Chronic active EBV infection/disease
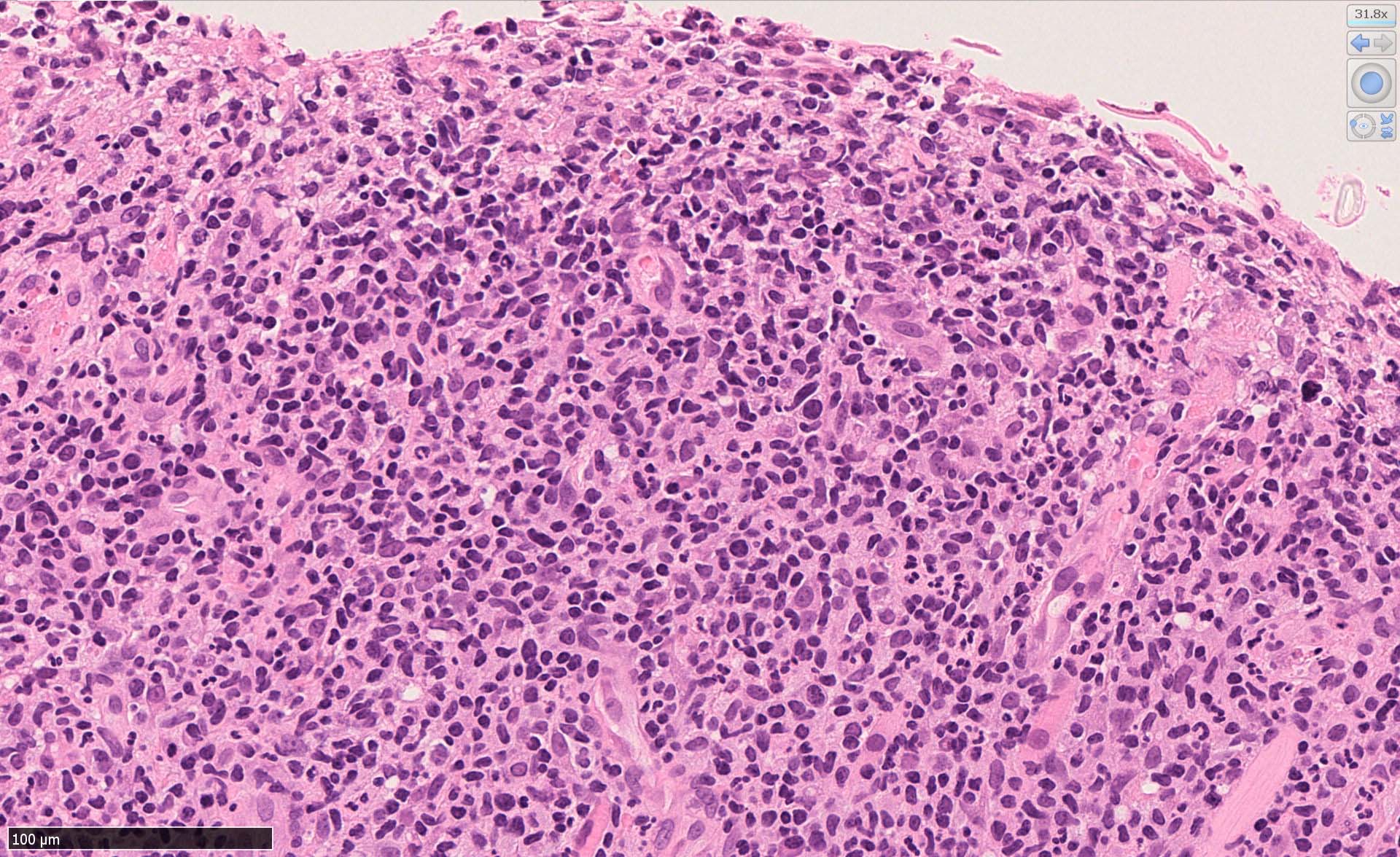
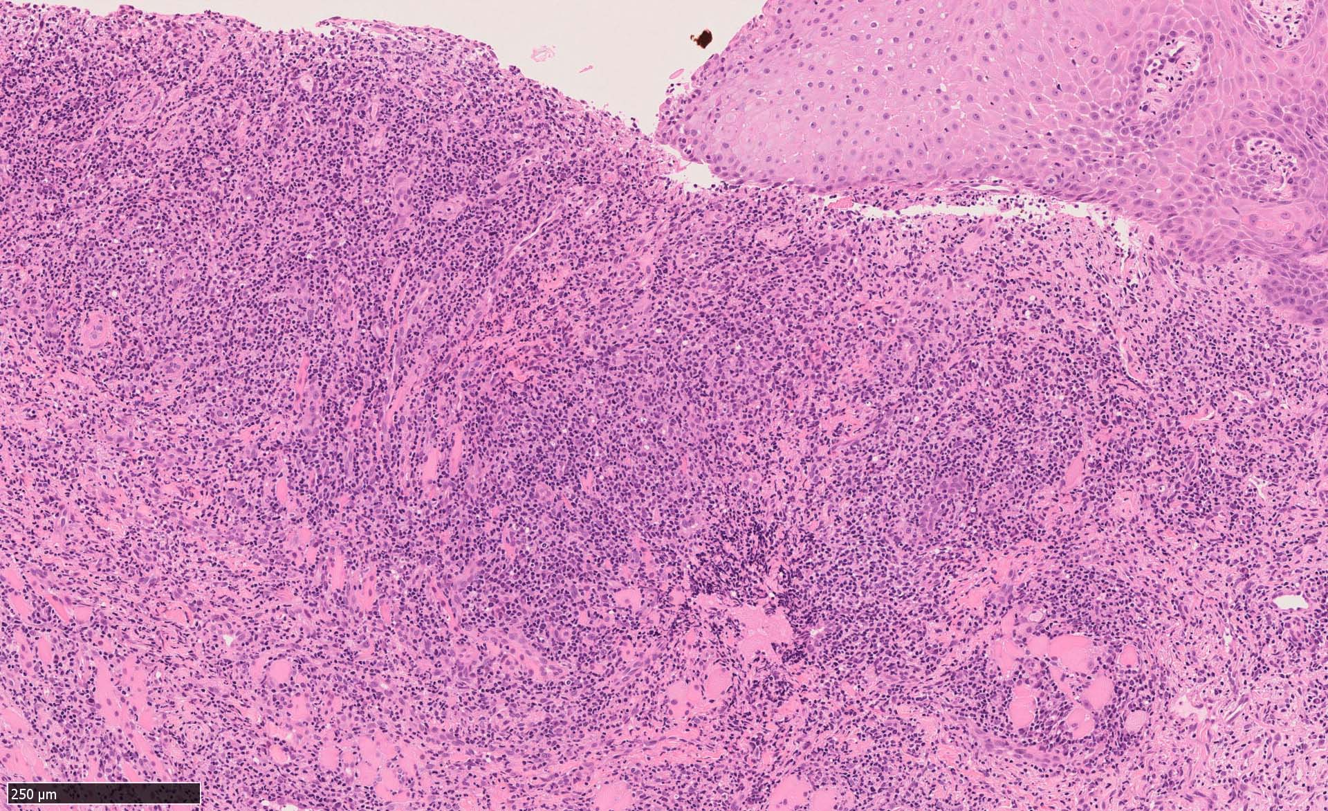
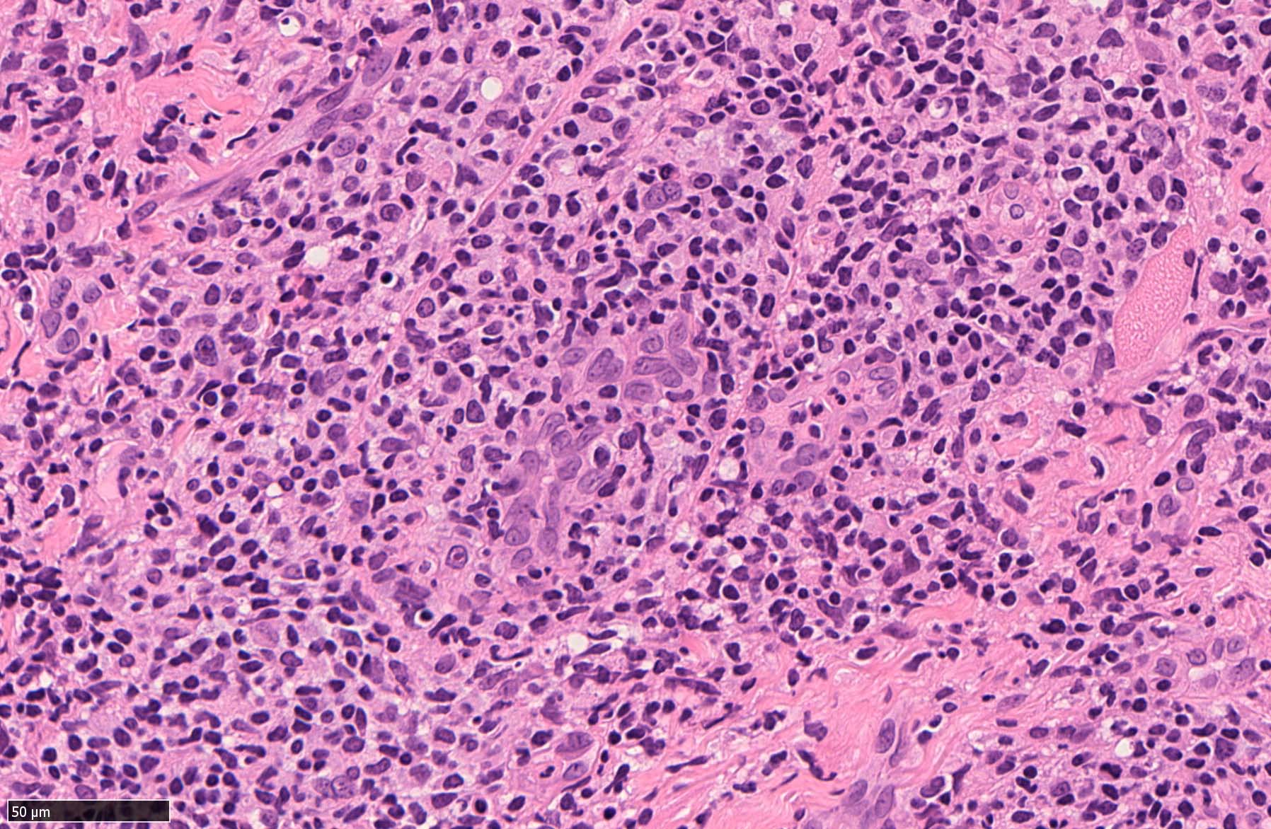
EBV陽性粘膜皮膚潰瘍(EBVMCU)は、EBV陽性の異型大型B細胞および/またはHodgkin/ Reed-Sternberg (HRS)様細胞を含む多形リンパ球浸潤を伴うリンパ増殖性疾患(pleomorphic pattern)で、
典型的には免疫不全/調節障害を有する患者の粘膜および皮膚に発現する。--WHO 5th classificationに記述された定義
定義上はB細胞系のLPDをEBVMCUとしている.
IWT case