Multiple myeloma-molecular pathogenesis<--クリックでページ参照。

Multiple myeloma - up date IMWG (International Myeloma Working Group)2014分類, etc

IgD and IgE myeloma --unusual myelomas

 

多発性骨髄腫 Multiple myeloma

 

形質細胞の単クローン性増殖と, その産物である単クローン性免疫グロブリン(Mタンパク)の血清・尿中増加により特徴づけられる.

日本では, 10万人に約5人の罹患率. 年間4000人の死亡者を数え, 全悪性腫瘍の約1%, 全造血器腫瘍の約10%を占める. 高齢者の人口増加にともない罹患率, 死亡率ともに増加傾向を示す.

多発性骨髄腫(Multiple myeloma; MM)はリンパ節胚中心で抗原刺激を受け活性化, 分化した形質芽細胞腫(plasmablast)が多段階発がん過程を経て発症する.*1

前がん状態としてmonoclonal gammopahy uncertain significance(MGUS)とくすぶり型多発性骨髄腫(smoulderling MM)が知られている. MMは原則として, 全例MGUSを経て発症するとされる. *2

 

MMの発症メカニズム

MGUSの時点で, 約半数で免疫グロブリン重鎖遺伝子座(14q32)を含む染色体転座を, 残りの半数では主に奇数番の染色体トリソミーが認められる. 前者は染色体数に変化はなく, 非高二倍体(non-hyperdiploidy)と呼ばれる. 後者では, 染色体数が増加し高二倍体(hyperdiploidy)型とよばれる.

上記の2つの細胞遺伝子異常がMMの発症のprimary eventsと考えられている.

 

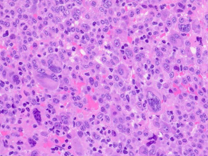
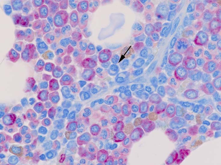
normal plasma cell, myeloma cell, plasmacytoma(bone)の細胞組織像

 

(サムネイル画像のクリックで大きな画像が見られます) 1-3はASD-Giemsa染色. 4はHE.

骨髄腫細胞の表面抗原

PC-MM-IHC.jpg

形質細胞, 骨髄腫細胞の表面抗原*4*5

形質細胞のほとんどはCD38を強発現しており, また骨髄単核細胞中の強陽性分画に展開されるのは形質細胞のみである. multicolor FCMにより0.1%から形質細胞検出が可能であり, 骨髄腫の同定が可能である.

骨髄腫細胞の分化度からみた3つの亜群.

表面抗原により骨髄腫細胞は分化度の異なる3つの亜群に分類できる.

成熟骨髄腫細胞に発現するMPC-1*8, 接着因子のCD49e(VLA-5),CD45(Leukocyte common antigen)の発現の有無から,

Skazu-MM-FCM-histogram.jpg

1. Immature

  • MPC-1-, CD49e-, CD45-
  • MPC-1-, CD49e-, CD45+ ; 増殖成分

2. Intermediate

  • MPC-1+, CD49e-, CD45-/+

3. Mature

  • MPC-1+, CD49e+, CD45-

以上の細胞群は, 同一の症例に混在して存在している. 各亜群の比率は症例により, また同じ症例でも進行時期により異なっている.

多くの症例ではCD45は陰性であるが, 急激な経過をとる症例や進行期の症例では, MPC-1-の未熟細胞, 特にMPC-1-, CD45+の細胞が増加する.

Skazu-MM-FCM-dot.jpg
 

CD19-, CD56+ cells; 73.6%. (CD138分画をこえている. NK cell?)MPC-, CD45+ の増殖分画が 31.8%
この症例は, 副鼻腔に形質細胞腫を形成していた. immature cellsがほとんどをしめる.

 
 
MOMP-2005.jpg

MOMP, 2005年改訂版(MOMP-2005)

Otsuyamaら*9により提唱された, bone marrow plasmacytosisのphenotypic 分類.

Polyclonal marrow plasmacytosis(POMP) 多クローン性骨髄形質細胞増加; 全形質細胞が CD19+, CD56-.

Monoclonal marrow plasmacytosis(MOMP)

MOMP-I; CD19+CD56- 多クローン性形質細胞 >0.5% かつ CD19-CD56+ 単クローン性形質細胞 < 10%. (骨髄単核細胞に対する割合); <--- MGUSに相当する

MOMP-II; CD19+CD56- 多クローン性形質細胞 <0.5% かつ CD19-CD56+ 単クローン性形質細胞 > 10%.[形質細胞(CD38++細胞)中,MPC-1陰性細胞分画は25%未満]

MOMP-III; 単クローン性形質細胞 >10%. このうち, MPC-1陰性細胞分画は25%をこえている.しかしMPC-1 CD45+細胞は10%をこえない. [形質細胞(CD38++細胞)中]

MOMP-IV; 単クローン性形質細胞 >10%. このうち, MPC-1陰性細胞分画は25%をこえて,かつ MPC-1 CD45+細胞は10%をこえる.[形質細胞(CD38++細胞)中]

 

骨髄腫の臓器, 組織障害

骨髄腫に関連する臓器あるいは組織障害(myeloma-related organ or tissue impairment; ROTI), または単に臓器障害(endo organ damage)の症候, 障害に起因する合併症は,

など重要な判断を下すよりどころとなる事象である.

合併症の存在は, 骨髄腫の治療レジメンの選択に影響を及ぼし, 薬剤の投与量調節が必要になり結果的に治療成績に大きくかかわってくる.

合併症は患者のQOLを高度に低下させ, ひいては生死にかかわるため骨髄腫治療と共に重要な治療標的であるばかりでなく, 発症の予防措置が必要になる.

CRABの設定--- Myeloma defining events(MDE)

文献 *10*11

CRAB; 直ちに治療介入が必要な症候性骨髄腫(symptomatic multiple myeloma)と非分泌型骨髄腫(non-secretory myeloma)にはCRABで象徴されるROTIの存在が必須.--->2014年からIMWGの新診断基準がもちいられ, 症候性骨髄腫という診断名はなくなった.

MGUSと無症候性(くすぶり型改)骨髄腫にはROTIを認めないことが条件. また骨の孤立性形質細胞腫(solitary plasmacytoma of the bone), 髄外性形質細胞腫(extramedullary plasmacytoma)でもROTIは認めないことが条件とされている.


*1  Iida S, Ueda R. Multistep tumorigenesis of multiple myeloma: its molecular delineation. Int J Hematol. 2003 Apr;77(3):207-12.
*2  Weiss BM, et al. A monoclonal gammopathy precedes multiple myeloma in most patients. Blood. 2009 May 28;113(22):5418-22.
*3  Otsuyama K, et al. An increase in MPC-1- and MPC-1-CD45+ immaure myeloma cells in the progressive states of bone marrow plasmacytosis:the revised phenotypic classification of monoclonal marrow plasmacytosis (MOMP-2005). Int J Hematol. 2006 Jan;83(1):39-43.
*4  Terstappen LW, et al., Identification and characterization of plasma cells in normal human bone marrow by high-resolution flow cytometry. Blood. 1990 Nov 1;76(9):1739-47.
*5  Harada H et al., Phenotypic difference of normal plasma cells from mature myeloma cells.Blood. 1993 May 15;81(10):2658-63.
*6  De Vos J, et al.,Microarray-based understanding of normal and malignant plasma cells. Immunol Rev. 2006 Apr;210:86-104.
*7  Jourdan M et al., The myeloma cell antigen syndecan-1 is lost by apoptotic myeloma cells. Br J Haematol. 1998 Mar;100(4):637-46.
*8  Huang N, Kawano MM, et al., Heterogeneous expression of a novel MPC-1 antigen on myeloma cells: possible involvement of MPC-1 antigen in the adhesion of mature myeloma cells to bone marrow stromal cells. Blood. 1993 Dec 15;82(12):3721-9.
*9  Otsuyama K, et al. An increase in MPC-1- and MPC-1-CD45+ immature myeloma cells in the progressive states of bone marrow plasmacytosis: the revised phenotypic classification of monoclonal marrow plasmacytosis (MOMP-2005).Int J Hematol. 2006 Jan;83(1):39-43.
*10  多発性骨髄腫Updating 第2巻 多発性骨髄腫の症候/合併症とその対策-骨髄腫の多様な臨床病態をいかに評価し管理するか-, 医薬ジャーナル社, 2013
*11  林 敏昭 V.多発性骨髄腫の検査, 診断 症候と身体所見 日本臨床 2016;74 suppl5: 198-201
*12  多発性骨髄腫の診療指針(日本骨髄腫研究会編), 文光堂, 2004
*13  Kyle RA, et al. Review of 1027 patients with newly diagnosed multiple myeloma. Mayo Clin Proc 2003; 78(1): 21-33
*14  Hayashi T, et al. Novel therapies for multiple myeloma. Br J Haematol 2003; 120(1): 10-17
*15  Silvestris F, et al.Negative regulation of erythroblast maturation by Fas-L(+)/TRAIL(+) highly malignant plasma cells: a major pathogenetic mechanism of anemia in multiple myeloma. Blood. 2002 Feb 15;99(4):1305-13.
*16  Sharma S et al.Involvement of hepcidin in the anemia of multiple myeloma. Clin Cancer Res. 2008 Jun 1;14(11):3262-7.
*17  Morgan GJ, et al.Long-term follow-up of MRC Myeloma IX trial: Survival outcomes with bisphosphonate and thalidomide treatment. Clin Cancer Res. 2013 Nov 1;19(21):6030-8.

トップ   新規 一覧 検索 最終更新   ヘルプ   最終更新のRSS