Primary testicular lymphoma

Primary testicular T-LBL ? or Testicular involvement of T-lymphoblastic lymphoma?

30歳代男性

無痛性精巣腫大で泌尿器科受診. 画像診断では, 左精巣最大径4.5cmの腫瘤で縦隔リンパ節転移が疑われた. 左高位精巣摘除術をうける.

Hb 14.6g/dl, RBC 476x104/μl, Ht41.5% WBC 6700/μl, Seg 63%, Eo2.1%, Ba 1.3%, Mo5.8%, Ly27.8% blastの増加なし.
LDH 150 U/l(WNL).

前縦隔や右心横隔膜角部に不定形, 不均一でべたっとした腫瘤状軟部濃度域を認める. 節外浸潤を伴ったリンパ節転移の可能性を考える.
画像: 左精巣腫瘤. 縦隔リンパ節転移疑い.

 

睾丸腫瘤マクロ, loupe像 (サムネイル像のクリックで大きな画像がみられます)

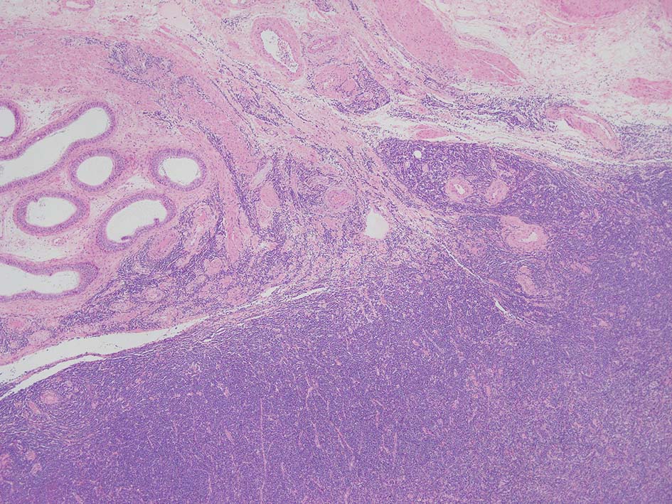
loupe像では, 腫瘍細胞が髄様密に浸潤増殖する部位と, 精細管をスペアするように管間に腫瘍細胞が浸潤する部分(右端図 A)がある.

切り出し図とは天地を逆にした右端図では, 髄様密な部分は白膜内で増殖するリンパ腫瘤(B)であることがわかる. 精巣上体の一部に浸潤がみられる(C)

 

精巣病理組織所見

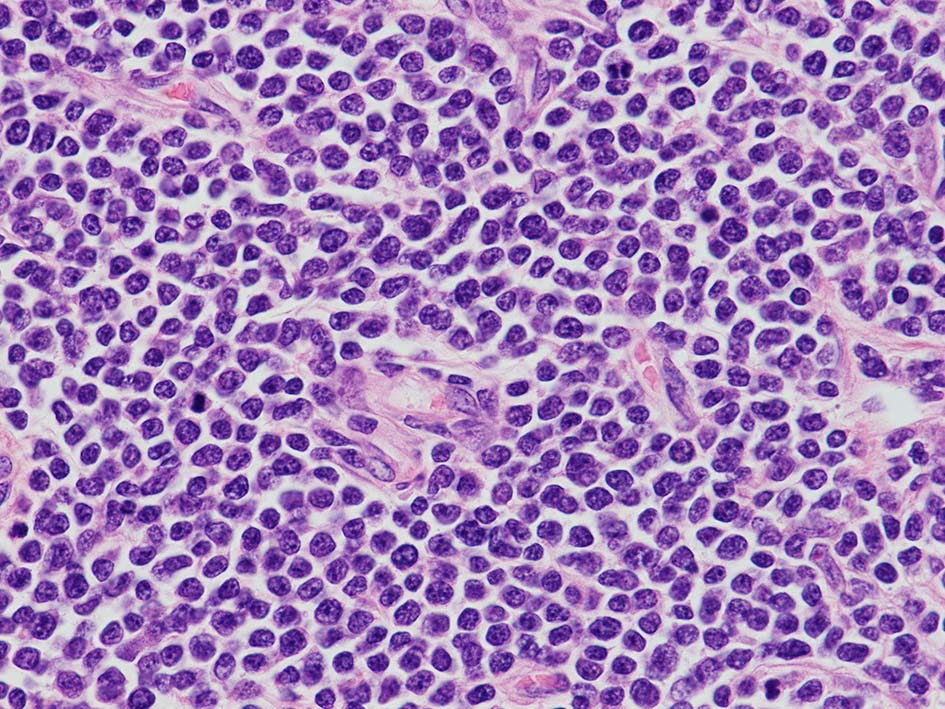
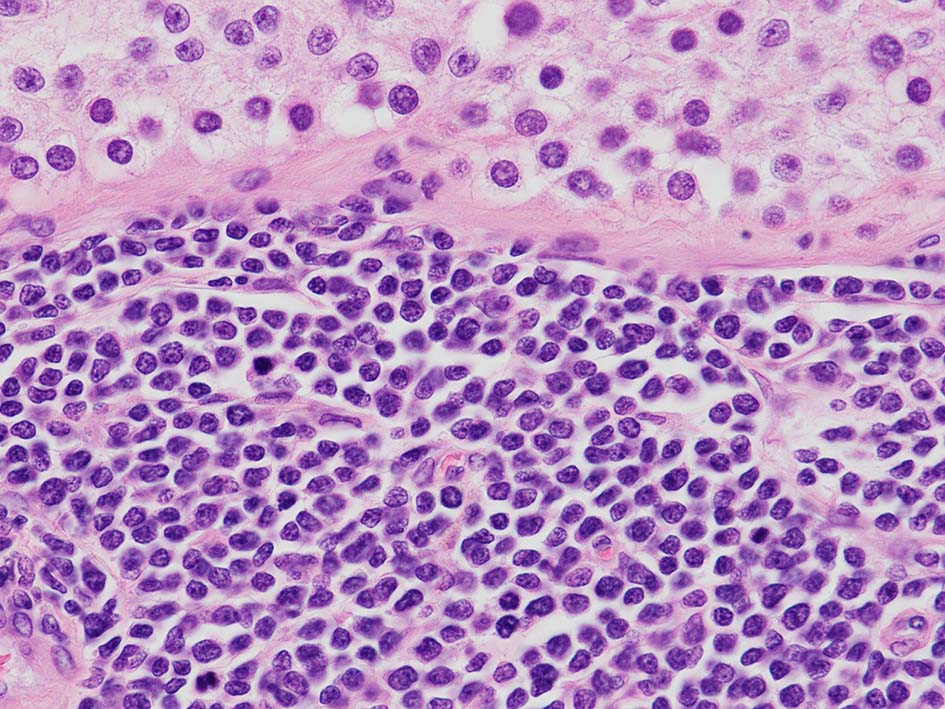
loupe像Aの領域: 精細管をスペアするように, 小型リンパ球優位, 一部中型のlymphoid cellsがシート状密に浸潤増殖する. tubulesのほとんどにはlymphoid cellsが浸潤していないが, LELに似たようなlympho-tubular lesionが少数認められた. x400高倍率では, 増殖細胞は, 粗く, 凝集したクロマチンをもつ類円形, non-cleavedな核をもつ細胞質の乏しいlymphoid cellsである. 核小体か凝集したクロマチンかわかりにくい.

 

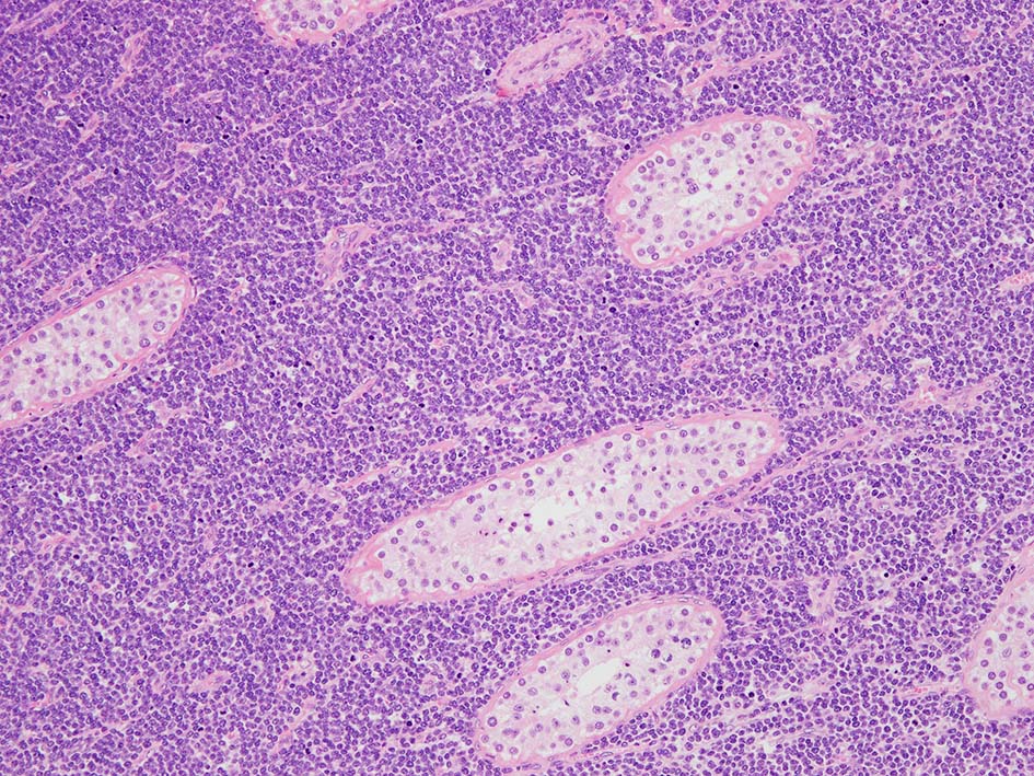
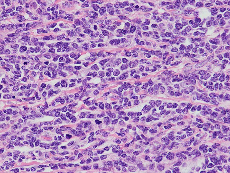
白膜には密に腫瘍性リンパ球が浸潤増殖し, 肥厚, 一部は上図loupe像のように, 腫瘤を形成している. 浸潤リンパ球は精巣実質内よりも, やや大きく, 多稜形, くびれのある核をもち, クロマチンは淡明で核小体が明瞭になってきている.

 

精巣上体, 精巣周囲脂肪織への浸潤, 精巣実質, 白膜の非浸潤部

T-ALL/LBLの細胞所見:

細胞形態(smear): 核クロマチンが強く凝縮し、明らかな核小体の見えない小リンパ芽球から、クロマチンが細かく分散し, 核小体が比較的明瞭な大きな芽球まで, 細胞像には, かなりの幅が存在する。核は丸いものから不規則に入り組んだものまでさまざま. 細胞質空胞が存在することもある。

T-ALL の芽球は、より成熟したリンパ球に類似していることがある. このような場合、mature(peripheral) T-cell leukaemiaとの鑑別のために免疫表現型の検討が必要となる.

骨髄切片/組織では、リンパ芽球細胞は, 高N:C比、薄い核膜、細かい点状のクロマチンを示し、核小体は目立たない. mitosisの数はB-ALLよりもT-ALLが多いと報告されている.

T-ALLでは, T-LBLでは、一般にリンパ節の構築物が完全に消失し、被膜に浸潤していることが確認されます。 副皮質に部分的に病変が生じ、胚中心が温存されることもあります。時に、線維性骨格の伸展により、濾胞性リンパ腫に類似した多結節性パターンが生じることがある。 T-LBLでは核小体や細胞質はあまり目立たないが、星空効果が見られ、バーキットリンパ腫を模倣することがある。 芽球の核は丸いものと畳み込まれたものがある。有糸分裂図形はしばしば多数存在する。 胸腺では、胸腺実質の広範な置換と周囲の線維脂肪組織への浸透性浸潤が見られる。

組織学的にT-LBLで、リンパ腫細胞の中に好酸球が有意に浸潤している症例は、好酸球増加、骨髄性過形成、FGFR1遺伝子に関わる8o11.2型染色体異常が関連している可能性がある.


トップ   新規 一覧 検索 最終更新   ヘルプ   最終更新のRSS