Undifferentiated small round cell tumors of the sinonasal tract

NUT midline carcinoma

シンプルな遺伝子異常 t(15;19)(q14;q13.1)を特徴としBRD4-NUT fusion geneが主病因と考えられる上部気道消化管, 縦隔に多く発生する低分化癌。

疾患の確立

1999年12歳のアメリカ人少女。潰瘍を伴った腫瘤が喉頭蓋に発生した。生検ではnasopharyngeal carcinoma類似の病理所見であった。ボストン子供病院で治療をうける。最初腫瘍の縮小がみられたが, すぐに増大し気道閉塞で亡くなってしまう。臨床医たちはこの腫瘍を忘れなかった。彼女の不意の残念な死は新しいタイプの癌の発見につながった。癌細胞分析にBringham婦人病院へ送られた腫瘍組織は複雑なkaryotypeを示す。Dr. PD Cin はこの腫瘍が通常のものではないことを見出す。 trisomy8とは別にひとつの特別な転座, t(15;19)(q14;p13.1)をおこしていた。このニュースはDr J Frecherに届く。Dr Frecherはt(15;19)を示す小児のthymic carcioma, 3例が別々に報告されていたことをreviewしこの固形腫瘍の転座に注目していた。3症例とも劇症で, 急速に致死的な経過をとる, どれも似た臨床症状を呈している。日本の症例についてDr Kubonishiが培養細胞株Ty-82を樹立していた。t(15;19)により形成され, このまれな, 高度に悪性の腫瘍の原因と考えられるfusion oncogeneのクローニング, 分析のため, 細胞株を手に入れたDr Flecherはgene mapping projectを、「まだまだ, けつは青いが,やる気まんまんな-very green yet eager」ポスドクであったわたし, Dr. CA Frenchに託した。*1( Dr CA French本人によるNUT mideline carcinomaのreview.)

Break point mappingがおこなわれ(苦労されたようです), fusionの19番染色体locusは新しいgene, BRD4*2に、15番染色体の切断点はノーザンで睾丸のみに発現がみられる遺伝子NUT( Nuclear protein in Testis)にマップされた。NUTは命名法により「chr15orf55」と名称を変更されたが一般名のNUTが今も使われ, BRD4-NUTというこのfusion oncogne名は残ることになった。

probeを使い, 40歳以下の若いヒトに発症した低分化癌98腫瘍を分析, NUT再構成を7つの腫瘍に見出した。4例はBRD4-NUT fusion tumorであったが, 3例ではBRD4に異常なく, NUTのみに再構成があり, NUT-variantとした。腫瘍化の責任はNUTにあり, BRD4ではないことが推察される。 この腫瘍は、今、NUT midline tumor(NMC)と呼ばれ, NUTの遺伝子再構成をもつことから定義されることになった。

臨床病理像

上部気道消化管, なかでもsinonasal regionに発生する低分化癌の約18%がNUT mideline tumorと考えられている。FISHにより診断され, 小児, 成人を加えたこの論文*3では平均年齢は47歳となりNMCは子供または若年成人の病気であるというコンセプト*4は変更しなければならないようである。

年齢 3-78歳
特定の臓器からの発生ではない。多くは縦隔, 上部消化管気道から発生。骨, 膀胱, 腹部後腹膜, 膵, 唾液腺腫瘍の症例が報告されている。

NMCの分子生物学

NMCの特徴は非常にシンプルな核型異常[t(15;19)]にある。しばしば t(15;19)(q14;p13.1)が単独な異常のことがある。このパターンは癌よりもfusion geneが発生に重要な役割をはたしている 白血病に類似している。

BRD4NUT01.JPG

NMCの診断

NUTihc01.jpg

NUTの免疫染色(IWT case:鼻粘膜腫瘍):核に染色される。特徴的な核内斑点状の陽性所見を示す。
正常コントロールには睾丸組織を使う。

(疑わしい症例があれば、免疫染色用スライドに未染標本を3枚ほど磐田市立総合病院病理診断科宛てに送付いただければ、染色してお返しします。)

抗体作成企業CSTjapanの染色例でも同様の核内斑点状染色パターンを示している。
Haack, H. et al. (2009) Am J Surg Pathol 33, 984-91. Applications: IHC-P (paraffin)
Yan, J. et al. (2011) J Biol Chem 286, 27663-75. Applications: IF-IC (In Cells) Western Blotting

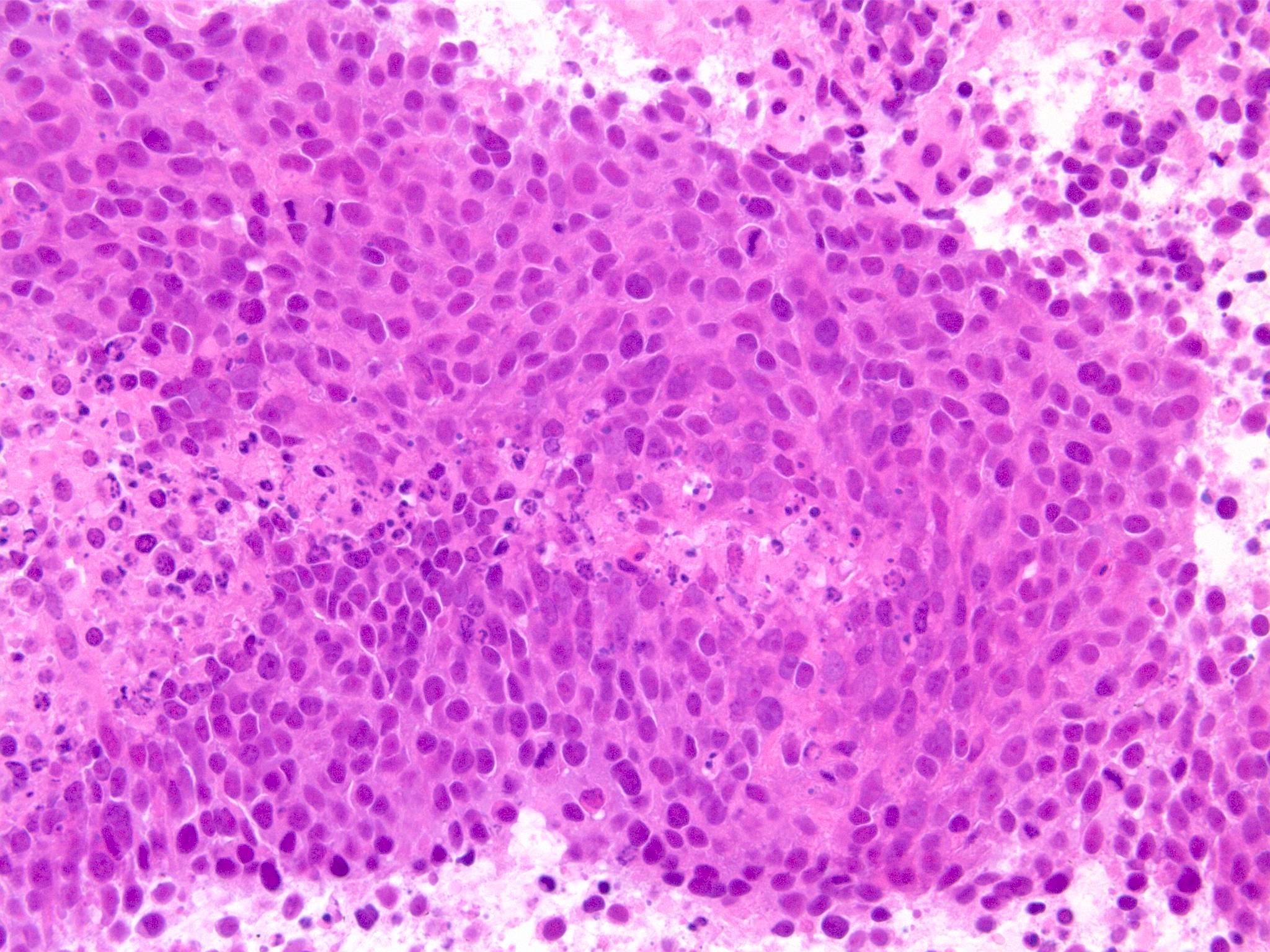
NUT-midline carcinoma Case01

IWT case:10歳代後半の女性*1.

サムネイルをクリックすると大きな画像がみられます。

CT所見

副鼻腔腫瘤生検組織

 

日本病理学会中部支部交見会のスライドより。(S.Suzuki Dr.)

NUT03.jpg NUT04.jpg

 

詳細は以下のcase reportをご参照ください。

Suzuki S, Kurabe N, Minato H, Ohkubo A, Ohnishi I, Tanioka F, Sugimura H.
A rare Japanese case with a NUT midline carcinoma in the nasal cavity: a case report with immunohistochemical and genetic analyses. Pathol Res Pract. 2014 Jun;210(6):383-8. doi: 10.1016/j.prp.2014.01.013. Epub 2014 Feb 22. PMID:24655834

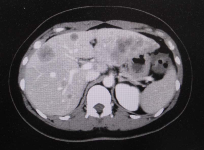
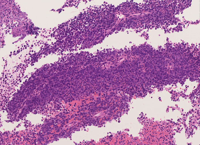
NUT midline carcinoma - Case02

IWT case: 30歳代半ば,女性*2; 喫煙歴:15本/日,20歳から現在まで

当院を受診する4か月前から前胸部違和感を自覚していた. 2か月前から喘鳴を伴う咳嗽があり近医を受診.気管支喘息が疑われ加療されたが症状は改善しなかった.
経過観察中に施行された胸部CTでは左肺癌が疑われた.精査加療目的に当院呼吸器内科を紹介受診.

血液検査:腫瘍マーカー cytokeratin 19の上昇あり[14 (>3.5ng/mL)],ProGRP, CEA, CA19-9の上昇なし
CT画像:左肺から縦隔に及ぶ腫瘍(肺は単独病変. 肺内転移なし.),乳腺腫瘤,子宮腫瘤, 多発肝腫瘤あり.
処置: 気管支内視鏡検査で,1.左肺腫瘍からTBB (VS1),2.腫瘍と一塊になったリンパ節からEBUS-TBNA (VS2),を施行された.

CT画像および肺腫瘤生検組織

 
 

ヒトブロモドメインタンパク質のブロモドメインおよびエクストラターミナル(BET)サブファミリーのメンバー(BRD2、BRD3およびBRD4)は、アセチル化クロマチンに会合し、勧誘した転写活性化因子の有効モル数を増加させることによって転写活性化を促進する(Rahman et al.) 特に、BRD4は、正転写伸長因子複合体b(P-TEFb)との直接的な相互作用を介して、有糸分裂期のクロマチンにおいて選択的なM/G1遺伝子を転写メモリーとしてマークし、有糸分裂後の転写を誘導することが示されている(Dey et al.、2009)(Bisgrove et al.、 2007)。c-MycがP-TEFbのリクルートメントを介してPol IIのプロモーター近位ポーズの解除を制御することが発見され(Rahlら、2010)、BET bromodomainをターゲットにしてc-Myc依存の転写を阻害する根拠が確立された。*3


*1 French CA NUT Midline Carcinoma Cancer Genet Cytogenet 203(1); 16-20: 2010
*2 French CA et al., BRD4 bromodomain gene rearrangement in agressive carcinoma with translocation t(15;19). Am J Pathol 159(6); 1987-1992: 2001
*3 Stelow EB et al., NUT rearrangement in undifferentiated carcinoma of the upper aerodigestive tract. Am J Surg Pathol 2008; 32:828-834
*4 French CA et al., Midline carcinoma of children and young adult with NUT rearrangement. J Clin Oncol 2004; 22: 4135-4139
*5 Toretsky JA, et al., Translocation (11;15;19): a highly specific chromosome rearrangement associated with poorly differentiated thymic carcinoma in young patients. Am J Clin Oncol. 2003 Jun;26(3):300-6.
*6 Haack H, et al., Diagnosis of NUT midline carcinoma using a NUT-specific monoclonal antibody. Am J Surg Pathol. 2009 Jul;33(7):984-91.
*7 French CA, BRD4-NUT fusion oncogene: a novel mechanism in aggressive carcinoma. Cancer Res. 2003 Jan 15;63(2):304-7.
*1  Suzuki S, et al. A rare Japanese case with a NUT midline carcinoma in the nasal cavity: a case report with immunohistochemical and genetic analyses. Pathol Res Pract. 2014 Jun;210(6):383-8. PMID: 24655834
*2  Suzuki S, et al. NSD3-NUT-expressing midline carcinoma of the lung: first characterization of primary cancer tissue. Pathol Res Pract. 2015 May;211(5):404-8.PMID: 25466466
*3  Delmore JE, et al. BET bromodomain inhibition as a therapeutic strategy to target c-Myc. 2011 Sep 16;146(6):904-17. doi: 10.1016/j.cell.2011.08.017. Epub 2011 Sep 1. PMID: 21889194

トップ   新規 一覧 検索 最終更新   ヘルプ   最終更新のRSS