WHO 5th classification of Lymphoid neoplsm

Mantle cell lymphoma - WHO5th Ed

WHO 5th Blue Book online ver.β

Mantle cell lymphomaは3つのカテゴリーにわけて説明されている. [Same]: 2016年WHO4th Edと変更はない 

In situ mantle cell neoplasm

Mantle cell lymphoma [Same]

Leukaemic non-nodal mantle cell lymphoma [Same]

 

In situ mantle cell neoplasm(ISMCN)

リンパ濾胞のmantle zoneに、IGH::CCND1 配列を持つ B 細胞がコロニーを形成したもので、サイクリン D1が過剰発現する, まれな疾患.

ISMCNは通常、リンパ節で偶然発見され、マントル細胞リンパ腫(MCL)に進行することは稀(10%未満)である.*1

 

[CCND1/ official cyclinD1]/BCL1; PRAD1; U21B31; D11S287E/ Gene ID: 595
CCND1がコードするタンパク質は、高度に保存されたサイクリンファミリーに属し、そのメンバーcyclinD1, D2, D3は細胞周期を通じてタンパク質存在量が明瞭な周期性を持つという特徴を持つ。

サイクリンは、CDKキナーゼの制御因子として機能する。異なるサイクリンは異なる発現および分解パターンを示し、各有糸分裂イベントの時間的調整に寄与している。

このサイクリンは、細胞周期のG1/S移行に必要なCDK4またはCDK6と複合体を形成し、その活性を制御するサブユニットとして機能する。このタンパク質は癌抑制タンパク質Rbと相互作用することが示されており、この遺伝子の発現はRbによって正に制御される。細胞周期の進行を変化させるこの遺伝子の変異、増幅、過剰発現は、様々なヒトの癌で頻繁に観察されている。

CyclinD/CDK4,6によるRbのリン酸化ステップ (<--Link)

Mantle cell lymphoma

Leukaemic non-nodal mantle cell lymphoma 非結節性MCL

血液、骨髄、脾臓の病変を特徴として, リンパ節腫脹はほとんど認められない. 臨床的には, ほとんど無症状である。

生物学的にnnMCLはMCLと異なることが証明されている

  1. SOX11発現の欠如*9*10 低いKi67指標*11およびCD5の頻繁な欠如*9*12
     
  2. 免疫グロブリン重鎖遺伝子(IGHV)レパートリーの相違. IGHV1-8の遺伝子が優位に使われ*11, 高いsomatic hypermutation頻度を示す.*13*14*9
     
  3. TP53異常の発生率は同程度であるにもかかわらず, 遺伝子変化が少なく, ゲノムの複雑さもあまり見られない.*15*10
 
 

Mantle cell lymphoma

Mantle cell lymphomaの症例01, 症例02, 症例03, 症例04

Mantle cell lymphomaの病理組織像

リンパ節病変

増殖パターン

低倍率での増殖パターンには, nodular, diffuse patternの2パターンと, その混合型がある。

nodular patternが認められる症例は初診時で40%ほどで,病初期に明瞭な結節形成または不明瞭な結節形成(= vaguely nodular growth, vague nodule)が認められる。結節が見られるのは部分に限られる。

この他, nodular MCLには既存のリンパ濾胞胚中心を取り囲んでマントル層が高度に肥厚しているように見える場合がありmantle zone patternと呼ばれる。このpatternの増殖例には,胚中心を欠く一次濾胞が認められることがある。一次濾胞の著明な症例ではsmall cleaved cell typeのfollicular center cell lymphoma とまぎらわしい。

病期が進行すると腫瘍細胞の浸潤により反応性濾胞と濾胞間腫瘍細胞の区分は消失しdiffuse patternとなる。1/4ほどの症例では, このdiffuse pattern時期でも不明瞭なnodular patternが遺残している。

正常なlymphocytic cuffを欠く裸の濾胞(=naked follicle)がびまん性増殖内に見られることがある。

CLL/SLLに見られるpseudofollicle/ proliferation centerを認めない。--->marginal zone-like variant MCL

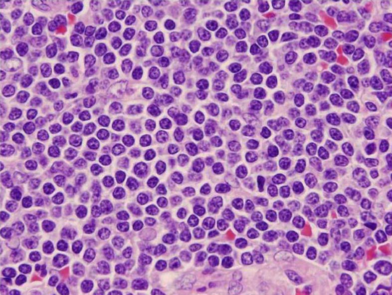
細胞所見

低倍率で見る増殖腫瘍細胞の単調さ, 均質さがきわだつことがMCLの診断に重要な所見である。均一な細胞の形態には, いろいろなヴァリエーションが見られる。

大きさの均一な小型ないし中型の細胞が増殖している。細胞質は乏しく, 不整で, でこぼこな(indented)核に中等度に粗いクロマチンが認められる。核小体は見えにくい。(核小体が明瞭なものはpleomorphic variantやMCL以外のリンパ腫を疑う。) 切れ込みのある核もしばしば出現する。小型円形核のリンパ球はT細胞で種々の程度に混在する。

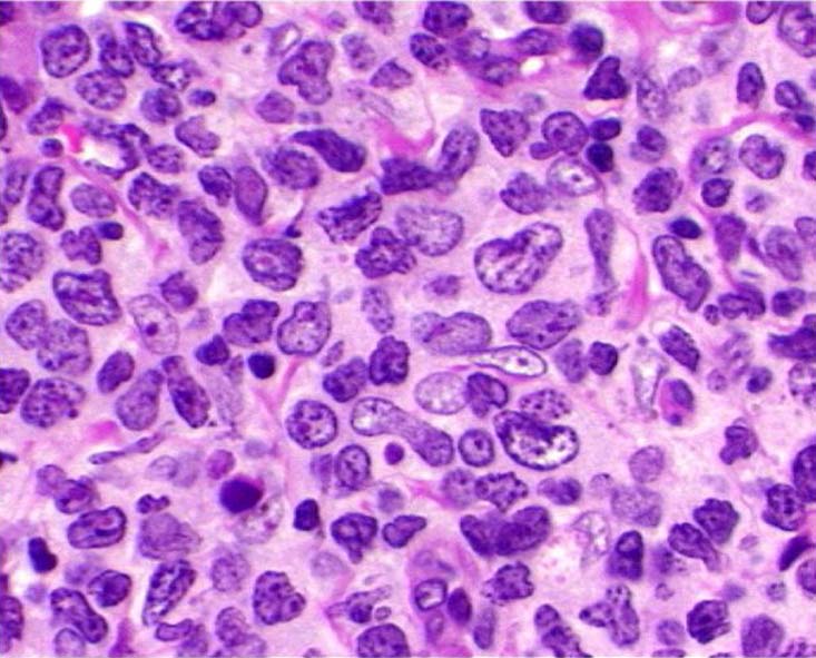
Large cell(anaplastic centrocytic)/ blastic forms of MCL

MCLの20%に腫瘍細胞が通常のMCLより大きく, クロマチンはきめ細かく分散し, 小さな核小体が見られるhigh-grade variantが認められる。

Mantle cell lymphoma histological variant 組織像

 

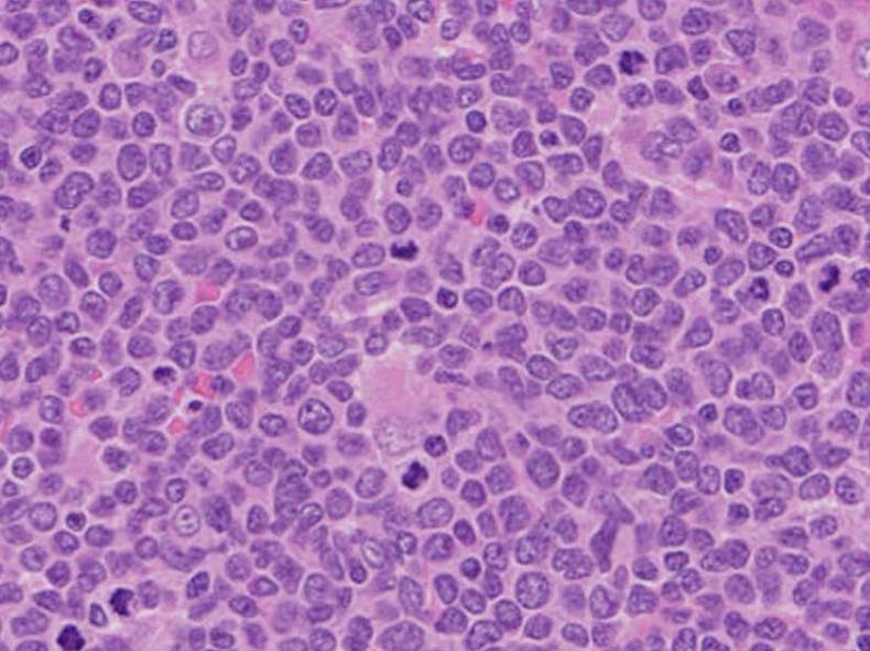
1. classical MCL

小型から中型リンパ球で核はわずかに不整なものから強くゆがむものまで認められcentrocyteに似ている. クロマチンは幾分, 分散してみられ, 核小体は不明瞭である.

2. blastoid variant

リンパ芽球型リンパ腫細胞のような繊細な核クロマチンでN/C比が高い類円形腫瘍細胞から成る。核分裂が多い。

3. pleomorphic variant

腫瘍細胞は脳回状にくびれた中ないし大型核をもつ。核小体も明瞭なものが出現する。核形態、細胞のサイズともに多形性に富む。HEではATLLなどのT細胞腫瘍やびまん性B細胞性リンパ腫の腫瘍細胞に似る。

4. small cell variant

CLLに似た小型リンパ球の混在や優位な増殖が見られる. クロマチンはより凝集しているように見える.

5. marginal zone -like

淡明で広い細胞質をもつ, 辺縁帯B細胞あるいは monocytoid B-cellに似た細胞のfociがめだちmarginal zone lymphomaに類似する. ときにこの淡明な構造はCLL/SLLのproliferation centerと混同されてしまう.

 

免疫染色 immunophenotype*16

MCL腫瘍細胞は細胞表面IgM/IgDを発現. 軽鎖はlambda restrictionがkappaよりも多く認められる.

BCL2が均一に染まり, CD5, FMC7, CD43も陽性となる. 時にIRF4/MUM-1陽性を示す.

CD10, BCL6の胚中心マーカは陰性. CD23は陰性または弱陽性となる.

cyclinD1はMCL症例の95%が陽性を示す. わずかな例でCD5が陰性となる.文献では6%.*17-->CD5陰性MCLの症例

SOX11は最も感度の高い抗体でMCLの90%が陽性となる. cyclinD1陰性例とblastoid 例も陽性である. ただし, SOX11の感度, 特異性は使う抗体によりさまざまであることに注意が必要.

blastoidあるいはpleomorphic caseではときに抗原のaberrant expressionが見られ, CD5がそまらずCD10, BCL6が陽性となる.

まれなMCLではCLL/SLLのマーカであるLEF1とCD200が陽性を示す. LEF1はblastoid/ pleomorphic caseに, CD200はleukaemic non-nodal variantに発現することが多い.

FDCの粗な網目構造が免疫染色によりしばしば観察される.(CD23, CD21染色)

 
 

mantle cell lymphomaのphenotype variant報告

Mantle cell lymphomaの臨床と予後

#ref(): File not found: "MCLclinic01.gif" at page "Mantle cell lymphoma"

 

Mantle cell lymphomaの治療

蘆澤正弘 各病理組織型のリンパ腫の治療--マントルリンパ腫*20

 

経過観察MCL症例 Watch & Wait--observation MCL cases

MCLでは大半の症例が症状を有し急速に進行することから速やかな治療開始が必要.
一方, 緩徐に進行し長期にわたり治療開始を必要としない一群が存在することがしられている. leukemic non-nodal MCLは緩徐に進行することが多いとされているが, classical MCL症例にも存在する. 緩徐進行例を診断時に見つけ出すことは困難である.

observation caseとearly treatment casesを比較検討した文献 *21

未治療高齢, 自家移植非適応MCL症例

R-CHOP が, 他のaggressive B-cell lymphomaと同様に行われてきたが, 全奏功率(ORR)は90%前後であるが, 完全奏功率(CR)は30%前後, 無増悪生存期間中央値(PFS)は1-2年程度と治療成績は不良であった.

R-CHOPにrituximab(R)の維持療法を持続するほうがR-CHOP+interferonα維持より良好(OS中央値9.8vs7.1年 p=0.0026)*22
(* 日本での保険適応投与方法とこのstudyの投与法は異なることに注意)

BR療法*23, VR-CAP療法*24がR-CHOPに代わり移植非適応MCL症例の初回治療の有力候補に挙げられている.

自家移植適応未治療MCL症例

再発/難治MCL症例の治療

さまざまな多剤併用療法がおこなわれているが予後は決して良くない.

ibrutinib (BTK阻害薬)単剤投与:濃厚な前治療歴(前治療歴中央値 3レジメン)の再発/難治MCLで, ORR67%, CR23%, PFS中央値 13ヵ月, OS中央値 22.5ヵ月と効果がみられた. (第Ⅱ相試験)

ibrutinib+rituximab併用療法(第Ⅱ相試験): ORR88%, CR44%, とくにKi-67(MIB-1LI<50%)低値例ではORR100%で上乗せ効果が期待される(本邦では併用は承認されていない)

R-hyperCVAD/MA療法やASCTを行った若年MCL例の再発・難治例では,初回再発時治療レジメンをretrospectiveに解析した研究で 診断から2年以内の早期再発症例では, 他のレジメンと比較してibrutinib治療群において有意にOSがすぐれていた. 強力な前治療後早期再発例に対してibrutinibは一定の効果が認められている.

未来展望

現在, 初発症例に対する導入療法の治療成績は向上しているが同種移植をのぞくいかなる治療でも,再発は不可避である.

これに対して, non-chemotheraptic agentが開発, MCL治療に応用準備がなされている: より高選択性のBTK阻害薬(acalabrutinib, zanubrutinib), Bcl2アンタゴニスト(venetoclax), mTOR阻害薬(temsirolimus), PI3キナーゼ阻害薬(idelalisib)など. またBTK阻害薬抵抗性MCL症例に対してCAR-T療法も検討されている.


*1  Oishi N, Montes-Moreno S, Andrew L Feldman LA, et al. In situ neoplasia in lymph node pathology. Semin Diagn Pathol 2018 Jan;35(1):76-83.PMID: 29129357
*2  Li JY, et al. Detection of translocation t(11;14)(q13;q32) in mantle cell lymphoma by fluorescence in situ hybridization Am J Pathol.1999 May;154(5):1449-52. doi: 10.1016/S0002-9440(10)65399-0. PMID: 10329598
*3  Vandenberghe E, et al.Translocation (11;14): a cytogenetic anomaly associated with B-cell lymphomas of non-follicle centre cell lineage J Pathol. 1991 Jan;163(1):13-8. doi: 10.1002/path.1711630104.PMID: 2002419
*4  Peterson JF,et al. Characterization of a cryptic IGH/CCND1 rearrangement in a case of mantle cell lymphoma with negative CCND1 FISH studiesBlood Adv. 2019 Apr 23;3(8):1298-1302. doi: 10.1182/bloodadvances.2019031450.PMID: 31015206
*5  Fuster C et al. Cryptic insertions of the immunoglobulin light chain enhancer region near CCND1 in t(11;14)-negative mantle cell lymphoma Haematologica. 2020 Aug;105(8):e408-e411. doi: 10.3324/haematol.2019.237073. Epub 2019 Nov 21.PMID: 31753927
*6  Polonis K, et al. Detection of cryptic CCND1 rearrangements in mantle cell lymphoma by next generation sequencing Ann Diagn Pathol. 2020 Jun;46:151533. doi: 10.1016/j.anndiagpath.2020.151533. Epub 2020 May 6. PMID: 3240824
*7  Salaverria I, et al. CCND2 rearrangements are the most frequent genetic events in cyclin D1(-) mantle cell lymphomaBlood. 2013 Feb 21;121(8):1394-402. doi: 10.1182/blood-2012-08-452284. Epub 2012 Dec 18.PMID: 23255553
*8  Nadeu F, et al. Genomic and epigenomic insights into the origin, pathogenesis, and clinical behavior of mantle cell lymphoma subtypes Blood. 2020 Sep 17;136(12):1419-1432. PMID: 32584970
*9  Navarro A, et al. Molecular subsets of mantle cell lymphoma defined by the IGHV mutational status and SOX11 expression have distinct biologic and clinical features. Cancer Res. 2012 Oct 15;72(20):5307-16.PMID: 22915760
*10  Royo C, et al. Non-nodal type of mantle cell lymphoma is a specific biological and clinical subgroup of the disease Leukemia. 2012 Aug;26(8):1895-8.PMID: 22425896
*11  Pouliou E, et al.Numerous Ontogenetic Roads to Mantle Cell Lymphoma: Immunogenetic and Immunohistochemical Evidence. Am J Pathol. 2017 Jul;187(7):1454-1458.PMID: 28457696
*12  Royo C,et al. Leukemia. Non-nodal type of mantle cell lymphoma is a specific biological and clinical subgroup of the disease. 2012 Aug;26(8):1895-8. PMID: 22425896
*13  Orchard J, et al. A subset of t(11;14) lymphoma with mantle cell features displays mutated IgVH genes and includes patients with good prognosis, nonnodal disease. Blood. 2003 Jun 15;101(12):4975-81 PMID: 12609845
*14  Hadzidimitriou A et al. Is there a role for antigen selection in mantle cell lymphoma? Immunogenetic support from a series of 807 cases Blood. 2011 Sep 15;118(11):3088-95. PMID: 21791422
*15  Nadeu F, et al. Genomic and epigenomic insights into the origin, pathogenesis, and clinical behavior of mantle cell lymphoma subtypes Blood. 2020 Sep 17;136(12):1419-1432. PMID: 32584970
*16  Swerdlow SH, et al. Mantle cell lymphoma. In: Swerdlow SH, Campo E, Harris NL., eds WHO Classification of Tumors of Hematopoietic and Lymphoid tissues. 4th ed. Lyon, France: IARC; 2017:276-277.
*17  Miao Y, et al. CD5-negative mantle cell lymphoma. Clinicopathological correlations and outcome in 58 patients. Am J Surg Pathol 2019; 43(8): 1052-1060
*18  Chuang W-Y, et al. Identification of CD5/cyclinD1 double negative pleomorphic mantle cell lymphoma. A clinicopathologic, genetic, and gene expression study. Am J Surg Pathol 2020; 44(2):232-240.
*19  Xu J, et al., SOX11-negative mantle cell lymphoma. Clinicopathologic and prognostic featues of 75 patients. Am J Surg Pathol 2019; 43(5): 710-716
*20  内科 各病理組織型悪性リンパ腫の治療 2021;128(2):227-232
*21  Abrisqueta P, et al. Observation as the initial management strategy in patients with mantle cell lymphoma. Ann Oncol. 2017 Oct 1;28(10):2489-2495.PMID: 28961827
*22  Kluin-Nelemans HC, et al. Treatment of Older Patients With Mantle Cell Lymphoma (MCL): Long-Term Follow-Up of the Randomized European MCL Elderly Trial. J Clin Oncol. 2020 Jan 20;38(3):248-256.PMID: 31804876
*23  Flinn IW, et al. First-Line Treatment of Patients With Indolent Non-Hodgkin Lymphoma or Mantle-Cell Lymphoma With Bendamustine Plus Rituximab Versus R-CHOP or R-CVP: Results of the BRIGHT 5-Year Follow-Up Study. J Clin Oncol. 2019 Apr 20;37(12):984-991.PMID: 30811293
*24  Robak T, et al. Frontline bortezomib, rituximab, cyclophosphamide, doxorubicin, and prednisone (VR-CAP) versus rituximab, cyclophosphamide, doxorubicin, vincristine, and prednisone (R-CHOP) in transplantation-ineligible patients with newly diagnosed mantle cell lymphoma: final overall survival results of a randomised, open-label, phase 3 study. Lancet Oncol. 2018 Nov;19(11):1449-1458. PMID: 30348538
*25  Visco C, et al. Rituximab, bendamustine, and low-dose cytarabine as induction therapy in elderly patients with mantle cell lymphoma: a multicentre, phase 2 trial from Fondazione Italiana Linfomi. Lancet Haematol. 2017 Jan;4(1):e15-e23. doi: 10.1016/S2352-3026(16)30185-5. Epub 2016 Dec 5. PMID: 27927586
*26  Merryman RW, et al. Rituximab/bendamustine and rituximab/cytarabine induction therapy for transplant-eligible mantle cell lymphoma.Blood Adv. 2020 Mar 10;4(5):858-867.PMID: 32126141
*27  Le Gouill S, et al. Rituximab after Autologous Stem-Cell Transplantation in Mantle-Cell Lymphoma. N Engl J Med. 2017 Sep 28;377(13):1250-1260.PMID: 28953447

トップ   新規 一覧 検索 最終更新   ヘルプ   最終更新のRSS