01のvirtual Slide---> 肺腫瘤<----右クリックで新しいウィンドウで開くと便利です。

病理組織所見


*1  Liebow AA, Carrington CR, et. al.: Lymphomatoid granulomatosis. Hum Pathol 1972; 3: pp. 457-558.
*2  Guinee D, Jaffe JE, et. al.: Pulmonary lymphomatoid granulomatosis. Evidence for a proliferation of Epstein-Barr virus infected B-lymphocytes with a prominent T-cell component and vasculitis. Am J Surg Pathol 1994; 18: pp. 753-764.
*3  Liebow AA. Lymphomatoid granulomatosis. Calif Med. 1972 May;116(5):48-9.
*4  Liebow AA, et al., Lymphomatoid granulomatosis. Hum Pathol. 1972 Dec;3(4):457-558.
*5  Katzenstein AL, Peiper SC. Detection of Epstein-Barr virus genomes in lymphomatoid granulomatosis: analysis of 29 cases by the polymerase chain reaction technique. Mod Pathol. 1990 Jul;3(4):435-41.
*6  Guinee D Jr, et al., Pulmonary lymphomatoid granulomatosis. Evidence for a proliferation of Epstein-Barr virus infected B-lymphocytes with a prominent T-cell component and vasculitis. Am J Surg Pathol. 1994 Aug;18(8):753-64.
*7  Guinee DG Jr, et al.Proliferation and cellular phenotype in lymphomatoid granulomatosis: implications of a higher proliferation index in B cells. Am J Surg Pathol. 1998 Sep;22(9):1093-100.

トップ   新規 一覧 検索 最終更新   ヘルプ   最終更新のRSS