Diffuse large B-cell lymphoma

To End

 

Intravascular large B-cell lymphoma

リンパ節腫大のないリンパ腫のうちのひとつ。同類にはEffusion lymphomaがある。

症例01 intravascular large B-cell lymphoma 多発脳梗塞発症症例

66year-old male.

初回発作で左片麻痺を発症, 右共同偏視あり. 感覚は正常. 徐々に症状悪化. ぼんやりしておかしな行動がある。近医を受診治療をうけた。左片麻痺があるが症状が動揺した。おかしな言動や錯覚, 幻視などがあるように見える。当院へ転院。意識清明. 軽度構語障害. 左片麻痺は分単位で動揺した(上肢0, 下肢4-5). Babinski-. MRI:右脳に微小な急性梗塞. CSF:9cmH2;O, 蛋白85.3, 糖76, 細胞12/3(neutrophil1, lymphocyte12). 症状は動揺性でせん妄を呈しながらも徐々に回復. リハビリを行って軽度のparkinsonism, 神経因性膀胱を残し退院。1週間後構語障害, 右手麻痺で再入院となる。

再入院時神経学的所見: 軽-中等度痴呆(思考緩慢), 仮面様顔貌±, 言語単調, 寡動+, 右上肢麻痺±, 反射正常, 右皮質性感覚障害, 測定障害±, 姿勢反射障害±, 小刻み歩行気味で失禁傾向あり。

頭部MRI: 左被殻, 橋ほか急性多発性穿通枝系梗塞あり. 右中大脳動脈および両後大脳動脈狭窄。
抗凝固療法をおこなう。その後MRIでは穿通枝梗塞増加. ビンスワンガー症状は動揺しながら若干悪化。ステロイド投与開始, 発語量増加, 独歩可能となる. しかし夜間せん妄出現. parkinsonism,痴呆症状が悪化した。骨髄穿刺:低形成髄。hemophagocytosisあり。異型細胞の増殖は認められなかった。追加MRI: 右放線冠などに急性梗塞が多発。抗凝固療法, ステロイドを持続, 発症より6ヶ月になり意識状態低下。CT, MRIで梗塞が急速に増加した。7ヶ月め深昏睡, 瞳孔散大, 永眠される。CTでは無数の梗塞により中心ヘルニアを呈していた。臨床上, 非定型的脳梗塞で最終的には血管内悪性リンパ腫症を疑い病理解剖をおこなった。

剖検肉眼病理所見

多発脳梗塞, 点在する出血壊死, 壊死に陥った組織が欠落している。

剖検病理組織所見

脳;くも膜下腔の小動脈内, 脳白質の細血管内に腫瘍細胞が充満している。

 

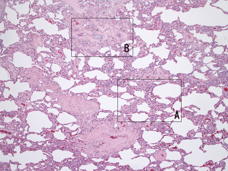
肺A;肺胞壁が厚くなり毛細血管内に腫瘍細胞が多数出現している(A).

 

肺B;小気管支動脈, 肺動脈内を腫瘍細胞が閉塞する. 動脈内膜に浸潤性増殖している(B)。

心臓;比較的大きな冠動脈内で増殖。作成した標本では心筋内細血管内には認めなかった。

 

肝臓;グリソン鞘内、細肝動脈に腫瘍細胞あり。肝細胞は虚血のため変性しているようです。

 

  脾臓;白脾髄リンパ組織には腫瘍細胞は認めず、筆動脈内に増殖。

 

腎臓;糸球体係蹄内に腫瘍細胞が増殖するほか細腎動脈にもみとめられる。

 

膵, 甲状腺;細動脈内の腫瘍細胞. 大腸;粘膜下細動脈内に腫瘍細胞を見る。

 

副腎;類洞内に腫瘍細胞がびまん性増殖し, 副腎が腫大している。

 

骨髄;細動脈内のみに腫瘍細胞が認められた。類洞や髄内での増殖は見られなかった。

骨髄穿刺吸引では発見できなかった原因のようです。骨髄生検で細動脈がとれないと診断に結びつかなかったでしょう。)

 

CD20陽性大型リンパ球の血管内増殖; 血管内増殖細胞はCD20陽性。

剖検病理診断
1. intravascular lymphomatosis involved capillary, small artery and sinus of the brain, lung, heart, liver, spleen, kidneys, pancreas, adrenal gland, colon and bone marrow
2. multiple organ failure

本例では多くの臓器において腫瘍細胞が細い筋性動脈を閉塞する所見が多く認められた

症例02-特殊なintravascular lymphoma; non-B, non-T cell ?

79 year-old male. 1週間前より食思不振あり. 39℃の発熱が加わり受診. PaO2; 46.2 Torr, PaCO2;31.8 Torr, SaO2; 86.1%と低酸素血症あり。CTでは明らかな器質的異常は認められなかった。WBC7300/μl, 単球様細胞の軽度増加を認めた。GOT151, GPT59, LDH1426, CRP11.4. sIL-2R 11600 U/ml. 貧血+, 黄疸なし. 表在リンパ節は触知せず. 肝脾腫なし.

骨髄穿刺: NCC73000/mm3;, phagocyte6.0%, unknown cell 1.4%. clotでの異型細胞はLCA+, CK-, EMA一部陽性. CD3-, CD20-, kappa-, lambda-. TCRcβ1・IgH(JH)遺伝子再構成は認められずgerm line.

骨髄の組織所見

肺組織所見

血管内異常リンパ球増殖症例であるが、細胞はCD20陰性, CD79a陰性, CD3陰性である。BCR, TCR遺伝子再構成も認められなかった。(細胞量の関係もあるか?). EBER-ISHは周囲小型リンパ球に陽性所見を認めたが腫瘍細胞はEBER(-)であった。

intravascular lymphomatosisはWHOの定義で intravascular large B- celllymphomatosisとされ、intravascular T-cell or NK cell lymphomaは異なる疾患群とされてる。本例ではB, T cellの証明ができなかった。異なるtypeのintravascular lymphomatosisの一例と考えられる. おそらくNK cell type IVL.

 

血管内リンパ腫のまれな症例は、T細胞系またはNK細胞系であり*1*2*3*4*5*6そのような症例では、しばしばEBVとの関連が認められる。*1*4*6*7 T細胞表現型の症例には、血管内ALK陽性未分化大細胞リンパ腫や、より低悪性のリンパ管内皮膚未分化大細胞リンパ腫/リンパ腫様丘疹症(CD30陽性リンパ増殖性疾患)などが含まれることがある。*8真の組織球系の血管内リンパ腫も報告されている。*9*10このような症例はWHO定義上, すべてIVLBCLに分類されない.

 
 

intravascular large B-cell lymphoma (IVL/IVLBCL)

血管腔内に選択的に悪性リンパ腫細胞が増殖することを特徴とする節外性large B-cell lymphomaのまれなタイプ。WHOの定義ではBリンパ球の腫瘍であること, 血管内に腫瘍細胞が限局していることを診断の要件としている。歴史的には血管内皮の腫瘍性増殖とされneoplastic angioendotheliomatosisという用語が使用されてきたが, 1985年Moriらが免疫組織学的手法により増殖細胞がリンパ球あることを明らかにした*11

腫瘍細胞の血管外遊走が障害されているという仮説をもとに, 本例では特異な接着因子が発現または欠損していることが推定され2000年, CD29(β1 integrin)やCD54(ICAM1)の欠損が報告されている*14しかし以後の報告は乏しく, 2016年, 島田らにより特定の接着因子欠損は認められないという報告がされている.*15

 IVLの腫瘍細胞phenotype, 遺伝子異常-網羅的解析

 IVLとPD-L1

 

臨床事項

症状の基本は多発性小梗塞でありどの臓器が侵襲をうけるかで臨床像は多彩。脳に初発する症例が少なくない。この場合は多発梗塞に対応し, 責任病変が説明困難な神経症状を呈する。 皮膚に初発する場合は発赤をともなう多発小丘疹という形をとる。 肺に浸潤があると、レ線検査では異常所見の乏しい呼吸困難が生じる。

血球貪食症候群(hemophagocytosis)を合併する症例が本邦や東南アジアで報告されAsian variantとよばれている。発熱, 肝脾腫, 血小板減少, 貧血などの全身症状、検査値異常が認められるが神経症状や皮疹を呈することはあまりない*1

 

本邦, retrospectiveな解析*25*26では, 発熱(78%), 全身倦怠感(25%), 神経症状(25%), 呼吸困難(19%)が高頻度の症状. 皮疹は6%にすぎなかった.

本邦と比較し, 欧州では皮疹の頻度が高い; 発熱(44%), 皮疹(40%), 神経症状(35%)

2019年の北米の臨床症状報告*27

 

脳梗塞病変の脳生検組織

梗塞組織近傍の細血管内に腫瘍細胞が認められる.

 

IVLの診断, 鑑別診断
生検組織により血管内腔を塞ぐように大型異型リンパ球が増殖していることを確認することが診断の要件である。血管内増殖の病変分布が本病型では, 脳, 肺, 肝, 腎, 副腎, 皮膚, 骨髄など特有である。しかし大細胞型B細胞リンパ腫にはこのような臓器を選択的に侵襲するが, 血管内腔には増殖しないものがあることに留意が必要である。

IVLBCLの画像所見

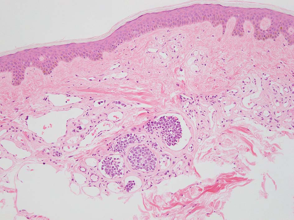
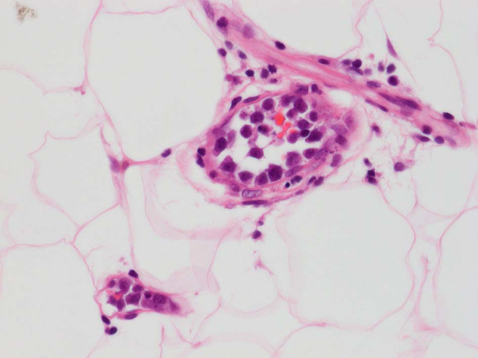
IVLの生検診断; 骨髄とランダム皮膚生検.

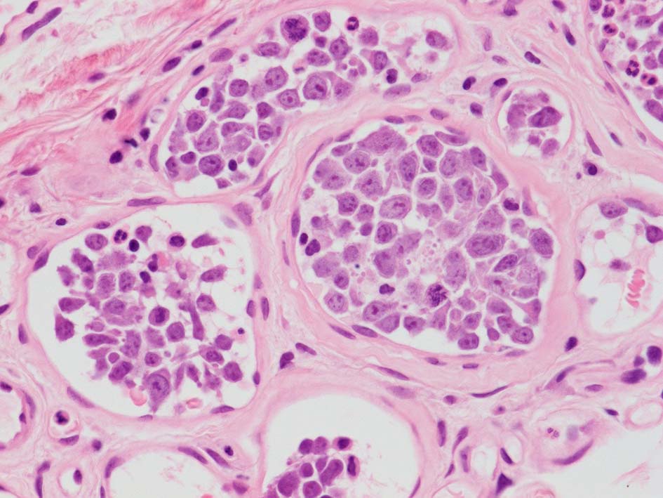
この症例は皮膚, cherry spotとよばれる老人性血管腫の血管内に腫瘍細胞集簇を認めた. (老人性血管腫はよい生検スポットといわれていたが, 必ずしもそうとはいえないらしい)

皮下脂肪織,細血管内の腫瘍細胞. 大型多型細胞より若干小さめの腫瘍細胞も認められる. CD20を先に染めておくと病変の有無がわかりやすい. HEだけで安易に「病変なし」としないほうがよい.

 

IVLBCL の診断は,腫瘍細胞を病理像にて確認することがgold standard である。

 

ランダム皮膚生検

前述の通り,IVLBCL 患者の血漿中には,腫瘍細胞由来の遊離DNA が高濃度に含まれており,遊離DNA より高率にIVLBCL に起因する遺伝子異常を検出することが可能である *34

今後,特にIVLBCL が疑われるものの,生検検体で腫瘍細胞が確認できないような患者において,血漿を用いた遺伝子診断の位置づけが確立していくことが望まれる。


*1
*1  Au WY, Shek WH, Nicholls J, Tse KM, Todd D, Kwong YL: T-cell intravascular lymphomatosis (angiotropic large cell lymphoma): association with Epstein-Barr viral infection. Histopathology 1997; 31: pp. 563-567.
*2  Sepp N, Schuler G, Romani N, Geissler D, Gattringer C, Burg G, Bartram CR, Fritsch P: “Intravascular lymphomatosis” (angioendotheliomatosis): evidence for a T-cell origin in two cases. Hum Pathol 1990; 21: pp. 1051-1058.
*3  Sheibani K, Battifora H, Winberg CD, Burke JS, Ben-Ezra J, Ellinger GM, Quigley NJ, Fernandez BB, Morrow D, Rappaport H: Further evidence that “malignant angioendotheliomatosis” is an angiotropic large-cell lymphoma. N Engl J Med 1986; 314: pp. 943-948.
*4  Cerroni L, Massone C, Kutzner H, Mentzel T, Umbert P, Kerl H: Intravascular large T-cell or NK-cell lymphoma: a rare variant of intravascular large cell lymphoma with frequent cytotoxic phenotype and association with Epstein-Barr virus infection. Am J Surg Pathol 2008; 32: pp. 891-898.
*5  Wu H, Said JW, Ames ED, Chen C, McWhorter V, Chen P, Ghali V, Pinkus GS: First reported cases of intravascular large cell lymphoma of the NK cell type: clinical, histologic, immunophenotypic, and molecular features. Am J Clin Pathol 2005; 123: pp. 603-611.
*6  Kuo TT, Chen MJ, Kuo MC: Cutaneous intravascular NK-cell lymphoma: report of a rare variant associated with Epstein-Barr virus. Am J Surg Pathol 2006; 30: pp. 1197-1201.
*7  Au WY, Shek TW, Kwong YL: Epstein-Barr virus-related intravascular lymphomatosis. Am J Surg Pathol 2000; 24: pp. 309-310.
*8  Samols MA, Su A, Ra S, Cappel MA, Louissant A, Knudson RA, Ketterling RP, Said J, Binder S, Harris NL, Feldman AL, Kim J, Kim YH, Gratzinger D: Intralymphatic cutaneous anaplastic large cell lymphoma/lymphomatoid papulosis: expanding the spectrum of CD30-positive lymphoproliferative disorders. Am J Surg Pathol 2014; 38: pp. 1203-1211.
*9  Snowden JA, Angel CA, Winfield DA, Pringle JH, West KP: Angiotropic lymphoma: report of a case with histiocytic features. J Clin Pathol 1997; 50: pp. 67-70.
*10  O'Grady JT, Shahidullah H, Doherty VR, al-Nafussi A: Intravascular histiocytosis. Histopathology 1994; 24: pp. 265-268.
*11  Mori S. et al, Cellular characteristics of angioendotheliosis. An immunohistological study of 6 cases. Virhow Arch A Pathol Anat Histopathol 1985, 407;167-175.
*12  森茂郎 血管内大細胞型リンパ腫 最新悪性リンパ腫アトラス pp180-182, 2004 文光堂 東京
*13  森茂郎 血管内大細胞型リンパ腫 最新悪性リンパ腫アトラス pp180-182, 2004 文光堂 東京
*14  Ponzoni M, et al.Lack of CD 29 (beta1 integrin) and CD 54 (ICAM-1) adhesion molecules in intravascular lymphomatosis Hum Pathol 2000;31(2):220-6. PMID: 10685637
*15  K Shimada, et al. Development and analysis of patient-derived xenograft mouse models in intravascular large B-cell lymphoma. Leukemia 2016 Jul;30(7):1568-79.PMID: 27001523
*16  Murase T, et al.Intravascular large B-cell lymphoma (IVLBCL): a clinicopathologic study of 96 cases with special reference to the immunophenotypic heterogeneity of CD5. Blood. 2007 Jan 15;109(2):478-85.PMID: 16985183
*17  Shimada K, et al. Development and analysis of patient-derived xenograft mouse models in intravascular large B-cell lymphoma. Leukemia 2016 Jul;30(7):1568-79.PMID: 27001523
*18  Schrader AMR, et al. High prevalence of MYD88 and CD79B mutations in intravascular large B-cell lymphoma. Blood. 2018 May 3;131(18):2086-2089.PMID: 29514783
*19  Suehara Y, et al. Liquid biopsy for the identification of intravascular large B-cell lymphoma. Haematologica 2018 Jun;103(6):e241-e244.PMID: 29472348
*20  Shimada K, et al. Frequent genetic alterations in immune checkpoint-related genes in intravascular large B-cell lymphoma. Blood. 2021 Mar 18;137(11):1491-1502.PMID: 33512416
*21  Suzuki Y, et al. Immune evasionrelated extranodal large B-cell lymphoma: A report of six patients with neoplastic PD-L1-positive extranodal diffuse large B-cell lymphoma. Pathol Int. 2019; 69: 13-20.
*22  Gupta GK, Jaffe ES, Pittaluga S. A study of PD-L1 expression in intravascular large B cell lymphoma: correlation with clinical and pathological features. Histopathology. 2019; 75: 282-286.
*23  Sakakibara A, Inagaki Y, Imaoka E, et al. Divergence and heterogeneity of neoplastic PD-L1 expression: two autopsy case reports of intravascular large B-cell lymphoma. Pathol Int. 2019; 69: 148-154.
*24  Kataoka K, et al. Aberrant PD-L1 expression through 3′-UTR disruption in multiple cancers. Nature. 2016; 534: 402-406.
*25  Shimada K, et al. Retrospective analysis of intravascular large B-cell lymphoma treated with rituximab-containing chemotherapy as reported by the IVL study group in Japan. J Clin Oncol. 2008; 26: 3189-3195.
*26  Shimada K, Kinoshita T, Naoe T, Nakamura S. Presentation and management of intravascular large B-cell lymphoma. Lancet Oncol. 2009; 10: 895-902.
*27  Geer M, Roberts E, Shango M, et al. Multicentre retrospective study of intravascular large B-cell lymphoma treated at academic institutions within the United States. Br J Haematol. 2019; 186: 255-262.
*28  Shimada K, et al. Rituximab, cyclophosphamide,doxorubicin, vincristine, and prednisolonecombined with high-dose methotrexate plus intrathecal chemotherapyfor newly diagnosed intravascular large B-celllymphoma (PRIMEUR-IVL): a multicentre, single-arm,phase 2 trial. Lancet Oncol. 2020; 21: 593-602.
*29  Abe Y, Narita K, Kobayashi H, et al. Clinical value of abnormal findings on brain magnetic resonance imaging in patients with intravascular large B-cell lymphoma. Ann Hematol. 2018; 97: 2345-2352.
*30  Shimada K, Kosugi H, Shimada S, et al. Evaluation of organ involvement in intravascular large B-cell lymphoma by 18F-fluorodeoxyglucose positron emission tomography. Int J Hematol. 2008; 88: 149-153.
*31  Asada N, Odawara J, Kimura S, et al. Use of random skin biopsyfor diagnosis of intravascular large B-cell lymphoma.Mayo Clin Proc. 2007; 82: 1525-1527.
*32  Matsue K, Asada N, Odawara J, et al. Random skin biopsyand bone marrow biopsy for diagnosis of intravascular largeB cell lymphoma. Ann Hematol. 2011; 90: 417-421.
*33  Matsue K, Abe Y, Kitadate A, et al. Sensitivity and specificity of incisional random skin biopsy for diagnosis of intravascular large B-cell lymphoma. Blood. 2019; 133: 1257-1259.
*34  Shimada K, Yoshida K, Suzuki Y, et al. Frequent genetic alterations in immune checkpoint-related genes in intravascular large B-cell lymphoma. Blood. 2021; 137: 1491-1502.

トップ   新規 一覧 検索 最終更新   ヘルプ   最終更新のRSS