Haematopathology-WHO 5th classification

PathologyAtlas, 血液腫瘍病理学

 

AML with inv(16)(p13.1q22) or t(16;16)(p13.1;q22); CBFβ-MYH11

再現性のある遺伝子異常を呈する急性骨髄性白血病の一型

通常, 異常な好酸球増多を伴う単球および顆粒球分化を示すAML-M4eosの形態をとる。Synonymに AML with abnormal marrow eosinophilsがある。

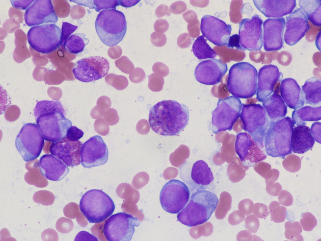
BMsEo-01.jpg

56yo female AML-M4Eo with inv(16)(p13.1q22)

中央と右にbasophilicな大型顆粒をもつ異常好酸球が認められる。この症例では異常好酸球が少なかった。(クリックで大きな画像がみられます)

 

Case presentation

56yo female

骨髄組織所見 HE染色

File not found: eos-HE-lpf_s.jpgFile not found: eos-HE-hpf_s.jpgFile not found: eos-HE-hpf03_s.jpg
HEHEHE

骨髄 clot section: particlesは境界不明瞭. cellularity 70-90%の過形成髄. 赤芽球血島はわずかに認められるのみ. Mgkは散見されるが数は少ない. granulopoietic hyperplasia像と考えられる.(HE 低倍率)

HE(高倍率)では類円形および, くびれのあるvesicularな核を有するN/C比大の細胞がシート状に増殖している.1-2個の核小体明瞭な核が多い. 細胞質は淡明, 泡沫様で境界は不明瞭となっている. 多数の核分裂像が認められる.
芽球, 幼若細胞のびまん性増殖の所見. 淡明な細胞質, 細胞境界不明瞭なくびれた核の細胞は単芽球, 前単球様である.

 

骨髄組織 Naphtol-ASD-CAE染色

File not found: ASD-G-lpf_s.jpgFile not found: ASD-G-hpf_s.jpgFile not found: ASD-G-hpf02_s.jpg
ASD-GiemsaASD-GiemsaASD-Giemsa

Naphtol-ASD-CAE-Giemsa染色:細胞質が赤染しないimmatureな芽球のほか, 丸く大き目な顆粒をもった細胞が多数認められる. 高倍率では Naphtol-ASD-CAE陰性の芽球, 赤く染まる幼若細胞, オレンジ色調の大きめな丸い顆粒をもつ好酸球と考えられる細胞が増加している. 芽球には強いくびれやねじれた核の細胞が多くみられ, 単芽球の増殖が推察される.

単球様形態をとる芽球の増殖と多数の好酸球増加から Acute myelomonocytic leukaemia with eosinophilia(AML-M4eos)の診断があげられる. smearで異常な好酸球を確認へ.

Bone marrow smear/ blood filmの所見

File not found: BM-smear01_s.jpgFile not found: BM-smear02_s.jpgFile not found: BM-smear03_s.jpg
BMスメア;Giemsa染色BMスメア;Giemsa染色BMスメア;Giemsa染色

好酸性大型顆粒をもつ幼若好酸球が認められる他, 好塩基性顆粒の異常な顆粒をもつ好酸球が増加している.

 
File not found: karyotypeB_s.jpgFile not found: karyotypeA_s.jpg
46,XX,inv(16)(p13.1q22)

病理組織診断: acute myelocytic leukaemia with inv(16)(p13.1q22), CBFβ-MYH11

 
 

inv(16)(p13q22) CBFB/MYH11 in treatment related leukemia(Atlas of Genetics and Cytogenetics in Oncology and Haematology*1)

inv(16)(p13.1;q22)/ t(16;16)(p13.1;q22) CBFB-MYH11

 

t(8;21)(q22;q22)および inv(16)(p13.1;q22)/ t(16;16)(p13.1;q22)の染色体異常をもつ急性骨髄性白血病AMLはそれぞれRUNX1-RUNX1T1, CBFB-MYH11融合遺伝子によるfusion product proteinが 転写因子RUNX1とCBFβにより構成されるcore-binding factor(CBF)の正常機能を消失させることでAML発症に関連すると考えられている.
これらのAMLは上記の機序により, CBF-AMLと呼称される. *2*3

inv(16)(p13.1;q22), t(16;16)(p13.1;q22)
いずれも16番染色体q22に局在するcore binding factorβ(CBFβ)をコードするCBFB遺伝子と16番染色体p13.1に存在し, smooth muscle myosin heavy chainをコードするMYH11遺伝子が融合遺伝子を形成する. CBFβはRUNX1遺伝子産物である, CBFαとヘテロダイマーを形成し T細胞受容体やサイトカインの発現調節に関わる転写調節因子として働く.染色体分析で異常が見られない場合にもFISH法やRT-PCR法により融合遺伝子を検出できることがある.

40%のAML with inv(16)(p13.1;q22)/ t(16;16)(p13.1;q22)症例では+22, +8, +21, del(7q)など付加的染色体異常がみられ,
90%以上の症例には, KIT, NRAS, KRAS, FLT3など二次的遺伝子変異が併存している.


*1  http://atlasgeneticsoncology.org/Anomalies/inv16p13q22TreatRelID1297.html
*2  Arber DA, et al. The 2016 revision to the World Health Organization classification of myeloid neoplasms and acute leukemia. Blood. 2016 May 19;127(20):2391-405.PMID: 27069254
*3  Paschka P, Doehner K Core-binding factor acute myeloid leukaemia; can we inprove on HiDAC consolidation? ASH Education Program Book 2013: 209

トップ   新規 一覧 検索 最終更新   ヘルプ   最終更新のRSS